JavaScript is disabled in your browser. Please enable JavaScript to view this website.
AB238113

Anti-Dscam antibody

5

(1 Review)

|

(1 Publication)

Rabbit Polyclonal DSCAM antibody. Suitable for IHC-P and reacts with Human samples. Cited in 1 publication. Immunogen corresponding to Recombinant Fragment Protein within Human Down syndrome cell adhesion molecule aa 1700-1900.

View Alternative Names

Cell adhesion molecule DSCAM, CHD2, Down syndrome cell adhesion molecule, DSCAM

2 Images
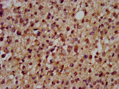
Immunohistochemistry (Formalin/PFA-fixed paraffin-embedded sections) - Anti-Dscam antibody (AB238113)
  • IHC-P

Supplier Data

Immunohistochemistry (Formalin/PFA-fixed paraffin-embedded sections) - Anti-Dscam antibody (AB238113)

Paraffin-embedded human brain tissue stained for Dscam using ab238113 at 1/200 dilution in immunohistochemical analysis.

After dewaxing and hydration, antigen retrieval was mediated by high pressure in a citrate buffer (pH 6.0). Section was blocked with 10% normal goat serum for 30 minutes at room temperature. Then primary antibody (1% BSA) was incubated at 4°C overnight. The primary is detected by a biotinylated secondary antibody and visualized using an HRP conjugated SP system.

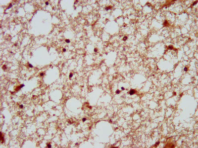
Immunohistochemistry (Formalin/PFA-fixed paraffin-embedded sections) - Anti-Dscam antibody (AB238113)
  • IHC-P

Supplier Data

Immunohistochemistry (Formalin/PFA-fixed paraffin-embedded sections) - Anti-Dscam antibody (AB238113)

Paraffin-embedded human glioma tissue stained for Dscam using ab238113 at 1/200 dilution in immunohistochemical analysis.

After dewaxing and hydration, antigen retrieval was mediated by high pressure in a citrate buffer (pH 6.0). Section was blocked with 10% normal goat serum for 30 minutes at room temperature. Then primary antibody (1% BSA) was incubated at 4°C overnight. The primary is detected by a biotinylated secondary antibody and visualized using an HRP conjugated SP system.

Key facts

Host species

Rabbit

Clonality

Polyclonal

Isotype

IgG

Carrier free

No

Reacts with

Human

Applications

IHC-P

applications

Immunogen

Recombinant Fragment Protein within Human Down syndrome cell adhesion molecule aa 1700-1900. The exact immunogen used to generate this antibody is proprietary information.

O60469

Reactivity data

{ "title": "Reactivity Data", "filters": { "stats": ["", "Species", "Dilution Info", "Notes"], "tabs": { "all-applications": {"fullname" : "All Applications", "shortname": "All Applications"}, "IHCP" : {"fullname" : "Immunohistochemistry (Formalin/PFA-fixed paraffin-embedded sections)", "shortname":"IHC-P"} }, "product-promise": { "all": "all", "testedAndGuaranteed": "tested", "guaranteed": "expected", "predicted": "predicted", "notRecommended": "not-recommended" } }, "values": { "Human": { "IHCP-species-checked": "testedAndGuaranteed", "IHCP-species-dilution-info": "1/200 - 1/500", "IHCP-species-notes": "<p></p>" }, "Mouse": { "IHCP-species-checked": "predicted", "IHCP-species-dilution-info": "", "IHCP-species-notes": "" }, "Rat": { "IHCP-species-checked": "predicted", "IHCP-species-dilution-info": "", "IHCP-species-notes": "" }, "Chicken": { "IHCP-species-checked": "predicted", "IHCP-species-dilution-info": "", "IHCP-species-notes": "" } } }

Properties and storage information

Form
Liquid
Purification technique
Affinity purification Protein G
Purification notes
Purity greater than 95%.
Storage buffer
pH: 7.4 Preservative: 0.03% Proclin 300 Constituents: PBS, 50% Glycerol (glycerin, glycerine)
Shipped at conditions
Blue Ice
Appropriate short-term storage duration
1-2 weeks
Appropriate short-term storage conditions
+4°C
Appropriate long-term storage conditions
-20°C
Aliquoting information
Upon delivery aliquot
Storage information
Avoid freeze / thaw cycle

Supplementary information

This supplementary information is collated from multiple sources and compiled automatically.

Dscam known as Down Syndrome Cell Adhesion Molecule is a protein with a mass of around 230 kDa. It functions as a cell adhesion molecule and is involved in axon guidance. Dscam is expressed in various tissues with high levels in the nervous system particularly during developmental stages. The protein plays a role in neural development by ensuring proper neuronal connections.
Biological function summary

Dscam contributes to neuronal differentiation and synaptic targeting. It belongs to the immunoglobulin superfamily and is involved in forming non-covalent complexes with other cell adhesion molecules. The protein facilitates homophilic binding which regulates axonal and dendritic branching. This process ensures neural circuits form correctly impacting brain development and function.

Pathways

Dscam participates in the neural development pathway which includes interactions with the Robo receptor affecting axonal migration and guidance. The protein also links to the slit-Robo pathway playing a substantial role in neural patterning. These interactions ensure the precise wiring required for functional neural networks influencing how neural signals propagate.

Dscam's dysregulation connects to neurological conditions like Down syndrome and autism spectrum disorders. It interacts with proteins involved in these disorders like the ROBO proteins which mediate axon guidance. Accumulating evidence suggests that altered Dscam expression impairs neuronal connectivity contributing to the pathophysiology of these conditions.

Product protocols

For this product, it's our understanding that no specific protocols are required. You can visit:

Target data

Cell adhesion molecule that plays a role in neuronal self-avoidance. Promotes repulsion between specific neuronal processes of either the same cell or the same subtype of cells. Mediates within retinal amacrine and ganglion cell subtypes both isoneuronal self-avoidance for creating an orderly dendritic arborization and heteroneuronal self-avoidance to maintain the mosaic spacing between amacrine and ganglion cell bodies (PubMed : 10925149). Receptor for netrin required for axon guidance independently of and in collaboration with the receptor DCC. Might also collaborate with UNC5C in NTN1-mediated axon repulsion independently of DCC (By similarity). In spinal cord development plays a role in guiding commissural axons projection and pathfinding across the ventral midline to reach the floor plate upon ligand binding (PubMed : 18585357, PubMed : 19196994). Mediates intracellular signaling by stimulating the activation of MAPK8 and MAP kinase p38 (PubMed : 18585357, PubMed : 19196994). Adhesion molecule that promotes lamina-specific synaptic connections in the retina : expressed in specific subsets of interneurons and retinal ganglion cells (RGCs) and promotes synaptic connectivity via homophilic interactions (By similarity).
See full target information Down syndrome cell adhesion molecule

Publications (1)

Recent publications for all applications. Explore the full list and refine your search

Oncology letters 17:4351-4360 PubMed30944629

2019

Upregulated forkhead-box A3 elevates the expression of forkhead-box A1 and forkhead-box A2 to promote metastasis in esophageal cancer.

Applications

Unspecified application

Species

Unspecified reactive species

Bing Chen,Jiegen Yu,Linming Lu,Fangyuan Dong,Fangfang Zhou,Xiangxiang Tao,Entao Sun
View all publications

Product promise

We are committed to supporting your work with high-quality reagents, and we're here for you every step of the way. In the unlikely event that one of our products does not perform as expected, you're protected by our Product Promise.
For full details, please see our Terms & Conditions

Please note: All products are 'FOR RESEARCH USE ONLY. NOT FOR USE IN DIAGNOSTIC OR THERAPEUTIC PROCEDURES'.

For licensing inquiries, please contact partnerships@abcam.com