JavaScript is disabled in your browser. Please enable JavaScript to view this website.
AB250742

Anti-DRP1 antibody [EPR19275] - BSA and Azide free

Be the first to review this product! Submit a review

|

(1 Publication)

Rabbit Recombinant Monoclonal DRP1 antibody. Carrier free. Suitable for IP, WB, Flow Cyt (Intra), IHC-P and reacts with Human, Mouse, Rat samples. Cited in 1 publication.

View Alternative Names

DLP1, DRP1, DNM1L, Dynamin-1-like protein, Dnm1p/Vps1p-like protein, Dynamin family member proline-rich carboxyl-terminal domain less, Dynamin-like protein, Dynamin-like protein 4, Dynamin-like protein IV, Dynamin-related protein 1, DVLP, Dymple, HdynIV

9 Images
Immunohistochemistry (Formalin/PFA-fixed paraffin-embedded sections) - Anti-DRP1 antibody [EPR19275] - BSA and Azide free (AB250742)
  • IHC-P

Supplier Data

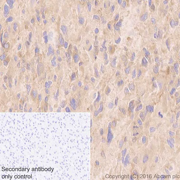
Immunohistochemistry (Formalin/PFA-fixed paraffin-embedded sections) - Anti-DRP1 antibody [EPR19275] - BSA and Azide free (AB250742)

This data was developed using ab184248, the same antibody clone in a different buffer formulation.

Immunohistochemical analysis of paraffin-embedded human glioma tissue labeling DRP1 with ab184248 at 1/2000 dilution, followed by Goat Anti-Rabbit IgG H&L (HRP) Ready to use. Cytoplasmic staining on human glioma [PMID : 25730670]. Counter stained with Hematoxylin.

Secondary antibody only control : Used PBS instead of primary antibody, secondary antibody is Goat Anti-Rabbit IgG H&L (HRP) Ready to use.

Perform heat mediated antigen retrieval with Tris/EDTA buffer pH 9.0 before commencing with IHC staining protocol.

Flow Cytometry (Intracellular) - Anti-DRP1 antibody [EPR19275] - BSA and Azide free (AB250742)
  • Flow Cyt (Intra)

Supplier Data

Flow Cytometry (Intracellular) - Anti-DRP1 antibody [EPR19275] - BSA and Azide free (AB250742)

This data was developed using ab184248, the same antibody clone in a different buffer formulation.

Intracellular flow cytometric analysis of 4% paraformaldehyde-fixed HeLa (Human epithelial cell line from cervix adenocarcinoma) cells labeling DRP1 with ab184248 at 1/500 dilution (red) compared with a rabbit monoclonal IgG isotype control (ab172730; black) and an unlabeled control (cells without incubation with primary antibody and secondary antibody; blue). Goat anti rabbit IgG (Alexa Fluor® 488) at 1/2000 dilution was used as the secondary antibody.

Immunohistochemistry (Formalin/PFA-fixed paraffin-embedded sections) - Anti-DRP1 antibody [EPR19275] - BSA and Azide free (AB250742)
  • IHC-P

Supplier Data

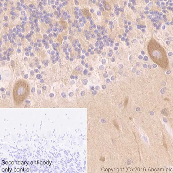
Immunohistochemistry (Formalin/PFA-fixed paraffin-embedded sections) - Anti-DRP1 antibody [EPR19275] - BSA and Azide free (AB250742)

This data was developed using ab184248, the same antibody clone in a different buffer formulation.

Immunohistochemical analysis of paraffin-embedded human cerebellum tissue labeling DRP1 with ab184248 at 1/2000 dilution, followed by Goat Anti-Rabbit IgG H&L (HRP) Ready to use. Cytoplasmic staining on human cerebellum [PMID : 9422767]. Counter stained with Hematoxylin.

Secondary antibody only control : Used PBS instead of primary antibody, secondary antibody is Goat Anti-Rabbit IgG H&L (HRP) Ready to use.

Perform heat mediated antigen retrieval with Tris/EDTA buffer pH 9.0 before commencing with IHC staining protocol.

Immunoprecipitation - Anti-DRP1 antibody [EPR19275] - BSA and Azide free (AB250742)
  • IP

Supplier Data

Immunoprecipitation - Anti-DRP1 antibody [EPR19275] - BSA and Azide free (AB250742)

This data was developed using ab184248, the same antibody clone in a different buffer formulation.

DRP1 was immunoprecipitated from 0.35 mg of HeLa (Human epithelial cell line from cervix adenocarcinoma) whole cell lysate with ab184248 at 1/30 dilution. Western blot was performed from the immunoprecipitate using ab184248 at 1/1000 dilution. VeriBlot for IP Detection Reagent (HRP) (ab131366), was used for detection at 1/10000 dilution.

Lane 1 : HeLa whole cell lysate, 10 μg (Input).

Lane 2 : ab184248 IP in HeLa whole cell lysate.

Lane 3 : Rabbit monoclonal IgG (ab172730) instead of ab184248 in HeLa whole cell lysate.

Blocking and dilution buffer : 5% NFDM/TBST.

Exposure time : 10 seconds.

All lanes:

Immunoprecipitation - Anti-DRP1 antibody [EPR19275] (<a href='/en-us/products/primary-antibodies/drp1-antibody-epr19275-ab184248'>ab184248</a>)

Predicted band size: 82 kDa

Observed band size: 83 kDa

false

Immunohistochemistry (Formalin/PFA-fixed paraffin-embedded sections) - Anti-DRP1 antibody [EPR19275] - BSA and Azide free (AB250742)
  • IHC-P

Supplier Data

Immunohistochemistry (Formalin/PFA-fixed paraffin-embedded sections) - Anti-DRP1 antibody [EPR19275] - BSA and Azide free (AB250742)

This data was developed using ab184248, the same antibody clone in a different buffer formulation.

Immunohistochemical analysis of paraffin-embedded rat cerebellum tissue labeling DRP1 with ab184248 at 1/2000 dilution, followed by Goat Anti-Rabbit IgG H&L (HRP) Ready to use. Cytoplasmic staining on rat cerebellum [PMID : 9422767]. Counter stained with Hematoxylin.

Secondary antibody only control : Used PBS instead of primary antibody, secondary antibody is Goat Anti-Rabbit IgG H&L (HRP) Ready to use.

Perform heat mediated antigen retrieval with Tris/EDTA buffer pH 9.0 before commencing with IHC staining protocol.

Immunohistochemistry (Formalin/PFA-fixed paraffin-embedded sections) - Anti-DRP1 antibody [EPR19275] - BSA and Azide free (AB250742)
  • IHC-P

Supplier Data

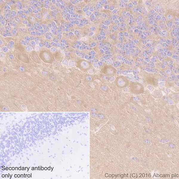
Immunohistochemistry (Formalin/PFA-fixed paraffin-embedded sections) - Anti-DRP1 antibody [EPR19275] - BSA and Azide free (AB250742)

This data was developed using ab184248, the same antibody clone in a different buffer formulation.

Immunohistochemical analysis of paraffin-embedded mouse cerebellum tissue labeling DRP1 with ab184248 at 1/2000 dilution, followed by Goat Anti-Rabbit IgG H&L (HRP) Ready to use. Cytoplasmic staining on mouse cerebellum [PMID : 9422767]. Counter stained with Hematoxylin.

Secondary antibody only control : Used PBS instead of primary antibody, secondary antibody is Goat Anti-Rabbit IgG H&L (HRP) Ready to use.

Perform heat mediated antigen retrieval with Tris/EDTA buffer pH 9.0 before commencing with IHC staining protocol.

Western blot - Anti-DRP1 antibody [EPR19275] - BSA and Azide free (AB250742)
  • WB

Supplier Data

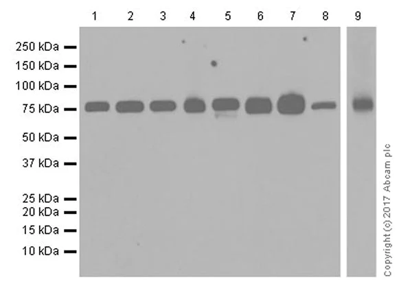
Western blot - Anti-DRP1 antibody [EPR19275] - BSA and Azide free (AB250742)

This data was developed using ab184248, the same antibody clone in a different buffer formulation.

Blocking and dilution buffer : 5% NFDM/TBST. Exposure times : Lanes 1-8 : 3 minutes; Lane 9 : 30 seconds.

All lanes:

Western blot - Anti-DRP1 antibody [EPR19275] (<a href='/en-us/products/primary-antibodies/drp1-antibody-epr19275-ab184248'>ab184248</a>) at 1/1000 dilution

Lane 1:

A549 (Human lung carcinoma cell line) whole cell lysate at 20 µg

Lane 2:

HeLa (Human epithelial cell line from cervix adenocarcinoma) whole cell lysate at 20 µg

Lane 3:

Jurkat (Human T cell leukemia cell line from peripheral blood) whole cell lysate at 20 µg

Lane 4:

HEK-293 (Human epithelial cell line from embryonic kidney) whole cell lysate at 20 µg

Lane 5:

HCT 116 (Human colorectal carcinoma cell line) whole cell lysate at 20 µg

Lane 6:

HepG2 (Human liver hepatocellular carcinoma cell line) whole cell lysate at 20 µg

Lane 7:

PC-12 (Rat adrenal gland pheochromocytoma cell line) whole cell lysate at 20 µg

Lane 8:

NIH/3T3 (Mouse embryonic fibroblast cell line) whole cell lysate at 20 µg

Lane 9:

U-2 OS (Human bone osteosarcoma epithelial cell line) whole cell lysate at 20 µg

Secondary

All lanes:

Western blot - Goat Anti-Rabbit IgG H&L (HRP) (<a href='/en-us/products/secondary-antibodies/goat-rabbit-igg-h-l-hrp-ab97051'>ab97051</a>) at 1/100000 dilution

Predicted band size: 82 kDa

Observed band size: 83 kDa

false

Western blot - Anti-DRP1 antibody [EPR19275] - BSA and Azide free (AB250742)
  • WB

Supplier Data

Western blot - Anti-DRP1 antibody [EPR19275] - BSA and Azide free (AB250742)

This data was developed using ab184248, the same antibody clone in a different buffer formulation.

Blocking and dilution buffer : 5% NFDM/TBST.

All lanes:

Western blot - Anti-DRP1 antibody [EPR19275] (<a href='/en-us/products/primary-antibodies/drp1-antibody-epr19275-ab184248'>ab184248</a>) at 1/1000 dilution

Lane 1:

Human fetal heart lysate at 10 µg

Lane 2:

Human fetal kidney lysate at 10 µg

Secondary

All lanes:

Western blot - VeriBlot for IP Detection Reagent (HRP) (<a href='/en-us/products/reagents/veriblot-for-ip-detection-reagent-hrp-ab131366'>ab131366</a>) at 1/100000 dilution

Predicted band size: 82 kDa

Observed band size: 83 kDa

false

Exposure time: 30s

Western blot - Anti-DRP1 antibody [EPR19275] - BSA and Azide free (AB250742)
  • WB

Supplier Data

Western blot - Anti-DRP1 antibody [EPR19275] - BSA and Azide free (AB250742)

This data was developed using ab184248, the same antibody clone in a different buffer formulation.

Blocking and dilution buffer : 5% NFDM/TBST.

Exposure times : Lanes 1 and 4 : 1 second; Lane 2 : 3 seconds; Lane 3 : 10 seconds; Lanes 5-6 : 5 seconds.

All lanes:

Western blot - Anti-DRP1 antibody [EPR19275] (<a href='/en-us/products/primary-antibodies/drp1-antibody-epr19275-ab184248'>ab184248</a>) at 1/1000 dilution

Lane 1:

Mouse brain tissue lysate at 10 µg

Lane 2:

Mouse heart tissue lysate at 10 µg

Lane 3:

Mouse spleen tissue lysate at 10 µg

Lane 4:

Rat brain tissue lysate at 10 µg

Lane 5:

Rat heart tissue lysate at 10 µg

Lane 6:

Rat spleen tissue lysate at 10 µg

Secondary

All lanes:

Western blot - Goat Anti-Rabbit IgG H&L (HRP) (<a href='/en-us/products/secondary-antibodies/goat-rabbit-igg-h-l-hrp-ab97051'>ab97051</a>) at 1/100000 dilution

Predicted band size: 82 kDa

Observed band size: 83 kDa

false

Key facts

Host species

Rabbit

Clonality

Monoclonal

Clone number

EPR19275

Isotype

IgG

Carrier free

Yes

Reacts with

Mouse, Rat, Human

Applications

IHC-P, IP, Flow Cyt (Intra), WB

applications

Immunogen

The exact immunogen used to generate this antibody is proprietary information.

Reactivity data

{ "title": "Reactivity Data", "filters": { "stats": ["", "Species", "Dilution Info", "Notes"], "tabs": { "all-applications": {"fullname" : "All Applications", "shortname": "All Applications"}, "IP" : {"fullname" : "Immunoprecipitation", "shortname":"IP"}, "WB" : {"fullname" : "Western blot", "shortname":"WB"}, "FlowCytIntra" : {"fullname" : "Flow Cytometry (Intracellular)", "shortname":"Flow Cyt (Intra)"}, "IHCP" : {"fullname" : "Immunohistochemistry (Formalin/PFA-fixed paraffin-embedded sections)", "shortname":"IHC-P"} }, "product-promise": { "all": "all", "testedAndGuaranteed": "tested", "guaranteed": "expected", "predicted": "predicted", "notRecommended": "not-recommended" } }, "values": { "Human": { "IP-species-checked": "testedAndGuaranteed", "IP-species-dilution-info": "", "IP-species-notes": "<p></p>", "WB-species-checked": "testedAndGuaranteed", "WB-species-dilution-info": "", "WB-species-notes": "<p></p>", "FlowCytIntra-species-checked": "testedAndGuaranteed", "FlowCytIntra-species-dilution-info": "", "FlowCytIntra-species-notes": "<p></p>", "IHCP-species-checked": "testedAndGuaranteed", "IHCP-species-dilution-info": "", "IHCP-species-notes": "<p></p>" }, "Mouse": { "IP-species-checked": "guaranteed", "IP-species-dilution-info": "", "IP-species-notes": "", "WB-species-checked": "testedAndGuaranteed", "WB-species-dilution-info": "", "WB-species-notes": "<p></p>", "FlowCytIntra-species-checked": "guaranteed", "FlowCytIntra-species-dilution-info": "", "FlowCytIntra-species-notes": "", "IHCP-species-checked": "testedAndGuaranteed", "IHCP-species-dilution-info": "", "IHCP-species-notes": "<p></p>" }, "Rat": { "IP-species-checked": "guaranteed", "IP-species-dilution-info": "", "IP-species-notes": "", "WB-species-checked": "testedAndGuaranteed", "WB-species-dilution-info": "", "WB-species-notes": "<p></p>", "FlowCytIntra-species-checked": "guaranteed", "FlowCytIntra-species-dilution-info": "", "FlowCytIntra-species-notes": "", "IHCP-species-checked": "testedAndGuaranteed", "IHCP-species-dilution-info": "", "IHCP-species-notes": "<p></p>" } } }

Product details

ab250742 is the carrier-free version of ab184248.

Patented technology
Our RabMAb® technology is a patented hybridoma-based technology for making rabbit monoclonal antibodies. For details on our patents, please refer to RabMAb® patents.

What are the advantages of a recombinant monoclonal antibody?
This product is a recombinant monoclonal antibody, which offers several advantages including:

  • - High batch-to-batch consistency and reproducibility
  • - Improved sensitivity and specificity
  • - Long-term security of supply
  • - Animal-free batch production

For more information, read more on recombinant antibodies.

Conjugation ready
Our carrier-free antibodies are typically supplied in a PBS-only formulation, purified and free of BSA, sodium azide and glycerol. This conjugation-ready format is designed for use with fluorochromes, metal isotopes, oligonucleotides, and enzymes, which makes them ideal for antibody labelling, functional and cell-based assays, flow-based assays (e.g. mass cytometry) and Multiplex Imaging applications.

Use our conjugation kits for antibody conjugates that are ready-to-use in as little as 20 minutes with 1 minute hands-on-time and 100% antibody recovery: available for fluorescent dyes, HRP, biotin and gold.

Compatibility
This product is compatible with the Maxpar® Antibody Labeling Kit from Fluidigm, without the need for antibody preparation. Maxpar® is a trademark of Fluidigm Canada Inc.

Properties and storage information

Form
Liquid
Purification technique
Affinity purification Protein A
Storage buffer
pH: 7.2 - 7.4 Constituents: PBS
Shipped at conditions
Blue Ice
Appropriate short-term storage conditions
+4°C
Appropriate long-term storage conditions
+4°C
Storage information
Do Not Freeze

Supplementary information

This supplementary information is collated from multiple sources and compiled automatically.

The DRP1 protein also known as Dynamin-Related Protein 1 has a molecular weight of approximately 80 kDa. DRP1 is a GTPase that plays a central role in mitochondrial fission. The protein is widely expressed in many tissues with high levels in the brain heart and skeletal muscles. It functionally interacts with other proteins on the mitochondrial membrane to drive the division of mitochondria. As a mechanism DRP1 assembles into ring-like structures around constriction points on the outer mitochondrial membrane facilitating membrane scission.
Biological function summary

DRP1 regulates mitochondrial morphology by controlling mitochondrial division. This process is essential in maintaining the balance between mitochondrial fission and fusion which affects mitochondrial distribution and function. DRP1 also associates with protein complexes involved in this dynamic balance including MFF (mitochondrial fission factor) and FIS1 (fission 1 protein). Phosphorylation state of DRP1 influences its activity; different phosphorylation sites either activate or inhibit its function.

Pathways

The mechanical action of DRP1 integrates closely into the mitochondrial quality control and apoptosis pathways. Mitochondrial fission driven by DRP1 is necessary for the removal of damaged mitochondria through mitophagy. It also influences the apoptotic pathway where DRP1 translocates to mitochondria under pro-apoptotic signals often in interaction with proteins such as Bax and Bak that promote cytochrome c release. This relationship affects cell survival and energy homeostasis.

Improper regulation of DRP1 is linked to neurodegenerative diseases like Alzheimer's disease and Parkinson's disease. Altered DRP1 activity or expression disrupts mitochondrial homeostasis contributing to neuronal cell death pathways. Connections with proteins such as Tau in Alzheimer's and Parkin in Parkinson's influence the progression of these disorders. Additionally DRP1's role in cardiac disorders highlights its importance in maintaining normal cardiac function through mitochondrial regulation.

Product protocols

For this product, it's our understanding that no specific protocols are required. You can visit:

Target data

Functions in mitochondrial and peroxisomal division (PubMed : 11514614, PubMed : 12499366, PubMed : 17301055, PubMed : 17460227, PubMed : 17553808, PubMed : 18695047, PubMed : 18838687, PubMed : 19342591, PubMed : 19411255, PubMed : 19638400, PubMed : 23283981, PubMed : 23530241, PubMed : 23921378, PubMed : 26992161, PubMed : 27145208, PubMed : 27145933, PubMed : 27301544, PubMed : 27328748, PubMed : 29478834, PubMed : 32439975, PubMed : 32484300, PubMed : 9570752, PubMed : 9786947). Mediates membrane fission through oligomerization into membrane-associated tubular structures that wrap around the scission site to constrict and sever the mitochondrial membrane through a GTP hydrolysis-dependent mechanism (PubMed : 23530241, PubMed : 23584531, PubMed : 33850055). The specific recruitment at scission sites is mediated by membrane receptors like MFF, MIEF1 and MIEF2 for mitochondrial membranes (PubMed : 23283981, PubMed : 23921378, PubMed : 29899447). While the recruitment by the membrane receptors is GTP-dependent, the following hydrolysis of GTP induces the dissociation from the receptors and allows DNM1L filaments to curl into closed rings that are probably sufficient to sever a double membrane (PubMed : 29899447). Acts downstream of PINK1 to promote mitochondrial fission in a PRKN-dependent manner (PubMed : 32484300). Plays an important role in mitochondrial fission during mitosis (PubMed : 19411255, PubMed : 26992161, PubMed : 27301544, PubMed : 27328748). Through its function in mitochondrial division, ensures the survival of at least some types of postmitotic neurons, including Purkinje cells, by suppressing oxidative damage (By similarity). Required for normal brain development, including that of cerebellum (PubMed : 17460227, PubMed : 26992161, PubMed : 27145208, PubMed : 27301544, PubMed : 27328748). Facilitates developmentally regulated apoptosis during neural tube formation (By similarity). Required for a normal rate of cytochrome c release and caspase activation during apoptosis; this requirement may depend upon the cell type and the physiological apoptotic cues (By similarity). Required for formation of endocytic vesicles (PubMed : 20688057, PubMed : 23792689, PubMed : 9570752). Proposed to regulate synaptic vesicle membrane dynamics through association with BCL2L1 isoform Bcl-X(L) which stimulates its GTPase activity in synaptic vesicles; the function may require its recruitment by MFF to clathrin-containing vesicles (PubMed : 17015472, PubMed : 23792689). Required for programmed necrosis execution (PubMed : 22265414). Rhythmic control of its activity following phosphorylation at Ser-637 is essential for the circadian control of mitochondrial ATP production (PubMed : 29478834).. Isoform 1. Inhibits peroxisomal division when overexpressed.. Isoform 4. Inhibits peroxisomal division when overexpressed.
See full target information DNM1L

Publications (1)

Recent publications for all applications. Explore the full list and refine your search

Nature cell biology 24:1541-1557 PubMed36192632

2022

Alternative RNA splicing modulates ribosomal composition and determines the spatial phenotype of glioblastoma cells.

Applications

Unspecified application

Species

Unspecified reactive species

Tatyana D Larionova,Soniya Bastola,Tatiana E Aksinina,Ksenia S Anufrieva,Jia Wang,Victoria O Shender,Dmitriy E Andreev,Tatiana F Kovalenko,Georgij P Arapidi,Polina V Shnaider,Anastasia N Kazakova,Yaroslav A Latyshev,Victor V Tatarskiy,Alexander A Shtil,Pascale Moreau,Francis Giraud,Chaoxi Li,Yichan Wang,Maria P Rubtsova,Olga A Dontsova,Michael Condro,Benjamin M Ellingson,Mikhail I Shakhparonov,Harley I Kornblum,Ichiro Nakano,Marat S Pavlyukov
View all publications

Product promise

We are committed to supporting your work with high-quality reagents, and we're here for you every step of the way. In the unlikely event that one of our products does not perform as expected, you're protected by our Product Promise.
For full details, please see our Terms & Conditions

Please note: All products are 'FOR RESEARCH USE ONLY. NOT FOR USE IN DIAGNOSTIC OR THERAPEUTIC PROCEDURES'.

For licensing inquiries, please contact partnerships@abcam.com