JavaScript is disabled in your browser. Please enable JavaScript to view this website.
AB186754

Anti-DSTN antibody [EPR15827(B)]

4

(1 Review)

|

(6 Publications)

Rabbit Recombinant Monoclonal DSTN antibody. Suitable for IP, WB, ICC/IF, Flow Cyt (Intra), IHC-P and reacts with Human, Mouse, Rat samples. Cited in 6 publications.

View Alternative Names

ACTDP, DSN, DSTN, Destrin, Actin-depolymerizing factor, ADF

9 Images
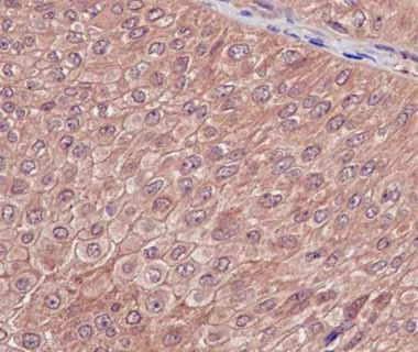
Immunohistochemistry (Formalin/PFA-fixed paraffin-embedded sections) - Anti-DSTN antibody [EPR15827(B)] (AB186754)
  • IHC-P

Supplier Data

Immunohistochemistry (Formalin/PFA-fixed paraffin-embedded sections) - Anti-DSTN antibody [EPR15827(B)] (AB186754)

Immunohistochemical analysis of paraffin-embedded Human bladder transitional cell carcinoma tissue labeling DSTN with ab186754 at 1/100 dilution followed by prediluted HRP Polymer for Rabbit IgG. Counter stained with Hematoxylin.

Perform heat mediated antigen retrieval with EDTA buffer pH 9 before commencing with IHC staining protocol.

Immunocytochemistry/ Immunofluorescence - Anti-DSTN antibody [EPR15827(B)] (AB186754)
  • ICC/IF

Lab

Immunocytochemistry/ Immunofluorescence - Anti-DSTN antibody [EPR15827(B)] (AB186754)

ab186754 staining DSTN in MCF-7 (human breast carcinoma) cells by ICC/IF (Immunocytochemistry/immunofluorescence). Cells were fixed with 100% methanol.. Samples were incubated with primary antibody at a dilution of 1/500. A goat anti rabbit IgG (Alexa Fluor® 488) (ab150077) was used as the secondary antibody at a dilution of 1/1000. DAPI was used as a nuclear counterstain.

Negative control 1 : PBS only.

Immunocytochemistry/ Immunofluorescence - Anti-DSTN antibody [EPR15827(B)] (AB186754)
  • ICC/IF

Supplier Data

Immunocytochemistry/ Immunofluorescence - Anti-DSTN antibody [EPR15827(B)] (AB186754)

Immunofluorescent analysis of 4% paraformaldehyde-fixed MCF-7 cells labeling DSTN with ab186754 at 1/1000 dilution followed by Goat anti rabbit IgG (Alexa Fluor® 555) secondary antibody at 1/200 dilution. Counter stained with Dapi (blue).

Immunocytochemistry/ Immunofluorescence - Anti-DSTN antibody [EPR15827(B)] (AB186754)
  • ICC/IF

Supplier Data

Immunocytochemistry/ Immunofluorescence - Anti-DSTN antibody [EPR15827(B)] (AB186754)

Immunofluorescent analysis of 4% paraformaldehyde-fixed HeLa cells labeling DSTN with ab186754 at 1/500 dilution followed by Goat anti rabbit IgG (Alexa Fluor® 555) secondary antibody at 1/200 dilution. Counter stained with Dapi (blue).

Western blot - Anti-DSTN antibody [EPR15827(B)] (AB186754)
  • WB

Supplier Data

Western blot - Anti-DSTN antibody [EPR15827(B)] (AB186754)

All lanes:

Western blot - Anti-DSTN antibody [EPR15827(B)] (ab186754) at 1/10000 dilution

All lanes:

MCF-7 cell lyate at 20 µg

Secondary

All lanes:

Goat Anti-Rabbit IgG, (H+L), Peroxidase conjugate at 1/1000 dilution

Predicted band size: 19 kDa

Observed band size: 17 kDa

false

Flow Cytometry (Intracellular) - Anti-DSTN antibody [EPR15827(B)] (AB186754)
  • Flow Cyt (Intra)

Supplier Data

Flow Cytometry (Intracellular) - Anti-DSTN antibody [EPR15827(B)] (AB186754)

Intracellular flow cytometric analysis of 2% paraformaldehyde-fixed MCF-7 cells labeling DSTN with ab186754 at 1/360 dilution (red) compared to a Rabbit monoclonal IgG isotype control (green), followed by Goat anti rabbit IgG (FITC) secondary antibody at 1/150 dilution.

Immunoprecipitation - Anti-DSTN antibody [EPR15827(B)] (AB186754)
  • IP

Supplier Data

Immunoprecipitation - Anti-DSTN antibody [EPR15827(B)] (AB186754)

Western blot analysis of DSTN in A549 cell lysate immunoprecipitated with ab186754 at 1/50 dilution.

Secondary antibody : Goat Anti-Rabbit IgG, (H+L), Peroxidase conjugate at 1/1000 dilution.

All lanes:

Immunoprecipitation - Anti-DSTN antibody [EPR15827(B)] (ab186754)

Predicted band size: 19 kDa

false

Western blot - Anti-DSTN antibody [EPR15827(B)] (AB186754)
  • WB

Supplier Data

Western blot - Anti-DSTN antibody [EPR15827(B)] (AB186754)

All lanes:

Western blot - Anti-DSTN antibody [EPR15827(B)] (ab186754) at 1/2000 dilution

Lane 1:

HeLa cell lysate at 20 µg

Lane 2:

A549 cell lysate at 20 µg

Secondary

All lanes:

Goat Anti-Rabbit IgG, (H+L), Peroxidase conjugate at 1/1000 dilution

Predicted band size: 19 kDa

Observed band size: 17 kDa

false

Western blot - Anti-DSTN antibody [EPR15827(B)] (AB186754)
  • WB

Supplier Data

Western blot - Anti-DSTN antibody [EPR15827(B)] (AB186754)

All lanes:

Western blot - Anti-DSTN antibody [EPR15827(B)] (ab186754) at 1/2000 dilution

Lane 1:

C6 cell lysate at 10 µg

Lane 2:

PC-12 cell lysate at 10 µg

Lane 3:

NIH/3T3 cell lysate at 10 µg

Secondary

All lanes:

Goat Anti-Rabbit IgG, (H+L), Peroxidase conjugate at 1/1000 dilution

Predicted band size: 19 kDa

Observed band size: 17 kDa

false

  • Carrier free

    Anti-DSTN antibody [EPR15827(B)] - BSA and Azide free

  • 578 PE

    PE Anti-DSTN antibody [EPR15827(B)]

Key facts

Host species

Rabbit

Clonality

Monoclonal

Clone number

EPR15827(B)

Isotype

IgG

Carrier free

No

Reacts with

Mouse, Rat, Human

Applications

IHC-P, Flow Cyt (Intra), IP, WB, ICC/IF

applications

Immunogen

The exact immunogen used to generate this antibody is proprietary information.

Reactivity data

{ "title": "Reactivity Data", "filters": { "stats": ["", "Species", "Dilution Info", "Notes"], "tabs": { "all-applications": {"fullname" : "All Applications", "shortname": "All Applications"}, "IP" : {"fullname" : "Immunoprecipitation", "shortname":"IP"}, "WB" : {"fullname" : "Western blot", "shortname":"WB"}, "ICCIF" : {"fullname" : "Immunocytochemistry/ Immunofluorescence", "shortname":"ICC/IF"}, "FlowCytIntra" : {"fullname" : "Flow Cytometry (Intracellular)", "shortname":"Flow Cyt (Intra)"}, "IHCP" : {"fullname" : "Immunohistochemistry (Formalin/PFA-fixed paraffin-embedded sections)", "shortname":"IHC-P"} }, "product-promise": { "all": "all", "testedAndGuaranteed": "tested", "guaranteed": "expected", "predicted": "predicted", "notRecommended": "not-recommended" } }, "values": { "Human": { "IP-species-checked": "testedAndGuaranteed", "IP-species-dilution-info": "1/30 - 1/50", "IP-species-notes": "<p></p>", "WB-species-checked": "testedAndGuaranteed", "WB-species-dilution-info": "1/1000 - 1/10000", "WB-species-notes": "<p></p>", "ICCIF-species-checked": "testedAndGuaranteed", "ICCIF-species-dilution-info": "1/500 - 1/1000", "ICCIF-species-notes": "<p></p>", "FlowCytIntra-species-checked": "testedAndGuaranteed", "FlowCytIntra-species-dilution-info": "1/360", "FlowCytIntra-species-notes": "<p><a href='/en-us/products/primary-antibodies/rabbit-igg-monoclonal-epr25a-isotype-control-ab172730'>ab172730</a> - Rabbit monoclonal IgG, is suitable for use as an isotype control with this antibody.</p>", "IHCP-species-checked": "testedAndGuaranteed", "IHCP-species-dilution-info": "1/50 - 1/100", "IHCP-species-notes": "<p></p> Perform heat-mediated antigen retrieval with Tris/EDTA buffer pH 9.0 before commencing with IHC staining protocol." }, "Mouse": { "IP-species-checked": "guaranteed", "IP-species-dilution-info": "", "IP-species-notes": "", "WB-species-checked": "testedAndGuaranteed", "WB-species-dilution-info": "1/1000 - 1/10000", "WB-species-notes": "<p></p>", "ICCIF-species-checked": "guaranteed", "ICCIF-species-dilution-info": "", "ICCIF-species-notes": "", "FlowCytIntra-species-checked": "guaranteed", "FlowCytIntra-species-dilution-info": "", "FlowCytIntra-species-notes": "", "IHCP-species-checked": "guaranteed", "IHCP-species-dilution-info": "", "IHCP-species-notes": "" }, "Rat": { "IP-species-checked": "guaranteed", "IP-species-dilution-info": "", "IP-species-notes": "", "WB-species-checked": "testedAndGuaranteed", "WB-species-dilution-info": "1/1000 - 1/10000", "WB-species-notes": "<p></p>", "ICCIF-species-checked": "guaranteed", "ICCIF-species-dilution-info": "", "ICCIF-species-notes": "", "FlowCytIntra-species-checked": "guaranteed", "FlowCytIntra-species-dilution-info": "", "FlowCytIntra-species-notes": "", "IHCP-species-checked": "guaranteed", "IHCP-species-dilution-info": "", "IHCP-species-notes": "" } } }

Product details

Patented technology
Our RabMAb® technology is a patented hybridoma-based technology for making rabbit monoclonal antibodies. For details on our patents, please refer to RabMAb® patents.

What are the advantages of a recombinant monoclonal antibody?
This product is a recombinant monoclonal antibody, which offers several advantages including:

  • - High batch-to-batch consistency and reproducibility
  • - Improved sensitivity and specificity
  • - Long-term security of supply
  • - Animal-free batch production

For more information, read more on recombinant antibodies.

Properties and storage information

Form
Liquid
Purification technique
Affinity purification Protein A
Storage buffer
pH: 7.2 - 7.4 Preservative: 0.01% Sodium azide Constituents: 59% PBS, 40% Glycerol (glycerin, glycerine), 0.05% BSA
Shipped at conditions
Blue Ice
Appropriate short-term storage duration
1-2 weeks
Appropriate short-term storage conditions
+4°C
Appropriate long-term storage conditions
-20°C
Aliquoting information
Upon delivery aliquot
Storage information
Avoid freeze / thaw cycle

Supplementary information

This supplementary information is collated from multiple sources and compiled automatically.

DSTN also known as destrin or actin depolymerizing factor is an actin-binding protein with a relatively low molecular mass of approximately 19 kDa. DSTN plays a significant role in actin filament dynamics by enhancing the disassembly of actin filaments into monomeric actin components thereby regulating cytoskeleton organization. The protein is present in a wide range of tissues including the brain and skeletal muscles indicating its importance in various physiological processes.
Biological function summary

DSTN regulates actin cytoskeleton remodeling impacting cell shape and motility. It acts by binding to actin enhancing the turnover and dismantling of actin filaments which is critical for maintaining cellular architecture. DSTN is not known to be part of a larger protein complex but it interacts with other actin-related proteins to exert its function efficiently. Its role in cell movement and structure integrates it into larger cellular processes such as cell division migration and potentially signal transduction.

Pathways

Cytoskeletal rearrangement and cell motility highlight the involvement of DSTN. DSTN associates closely with the Rho and Rac signaling pathways pivotal for cytoskeletal changes and cell division processes. Through these pathways DSTN contributes to modulating cellular responses by interacting with proteins like cofilin another actin-binding protein. This interaction with signaling pathways highlights DSTN's broader influence on cellular functions.

DSTN has an association with neurodegenerative diseases and cancer progression. Aberrations in its activity can result in cytoskeletal dysfunctions to which disorders such as Alzheimer’s disease relate due to the importance of cytoskeletal integrity in neuron function. Additionally DSTN's involvement in cell motility links it to cancer metastasis where unchecked cell movement promotes tumor spread. In these diseases DSTN collaborates mutably with the tau protein and other cytoskeletal regulators highlighting DSTN's relevance in pathological conditions.

Product protocols

For this product, it's our understanding that no specific protocols are required. You can visit:

Target data

Actin-depolymerizing protein. Severs actin filaments (F-actin) and binds to actin monomers (G-actin). Acts in a pH-independent manner.
See full target information DSTN

Publications (6)

Recent publications for all applications. Explore the full list and refine your search

Frontiers in oncology 14:1427029 PubMed39206154

2024

Fer governs mTORC1 regulating pathways and sustains viability of pancreatic ductal adenocarcinoma cells.

Applications

Unspecified application

Species

Unspecified reactive species

Ilan Schrier,Orel Slotki-Itzchakov,Yoav Elkis,Nofar Most-Menachem,Orit Adato,Debora Fitoussi-Allouche,Sally Shpungin,Ron Unger,Uri Nir

International journal of radiation oncology, biology, physics 117:198-210 PubMed37019366

2023

DSTN Hypomethylation Promotes Radiotherapy Resistance of Rectal Cancer by Activating the Wnt/β-Catenin Signaling Pathway.

Applications

Unspecified application

Species

Unspecified reactive species

Rongbo Wen,Leqi Zhou,Siyuan Jiang,Hao Fan,Kuo Zheng,Yue Yu,Xianhua Gao,Liqiang Hao,Zheng Lou,Guanyu Yu,Fu Yang,Wei Zhang

Redox biology 62:102676 PubMed36989576

2023

Glutaredoxin 1 protects lens epithelial cells from epithelial-mesenchymal transition by preventing casein kinase 1α S-glutathionylation during posterior capsular opacification.

Applications

Unspecified application

Species

Unspecified reactive species

Chenshuang Li,Xi Chen,Siqi Zhang,Chen Liang,Xiaopan Ma,Ruixue Zhang,Hong Yan

Nature 591:659-664 PubMed33658713

2021

Actin cables and comet tails organize mitochondrial networks in mitosis.

Applications

Unspecified application

Species

Unspecified reactive species

Andrew S Moore,Stephen M Coscia,Cory L Simpson,Fabian E Ortega,Eric C Wait,John M Heddleston,Jeffrey J Nirschl,Christopher J Obara,Pedro Guedes-Dias,C Alexander Boecker,Teng-Leong Chew,Julie A Theriot,Jennifer Lippincott-Schwartz,Erika L F Holzbaur

Frontiers in oncology 10:461 PubMed32426268

2020

WDHD1 Leads to Cisplatin Resistance by Promoting MAPRE2 Ubiquitination in Lung Adenocarcinoma.

Applications

Unspecified application

Species

Unspecified reactive species

Lian Gong,Mengqing Xiao,Dong He,Yi Hu,Yuxing Zhu,Liang Xiang,Ying Bao,Xiaoming Liu,Qinghai Zeng,Jianye Liu,Ming Zhou,Yanhong Zhou,Yaxin Cheng,Yeyu Zhang,Liping Deng,Rongrong Zhu,Hua Lan,Ke Cao

American journal of physiology. Cell physiology 317:C1128-C1142 PubMed31461342

2019

Identification of the intermediate filament protein synemin/SYNM as a target of myocardin family coactivators.

Applications

Unspecified application

Species

Unspecified reactive species

Karl Swärd,Katarzyna K Krawczyk,Björn Morén,Baoyi Zhu,Ljubica Matic,Johan Holmberg,Ulf Hedin,Bengt Uvelius,Karin Stenkula,Catarina Rippe
View all publications

Product promise

We are committed to supporting your work with high-quality reagents, and we're here for you every step of the way. In the unlikely event that one of our products does not perform as expected, you're protected by our Product Promise.
For full details, please see our Terms & Conditions

Please note: All products are 'FOR RESEARCH USE ONLY. NOT FOR USE IN DIAGNOSTIC OR THERAPEUTIC PROCEDURES'.

For licensing inquiries, please contact partnerships@abcam.com