JavaScript is disabled in your browser. Please enable JavaScript to view this website.
AB220811

Anti-DUSP6 antibody [EPR129Y] - BSA and Azide free

Be the first to review this product! Submit a review

|

(10 Publications)

Rabbit Recombinant Monoclonal DUSP6 antibody. Carrier free. Suitable for IHC-P, IP, WB, Flow Cyt (Intra) and reacts with Human, Mouse, Rat samples. Cited in 10 publications.

View Alternative Names

MKP3, PYST1, DUSP6, Dual specificity protein phosphatase 6, Dual specificity protein phosphatase PYST1, Mitogen-activated protein kinase phosphatase 3, MAP kinase phosphatase 3, MKP-3

7 Images
Immunohistochemistry (Formalin/PFA-fixed paraffin-embedded sections) - Anti-DUSP6 antibody [EPR129Y] - BSA and Azide free (AB220811)
  • IHC-P

Unknown

Immunohistochemistry (Formalin/PFA-fixed paraffin-embedded sections) - Anti-DUSP6 antibody [EPR129Y] - BSA and Azide free (AB220811)

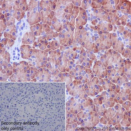
Immunohistochemical staining of paraffin embedded human pancreas with purified ab76310 at a working dilution of 1/100. The secondary antibody used is HRP goat anti-rabbit IgG H&L (ab97051) at 1/500. The sample is counter-stained with hematoxylin. Antigen retrieval was perfomed using Tris-EDTA buffer, pH 9.0. PBS was used instead of the primary antibody as the negative control, and is shown in the inset.This data was developed using the same antibody clone in a different buffer formulation containing PBS, BSA, glycerol, and sodium azide (ab76310).

Flow Cytometry (Intracellular) - Anti-DUSP6 antibody [EPR129Y] - BSA and Azide free (AB220811)
  • Flow Cyt (Intra)

Unknown

Flow Cytometry (Intracellular) - Anti-DUSP6 antibody [EPR129Y] - BSA and Azide free (AB220811)

Overlay histogram showing HeLa cells stained with unpurified ab76310 (red line). The cells were fixed with methanol (5 min) and then permeabilized with 0.1% PBS-Tween for 20 min. The cells were then incubated in 1x PBS / 10% normal goat serum / 0.3M glycine to block non-specific protein-protein interactions followed by the antibody (ab76310, 1/20 dilution) for 30 min at 22°C. The secondary antibody used was DyLight® 488 goat anti-rabbit IgG (H+L) (ab96899) at 1/500 dilution for 30 min at 22°C. Isotype control antibody (black line) was rabbit monoclonal IgG (1μg/1x106 cells) used under the same conditions. Acquisition of >5,000 events was performed. This antibody gave a positive signal in HeLa cells fixed with 4% paraformaldehyde/permeabilized with 0.1% PBS-Tween 20 used under the same conditions.

This data was developed using the same antibody clone in a different buffer formulation containing PBS, BSA, glycerol, and sodium azide (ab76310).

Immunohistochemistry (Formalin/PFA-fixed paraffin-embedded sections) - Anti-DUSP6 antibody [EPR129Y] - BSA and Azide free (AB220811)
  • IHC-P

Unknown

Immunohistochemistry (Formalin/PFA-fixed paraffin-embedded sections) - Anti-DUSP6 antibody [EPR129Y] - BSA and Azide free (AB220811)

Immunohistochemical staining of paraffin-embedded human gastric carcinoma using unpurified ab76310 at 1/50 dilution.

This data was developed using the same antibody clone in a different buffer formulation containing PBS, BSA, glycerol, and sodium azide (ab76310).

Perform heat mediated antigen retrieval before commencing with IHC staining protocol.

Immunohistochemistry - Anti-DUSP6 antibody [EPR129Y] - BSA and Azide free (AB220811)
  • IHC

Lab

Immunohistochemistry - Anti-DUSP6 antibody [EPR129Y] - BSA and Azide free (AB220811)

This data was developed using the same antibody clone in a different buffer formulation containing PBS, BSA, glycerol, and sodium azide (ab76310).

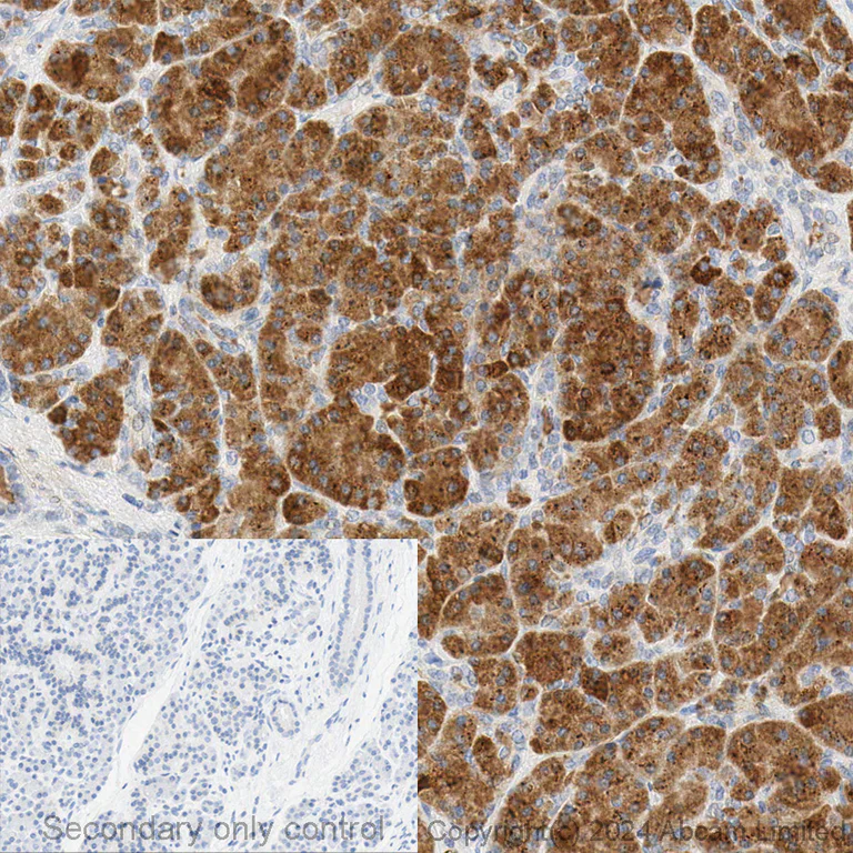
Immunohistochemical analysis of formalin fixed paraffin embedded human pancreas labelling DUSP6 with ab76310 at a concentration of 0.5 µg/ml. The immunostaining was performed on a Ventana DISCOVERY ULTRA (Roche Tissue Diagnostics) instrument with a OptiView DAB IHC Detection Kit. Heat mediated antigen retrieval was performed with DISCOVERY cell conditioning solution (CC1) 100°C, pH 8.5 for 32 mins.

ab76310 anti-DUSP6 [EPR129Y] was incubated for 16 mins at 37°C. Sections were counterstained with Hematoxylin II. Image inset shows absence of staining in secondary antibody only control.

Customers are encouraged to optimise antigen retrieval conditions, antibody concentration, incubation times and temperature for best results in their own IHC assay workflow (automated and manual).

Flow Cytometry (Intracellular) - Anti-DUSP6 antibody [EPR129Y] - BSA and Azide free (AB220811)
  • Flow Cyt (Intra)

Unknown

Flow Cytometry (Intracellular) - Anti-DUSP6 antibody [EPR129Y] - BSA and Azide free (AB220811)

Overlay histogram showing NIH-3T3 cells fixed in 4% PFA and stained with purified ab76310 at a dilution of 1 in 200 (red line). The secondary antibody used was FITC goat anti-rabbit at a dilution of 1 in 500. Rabbit monoclonal IgG was used as an isotype control (black line) and cells incubated in the absence of both primary and secondary antibody were used as a negative control (blue line). This data was developed using the same antibody clone in a different buffer formulation containing PBS, BSA, glycerol, and sodium azide (ab76310).

Immunoprecipitation - Anti-DUSP6 antibody [EPR129Y] - BSA and Azide free (AB220811)
  • IP

Unknown

Immunoprecipitation - Anti-DUSP6 antibody [EPR129Y] - BSA and Azide free (AB220811)

ab76310 (purified) at 1/20 immunoprecipitating DUSP6 in 10 µg NIH-3T3 (Lanes 1 and 2, observed at 42 and 44 kDa). Lane 3 - PBS. For western blotting, a HRP-conjugated anti-rabbit IgG, specific to the non-reduced form of IgG was used as the secondary antibody (1/1500). Blocking buffer and concentration : 5% NFDM/TBST Dilution buffer and concentration : 5% NFDM/TBSTThis data was developed using the same antibody clone in a different buffer formulation containing PBS, BSA, glycerol, and sodium azide (ab76310).

All lanes:

Immunoprecipitation - Anti-DUSP6 antibody [EPR129Y] (<a href='/en-us/products/primary-antibodies/dusp6-antibody-epr129y-ab76310'>ab76310</a>)

Predicted band size: 42 kDa

false

Western blot - Anti-DUSP6 antibody [EPR129Y] - BSA and Azide free (AB220811)
  • WB

PubMed

Western blot - Anti-DUSP6 antibody [EPR129Y] - BSA and Azide free (AB220811)

Immunoblot analysis of indicated proteins in splenocytes after CD4+ sort, liver homogenate or purified CD4+ T cells from WT, DUSP6+/- or DUSP6-/- mice to confirm knockout or heterozygosity for DUSP6 at protein level.

All lanes:

Western blot - Anti-DUSP6 antibody [EPR129Y] (<a href='/en-us/products/primary-antibodies/dusp6-antibody-epr129y-ab76310'>ab76310</a>)

Predicted band size: 42 kDa

false

Schmidt C et al., Front Immunol, 9, 2386, 2018 Reproduced under the Creative Commons license http://creativecommons.org/licenses/by/4.0/

Key facts

Host species

Rabbit

Clonality

Monoclonal

Clone number

EPR129Y

Isotype

IgG

Carrier free

Yes

Reacts with

Mouse, Rat, Human

Applications

IP, Flow Cyt (Intra), IHC-P, WB

applications

Immunogen

The exact immunogen used to generate this antibody is proprietary information.

Reactivity data

{ "title": "Reactivity Data", "filters": { "stats": ["", "Species", "Dilution Info", "Notes"], "tabs": { "all-applications": {"fullname" : "All Applications", "shortname": "All Applications"}, "IHCP" : {"fullname" : "Immunohistochemistry (Formalin/PFA-fixed paraffin-embedded sections)", "shortname":"IHC-P"}, "IP" : {"fullname" : "Immunoprecipitation", "shortname":"IP"}, "WB" : {"fullname" : "Western blot", "shortname":"WB"}, "ICCIF" : {"fullname" : "Immunocytochemistry/ Immunofluorescence", "shortname":"ICC/IF"}, "FlowCytIntra" : {"fullname" : "Flow Cytometry (Intracellular)", "shortname":"Flow Cyt (Intra)"} }, "product-promise": { "all": "all", "testedAndGuaranteed": "tested", "guaranteed": "expected", "predicted": "predicted", "notRecommended": "not-recommended" } }, "values": { "Human": { "IHCP-species-checked": "testedAndGuaranteed", "IHCP-species-dilution-info": "", "IHCP-species-notes": "<p></p>", "IP-species-checked": "guaranteed", "IP-species-dilution-info": "", "IP-species-notes": "", "WB-species-checked": "testedAndGuaranteed", "WB-species-dilution-info": "", "WB-species-notes": "<p></p>", "ICCIF-species-checked": "notRecommended", "ICCIF-species-dilution-info": "", "ICCIF-species-notes": "<p></p>", "FlowCytIntra-species-checked": "testedAndGuaranteed", "FlowCytIntra-species-dilution-info": "", "FlowCytIntra-species-notes": "<p><a href='/en-us/products/primary-antibodies/rabbit-igg-monoclonal-epr25a-isotype-control-low-endotoxin-azide-free-ab199376'>ab199376</a> - Rabbit monoclonal IgG, is suitable for use as an isotype control with this antibody.</p>" }, "Mouse": { "IHCP-species-checked": "guaranteed", "IHCP-species-dilution-info": "", "IHCP-species-notes": "", "IP-species-checked": "testedAndGuaranteed", "IP-species-dilution-info": "", "IP-species-notes": "<p></p>", "WB-species-checked": "testedAndGuaranteed", "WB-species-dilution-info": "", "WB-species-notes": "<p></p>", "ICCIF-species-checked": "notRecommended", "ICCIF-species-dilution-info": "", "ICCIF-species-notes": "<p></p>", "FlowCytIntra-species-checked": "guaranteed", "FlowCytIntra-species-dilution-info": "", "FlowCytIntra-species-notes": "" }, "Rat": { "IHCP-species-checked": "guaranteed", "IHCP-species-dilution-info": "", "IHCP-species-notes": "", "IP-species-checked": "guaranteed", "IP-species-dilution-info": "", "IP-species-notes": "", "WB-species-checked": "testedAndGuaranteed", "WB-species-dilution-info": "", "WB-species-notes": "<p></p>", "ICCIF-species-checked": "notRecommended", "ICCIF-species-dilution-info": "", "ICCIF-species-notes": "<p></p>", "FlowCytIntra-species-checked": "guaranteed", "FlowCytIntra-species-dilution-info": "", "FlowCytIntra-species-notes": "" } } }

Product details

ab220811 is the carrier-free version of ab76310.

Patented technology
Our RabMAb® technology is a patented hybridoma-based technology for making rabbit monoclonal antibodies. For details on our patents, please refer to RabMAb® patents.

What are the advantages of a recombinant monoclonal antibody?
This product is a recombinant monoclonal antibody, which offers several advantages including:

  • - High batch-to-batch consistency and reproducibility
  • - Improved sensitivity and specificity
  • - Long-term security of supply
  • - Animal-free batch production

For more information, read more on recombinant antibodies.

Conjugation ready
Our carrier-free antibodies are typically supplied in a PBS-only formulation, purified and free of BSA, sodium azide and glycerol. This conjugation-ready format is designed for use with fluorochromes, metal isotopes, oligonucleotides, and enzymes, which makes them ideal for antibody labelling, functional and cell-based assays, flow-based assays (e.g. mass cytometry) and Multiplex Imaging applications.

Use our conjugation kits for antibody conjugates that are ready-to-use in as little as 20 minutes with 1 minute hands-on-time and 100% antibody recovery: available for fluorescent dyes, HRP, biotin and gold.

Compatibility
This product is compatible with the Maxpar® Antibody Labeling Kit from Fluidigm, without the need for antibody preparation. Maxpar® is a trademark of Fluidigm Canada Inc.

Properties and storage information

Form
Liquid
Purification technique
Affinity purification Protein A
Storage buffer
pH: 7.2 - 7.4 Constituents: PBS
Shipped at conditions
Blue Ice
Appropriate short-term storage conditions
+4°C
Appropriate long-term storage conditions
+4°C
Storage information
Do Not Freeze

Product protocols

For this product, it's our understanding that no specific protocols are required. You can visit:

Target data

Dual specificity protein phosphatase, which mediates dephosphorylation and inactivation of MAP kinases (PubMed : 8670865). Has a specificity for the ERK family (PubMed : 8670865). Plays an important role in alleviating chronic postoperative pain (By similarity). Necessary for the normal dephosphorylation of the long-lasting phosphorylated forms of spinal MAPK1/3 and MAP kinase p38 induced by peripheral surgery, which drives the resolution of acute postoperative allodynia (By similarity). Also important for dephosphorylation of MAPK1/3 in local wound tissue, which further contributes to resolution of acute pain (By similarity). Promotes cell differentiation by regulating MAPK1/MAPK3 activity and regulating the expression of AP1 transcription factors (PubMed : 29043977).
See full target information DUSP6

Publications (10)

Recent publications for all applications. Explore the full list and refine your search

BioMed research international 2019:9612125 PubMed31950060

2019

Tripartite Motif Containing 11 Interacts with DUSP6 to Promote the Growth of Human Osteosarcoma Cells through Regulating ERK1/2 Pathway.

Applications

Unspecified application

Species

Unspecified reactive species

Zhaofeng Wang,Xiaobo Xu,Wenxiao Tang,Youcai Zhu,Jichao Hu,Xingen Zhang

Frontiers in immunology 9:2386 PubMed30416500

2018

Immunoproteasome Inhibition Impairs T and B Cell Activation by Restraining ERK Signaling and Proteostasis.

Applications

IP, WB

Species

Mouse, Mouse

Christian Schmidt,Thilo Berger,Marcus Groettrup,Michael Basler

Journal of immunology (Baltimore, Md. : 1950) 195:1470-9 PubMed26163591

2015

mir-181a-1/b-1 Modulates Tolerance through Opposing Activities in Selection and Peripheral T Cell Function.

Applications

Unspecified application

Species

Unspecified reactive species

Steven A Schaffert,Christina Loh,Song Wang,Christopher P Arnold,Robert C Axtell,Evan W Newell,Garry Nolan,K Mark Ansel,Mark M Davis,Lawrence Steinman,Chang-Zheng Chen

Mucosal immunology 8:505-15 PubMed25227984

2014

Dual-specificity phosphatase 6 regulates CD4+ T-cell functions and restrains spontaneous colitis in IL-10-deficient mice.

Applications

WB

Species

Mouse

S Bertin,B Lozano-Ruiz,V Bachiller,I García-Martínez,S Herdman,P Zapater,R Francés,J Such,J Lee,E Raz,J M González-Navajas

Nucleic acids research 42:11349-62 PubMed25217591

2014

Global MEF2 target gene analysis in cardiac and skeletal muscle reveals novel regulation of DUSP6 by p38MAPK-MEF2 signaling.

Applications

Unspecified application

Species

Unspecified reactive species

Stephanie Wales,Sara Hashemi,Alexandre Blais,John C McDermott

PLoS genetics 8:e1003112 PubMed23271975

2012

A genome-wide RNAi screen reveals MAP kinase phosphatases as key ERK pathway regulators during embryonic stem cell differentiation.

Applications

WB

Species

Mouse

Shen-Hsi Yang,Tuzer Kalkan,Claire Morrisroe,Austin Smith,Andrew D Sharrocks

The Journal of cell biology 198:815-32 PubMed22945933

2012

Six1 regulates stem cell repair potential and self-renewal during skeletal muscle regeneration.

Applications

ICC/IF

Species

Mouse

Fabien Le Grand,Raphaëlle Grifone,Philippos Mourikis,Christophe Houbron,Carine Gigaud,Julien Pujol,Marjorie Maillet,Gilles Pagès,Michael Rudnicki,Shahragim Tajbakhsh,Pascal Maire

Genes & development 26:1945-58 PubMed22892241

2012

The intermediate-activity (L597V)BRAF mutant acts as an epistatic modifier of oncogenic RAS by enhancing signaling through the RAF/MEK/ERK pathway.

Applications

Unspecified application

Species

Unspecified reactive species

Catherine Andreadi,Lai-Kay Cheung,Susan Giblett,Bipin Patel,Hong Jin,Kathryn Mercer,Tamihiro Kamata,Pearl Lee,Alexander Williams,Martin McMahon,Richard Marais,Catrin Pritchard

American journal of physiology. Endocrinology and 301:E836-43 PubMed21771966

2011

Role of ERK1/2 activation in microtubule stabilization and glucose transport in cardiomyocytes.

Applications

ICC/IF

Species

Rat

Mohamed Asrih,Corinne Pellieux,Irène Papageorgiou,René Lerch,Christophe Montessuit

American journal of physiology. Heart and circulat 295:H1580-6 PubMed18689499

2008

Myocardial ischemic postconditioning against ischemia-reperfusion is impaired in ob/ob mice.

Applications

Unspecified application

Species

Unspecified reactive species

Omar Bouhidel,Sandrine Pons,Richard Souktani,Roland Zini,Alain Berdeaux,Bijan Ghaleh
View all publications

Product promise

We are committed to supporting your work with high-quality reagents, and we're here for you every step of the way. In the unlikely event that one of our products does not perform as expected, you're protected by our Product Promise.
For full details, please see our Terms & Conditions

Please note: All products are 'FOR RESEARCH USE ONLY. NOT FOR USE IN DIAGNOSTIC OR THERAPEUTIC PROCEDURES'.

For licensing inquiries, please contact partnerships@abcam.com