JavaScript is disabled in your browser. Please enable JavaScript to view this website.
AB156951

Anti-DRP1 antibody [OTI4F6]

Be the first to review this product! Submit a review

|

(15 Publications)

Mouse Monoclonal DRP1 antibody. Suitable for WB, IHC-P and reacts with Human, Transfected cell lysate - Human, Mouse, Rat, Dog, African green monkey samples. Cited in 15 publications. Immunogen corresponding to Recombinant Full Length Protein corresponding to Human DNM1L.

View Alternative Names

DLP1, DRP1, DNM1L, Dynamin-1-like protein, Dnm1p/Vps1p-like protein, Dynamin family member proline-rich carboxyl-terminal domain less, Dynamin-like protein, Dynamin-like protein 4, Dynamin-like protein IV, Dynamin-related protein 1, DVLP, Dymple, HdynIV

7 Images
Immunohistochemistry (Formalin/PFA-fixed paraffin-embedded sections) - Anti-DRP1 antibody [OTI4F6] (AB156951)
  • IHC-P

Unknown

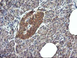
Immunohistochemistry (Formalin/PFA-fixed paraffin-embedded sections) - Anti-DRP1 antibody [OTI4F6] (AB156951)

Immunohistochemical analysis of paraffin-embedded Human pancreas tissue labeling DRP1 with ab156951 at 1/150 dilution

Immunohistochemistry (Formalin/PFA-fixed paraffin-embedded sections) - Anti-DRP1 antibody [OTI4F6] (AB156951)
  • IHC-P

Unknown

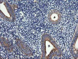
Immunohistochemistry (Formalin/PFA-fixed paraffin-embedded sections) - Anti-DRP1 antibody [OTI4F6] (AB156951)

Immunohistochemical analysis of paraffin-embedded Human endometrium tissue labeling DRP1 with ab156951 at 1/150 dilution

Immunohistochemistry (Formalin/PFA-fixed paraffin-embedded sections) - Anti-DRP1 antibody [OTI4F6] (AB156951)
  • IHC-P

Unknown

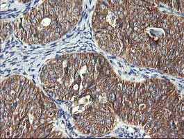
Immunohistochemistry (Formalin/PFA-fixed paraffin-embedded sections) - Anti-DRP1 antibody [OTI4F6] (AB156951)

Immunohistochemical analysis of paraffin-embedded Human pancreas carcinoma tissue labeling DRP1 with ab156951 at 1/150 dilution

Immunohistochemistry (Formalin/PFA-fixed paraffin-embedded sections) - Anti-DRP1 antibody [OTI4F6] (AB156951)
  • IHC-P

Unknown

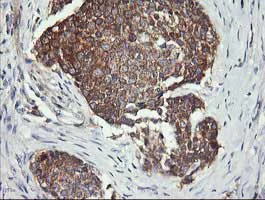
Immunohistochemistry (Formalin/PFA-fixed paraffin-embedded sections) - Anti-DRP1 antibody [OTI4F6] (AB156951)

Immunohistochemical analysis of paraffin-embedded Human lung carcinoma tissue labeling DRP1 with ab156951 at 1/150 dilution

Immunohistochemistry (Formalin/PFA-fixed paraffin-embedded sections) - Anti-DRP1 antibody [OTI4F6] (AB156951)
  • IHC-P

Unknown

Immunohistochemistry (Formalin/PFA-fixed paraffin-embedded sections) - Anti-DRP1 antibody [OTI4F6] (AB156951)

Immunohistochemical analysis of paraffin-embedded Human ovary adenocarcinoma tissue labeling DRP1 with ab156951 at 1/150 dilution

Western blot - Anti-DRP1 antibody [OTI4F6] (AB156951)
  • WB

Unknown

Western blot - Anti-DRP1 antibody [OTI4F6] (AB156951)

HEK293T cell lysates were generated from transient transfection of the cDNA clone RC200418

All lanes:

Western blot - Anti-DRP1 antibody [OTI4F6] (ab156951) at 1/200 dilution

Lane 1:

HEK293T cells transfected with pCMV6-ENTRY control cDNA at 5 µg

Lane 2:

HEK293T cells transfected with pCMV6-ENTRY DRP1 cDNA at 5 µg

Predicted band size: 56 kDa,82 kDa

false

Western blot - Anti-DRP1 antibody [OTI4F6] (AB156951)
  • WB

Unknown

Western blot - Anti-DRP1 antibody [OTI4F6] (AB156951)

HEK293T cell lysates were generated from transient transfection of the cDNA clone RC200418

All lanes:

Western blot - Anti-DRP1 antibody [OTI4F6] (ab156951) at 1/200 dilution

Lane 1:

HepG2 cell extract at 35 µg

Lane 2:

HeLa cell extract at 35 µg

Lane 3:

SVT2 cell extract at 35 µg

Lane 4:

A549 cell extract at 35 µg

Lane 5:

COS-7 (African green monkey kidney fibroblast-like cell line) cell extract at 35 µg

Lane 6:

Jurkat cell extract at 35 µg

Lane 7:

MDCK cell extract at 35 µg

Lane 8:

PC12 cell extract at 35 µg

Lane 9:

MCF7 cell extract at 35 µg

Predicted band size: 82 kDa

false

Key facts

Host species

Mouse

Clonality

Monoclonal

Clone number

OTI4F6

Isotype

IgG2b

Carrier free

No

Reacts with

Mouse, Rat, Dog, Human, African green monkey

Applications

IHC-P, WB

applications

Immunogen

Recombinant Full Length Protein corresponding to Human DNM1L.

O00429

Reactivity data

{ "title": "Reactivity Data", "filters": { "stats": ["", "Species", "Dilution Info", "Notes"], "tabs": { "all-applications": {"fullname" : "All Applications", "shortname": "All Applications"}, "WB" : {"fullname" : "Western blot", "shortname":"WB"}, "IHCP" : {"fullname" : "Immunohistochemistry (Formalin/PFA-fixed paraffin-embedded sections)", "shortname":"IHC-P"} }, "product-promise": { "all": "all", "testedAndGuaranteed": "tested", "guaranteed": "expected", "predicted": "predicted", "notRecommended": "not-recommended" } }, "values": { "Human": { "WB-species-checked": "testedAndGuaranteed", "WB-species-dilution-info": "1/200 - 1/4000", "WB-species-notes": "<p></p>", "IHCP-species-checked": "testedAndGuaranteed", "IHCP-species-dilution-info": "1/150", "IHCP-species-notes": "<p></p>" }, "Mouse": { "WB-species-checked": "testedAndGuaranteed", "WB-species-dilution-info": "1/200 - 1/4000", "WB-species-notes": "<p></p>", "IHCP-species-checked": "guaranteed", "IHCP-species-dilution-info": "", "IHCP-species-notes": "" }, "Rat": { "WB-species-checked": "testedAndGuaranteed", "WB-species-dilution-info": "1/200 - 1/4000", "WB-species-notes": "<p></p>", "IHCP-species-checked": "guaranteed", "IHCP-species-dilution-info": "", "IHCP-species-notes": "" }, "African green monkey": { "WB-species-checked": "testedAndGuaranteed", "WB-species-dilution-info": "1/200 - 1/4000", "WB-species-notes": "<p></p>", "IHCP-species-checked": "guaranteed", "IHCP-species-dilution-info": "", "IHCP-species-notes": "" }, "Dog": { "WB-species-checked": "testedAndGuaranteed", "WB-species-dilution-info": "1/200 - 1/4000", "WB-species-notes": "<p></p>", "IHCP-species-checked": "guaranteed", "IHCP-species-dilution-info": "", "IHCP-species-notes": "" }, "Transfected cell lysate - Human": { "WB-species-checked": "testedAndGuaranteed", "WB-species-dilution-info": "1/200 - 1/4000", "WB-species-notes": "<p></p>", "IHCP-species-checked": "notRecommended", "IHCP-species-dilution-info": "", "IHCP-species-notes": "" } } }

Product details

Dilute in PBS (pH7.3) before use.

The clone number has been updated from 4F6 to OTI4F6, both clone numbers name the same clone.

This product was changed from ascites to tissue culture supernatant on 6th September 2018. Please note that the dilutions may need to be adjusted accordingly. If you have any questions, please do not hesitate to contact our scientific support team.

Properties and storage information

Form
Liquid
Purification technique
Affinity purification Protein A
Purification notes
Purified from TCS
Storage buffer
pH: 7.3 Preservative: 0.02% Sodium azide Constituents: PBS, 50% Glycerol (glycerin, glycerine), 1% BSA
Shipped at conditions
Blue Ice
Appropriate short-term storage conditions
+4°C
Appropriate long-term storage conditions
-20°C
Aliquoting information
Upon delivery aliquot
Storage information
Avoid freeze / thaw cycle

Supplementary information

This supplementary information is collated from multiple sources and compiled automatically.

The DRP1 protein also known as Dynamin-Related Protein 1 has a molecular weight of approximately 80 kDa. DRP1 is a GTPase that plays a central role in mitochondrial fission. The protein is widely expressed in many tissues with high levels in the brain heart and skeletal muscles. It functionally interacts with other proteins on the mitochondrial membrane to drive the division of mitochondria. As a mechanism DRP1 assembles into ring-like structures around constriction points on the outer mitochondrial membrane facilitating membrane scission.
Biological function summary

DRP1 regulates mitochondrial morphology by controlling mitochondrial division. This process is essential in maintaining the balance between mitochondrial fission and fusion which affects mitochondrial distribution and function. DRP1 also associates with protein complexes involved in this dynamic balance including MFF (mitochondrial fission factor) and FIS1 (fission 1 protein). Phosphorylation state of DRP1 influences its activity; different phosphorylation sites either activate or inhibit its function.

Pathways

The mechanical action of DRP1 integrates closely into the mitochondrial quality control and apoptosis pathways. Mitochondrial fission driven by DRP1 is necessary for the removal of damaged mitochondria through mitophagy. It also influences the apoptotic pathway where DRP1 translocates to mitochondria under pro-apoptotic signals often in interaction with proteins such as Bax and Bak that promote cytochrome c release. This relationship affects cell survival and energy homeostasis.

Improper regulation of DRP1 is linked to neurodegenerative diseases like Alzheimer's disease and Parkinson's disease. Altered DRP1 activity or expression disrupts mitochondrial homeostasis contributing to neuronal cell death pathways. Connections with proteins such as Tau in Alzheimer's and Parkin in Parkinson's influence the progression of these disorders. Additionally DRP1's role in cardiac disorders highlights its importance in maintaining normal cardiac function through mitochondrial regulation.

Product protocols

For this product, it's our understanding that no specific protocols are required. You can visit:

Target data

Functions in mitochondrial and peroxisomal division (PubMed : 11514614, PubMed : 12499366, PubMed : 17301055, PubMed : 17460227, PubMed : 17553808, PubMed : 18695047, PubMed : 18838687, PubMed : 19342591, PubMed : 19411255, PubMed : 19638400, PubMed : 23283981, PubMed : 23530241, PubMed : 23921378, PubMed : 26992161, PubMed : 27145208, PubMed : 27145933, PubMed : 27301544, PubMed : 27328748, PubMed : 29478834, PubMed : 32439975, PubMed : 32484300, PubMed : 9570752, PubMed : 9786947). Mediates membrane fission through oligomerization into membrane-associated tubular structures that wrap around the scission site to constrict and sever the mitochondrial membrane through a GTP hydrolysis-dependent mechanism (PubMed : 23530241, PubMed : 23584531, PubMed : 33850055). The specific recruitment at scission sites is mediated by membrane receptors like MFF, MIEF1 and MIEF2 for mitochondrial membranes (PubMed : 23283981, PubMed : 23921378, PubMed : 29899447). While the recruitment by the membrane receptors is GTP-dependent, the following hydrolysis of GTP induces the dissociation from the receptors and allows DNM1L filaments to curl into closed rings that are probably sufficient to sever a double membrane (PubMed : 29899447). Acts downstream of PINK1 to promote mitochondrial fission in a PRKN-dependent manner (PubMed : 32484300). Plays an important role in mitochondrial fission during mitosis (PubMed : 19411255, PubMed : 26992161, PubMed : 27301544, PubMed : 27328748). Through its function in mitochondrial division, ensures the survival of at least some types of postmitotic neurons, including Purkinje cells, by suppressing oxidative damage (By similarity). Required for normal brain development, including that of cerebellum (PubMed : 17460227, PubMed : 26992161, PubMed : 27145208, PubMed : 27301544, PubMed : 27328748). Facilitates developmentally regulated apoptosis during neural tube formation (By similarity). Required for a normal rate of cytochrome c release and caspase activation during apoptosis; this requirement may depend upon the cell type and the physiological apoptotic cues (By similarity). Required for formation of endocytic vesicles (PubMed : 20688057, PubMed : 23792689, PubMed : 9570752). Proposed to regulate synaptic vesicle membrane dynamics through association with BCL2L1 isoform Bcl-X(L) which stimulates its GTPase activity in synaptic vesicles; the function may require its recruitment by MFF to clathrin-containing vesicles (PubMed : 17015472, PubMed : 23792689). Required for programmed necrosis execution (PubMed : 22265414). Rhythmic control of its activity following phosphorylation at Ser-637 is essential for the circadian control of mitochondrial ATP production (PubMed : 29478834).. Isoform 1. Inhibits peroxisomal division when overexpressed.. Isoform 4. Inhibits peroxisomal division when overexpressed.
See full target information DNM1L

Publications (15)

Recent publications for all applications. Explore the full list and refine your search

Clinical and translational medicine 15:e70197 PubMed39968698

2025

E2F1/CDK5/DRP1 axis mediates microglial mitochondrial division and autophagy in the pathogenesis of cerebral ischemia-reperfusion injury.

Applications

Unspecified application

Species

Unspecified reactive species

Ya-Jing Yuan,Tingting Chen,Yan-Ling Yang,Hao-Nan Han,Li-Ming Xu

Molecular medicine (Cambridge, Mass.) 30:222 PubMed39563263

2024

FUT8 upregulates CD36 and its core fucosylation to accelerate pericyte-myofibroblast transition through the mitochondrial-dependent apoptosis pathway during AKI-CKD.

Applications

Unspecified application

Species

Unspecified reactive species

Yaxi Shang,Ziran Wang,Fan Yang,Weidong Wang,Qingzhu Tang,Xianan Guo,Xiangning Du,Xu Zhang,Jiaojiao Hao,Hongli Lin

International journal of biological sciences 20:2658-2685 PubMed38725851

2024

Mitochondrial Dysfunction by FADDosome Promotes Gastric Mucosal Injury in Portal Hypertensive Gastropathy.

Applications

Unspecified application

Species

Unspecified reactive species

Yuelin Xiao,Yiwang Zhang,Kaiduan Xie,Xiaoli Huang,Xianzhi Liu,Jinni Luo,Siwei Tan

Scientific reports 14:10143 PubMed38698042

2024

Mitochondrial SIRT3 as a protective factor against cyclosporine A-induced nephrotoxicity.

Applications

Unspecified application

Species

Unspecified reactive species

Ji Eun Kim,Min Jee Jo,So Yeon Bae,Shin Young Ahn,Gang Jee Ko,Young Joo Kwon

Clinical and translational medicine 14:e1653 PubMed38616702

2024

Mitochondrial dysfunction induced by HIF-1α under hypoxia contributes to the development of gastric mucosal lesions.

Applications

Unspecified application

Species

Unspecified reactive species

Yuelin Xiao,Xianzhi Liu,Kaiduan Xie,Jiajie Luo,Yiwang Zhang,Xiaoli Huang,Jinni Luo,Siwei Tan

Phytotherapy research : PTR 37:5916-5931 PubMed37767771

2023

Resveratrol prevents Drp1-mediated mitochondrial fission in the diabetic kidney through the PDE4D/PKA pathway.

Applications

Unspecified application

Species

Unspecified reactive species

Xia Zhu,Zongli Deng,Yanjuan Cao,Zihui Zhou,Wen Sun,Chang Liu,Siwen Fan,Xiao-Xing Yin

Oxidative medicine and cellular longevity 2022:3639302 PubMed36193086

2022

The E3 Ubiquitin Ligase SYVN1 Plays an Antiapoptotic Role in Polycystic Ovary Syndrome by Regulating Mitochondrial Fission.

Applications

Unspecified application

Species

Unspecified reactive species

Lihua Sun,Hongjuan Ye,Hui Tian,Lirong Xu,Junjie Cai,Caixia Zhang,Rongxiang Wang,Hui Yang,Shuang Zhao,Jiaozhi Zhang,Shaorong Gao

Frontiers in cell and developmental biology 9:661385 PubMed34136481

2021

Mesenchymal Stromal Cells From Emphysematous Donors and Their Extracellular Vesicles Are Unable to Reverse Cardiorespiratory Dysfunction in Experimental Severe Emphysema.

Applications

Unspecified application

Species

Unspecified reactive species

Mariana A Antunes,Cassia L Braga,Tainá B Oliveira,Jamil Z Kitoko,Ligia L Castro,Debora G Xisto,Mariana S Coelho,Nazareth Rocha,Rodrigo P Silva-Aguiar,Celso Caruso-Neves,Eduarda G Martins,Clara Fernandes Carvalho,Antônio Galina,Daniel J Weiss,José R Lapa E Silva,Miquéias Lopes-Pacheco,Fernanda F Cruz,Patricia R M Rocco

Aging and disease 12:441-465 PubMed33815876

2021

Nilotinib Improves Bioenergetic Profiling in Brain Astroglia in the 3xTg Mouse Model of Alzheimer's Disease.

Applications

Unspecified application

Species

Unspecified reactive species

Aida Adlimoghaddam,Gary G Odero,Gordon Glazner,R Scott Turner,Benedict C Albensi

Nutrients 12: PubMed33238473

2020

Sex-Specific Effects of Chronic Creatine Supplementation on Hippocampal-Mediated Spatial Cognition in the 3xTg Mouse Model of Alzheimer's Disease.

Applications

Unspecified application

Species

Unspecified reactive species

Wanda M Snow,Chris Cadonic,Claudia Cortes-Perez,Aida Adlimoghaddam,Subir K Roy Chowdhury,Ella Thomson,Adama Anozie,Michael J Bernstein,Kathleen Gough,Paul Fernyhough,Miyoung Suh,Benedict C Albensi
View all publications

Product promise

We are committed to supporting your work with high-quality reagents, and we're here for you every step of the way. In the unlikely event that one of our products does not perform as expected, you're protected by our Product Promise.
For full details, please see our Terms & Conditions

Please note: All products are 'FOR RESEARCH USE ONLY. NOT FOR USE IN DIAGNOSTIC OR THERAPEUTIC PROCEDURES'.

For licensing inquiries, please contact partnerships@abcam.com