JavaScript is disabled in your browser. Please enable JavaScript to view this website.
AB27156

Anti-ds DNA antibody [35I9 DNA] - BSA and Azide free

4

(10 Reviews)

|

(141 Publications)

Anti-ds DNA antibody [35I9 DNA] - BSA and Azide free (ab27156) is a mouse monoclonal antibody provided in a PBS only buffer for easy conjugation detecting ds DNA in IHC-P.

- BSA, sodium azide, and glycerol-free for easy conjugation
- Over 140 publications
- Trusted since 2005

View Alternative Names

Double stranded DNA, Double stranded deoxyribonucleic acid, dsDNA

1 Images
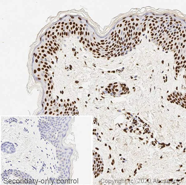
Immunohistochemistry (Formalin/PFA-fixed paraffin-embedded sections) - Anti-ds DNA antibody [35I9 DNA] - BSA and Azide free (AB27156)
  • IHC-P

Lab

Immunohistochemistry (Formalin/PFA-fixed paraffin-embedded sections) - Anti-ds DNA antibody [35I9 DNA] - BSA and Azide free (AB27156)

IHC image of ds DNA staining in a section of formalin-fixed paraffin-embedded normal human skin* performed on a Leica BONDTM system using the standard protocol F. The section was pre-treated using heat mediated antigen retrieval with sodium citrate buffer (pH6, epitope retrieval solution 1) for 20mins. The section was then incubated with ab27156, 0.05ug/ml, for 15 mins at room temperature and detected using an HRP conjugated compact polymer system. DAB was used as the chromogen. The section was then counterstained with haematoxylin and mounted with DPX. The inset secondary-only control image is taken from an identical assay without primary antibody.

For other IHC staining systems (automated and non-automated) customers should optimize variable parameters such as antigen retrieval conditions, primary antibody concentration and antibody incubation times.

Key facts

Host species

Mouse

Clonality

Monoclonal

Clone number

35I9 DNA

Isotype

IgG2a

Light chain type

kappa

Carrier free

Yes

Applications

IHC-P

applications

Specificity

Primarily Double stranded DNA. Measurements by immuno-CE yielded KD's of 0.71 µM and 0.09 µM, for the interaction of this antibody with ss- and dsDNA, respectively. Strong reactivity with both ss- and dsDNA has been observed on dotblots as well as very weak reactivity with RNA.

Reactivity data

{ "title": "Reactivity Data", "filters": { "stats": ["", "Species", "Dilution Info", "Notes"], "tabs": { "all-applications": {"fullname" : "All Applications", "shortname": "All Applications"}, "IHCP" : {"fullname" : "Immunohistochemistry (Formalin/PFA-fixed paraffin-embedded sections)", "shortname":"IHC-P"} }, "product-promise": { "all": "all", "testedAndGuaranteed": "tested", "guaranteed": "expected", "predicted": "predicted", "notRecommended": "not-recommended" } }, "values": { "Nucleic Acid": { "IHCP-species-checked": "testedAndGuaranteed", "IHCP-species-dilution-info": "0.05 µg/mL", "IHCP-species-notes": "<p></p> Perform heat-mediated antigen retrieval with citrate buffer pH 6 before commencing with IHC staining protocol." } } }

Product details

Product Specifications
Anti-ds DNA antibody [35I9 DNA] - BSA and Azide free (ab27156) is a mouse monoclonal antibody provided in a carrier-free, conjugation ready format.
ab27156 is validated in IHC-Pin human samples.
Carrier-free antibodies are compatible with our best-in-class range of Lightning-Link® conjugation kits.
Anti-ds DNA antibody [35I9 DNA] - BSA and Azide free (ab27156) specifically detects ds DNA and is sold in 100 µL selling sizes.

Quality and Validation
Antibody clone 35I9 DNA has been cited over 141 times in peer reviewed journals and is trusted by the scientific community.
Anti-ds DNA antibody [35I9 DNA] - BSA and Azide free (ab27156) has 10 independent reviews from customers.

This antibody has been shown to be useful, in the detection of dsDNA in fx. Crithidia luciliae -a monoflagellate protozoan,containing a giant mitochondrion. Very good reactivity both with dsDNA and ssDNA on NC-dotblots has been observed. The minimal size for DNA binding for this antibody is >16 bases and there is a inverse proportionality between binding and ionic strength.
Abcam recommended secondaries - Goat Anti-Mouse HRP (ab205719) and Goat Anti-Mouse Alexa Fluor® 488 (ab150113). Or search our wide range of secondary antibodies for use with your experiment.

Properties and storage information

Form
Liquid
Purification technique
Affinity purification Protein A
Storage buffer
pH: 7.2 Constituents: PBS
Shipped at conditions
Blue Ice
Appropriate short-term storage conditions
+4°C
Appropriate long-term storage conditions
-20°C
Aliquoting information
Upon delivery aliquot
Storage information
Avoid freeze / thaw cycle

Product protocols

For this product, it's our understanding that no specific protocols are required. You can visit:

Publications (141)

Recent publications for all applications. Explore the full list and refine your search

Frontiers in immunology 14:1235936 PubMed38152396

2023

Cellular RNA and DNA sensing pathways are essential for the dose-dependent response of human monocytes to ionizing radiation.

Applications

Unspecified application

Species

Unspecified reactive species

Natallia Mikhalkevich,Eric Russ,Sergey Iordanskiy

Science advances 9:eadi6681 PubMed38055811

2023

RAD54L2-mediated DNA damage avoidance pathway specifically preserves genome integrity in response to topoisomerase 2 poisons.

Applications

Unspecified application

Species

Unspecified reactive species

Huimin Zhang,Yun Xiong,Yilun Sun,Jeong-Min Park,Dan Su,Xu Feng,Sarah Keast,Mengfan Tang,Min Huang,Chao Wang,Mrinal Srivastava,Chang Yang,Dandan Zhu,Zhen Chen,Siting Li,Ling Yin,Yves Pommier,Junjie Chen

Cell death & disease 14:724 PubMed37935658

2023

DUSP1 protects against ischemic acute kidney injury through stabilizing mtDNA via interaction with JNK.

Applications

Unspecified application

Species

Unspecified reactive species

Lang Shi,Hongchu Zha,Zhou Pan,Jiayi Wang,Yao Xia,Huimin Li,Hua Huang,Ruchi Yue,Zhixia Song,Jiefu Zhu

Pharmaceuticals (Basel, Switzerland) 16: PubMed38004392

2023

Novel Auger-Electron-Emitting Pt-Labeled Pyrrole-Imidazole Polyamide Targeting MYCN Increases Cytotoxicity and Cytosolic dsDNA Granules in MYCN-Amplified Neuroblastoma.

Applications

Unspecified application

Species

Unspecified reactive species

Honoka Obata,Atsushi B Tsuji,Hitomi Sudo,Aya Sugyo,Kaori Hashiya,Hayato Ikeda,Masatoshi Itoh,Katsuyuki Minegishi,Kotaro Nagatsu,Mikako Ogawa,Toshikazu Bando,Hiroshi Sugiyama,Ming-Rong Zhang

The EMBO journal 42:e113104 PubMed37855233

2023

RNase H2 degrades toxic RNA:DNA hybrids behind stalled forks to promote replication restart.

Applications

Unspecified application

Species

Unspecified reactive species

Jonathan Heuzé,Samira Kemiha,Antoine Barthe,Alba Torán Vilarrubias,Elyès Aouadi,Umberto Aiello,Domenico Libri,Yea-Lih Lin,Armelle Lengronne,Jérôme Poli,Philippe Pasero

Open biology 13:230113 PubMed37788708

2023

Tyrosyl-DNA phosphodiesterase 1 (TDP1) and SPRTN protease repair histone 3 and topoisomerase 1 DNA-protein crosslinks .

Applications

Unspecified application

Species

Unspecified reactive species

Ivan Anticevic,Cecile Otten,Luka Vinkovic,Luka Jukic,Marta Popovic

Materials today. Bio 23:100809 PubMed37779919

2023

Combination of irinotecan silicasome nanoparticles with radiation therapy sensitizes immunotherapy by modulating the activation of the cGAS/STING pathway for colorectal cancer.

Applications

Unspecified application

Species

Unspecified reactive species

Lu Wang,Tianyu Zhang,Yile Zheng,Yuting Li,Xiyuan Tang,Qianping Chen,Wei Mao,Weiwei Li,Xiangsheng Liu,Ji Zhu

Nature genetics 55:1721-1734 PubMed37735199

2023

APOBEC3B regulates R-loops and promotes transcription-associated mutagenesis in cancer.

Applications

Unspecified application

Species

Unspecified reactive species

Jennifer L McCann,Agnese Cristini,Emily K Law,Seo Yun Lee,Michael Tellier,Michael A Carpenter,Chiara Beghè,Jae Jin Kim,Anthony Sanchez,Matthew C Jarvis,Bojana Stefanovska,Nuri A Temiz,Erik N Bergstrom,Daniel J Salamango,Margaret R Brown,Shona Murphy,Ludmil B Alexandrov,Kyle M Miller,Natalia Gromak,Reuben S Harris

Methods in molecular biology (Clifton, N.J.) 2701:135-148 PubMed37574479

2023

Isolation and Immunodetection of Enzymatic DNA-Protein Crosslinks by RADAR Assay.

Applications

Unspecified application

Species

Unspecified reactive species

Megan Perry,Gargi Ghosal

Methods in molecular biology (Clifton, N.J.) 2701:149-156 PubMed37574480

2023

Slot Blot Assay for Detection of R Loops.

Applications

Unspecified application

Species

Unspecified reactive species

Altaf H Sarker,Priscilla K Cooper
View all publications

Product promise

We are committed to supporting your work with high-quality reagents, and we're here for you every step of the way. In the unlikely event that one of our products does not perform as expected, you're protected by our Product Promise.
For full details, please see our Terms & Conditions

Associated Products

Select an associated product type
Alternative Product
Primary Antibodies

AB215906

Anti-ds DNA antibody [DSD958] - BSA and Azide free

primary-antibodies

ds-dna-antibody-dsd958-bsa-and-azide-free-ab215906

0

(0 reviews)

Alternative Product
Primary Antibodies

AB215896

Anti-ds DNA antibody [DSD/958]

primary-antibodies

ds-dna-antibody-dsd-958-ab215896

0

(0 reviews)

Alternative Product
Primary Antibodies

AB270732

Anti-ds DNA antibody [121-3]

primary-antibodies

ds-dna-antibody-121-3-ab270732

0

(0 reviews)

Alternative Product
Primary Antibodies

AB270736

Anti-ds DNA antibody [SPM603]

primary-antibodies

ds-dna-antibody-spm603-ab270736

0

(0 reviews)

Please note: All products are 'FOR RESEARCH USE ONLY. NOT FOR USE IN DIAGNOSTIC OR THERAPEUTIC PROCEDURES'.

For licensing inquiries, please contact partnerships@abcam.com