JavaScript is disabled in your browser. Please enable JavaScript to view this website.
AB323536

Anti-DUSP2/PAC1 antibody [EPR29656-23]

Be the first to review this product! Submit a review

|

(0 Publication)

Rabbit Recombinant Monoclonal DUS2 antibody. Suitable for WB, Dot and reacts with Human, Mouse, Recombinant fragment - Human samples.

View Alternative Names

PAC1, DUSP2, Dual specificity protein phosphatase 2, Dual specificity protein phosphatase PAC-1

3 Images
Western blot - Anti-DUSP2/PAC1 antibody [EPR29656-23] (AB323536)
  • WB

Supplier Data

Western blot - Anti-DUSP2/PAC1 antibody [EPR29656-23] (AB323536)

Blocking and diluting buffer and concentration : 5% NFDM/TBST.

The expression of DUSP2 is upregulated in response to LPS treatment (PMID : 8649402).

The identity of the higher MW band at approximately 75 kDa (in lanes 1-4) is unknown.

In Western blot, Anti-GAPDH antibody [EPR16891] - Loading Control (ab181602) staining at 1/200000 dilution.

All lanes:

Western blot - Anti-DUSP2/PAC1 antibody [EPR29656-23] (ab323536) at 1/1000 dilution

Lane 1:

Untreated Raji (human Burkitt's lymphoma B lymphocyte) whole cell lysate at 50 µg

Lane 2:

Raji treated with 20ug/ml LPS for 4h whole cell lysate at 50 µg

Lane 3:

Untreated Jurkat (human T cell leukemia T lymphocyte from peripheral blood) whole cell lysate at 50 µg

Lane 4:

Jurkat treated with 1ug/ml PHA for and 40ng/ml PMA for 3h whole cell lysate at 50 µg

Lane 5:

RAW 264.7 (mouse Abelson murine leukemia virus-induced tumor macrophage) whole cell lysate at 50 µg

Secondary

All lanes:

Western blot - Goat Anti-Rabbit IgG H&L (HRP) (<a href='/en-us/products/secondary-antibodies/goat-rabbit-igg-h-l-hrp-ab97051'>ab97051</a>) at 1/20000 dilution

Observed band size: 35 kDa,36 kDa

false

Exposure time: 114s

Dot Blot - Anti-DUSP2/PAC1 antibody [EPR29656-23] (AB323536)
  • Dot

Supplier Data

Dot Blot - Anti-DUSP2/PAC1 antibody [EPR29656-23] (AB323536)

Dot blot analysis of DUSP2/PAC1 using ab323536 at 1 : 1000 (0.507 ug/ml) followed by a Goat Anti-Rabbit IgG, (H+L), Peroxidase conjugated (ab97051) at 1 : 20,000 dilution.

Lane1 : Myc-tagged human DUSP2 recombinant protein 10ng
Lane2 : Myc-tagged human DUSP1 recombinant protein 10ng
Lane3 : Myc-tagged human DUSP5 recombinant protein 10ng
Lane4 : Myc-tagged human DUSP4 recombinant protein 50ng

Exposure time : 180 seconds.

Blocking and diluting buffer and concentration : 5% NFDM/TBST.

All lanes:

Dot Blot - Anti-DUSP2/PAC1 antibody [EPR29656-23] (ab323536) at 1/1000 dilution

Lane 1:

Myc-tagged human DUSP2 recombinant protein at 10 ng

Lane 2:

Myc-tagged human DUSP1 recombinant protein at 10 ng

Lane 3:

Myc-tagged human DUSP5 recombinant protein at 10 ng

Lane 4:

Myc-tagged human DUSP4 recombinant protein at 50 ng

Secondary

All lanes:

Dot Blot - Goat Anti-Rabbit IgG H&L (HRP) (<a href='/en-us/products/secondary-antibodies/goat-rabbit-igg-h-l-hrp-ab97051'>ab97051</a>) at 1/20000 dilution

false

Exposure time: 180s

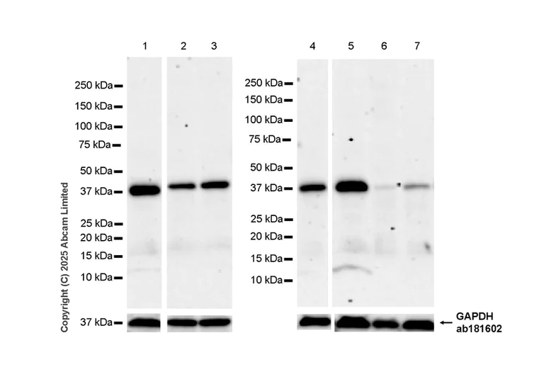
Western blot - Anti-DUSP2/PAC1 antibody [EPR29656-23] (AB323536)
  • WB

Supplier Data

Western blot - Anti-DUSP2/PAC1 antibody [EPR29656-23] (AB323536)

Blocking and diluting buffer and concentration : 5% NFDM/TBST.

Low expression : MEF, F9

The expression of DUSP2 is upregulated in response to LPS treatment (PMID : 8649402).

In Western blot, Anti-GAPDH antibody [EPR16891] - Loading Control (ab181602) staining at 1/200000 dilution.

All lanes:

Western blot - Anti-DUSP2/PAC1 antibody [EPR29656-23] (ab323536) at 1/1000 dilution

Lane 1:

J774A.1 (mouse reticulum cell sarcoma monocyte/macrophage) whole cell lysate at 50 µg

Lane 2:

Untreated LADMAC (mouse bone marrow monocyte macrophage) whole cell lysate at 50 µg

Lane 3:

LADMAC treated with 100 ng/ml LPS for 24h whole cell lysate at 50 µg

Lane 4:

A20 (mouse reticulum sarcoma B lymphocyte) whole cell lysate at 50 µg

Lane 5:

EL4 (mouse lymphoma T lymphocyte) whole cell lysate at 50 µg

Lane 6:

MEF (mouse embryo fibroblast) whole cell lysate at 50 µg

Lane 7:

F9 (mouse embryonal carcinoma epithelial cell) whole cell lysate at 50 µg

Secondary

All lanes:

Western blot - Goat Anti-Rabbit IgG H&L (HRP) (<a href='/en-us/products/secondary-antibodies/goat-rabbit-igg-h-l-hrp-ab97051'>ab97051</a>) at 1/20000 dilution

Observed band size: 35 kDa,36 kDa

false

Exposure time: 114s

Key facts

Host species

Rabbit

Clonality

Monoclonal

Clone number

EPR29656-23

Isotype

IgG

Carrier free

No

Reacts with

Human, Mouse

Applications

Dot, WB

applications

Immunogen

The exact immunogen used to generate this antibody is proprietary information.

Reactivity data

{ "title": "Reactivity Data", "filters": { "stats": ["", "Species", "Dilution Info", "Notes"], "tabs": { "all-applications": {"fullname" : "All Applications", "shortname": "All Applications"}, "WB" : {"fullname" : "Western blot", "shortname":"WB"}, "IHCP" : {"fullname" : "Immunohistochemistry (Formalin/PFA-fixed paraffin-embedded sections)", "shortname":"IHC-P"}, "Dot" : {"fullname" : "Dot Blot", "shortname":"Dot"} }, "product-promise": { "all": "all", "testedAndGuaranteed": "tested", "guaranteed": "expected", "predicted": "predicted", "notRecommended": "not-recommended" } }, "values": { "Human": { "WB-species-checked": "testedAndGuaranteed", "WB-species-dilution-info": "1/1000", "WB-species-notes": "<p></p>", "IHCP-species-checked": "notRecommended", "IHCP-species-dilution-info": "", "IHCP-species-notes": "<p></p>", "Dot-species-checked": "guaranteed", "Dot-species-dilution-info": "", "Dot-species-notes": "" }, "Mouse": { "WB-species-checked": "testedAndGuaranteed", "WB-species-dilution-info": "1/1000", "WB-species-notes": "<p></p>", "IHCP-species-checked": "notRecommended", "IHCP-species-dilution-info": "", "IHCP-species-notes": "<p></p>", "Dot-species-checked": "guaranteed", "Dot-species-dilution-info": "", "Dot-species-notes": "" }, "Recombinant fragment - Human": { "WB-species-checked": "notRecommended", "WB-species-dilution-info": "", "WB-species-notes": "", "IHCP-species-checked": "notRecommended", "IHCP-species-dilution-info": "", "IHCP-species-notes": "", "Dot-species-checked": "testedAndGuaranteed", "Dot-species-dilution-info": "1/1000", "Dot-species-notes": "<p></p>" } } }

Product details

Patented technology
Our RabMAb® technology is a patented hybridoma-based technology for making rabbit monoclonal antibodies. For details on our patents, please refer to RabMAb® patents.

What are the advantages of a recombinant monoclonal antibody?
This product is a recombinant monoclonal antibody, which offers several advantages including:

  • - High batch-to-batch consistency and reproducibility
  • - Improved sensitivity and specificity
  • - Long-term security of supply
  • - Animal-free batch production

For more information, read more on recombinant antibodies.

Properties and storage information

Form
Liquid
Purification technique
Affinity purification Protein A
Storage buffer
pH: 7.2 - 7.4 Preservative: 0.01% Sodium azide Constituents: PBS, 40% Glycerol (glycerin, glycerine), 0.05% BSA
Shipped at conditions
Blue Ice
Appropriate short-term storage duration
1-2 weeks
Appropriate short-term storage conditions
+4°C
Appropriate long-term storage conditions
-20°C
Aliquoting information
Upon delivery aliquot
Storage information
Avoid freeze / thaw cycle

Product protocols

For this product, it's our understanding that no specific protocols are required. You can visit:

Target data

Dephosphorylates both phosphorylated Thr and Tyr residues in MAPK1, and dephosphorylation of phosphotyrosine is slightly faster than that of phosphothreonine (PubMed : 8107850). Can dephosphorylate MAPK1 (By similarity).
See full target information DUSP2

Product promise

We are committed to supporting your work with high-quality reagents, and we're here for you every step of the way. In the unlikely event that one of our products does not perform as expected, you're protected by our Product Promise.
For full details, please see our Terms & Conditions

Please note: All products are 'FOR RESEARCH USE ONLY. NOT FOR USE IN DIAGNOSTIC OR THERAPEUTIC PROCEDURES'.

For licensing inquiries, please contact partnerships@abcam.com