JavaScript is disabled in your browser. Please enable JavaScript to view this website.
AB133685

Anti-Dymeclin antibody [EPR8789]

Be the first to review this product! Submit a review

|

(1 Publication)

Rabbit Recombinant Monoclonal Dymeclin antibody. Suitable for IHC-P, WB and reacts with Human samples. Cited in 1 publication.

View Alternative Names

Dymeclin, Dyggve-Melchior-Clausen syndrome protein, DYM

3 Images
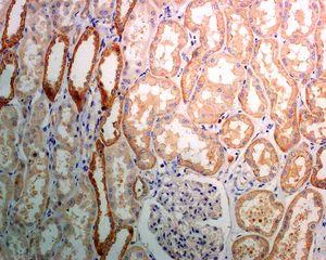
Immunohistochemistry (Formalin/PFA-fixed paraffin-embedded sections) - Anti-Dymeclin antibody [EPR8789] (AB133685)
  • IHC-P

Unknown

Immunohistochemistry (Formalin/PFA-fixed paraffin-embedded sections) - Anti-Dymeclin antibody [EPR8789] (AB133685)

Immunohistochemical analysis of paraffin-embedded Human kidney tissue labelling Dymeclin with ab133685 at 1/100 dilution.

Perform heat mediated antigen retrieval with citrate buffer pH 6 before commencing with IHC staining protocol.

Western blot - Anti-Dymeclin antibody [EPR8789] (AB133685)
  • WB

Unknown

Western blot - Anti-Dymeclin antibody [EPR8789] (AB133685)

All lanes:

Western blot - Anti-Dymeclin antibody [EPR8789] (ab133685) at 1/1000 dilution

Lane 1:

HeLa cell lysate at 10 µg

Lane 2:

Saos-2 cell lysate at 10 µg

Lane 3:

HepG2 cell lysate at 10 µg

Secondary

All lanes:

HRP labelled goat anti-rabbit at 1/2000 dilution

Predicted band size: 76 kDa

false

OI-RD Scanning - Anti-Dymeclin antibody [EPR8789] (AB133685)
  • OI-RD Scanning

Unknown

OI-RD Scanning - Anti-Dymeclin antibody [EPR8789] (AB133685)

We have systematically measured KD (the equilibrium dissociation constant between the antibody and its antigen), of more than 840 recombinant antibodies to assess not only their individual KD values but also to see the average affinity of antibody. Based on the comparison with published literature values for mouse monoclonal antibodies, Recombinant antibodies appear to be on average 1-2 order of magnitude higher affinity.

  • Carrier free

    Anti-Dymeclin antibody [EPR8789] - BSA and Azide free

Key facts

Host species

Rabbit

Clonality

Monoclonal

Clone number

EPR8789

Isotype

IgG

Carrier free

No

Reacts with

Human

Applications

WB, IHC-P

applications

Immunogen

The exact immunogen used to generate this antibody is proprietary information.

Reactivity data

{ "title": "Reactivity Data", "filters": { "stats": ["", "Species", "Dilution Info", "Notes"], "tabs": { "all-applications": {"fullname" : "All Applications", "shortname": "All Applications"}, "IHCP" : {"fullname" : "Immunohistochemistry (Formalin/PFA-fixed paraffin-embedded sections)", "shortname":"IHC-P"}, "ICCIF" : {"fullname" : "Immunocytochemistry/ Immunofluorescence", "shortname":"ICC/IF"}, "IP" : {"fullname" : "Immunoprecipitation", "shortname":"IP"}, "FlowCyt" : {"fullname" : "Flow Cytometry", "shortname":"Flow Cyt"}, "WB" : {"fullname" : "Western blot", "shortname":"WB"} }, "product-promise": { "all": "all", "testedAndGuaranteed": "tested", "guaranteed": "expected", "predicted": "predicted", "notRecommended": "not-recommended" } }, "values": { "Human": { "IHCP-species-checked": "testedAndGuaranteed", "IHCP-species-dilution-info": "1/100 - 1/250", "IHCP-species-notes": "<p></p>", "ICCIF-species-checked": "notRecommended", "ICCIF-species-dilution-info": "", "ICCIF-species-notes": "<p></p>", "IP-species-checked": "notRecommended", "IP-species-dilution-info": "", "IP-species-notes": "<p></p>", "FlowCyt-species-checked": "notRecommended", "FlowCyt-species-dilution-info": "", "FlowCyt-species-notes": "<p></p>", "WB-species-checked": "testedAndGuaranteed", "WB-species-dilution-info": "1/1000 - 1/10000", "WB-species-notes": "<p></p>" } } }

Product details

Species reactivity
Mouse, Rat: We have preliminary internal testing data to indicate this antibody may not react with these species.
Please contact us for more information.

Patented technology
Our RabMAb® technology is a patented hybridoma-based technology for making rabbit monoclonal antibodies. For details on our patents, please refer to RabMAb® patents.

What are the advantages of a recombinant monoclonal antibody?
This product is a recombinant monoclonal antibody, which offers several advantages including:

  • - High batch-to-batch consistency and reproducibility
  • - Improved sensitivity and specificity
  • - Long-term security of supply
  • - Animal-free batch production

For more information, read more on recombinant antibodies.

Properties and storage information

Form
Liquid
Purification technique
Affinity purification Protein A
Storage buffer
pH: 7.2 - 7.4 Preservative: 0.01% Sodium azide Constituents: PBS, 50% Tissue culture supernatant, 40% Glycerol (glycerin, glycerine), 0.05% BSA
Shipped at conditions
Blue Ice
Appropriate short-term storage conditions
+4°C
Appropriate long-term storage conditions
-20°C
Storage information
Stable for 12 months at -20°C

Supplementary information

This supplementary information is collated from multiple sources and compiled automatically.

Dymeclin also known as Dym is a protein involved in cellular processes with a molecular weight of approximately 55kDa. This protein shows expression in various tissues but is especially present in the bone brain and cartilage. As a component of the endosomal system Dymeclin is important for maintaining proper cellular function. It assists in the stability and trafficking of lysosomes by interacting with intracellular compartments.
Biological function summary

Dymeclin participates in the regulation of skeletal development and neuronal functions. It acts within a larger protein complex that plays roles in maintaining cellular homeostasis particularly involving endosomal trafficking. Dymeclin interacts with other proteins to ensure the integrity of organelles and to modulate transport within the cell. This functionality is essential for proper growth and development affecting both bone density and brain function.

Pathways

Dymeclin finds involvement in the endocytic and lysosomal pathways. It connects to proteins like Rab7 which is significant for endosomal-lysosomal transport. Through these pathways Dymeclin influences the prevention of premature degradation of cellular components and assists in signal transduction processes. Its interactions within these pathways suggest a role in cellular stress response and adaptation by mediating protein sorting and degradation.

Mutations or dysfunctions related to Dymeclin lead to bone dysplasia and cognitive impairments. It is strongly associated with Smith-McCort dysplasia and Dyggve-Melchior-Clausen syndrome which involve skeletal abnormalities and intellectual disability. Dymeclin's connection to proteins involved in bone and brain development highlights its influence on the pathogenesis of these disorders emphasizing its role in both structural integrity and cognitive function.

Product protocols

For this product, it's our understanding that no specific protocols are required. You can visit:

Target data

Necessary for correct organization of Golgi apparatus. Involved in bone development.
See full target information DYM

Publications (1)

Recent publications for all applications. Explore the full list and refine your search

Genome research 35:1167-1178 PubMed40044221

2025

Homozygous editing of multiple genes for accelerated generation of xenotransplantation pigs.

Applications

Unspecified application

Species

Unspecified reactive species

Xiaoyue Duan,Chaolei Chen,Chang Du,Liang Guo,Jun Liu,Naipeng Hou,Pan Li,Xiaolan Qi,Fei Gao,Xuguang Du,Jiangping Song,Sen Wu
View all publications

Product promise

We are committed to supporting your work with high-quality reagents, and we're here for you every step of the way. In the unlikely event that one of our products does not perform as expected, you're protected by our Product Promise.
For full details, please see our Terms & Conditions

Please note: All products are 'FOR RESEARCH USE ONLY. NOT FOR USE IN DIAGNOSTIC OR THERAPEUTIC PROCEDURES'.

For licensing inquiries, please contact partnerships@abcam.com