JavaScript is disabled in your browser. Please enable JavaScript to view this website.
AB192262

Anti-DSTN antibody [EPR15828]

Be the first to review this product! Submit a review

|

(2 Publications)

Rabbit Recombinant Monoclonal DSTN antibody. Suitable for IP, WB, ICC/IF, IHC-P and reacts with Human samples. Cited in 2 publications.

View Alternative Names

ACTDP, DSN, DSTN, Destrin, Actin-depolymerizing factor, ADF

4 Images
Immunocytochemistry/ Immunofluorescence - Anti-DSTN antibody [EPR15828] (AB192262)
  • ICC/IF

Lab

Immunocytochemistry/ Immunofluorescence - Anti-DSTN antibody [EPR15828] (AB192262)

Immunofluorescent analysis of 4% formaldehyde fixed MCF-7 cells labeling DSTN using ab192262 at a 1/50 dilution. A Goat anti rabbit IgG (Alexa Fluor®488) ab150077 was used as the secondary at a 1/200 dilution. Permeabilized using 0.1% Triton X-100. The two negative controls; 1. Primary ab concentration (anti-DSTN) is 1 : 50 dilution Secondary ab (Goat anti mouse IgG (Alexa Fluor®594)) is 1 : 500 dilution; 2. Primary ab concentration (anti-DSTN) is 1 : 50 dilution Secondary ab (Goat anti mouse IgG (Alexa Fluor®594)) is 1 : 500 dilution.

Immunohistochemistry (Formalin/PFA-fixed paraffin-embedded sections) - Anti-DSTN antibody [EPR15828] (AB192262)
  • IHC-P

Supplier Data

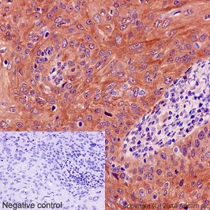
Immunohistochemistry (Formalin/PFA-fixed paraffin-embedded sections) - Anti-DSTN antibody [EPR15828] (AB192262)

Immunohistochemical analysis of paraffin embedded human cervical carcinoma tissue sections labeling DSTN using ab192262 at a 1/100 dilution. A ready to use HRP Polymer for Rabbit IgG was used as the secondary. Hematoxylin counterstain.

Perform heat mediated antigen retrieval with Tris/EDTA buffer pH 9.0 before commencing with IHC staining protocol.

Immunoprecipitation - Anti-DSTN antibody [EPR15828] (AB192262)
  • IP

Supplier Data

Immunoprecipitation - Anti-DSTN antibody [EPR15828] (AB192262)

Lysate from A549 cells was immunoprecipitated with ab192262 at a 1/30 dilution. For the subsequent blot, ab192262 used at a 1/1000 dilution with Goat Anti-Rabbit IgG, (H+L), Peroxidase conjugated at a 1/1000 dilution for the secondary. Blocking/ Dilution buffer : 5% NFDM/TBST.

All lanes:

Immunoprecipitation - Anti-DSTN antibody [EPR15828] (ab192262)

Predicted band size: 19 kDa

false

Western blot - Anti-DSTN antibody [EPR15828] (AB192262)
  • WB

Supplier Data

Western blot - Anti-DSTN antibody [EPR15828] (AB192262)

All lanes:

Western blot - Anti-DSTN antibody [EPR15828] (ab192262) at 1/5000 dilution

Lane 1:

MCF-7 cell lysate at 20 µg

Lane 2:

HepG2 cell lysate at 20 µg

Lane 3:

HeLa cell lysate at 20 µg

Lane 4:

A549 cell lysate at 20 µg

Secondary

All lanes:

Goat Anti-Rabbit IgG, (H+L), Peroxidase conjugated at 1/1000 dilution

Predicted band size: 19 kDa

false

  • Carrier free

    Anti-DSTN antibody [EPR15828] - BSA and Azide free

Key facts

Host species

Rabbit

Clonality

Monoclonal

Clone number

EPR15828

Isotype

IgG

Carrier free

No

Reacts with

Human

Applications

ICC/IF, IP, WB, IHC-P

applications

Immunogen

The exact immunogen used to generate this antibody is proprietary information.

Reactivity data

{ "title": "Reactivity Data", "filters": { "stats": ["", "Species", "Dilution Info", "Notes"], "tabs": { "all-applications": {"fullname" : "All Applications", "shortname": "All Applications"}, "IP" : {"fullname" : "Immunoprecipitation", "shortname":"IP"}, "WB" : {"fullname" : "Western blot", "shortname":"WB"}, "ICCIF" : {"fullname" : "Immunocytochemistry/ Immunofluorescence", "shortname":"ICC/IF"}, "IHCP" : {"fullname" : "Immunohistochemistry (Formalin/PFA-fixed paraffin-embedded sections)", "shortname":"IHC-P"} }, "product-promise": { "all": "all", "testedAndGuaranteed": "tested", "guaranteed": "expected", "predicted": "predicted", "notRecommended": "not-recommended" } }, "values": { "Human": { "IP-species-checked": "testedAndGuaranteed", "IP-species-dilution-info": "1/30", "IP-species-notes": "<p></p>", "WB-species-checked": "testedAndGuaranteed", "WB-species-dilution-info": "1/1000 - 1/10000", "WB-species-notes": "<p></p>", "ICCIF-species-checked": "testedAndGuaranteed", "ICCIF-species-dilution-info": "1/50", "ICCIF-species-notes": "<p></p>", "IHCP-species-checked": "testedAndGuaranteed", "IHCP-species-dilution-info": "1/50 - 1/100", "IHCP-species-notes": "<p></p>" } } }

Product details

Patented technology
Our RabMAb® technology is a patented hybridoma-based technology for making rabbit monoclonal antibodies. For details on our patents, please refer to RabMAb® patents.

What are the advantages of a recombinant monoclonal antibody?
This product is a recombinant monoclonal antibody, which offers several advantages including:

  • - High batch-to-batch consistency and reproducibility
  • - Improved sensitivity and specificity
  • - Long-term security of supply
  • - Animal-free batch production

For more information, read more on recombinant antibodies.

Properties and storage information

Form
Liquid
Purification technique
Affinity purification Protein A
Storage buffer
pH: 7.2 - 7.4 Preservative: 0.01% Sodium azide Constituents: PBS, 40% Glycerol (glycerin, glycerine), 0.05% BSA
Shipped at conditions
Blue Ice
Appropriate short-term storage duration
1-2 weeks
Appropriate short-term storage conditions
+4°C
Appropriate long-term storage conditions
-20°C
Aliquoting information
Upon delivery aliquot
Storage information
Avoid freeze / thaw cycle

Supplementary information

This supplementary information is collated from multiple sources and compiled automatically.

DSTN also known as destrin or actin depolymerizing factor is an actin-binding protein with a relatively low molecular mass of approximately 19 kDa. DSTN plays a significant role in actin filament dynamics by enhancing the disassembly of actin filaments into monomeric actin components thereby regulating cytoskeleton organization. The protein is present in a wide range of tissues including the brain and skeletal muscles indicating its importance in various physiological processes.
Biological function summary

DSTN regulates actin cytoskeleton remodeling impacting cell shape and motility. It acts by binding to actin enhancing the turnover and dismantling of actin filaments which is critical for maintaining cellular architecture. DSTN is not known to be part of a larger protein complex but it interacts with other actin-related proteins to exert its function efficiently. Its role in cell movement and structure integrates it into larger cellular processes such as cell division migration and potentially signal transduction.

Pathways

Cytoskeletal rearrangement and cell motility highlight the involvement of DSTN. DSTN associates closely with the Rho and Rac signaling pathways pivotal for cytoskeletal changes and cell division processes. Through these pathways DSTN contributes to modulating cellular responses by interacting with proteins like cofilin another actin-binding protein. This interaction with signaling pathways highlights DSTN's broader influence on cellular functions.

DSTN has an association with neurodegenerative diseases and cancer progression. Aberrations in its activity can result in cytoskeletal dysfunctions to which disorders such as Alzheimer’s disease relate due to the importance of cytoskeletal integrity in neuron function. Additionally DSTN's involvement in cell motility links it to cancer metastasis where unchecked cell movement promotes tumor spread. In these diseases DSTN collaborates mutably with the tau protein and other cytoskeletal regulators highlighting DSTN's relevance in pathological conditions.

Product protocols

For this product, it's our understanding that no specific protocols are required. You can visit:

Target data

Actin-depolymerizing protein. Severs actin filaments (F-actin) and binds to actin monomers (G-actin). Acts in a pH-independent manner.
See full target information DSTN

Publications (2)

Recent publications for all applications. Explore the full list and refine your search

Bone research 12:10 PubMed38378678

2024

RANKL inhibition reduces lesional cellularity and Gα variant expression and enables osteogenic maturation in fibrous dysplasia.

Applications

Unspecified application

Species

Unspecified reactive species

Luis F de Castro,Jarred M Whitlock,Zachary Michel,Kristen Pan,Jocelyn Taylor,Vivian Szymczuk,Brendan Boyce,Daniel Martin,Vardit Kram,Rebeca Galisteo,Kamran Melikov,Leonid V Chernomordik,Michael T Collins,Alison M Boyce

Genome biology 22:180 PubMed34120636

2021

Positive natural selection of N6-methyladenosine on the RNAs of processed pseudogenes.

Applications

Unspecified application

Species

Unspecified reactive species

Liqiang Tan,Weisheng Cheng,Fang Liu,Dan Ohtan Wang,Linwei Wu,Nan Cao,Jinkai Wang
View all publications

Product promise

We are committed to supporting your work with high-quality reagents, and we're here for you every step of the way. In the unlikely event that one of our products does not perform as expected, you're protected by our Product Promise.
For full details, please see our Terms & Conditions

Please note: All products are 'FOR RESEARCH USE ONLY. NOT FOR USE IN DIAGNOSTIC OR THERAPEUTIC PROCEDURES'.

For licensing inquiries, please contact partnerships@abcam.com