JavaScript is disabled in your browser. Please enable JavaScript to view this website.
AB227460

Anti-Drosha antibody [EPR12794] - BSA and Azide free

Be the first to review this product! Submit a review

|

(1 Publication)

Rabbit Recombinant Monoclonal Drosha antibody. Carrier free. Suitable for WB, IHC-P and reacts with Human samples. Cited in 1 publication.

View Alternative Names

RN3, RNASE3L, RNASEN, DROSHA, Ribonuclease 3, Protein Drosha, Ribonuclease III, p241, RNase III

2 Images
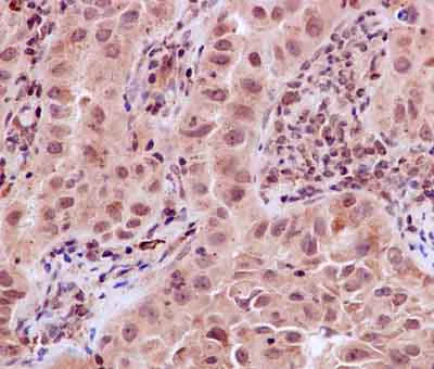
Immunohistochemistry (Formalin/PFA-fixed paraffin-embedded sections) - Anti-Drosha antibody [EPR12794] - BSA and Azide free (AB227460)
  • IHC-P

Supplier Data

Immunohistochemistry (Formalin/PFA-fixed paraffin-embedded sections) - Anti-Drosha antibody [EPR12794] - BSA and Azide free (AB227460)

This IHC data was generated using the same anti-Drosha antibody clone, EPR12794, in a different buffer formulation (cat# ab183732).

Immunohistochemical analysis of paraffin-embedded Human lung adenocarcinoma tissue labeling Drosha with ab183732 at 1/100 dilution followed by prediluted HRP Polymer for Rabbit IgG. Counter stained with Hematoxylin.

Perform heat mediated antigen retrieval with EDTA buffer pH 9 before commencing with IHC staining protocol.

Western blot - Anti-Drosha antibody [EPR12794] - BSA and Azide free (AB227460)
  • WB

Lab

Western blot - Anti-Drosha antibody [EPR12794] - BSA and Azide free (AB227460)

This data was developed using the same antibody clone in a different buffer formulation (ab183732).

Lanes 1-3 : Merged signal (red and green). Green - ab183732 observed at 159 kDa. Red - loading control, ab8245 observed at 37 kDa.

ab183732 Anti-Drosha antibody [EPR12794] was shown to specifically react with Drosha in wild-type HEK293T cells. Loss of signal was observed when knockout cell line ab266217 (knockout cell lysate ab257171) was used. Wild-type and Drosha knockout samples were subjected to SDS-PAGE. ab183732 and Anti-GAPDH antibody [6C5] - Loading Control (ab8245) were incubated overnight at 4°C at 1 in 1000 dilution and 1 in 20000 dilution respectively. Blots were developed with Goat anti-Rabbit IgG H&L (IRDye® 800CW) preadsorbed (ab216773) and Goat anti-Mouse IgG H&L (IRDye® 680RD) preadsorbed (ab216776) secondary antibodies at 1 in 10000 dilution for 1 hour at room temperature before imaging.

All lanes:

Western blot - Anti-Drosha antibody [EPR12794] (<a href='/en-us/products/primary-antibodies/drosha-antibody-epr12794-ab183732'>ab183732</a>) at 1/1000 dilution

Lane 1:

Wild-type HEK-293T cell lysate at 20 µg

Lane 2:

DROSHA knockout HEK-293T cell lysate at 20 µg

Lane 2:

Western blot - Human DROSHA knockout HEK-293T cell line (<a href='/en-us/products/cell-lines/human-drosha-knockout-hek-293t-cell-line-ab266217'>ab266217</a>)

Lane 3:

HeLa cell lysate at 20 µg

Predicted band size: 159 kDa

Observed band size: 159 kDa

false

Key facts

Host species

Rabbit

Clonality

Monoclonal

Clone number

EPR12794

Isotype

IgG

Carrier free

Yes

Reacts with

Human

Applications

IHC-P, WB

applications

Immunogen

The exact immunogen used to generate this antibody is proprietary information.

Reactivity data

{ "title": "Reactivity Data", "filters": { "stats": ["", "Species", "Dilution Info", "Notes"], "tabs": { "all-applications": {"fullname" : "All Applications", "shortname": "All Applications"}, "FlowCyt" : {"fullname" : "Flow Cytometry", "shortname":"Flow Cyt"}, "WB" : {"fullname" : "Western blot", "shortname":"WB"}, "ICCIF" : {"fullname" : "Immunocytochemistry/ Immunofluorescence", "shortname":"ICC/IF"}, "IHCP" : {"fullname" : "Immunohistochemistry (Formalin/PFA-fixed paraffin-embedded sections)", "shortname":"IHC-P"} }, "product-promise": { "all": "all", "testedAndGuaranteed": "tested", "guaranteed": "expected", "predicted": "predicted", "notRecommended": "not-recommended" } }, "values": { "Human": { "FlowCyt-species-checked": "notRecommended", "FlowCyt-species-dilution-info": "", "FlowCyt-species-notes": "<p><a href='/en-us/products/primary-antibodies/rabbit-igg-monoclonal-epr25a-isotype-control-low-endotoxin-azide-free-ab199376'>ab199376</a> - Rabbit monoclonal IgG (Low endotoxin, Azide free), is suitable for use as an isotype control with this antibody.</p>", "WB-species-checked": "testedAndGuaranteed", "WB-species-dilution-info": "", "WB-species-notes": "<p></p>", "ICCIF-species-checked": "notRecommended", "ICCIF-species-dilution-info": "", "ICCIF-species-notes": "<p></p>", "IHCP-species-checked": "testedAndGuaranteed", "IHCP-species-dilution-info": "", "IHCP-species-notes": "<p></p>" } } }

Product details

ab227460 is the carrier-free version of ab183732.

Conjugation ready
Our carrier-free antibodies are typically supplied in a PBS-only formulation, purified and free of BSA, sodium azide and glycerol. This conjugation-ready format is designed for use with fluorochromes, metal isotopes, oligonucleotides, and enzymes, which makes them ideal for antibody labelling, functional and cell-based assays, flow-based assays (e.g. mass cytometry) and Multiplex Imaging applications.

Use our conjugation kits for antibody conjugates that are ready-to-use in as little as 20 minutes with 1 minute hands-on-time and 100% antibody recovery: available for fluorescent dyes, HRP, biotin and gold.

Compatibility
This product is compatible with the Maxpar® Antibody Labeling Kit from Fluidigm, without the need for antibody preparation. Maxpar® is a trademark of Fluidigm Canada Inc.

Properties and storage information

Form
Liquid
Purification technique
Affinity purification Protein A
Storage buffer
pH: 7.2 - 7.4 Constituents: PBS
Shipped at conditions
Blue Ice
Appropriate short-term storage conditions
+4°C
Appropriate long-term storage conditions
+4°C
Storage information
Do Not Freeze

Product protocols

For this product, it's our understanding that no specific protocols are required. You can visit:

Target data

Ribonuclease III double-stranded (ds) RNA-specific endoribonuclease that is involved in the initial step of microRNA (miRNA) biogenesis. Component of the microprocessor complex that is required to process primary miRNA transcripts (pri-miRNAs) to release precursor miRNA (pre-miRNA) in the nucleus. Within the microprocessor complex, DROSHA cleaves the 3' and 5' strands of a stem-loop in pri-miRNAs (processing center 11 bp from the dsRNA-ssRNA junction) to release hairpin-shaped pre-miRNAs that are subsequently cut by the cytoplasmic DICER to generate mature miRNAs. Involved also in pre-rRNA processing. Cleaves double-strand RNA and does not cleave single-strand RNA. Involved in the formation of GW bodies. Plays a role in growth homeostasis in response to autophagy in motor neurons (By similarity).
See full target information DROSHA

Publications (1)

Recent publications for all applications. Explore the full list and refine your search

Experimental lung research 40:354-66 PubMed25058539

2014

Knockdown of Drosha in human alveolar type II cells alters expression of SP-A in culture: a pilot study.

Applications

WB

Species

Human

Patricia Silveyra,Zissis C Chroneos,Susan L DiAngelo,Neal J Thomas,Georgios T Noutsios,Nikolaos Tsotakos,Judie A Howrylak,Todd M Umstead,Joanna Floros
View all publications

Product promise

We are committed to supporting your work with high-quality reagents, and we're here for you every step of the way. In the unlikely event that one of our products does not perform as expected, you're protected by our Product Promise.
For full details, please see our Terms & Conditions

Please note: All products are 'FOR RESEARCH USE ONLY. NOT FOR USE IN DIAGNOSTIC OR THERAPEUTIC PROCEDURES'.

For licensing inquiries, please contact partnerships@abcam.com