JavaScript is disabled in your browser. Please enable JavaScript to view this website.
AB238570

Anti-DSS1 antibody

Be the first to review this product! Submit a review

|

(1 Publication)

Rabbit Polyclonal DSS1 antibody. Suitable for IHC-P and reacts with Human samples. Cited in 1 publication.

View Alternative Names

C7orf76, DSS1, SHFDG1, SHFM1, SEM1, 26S proteasome complex subunit SEM1, 26S proteasome complex subunit DSS1, Deleted in split hand/split foot protein 1, Split hand/foot deleted protein 1, Split hand/foot malformation type 1 protein

2 Images
Immunohistochemistry (Formalin/PFA-fixed paraffin-embedded sections) - Anti-DSS1 antibody (AB238570)
  • IHC-P

Supplier Data

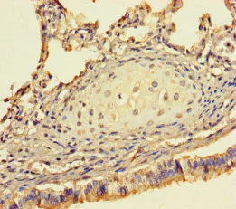
Immunohistochemistry (Formalin/PFA-fixed paraffin-embedded sections) - Anti-DSS1 antibody (AB238570)

Formalin-fixed, paraffin-embedded human lung tissue stained for DSS1 using ab238570 at 1/100 dilution in immunohistochemical analysis.

Immunohistochemistry (Formalin/PFA-fixed paraffin-embedded sections) - Anti-DSS1 antibody (AB238570)
  • IHC-P

Supplier Data

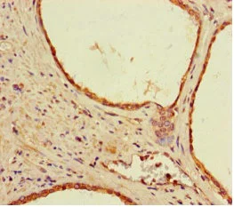
Immunohistochemistry (Formalin/PFA-fixed paraffin-embedded sections) - Anti-DSS1 antibody (AB238570)

Formalin-fixed, paraffin-embedded human prostate cancer tissue stained for DSS1 using ab238570 at 1/100 dilution in immunohistochemical analysis.

Key facts

Host species

Rabbit

Clonality

Polyclonal

Isotype

IgG

Carrier free

No

Reacts with

Human

Applications

IHC-P

applications

Reactivity data

{ "title": "Reactivity Data", "filters": { "stats": ["", "Species", "Dilution Info", "Notes"], "tabs": { "all-applications": {"fullname" : "All Applications", "shortname": "All Applications"}, "IHCP" : {"fullname" : "Immunohistochemistry (Formalin/PFA-fixed paraffin-embedded sections)", "shortname":"IHC-P"} }, "product-promise": { "all": "all", "testedAndGuaranteed": "tested", "guaranteed": "expected", "predicted": "predicted", "notRecommended": "not-recommended" } }, "values": { "Human": { "IHCP-species-checked": "testedAndGuaranteed", "IHCP-species-dilution-info": "1/20 - 1/200", "IHCP-species-notes": "<p></p>" }, "Mouse": { "IHCP-species-checked": "predicted", "IHCP-species-dilution-info": "", "IHCP-species-notes": "" }, "Cow": { "IHCP-species-checked": "predicted", "IHCP-species-dilution-info": "", "IHCP-species-notes": "" } } }

Properties and storage information

Form
Liquid
Purification technique
Affinity purification Protein G
Purification notes
Purity >95%
Storage buffer
pH: 7.4 Preservative: 0.03% Proclin 300 Constituents: PBS, 50% Glycerol (glycerin, glycerine)
Shipped at conditions
Blue Ice
Appropriate short-term storage duration
1-2 weeks
Appropriate short-term storage conditions
+4°C
Appropriate long-term storage conditions
-20°C
Aliquoting information
Upon delivery aliquot
Storage information
Avoid freeze / thaw cycle

Supplementary information

This supplementary information is collated from multiple sources and compiled automatically.

"DSS1" protein also known as Sem1 is a small protein with a molecular mass of approximately 9 kDa. It locates itself in both the nucleus and the cytoplasm of eukaryotic cells. Expressing ubiquitously across various tissues DSS1 plays an essential role in different cellular processes. Its compact size allows flexibility enabling interactions with numerous cellular machinery components.
Biological function summary

DSS1 interacts with several proteins within the cell. It is an integral part of the 26S proteasome and the BRCA2 complex both critical for DNA repair and protein degradation pathways. Through these associations DSS1 contributes to maintaining genomic stability by assisting in the DNA repair processes. The presence in such complexes indicates its multifaceted role in cellular regulation and continuity.

Pathways

DSS1 plays a role in the homologous recombination repair and ubiquitin-proteasome pathways. Its interaction with BRCA2 highlights its importance in the repair of DNA double-strand breaks. In the ubiquitin-proteasome system DSS1 partners with proteins like Rpn3 and Rpn7 influencing degradation of misfolded or damaged proteins ensuring cellular proteostasis.

DSS1 shows a significant connection to cancer and Fanconi anemia. Its association with BRCA2 links it to breast and ovarian cancer susceptibility as defects in this complex impair DNA repair. Additionally abnormalities in DSS1 or its related pathways can contribute to Fanconi anemia where the DNA repair machinery is compromised. Understanding these roles further emphasizes the importance of DSS1 in cellular health and pathology.

Product protocols

For this product, it's our understanding that no specific protocols are required. You can visit:

Target data

Component of the 26S proteasome, a multiprotein complex involved in the ATP-dependent degradation of ubiquitinated proteins. This complex plays a key role in the maintenance of protein homeostasis by removing misfolded or damaged proteins, which could impair cellular functions, and by removing proteins whose functions are no longer required. Therefore, the proteasome participates in numerous cellular processes, including cell cycle progression, apoptosis, or DNA damage repair (PubMed : 15117943). Component of the TREX-2 complex (transcription and export complex 2), composed of at least ENY2, GANP, PCID2, SEM1, and either centrin CETN2 or CETN3 (PubMed : 22307388). The TREX-2 complex functions in docking export-competent ribonucleoprotein particles (mRNPs) to the nuclear entrance of the nuclear pore complex (nuclear basket). TREX-2 participates in mRNA export and accurate chromatin positioning in the nucleus by tethering genes to the nuclear periphery. Binds and stabilizes BRCA2 and is thus involved in the control of R-loop-associated DNA damage and thus transcription-associated genomic instability. R-loop accumulation increases in SEM1-depleted cells.
See full target information SEM1

Publications (1)

Recent publications for all applications. Explore the full list and refine your search

Immunity, inflammation and disease 11:e1022 PubMed37904707

2023

The CD2-CD58 axis: A novel marker predicting poor prognosis in patients with low-grade gliomas and potential therapeutic approaches.

Applications

Unspecified application

Species

Unspecified reactive species

Mingwei Wu,Yiyuan Chen,Gao Hua,Liu Chunhui
View all publications

Product promise

We are committed to supporting your work with high-quality reagents, and we're here for you every step of the way. In the unlikely event that one of our products does not perform as expected, you're protected by our Product Promise.
For full details, please see our Terms & Conditions

Please note: All products are 'FOR RESEARCH USE ONLY. NOT FOR USE IN DIAGNOSTIC OR THERAPEUTIC PROCEDURES'.

For licensing inquiries, please contact partnerships@abcam.com