JavaScript is disabled in your browser. Please enable JavaScript to view this website.
AB125077

Anti-DUSP3 antibody [EPR5492]

Be the first to review this product! Submit a review

|

(4 Publications)

Rabbit Recombinant Monoclonal DUSP3 antibody. Suitable for IHC-P, WB and reacts with Mouse, Human samples. Cited in 4 publications.

View Alternative Names

VHR, DUSP3, Dual specificity protein phosphatase 3, Dual specificity protein phosphatase VHR, Vaccinia H1-related phosphatase

3 Images
Western blot - Anti-DUSP3 antibody [EPR5492] (AB125077)
  • WB

Unknown

Western blot - Anti-DUSP3 antibody [EPR5492] (AB125077)

All lanes:

Western blot - Anti-DUSP3 antibody [EPR5492] (ab125077) at 1/50000 dilution

Lane 1:

HeLa cell lysate at 10 µg

Lane 2:

Jurkat cell lysate at 10 µg

Lane 3:

MCF-7 cell lysate at 10 µg

Lane 4:

K562 cell lysate at 10 µg

Secondary

All lanes:

Goat anti-Rabbit HRP at 1/2000 dilution

Predicted band size: 20 kDa

false

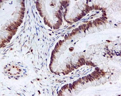
Immunohistochemistry (Formalin/PFA-fixed paraffin-embedded sections) - Anti-DUSP3 antibody [EPR5492] (AB125077)
  • IHC-P

Unknown

Immunohistochemistry (Formalin/PFA-fixed paraffin-embedded sections) - Anti-DUSP3 antibody [EPR5492] (AB125077)

ab125077 at 1/100 staining DUSP3 in paraffin-embedded Human ovarian cancer tissue by immunohistochemistry.

Perform heat mediated antigen retrieval with citrate buffer pH 6 before commencing with IHC staining protocol.

Immunohistochemistry (Formalin/PFA-fixed paraffin-embedded sections) - Anti-DUSP3 antibody [EPR5492] (AB125077)
  • IHC-P

Unknown

Immunohistochemistry (Formalin/PFA-fixed paraffin-embedded sections) - Anti-DUSP3 antibody [EPR5492] (AB125077)

ab125077 at 1/100 staining DUSP3 in paraffin-embedded Mouse kidney tissue by immunohistochemistry.

Perform heat mediated antigen retrieval with citrate buffer pH 6 before commencing with IHC staining protocol.

Key facts

Host species

Rabbit

Clonality

Monoclonal

Clone number

EPR5492

Isotype

IgG

Carrier free

No

Reacts with

Mouse, Human

Applications

IHC-P, WB

applications

Immunogen

The exact immunogen used to generate this antibody is proprietary information.

Reactivity data

{ "title": "Reactivity Data", "filters": { "stats": ["", "Species", "Dilution Info", "Notes"], "tabs": { "all-applications": {"fullname" : "All Applications", "shortname": "All Applications"}, "IHCP" : {"fullname" : "Immunohistochemistry (Formalin/PFA-fixed paraffin-embedded sections)", "shortname":"IHC-P"}, "WB" : {"fullname" : "Western blot", "shortname":"WB"} }, "product-promise": { "all": "all", "testedAndGuaranteed": "tested", "guaranteed": "expected", "predicted": "predicted", "notRecommended": "not-recommended" } }, "values": { "Human": { "IHCP-species-checked": "testedAndGuaranteed", "IHCP-species-dilution-info": "1/100 - 1/250", "IHCP-species-notes": "<p></p> Perform heat-mediated antigen retrieval with citrate buffer pH 6 before commencing with IHC staining protocol.", "WB-species-checked": "testedAndGuaranteed", "WB-species-dilution-info": "1/50000 - 1/200000", "WB-species-notes": "<p></p>" }, "Mouse": { "IHCP-species-checked": "testedAndGuaranteed", "IHCP-species-dilution-info": "1/100 - 1/250", "IHCP-species-notes": "<p></p> Perform heat-mediated antigen retrieval with citrate buffer pH 6 before commencing with IHC staining protocol.", "WB-species-checked": "guaranteed", "WB-species-dilution-info": "", "WB-species-notes": "" }, "Rat": { "IHCP-species-checked": "predicted", "IHCP-species-dilution-info": "", "IHCP-species-notes": "", "WB-species-checked": "predicted", "WB-species-dilution-info": "", "WB-species-notes": "" } } }

Product details

Patented technology
Our RabMAb® technology is a patented hybridoma-based technology for making rabbit monoclonal antibodies. For details on our patents, please refer to RabMAb® patents.

What are the advantages of a recombinant monoclonal antibody?
This product is a recombinant monoclonal antibody, which offers several advantages including:

  • - High batch-to-batch consistency and reproducibility
  • - Improved sensitivity and specificity
  • - Long-term security of supply
  • - Animal-free batch production

For more information, read more on recombinant antibodies.

Properties and storage information

Form
Liquid
Purification technique
Affinity purification Protein A
Storage buffer
pH: 7.2 - 7.4 Preservative: 0.05% Sodium azide Constituents: 50% Tissue culture supernatant, 40% Glycerol (glycerin, glycerine), 9.85% Tris glycine, 0.1% BSA
Shipped at conditions
Blue Ice
Appropriate short-term storage conditions
+4°C
Appropriate long-term storage conditions
-20°C
Storage information
Stable for 12 months at -20°C

Product protocols

For this product, it's our understanding that no specific protocols are required. You can visit:

Target data

Shows activity both for tyrosine-protein phosphate and serine-protein phosphate, but displays a strong preference toward phosphotyrosines (PubMed : 10224087, PubMed : 11863439). Specifically dephosphorylates and inactivates ERK1 and ERK2 (PubMed : 10224087, PubMed : 11863439).
See full target information DUSP3

Publications (4)

Recent publications for all applications. Explore the full list and refine your search

Journal of translational medicine 23:366 PubMed40128893

2025

Mfn2 regulates calcium homeostasis and suppresses PASMCs proliferation via interaction with IP3R3 to mitigate pulmonary arterial hypertension.

Applications

Unspecified application

Species

Unspecified reactive species

Rui Wang,Jie Wang,Jing Yu,Zhiqiang Li,Minfang Zhang,Yuhu Chen,Fen Liu,Dongmei Jiang,Jingfei Guo,Xiaomei Li,Yun Wu

Journal of neuroinflammation 21:197 PubMed39113081

2024

FOSL1-mediated LINC01566 negatively regulates CD4 T-cell activation in myasthenia gravis.

Applications

Unspecified application

Species

Unspecified reactive species

Lifang Li,Danyang Li,Jingnan Jin,Fanfan Xu,Ni He,Yingjie Ren,Xiaokun Wang,Liting Tian,Biying Chen,Xiaoju Li,Zihong Chen,Lanxin Zhang,Lukuan Qiao,Lihua Wang,Jianjian Wang

Bioactive materials 21:194-208 PubMed36101856

2022

Large extracellular vesicles secreted by human iPSC-derived MSCs ameliorate tendinopathy regulating macrophage heterogeneity.

Applications

Unspecified application

Species

Unspecified reactive species

Teng Ye,Zhengsheng Chen,Jieyuan Zhang,Lei Luo,Renzhi Gao,Liangzhi Gong,Yuhang Du,Zongping Xie,Bizeng Zhao,Qing Li,Yang Wang

Redox biology 37:101762 PubMed33128998

2020

Oxidative stress modulates rearrangement of endoplasmic reticulum-mitochondria contacts and calcium dysregulation in a Friedreich's ataxia model.

Applications

Unspecified application

Species

Unspecified reactive species

Laura R Rodríguez,Pablo Calap-Quintana,Tamara Lapeña-Luzón,Federico V Pallardó,Stephan Schneuwly,Juan A Navarro,Pilar Gonzalez-Cabo
View all publications

Product promise

We are committed to supporting your work with high-quality reagents, and we're here for you every step of the way. In the unlikely event that one of our products does not perform as expected, you're protected by our Product Promise.
For full details, please see our Terms & Conditions

Please note: All products are 'FOR RESEARCH USE ONLY. NOT FOR USE IN DIAGNOSTIC OR THERAPEUTIC PROCEDURES'.

For licensing inquiries, please contact partnerships@abcam.com