JavaScript is disabled in your browser. Please enable JavaScript to view this website.
AB191395

Anti-DTN-A antibody [EPR14112]

Be the first to review this product! Submit a review

|

(2 Publications)

Rabbit Recombinant Monoclonal DTN-A antibody. Suitable for Flow Cyt (Intra), WB, ICC/IF, IHC-P and reacts with Human samples. Cited in 2 publications.

View Alternative Names

DRP3, DTNA, Dystrobrevin alpha, DTN-A, Alpha-dystrobrevin, Dystrophin-related protein 3

5 Images
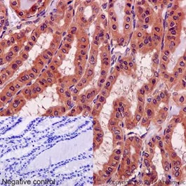
Immunohistochemistry (Formalin/PFA-fixed paraffin-embedded sections) - Anti-DTN-A antibody [EPR14112] (AB191395)
  • IHC-P

Supplier Data

Immunohistochemistry (Formalin/PFA-fixed paraffin-embedded sections) - Anti-DTN-A antibody [EPR14112] (AB191395)

Immunohistochemical analysis of paraffin-embedded Human thyroid carcinoma tissue labeling DTN-A with ab191395 at 1/100 dilution followed by pre-diluted HRP Polymer for Rabbit IgG secondary antibody and counter-stained with Hematoxylin. Inset : Negative control : using PBS instead of primary antibody.

Perform heat mediated antigen retrieval with Tris/EDTA buffer pH 9.0 before commencing with IHC staining protocol.

Flow Cytometry (Intracellular) - Anti-DTN-A antibody [EPR14112] (AB191395)
  • Flow Cyt (Intra)

Supplier Data

Flow Cytometry (Intracellular) - Anti-DTN-A antibody [EPR14112] (AB191395)

Intracellular flow cytometric analysis of A673 cells (paraformaldehyde-fixed, 2%)labeling DTN-A with ab191395 at 1/130 dilution (red) or a rabbit IgG (negative) (green), followed by Goat anti rabbit IgG (FITC) secondary at 1/150 dilution.

Immunocytochemistry/ Immunofluorescence - Anti-DTN-A antibody [EPR14112] (AB191395)
  • ICC/IF

Supplier Data

Immunocytochemistry/ Immunofluorescence - Anti-DTN-A antibody [EPR14112] (AB191395)

Immunofluorescent analysis of U87-MG cells (4% formaldehyde-fixed; 0.1% Triton X-100 permeabilized) labeling DTN-A with ab191395 at 1/250 dilution. A Goat anti rabbit IgG (Alexa Fluor®488) (ab150077) was used as the secondary at 1/200 dilution. Counter-stained with DAPI (blue). Negative controls : Primary ab concentration (anti-DTNA) is 1/250 dilution, Secondary ab (Goat anti mouse IgG (Alexa Fluor®594)) at 1/400 dilution.

Western blot - Anti-DTN-A antibody [EPR14112] (AB191395)
  • WB

Supplier Data

Western blot - Anti-DTN-A antibody [EPR14112] (AB191395)

All lanes:

Western blot - Anti-DTN-A antibody [EPR14112] (ab191395) at 1/10000 dilution

Lane 1:

A673 cell lysate at 10 µg

Lane 2:

U87-MG cell lysate at 10 µg

Secondary

All lanes:

Goat Anti-Rabbit IgG, (H+L), Peroxidase conjugated at 1/1000 dilution

Predicted band size: 84 kDa

false

Western blot - Anti-DTN-A antibody [EPR14112] (AB191395)
  • WB

Supplier Data

Western blot - Anti-DTN-A antibody [EPR14112] (AB191395)

All lanes:

Western blot - Anti-DTN-A antibody [EPR14112] (ab191395) at 1/10000 dilution

Lane 1:

Human fetal brain lysate at 20 µg

Lane 2:

Human cerebellum lysate at 20 µg

Lane 3:

Human skeletal muscle lysate at 20 µg

Secondary

All lanes:

Anti-Rabbit IgG (HRP), specific to the non-reduced form of IgG at 1/1000 dilution

Predicted band size: 84 kDa

false

  • Carrier free

    Anti-DTN-A antibody [EPR14112] - BSA and Azide free

  • 578 PE

    PE Anti-DTN-A antibody [EPR14112]

  • 660 APC

    APC Anti-DTN-A antibody [EPR14112]

  • HRP

    HRP Anti-DTN-A antibody [EPR14112]

  • 519 Alexa Fluor® 488

    Alexa Fluor® 488 Anti-DTN-A antibody [EPR14112]

  • 665 Alexa Fluor® 647

    Alexa Fluor® 647 Anti-DTN-A antibody [EPR14112]

  • 603 Alexa Fluor® 568

    Alexa Fluor® 568 Anti-DTN-A antibody [EPR14112]

  • 617 Alexa Fluor® 594

    Alexa Fluor® 594 Anti-DTN-A antibody [EPR14112]

  • 565 Alexa Fluor® 555

    Alexa Fluor® 555 Anti-DTN-A antibody [EPR14112]

  • 775 Alexa Fluor® 750

    Alexa Fluor® 750 Anti-DTN-A antibody [EPR14112]

Key facts

Host species

Rabbit

Clonality

Monoclonal

Clone number

EPR14112

Isotype

IgG

Carrier free

No

Reacts with

Human

Applications

IHC-P, ICC/IF, Flow Cyt (Intra), WB

applications

Immunogen

The exact immunogen used to generate this antibody is proprietary information.

Reactivity data

{ "title": "Reactivity Data", "filters": { "stats": ["", "Species", "Dilution Info", "Notes"], "tabs": { "all-applications": {"fullname" : "All Applications", "shortname": "All Applications"}, "FlowCytIntra" : {"fullname" : "Flow Cytometry (Intracellular)", "shortname":"Flow Cyt (Intra)"}, "WB" : {"fullname" : "Western blot", "shortname":"WB"}, "ICCIF" : {"fullname" : "Immunocytochemistry/ Immunofluorescence", "shortname":"ICC/IF"}, "IHCP" : {"fullname" : "Immunohistochemistry (Formalin/PFA-fixed paraffin-embedded sections)", "shortname":"IHC-P"} }, "product-promise": { "all": "all", "testedAndGuaranteed": "tested", "guaranteed": "expected", "predicted": "predicted", "notRecommended": "not-recommended" } }, "values": { "Human": { "FlowCytIntra-species-checked": "testedAndGuaranteed", "FlowCytIntra-species-dilution-info": "1/130", "FlowCytIntra-species-notes": "<p><a href='/en-us/products/primary-antibodies/rabbit-igg-monoclonal-epr25a-isotype-control-ab172730'>ab172730</a> - Rabbit monoclonal IgG, is suitable for use as an isotype control with this antibody.</p>", "WB-species-checked": "testedAndGuaranteed", "WB-species-dilution-info": "1/1000 - 1/10000", "WB-species-notes": "<p></p>", "ICCIF-species-checked": "testedAndGuaranteed", "ICCIF-species-dilution-info": "1/250", "ICCIF-species-notes": "<p></p>", "IHCP-species-checked": "testedAndGuaranteed", "IHCP-species-dilution-info": "1/100", "IHCP-species-notes": "<p></p> Perform heat-mediated antigen retrieval with Tris/EDTA buffer pH 9.0 before commencing with IHC staining protocol." }, "Mouse": { "FlowCytIntra-species-checked": "predicted", "FlowCytIntra-species-dilution-info": "", "FlowCytIntra-species-notes": "", "WB-species-checked": "predicted", "WB-species-dilution-info": "", "WB-species-notes": "", "ICCIF-species-checked": "predicted", "ICCIF-species-dilution-info": "", "ICCIF-species-notes": "", "IHCP-species-checked": "predicted", "IHCP-species-dilution-info": "", "IHCP-species-notes": "" }, "Rat": { "FlowCytIntra-species-checked": "predicted", "FlowCytIntra-species-dilution-info": "", "FlowCytIntra-species-notes": "", "WB-species-checked": "predicted", "WB-species-dilution-info": "", "WB-species-notes": "", "ICCIF-species-checked": "predicted", "ICCIF-species-dilution-info": "", "ICCIF-species-notes": "", "IHCP-species-checked": "predicted", "IHCP-species-dilution-info": "", "IHCP-species-notes": "" } } }

Product details

Patented technology
Our RabMAb® technology is a patented hybridoma-based technology for making rabbit monoclonal antibodies. For details on our patents, please refer to RabMAb® patents.

What are the advantages of a recombinant monoclonal antibody?
This product is a recombinant monoclonal antibody, which offers several advantages including:

  • - High batch-to-batch consistency and reproducibility
  • - Improved sensitivity and specificity
  • - Long-term security of supply
  • - Animal-free batch production

For more information, read more on recombinant antibodies.

Properties and storage information

Form
Liquid
Purification technique
Affinity purification Protein A
Storage buffer
pH: 7.2 - 7.4 Preservative: 0.01% Sodium azide Constituents: PBS, 40% Glycerol (glycerin, glycerine), 0.05% BSA
Shipped at conditions
Blue Ice
Appropriate short-term storage duration
1-2 weeks
Appropriate short-term storage conditions
+4°C
Appropriate long-term storage conditions
-20°C
Aliquoting information
Upon delivery aliquot
Storage information
Avoid freeze / thaw cycle

Product protocols

For this product, it's our understanding that no specific protocols are required. You can visit:

Target data

May be involved in the formation and stability of synapses as well as being involved in the clustering of nicotinic acetylcholine receptors.
See full target information DTNA

Publications (2)

Recent publications for all applications. Explore the full list and refine your search

Cell genomics 4:100526 PubMed38537633

2024

A noncoding regulatory variant in IKZF1 increases acute lymphoblastic leukemia risk in Hispanic/Latino children.

Applications

Unspecified application

Species

Unspecified reactive species

Adam J de Smith,Lara Wahlster,Soyoung Jeon,Linda Kachuri,Susan Black,Jalen Langie,Liam D Cato,Nathan Nakatsuka,Tsz-Fung Chan,Guangze Xia,Soumyaa Mazumder,Wenjian Yang,Steven Gazal,Celeste Eng,Donglei Hu,Esteban González Burchard,Elad Ziv,Catherine Metayer,Nicholas Mancuso,Jun J Yang,Xiaomei Ma,Joseph L Wiemels,Fulong Yu,Charleston W K Chiang,Vijay G Sankaran

Acta neuropathologica 145:479-496 PubMed36799992

2023

Variants in DTNA cause a mild, dominantly inherited muscular dystrophy.

Applications

Unspecified application

Species

Unspecified reactive species

Andres Nascimento,Christine C Bruels,Sandra Donkervoort,A Reghan Foley,Anna Codina,Jose C Milisenda,Elicia A Estrella,Chengcheng Li,Jordi Pijuan,Isabelle Draper,Ying Hu,Seth A Stafki,Lynn S Pais,Vijay S Ganesh,Anne O'Donnell-Luria,Safoora B Syeda,Laura Carrera-García,Jessica Expósito-Escudero,Delia Yubero,Loreto Martorell,Iago Pinal-Fernandez,Hart G W Lidov,Andrew L Mammen,Josep M Grau-Junyent,Carlos Ortez,Francesc Palau,Partha S Ghosh,Basil T Darras,Cristina Jou,Louis M Kunkel,Janet Hoenicka,Carsten G Bönnemann,Peter B Kang,Daniel Natera-de Benito
View all publications

Product promise

We are committed to supporting your work with high-quality reagents, and we're here for you every step of the way. In the unlikely event that one of our products does not perform as expected, you're protected by our Product Promise.
For full details, please see our Terms & Conditions

Please note: All products are 'FOR RESEARCH USE ONLY. NOT FOR USE IN DIAGNOSTIC OR THERAPEUTIC PROCEDURES'.

For licensing inquiries, please contact partnerships@abcam.com