JavaScript is disabled in your browser. Please enable JavaScript to view this website.
AB65556

Anti-Dynamin 2 antibody

5

(2 Reviews)

|

(19 Publications)

Rabbit Polyclonal Dynamin 2 antibody. Suitable for IP, WB, ICC/IF and reacts with Rat, Mouse, Human samples. Cited in 19 publications.

View Alternative Names

DYN2, DNM2, Dynamin-2, Dynamin 2, Dynamin II

3 Images
Immunocytochemistry/ Immunofluorescence - Anti-Dynamin 2 antibody (AB65556)
  • ICC/IF

Unknown

Immunocytochemistry/ Immunofluorescence - Anti-Dynamin 2 antibody (AB65556)

ICC/IF image of ab65556 stained HeLa cells. The cells were 4% PFA fixed (10 min) and then incubated in 1%BSA / 10% normal Goat serum / 0.3M glycine in 0.1% PBS-Tween for 1h to permeabilise the cells and block non-specific protein-protein interactions. The cells were then incubated with the antibody (ab65556, 1µg/ml) overnight at +4°C. The secondary antibody (green) was Alexa Fluor® 488 Goat anti-Rabbit IgG (H+L) used at a 1/1000 dilution for 1h. Alexa Fluor® 594 WGA was used to label plasma membranes (red) at a 1/200 dilution for 1h. DAPI was used to stain the cell nuclei (blue) at a concentration of 1.43µM. This antibody also gave a positive result in 4% PFA fixed (10 min) Hek293, HepG2, MCF-7 cells at 1µg/ml.

Immunoprecipitation - Anti-Dynamin 2 antibody (AB65556)
  • IP

Unknown

Immunoprecipitation - Anti-Dynamin 2 antibody (AB65556)

Dynamin 2 was immunoprecipitated using 0.5mg Rat Testis whole tissue extract, 5µg of Rabbit polyclonal to Dynamin 2 and 50µl of protein G magnetic beads (+). No antibody was added to the control (-).
The antibody was incubated under agitation with Protein G beads for 10min, Rat Testis whole tissue extract lysate diluted in RIPA buffer was added to each sample and incubated for a further 10min under agitation.
Proteins were eluted by addition of 40µl SDS loading buffer and incubated for 10min at 70oC; 10µl of each sample was separated on a SDS PAGE gel, transferred to a nitrocellulose membrane, blocked with 5% BSA and probed with ab65556.
Secondary : Mouse monoclonal [SB62a] Secondary Antibody to Rabbit IgG light chain (HRP) (ab99697).
Band : 100kDa : Dynamin 2.

All lanes:

Immunoprecipitation - Anti-Dynamin 2 antibody (ab65556)

Predicted band size: 98 kDa

false

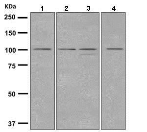
Western blot - Anti-Dynamin 2 antibody (AB65556)
  • WB

Project5524****

Western blot - Anti-Dynamin 2 antibody (AB65556)

All lanes:

Western blot - Anti-Dynamin 2 antibody (ab65556) at 1 µg/mL

Lane 1:

Testis (Mouse) Tissue Lysate at 10 µg

Lane 2:

Ramos (Human Burkitt's lymphoma cell line) Whole Cell Lysate at 10 µg

Lane 3:

Jurkat Whole Cell Lysate - Staurosporine Treated (24hr, 500nM) at 10 µg

Lane 4:

HeLa (Human epithelial carcinoma cell line) Whole Cell Lysate at 10 µg

Lane 5:

K562 (Human erythromyeloblastoid leukemia cell line) Whole Cell Lysate at 10 µg

Lane 6:

Rat Thymus Tissue Lysate at 10 µg

Lane 7:

SK N BE (Human neuroblastoma) Whole Cell Lysate at 10 µg

Secondary

All lanes:

Goat polyclonal to Rabbit IgG - H&L - Pre-Adsorbed (HRP) at 1/3000 dilution

Predicted band size: 98 kDa

Observed band size: 100 kDa

false

Key facts

Host species

Rabbit

Clonality

Polyclonal

Isotype

IgG

Carrier free

No

Reacts with

Mouse, Rat, Human

Applications

IP, ICC/IF, WB

applications

Immunogen

The exact immunogen used to generate this antibody is proprietary information.

Specificity

Replenishment batches of our polyclonal antibody, ab65556 are tested in WB. Previous batches were additionally validated in ICC/IF and IP. These applications are still expected to work and are covered by our Abpromise guarantee. You may also be interested in our alternative recombinant antibody, ab151555.

Reactivity data

{ "title": "Reactivity Data", "filters": { "stats": ["", "Species", "Dilution Info", "Notes"], "tabs": { "all-applications": {"fullname" : "All Applications", "shortname": "All Applications"}, "IP" : {"fullname" : "Immunoprecipitation", "shortname":"IP"}, "WB" : {"fullname" : "Western blot", "shortname":"WB"}, "ICCIF" : {"fullname" : "Immunocytochemistry/ Immunofluorescence", "shortname":"ICC/IF"} }, "product-promise": { "all": "all", "testedAndGuaranteed": "tested", "guaranteed": "expected", "predicted": "predicted", "notRecommended": "not-recommended" } }, "values": { "Human": { "IP-species-checked": "guaranteed", "IP-species-dilution-info": "", "IP-species-notes": "", "WB-species-checked": "guaranteed", "WB-species-dilution-info": "", "WB-species-notes": "", "ICCIF-species-checked": "testedAndGuaranteed", "ICCIF-species-dilution-info": "1 µg/mL", "ICCIF-species-notes": "<p></p>" }, "Mouse": { "IP-species-checked": "guaranteed", "IP-species-dilution-info": "", "IP-species-notes": "", "WB-species-checked": "testedAndGuaranteed", "WB-species-dilution-info": "1 µg/mL", "WB-species-notes": "<p></p>", "ICCIF-species-checked": "guaranteed", "ICCIF-species-dilution-info": "", "ICCIF-species-notes": "" }, "Rat": { "IP-species-checked": "testedAndGuaranteed", "IP-species-dilution-info": "", "IP-species-notes": "<p></p>", "WB-species-checked": "guaranteed", "WB-species-dilution-info": "", "WB-species-notes": "", "ICCIF-species-checked": "guaranteed", "ICCIF-species-dilution-info": "", "ICCIF-species-notes": "" }, "Cow": { "IP-species-checked": "predicted", "IP-species-dilution-info": "", "IP-species-notes": "", "WB-species-checked": "predicted", "WB-species-dilution-info": "", "WB-species-notes": "", "ICCIF-species-checked": "predicted", "ICCIF-species-dilution-info": "", "ICCIF-species-notes": "" }, "Xenopus laevis": { "IP-species-checked": "predicted", "IP-species-dilution-info": "", "IP-species-notes": "", "WB-species-checked": "predicted", "WB-species-dilution-info": "", "WB-species-notes": "", "ICCIF-species-checked": "predicted", "ICCIF-species-dilution-info": "", "ICCIF-species-notes": "" } } }

Properties and storage information

Form
Liquid
Purification technique
Affinity purification Immunogen
Storage buffer
pH: 7.4 Preservative: 0.02% Sodium azide Constituents: 98.98% PBS, 1% BSA
Shipped at conditions
Blue Ice
Appropriate short-term storage duration
1-2 weeks
Appropriate short-term storage conditions
+4°C
Appropriate long-term storage conditions
-20°C
Aliquoting information
Upon delivery aliquot
Storage information
Avoid freeze / thaw cycle

Supplementary information

This supplementary information is collated from multiple sources and compiled automatically.

Dynamin 2 also known as dynamin protein or DNM2 is a GTPase enzyme with a mass of approximately 100 kDa. This protein is mainly found in human cells such as fibroblasts epithelial cells and neurons. It functions by facilitating membrane fission events which are important for endocytosis and other vesicular trafficking processes. The flexible structure of dynamin-2 allows it to act as a molecular motor generating mechanical force upon GTP hydrolysis to constrict and sever membranes.
Biological function summary

Dynamin 2 participates in cellular processes like receptor-mediated endocytosis and are involved in actin and microtubule dynamics. It associates with other proteins to form complexes that stabilize its function and activity within the cell. By enabling endocytosis dynamin-2 plays a role in nutrient uptake signaling and membrane recycling ensuring proper cellular function and homeostasis.

Pathways

Dynamin 2 is integral to the clathrin-mediated endocytic pathway and the actin cytoskeleton regulation pathway. In the clathrin-mediated pathway it interacts with clathrin and adaptin proteins to facilitate the budding and release of clathrin-coated vesicles. Within the actin cytoskeleton pathway dynamin-2 is related to actin-binding proteins which it assists in remodeling the cytoskeleton structure supporting cell shape and motility.

Mutations in dynamin 2 have been linked to Charcot-Marie-Tooth disease and centronuclear myopathy. These conditions affect peripheral nerves and skeletal muscles respectively and stem from dysfunction in the cellular trafficking and division processes mediated by dynamin-2. The pathology of these diseases involves connections with other proteins such as myotubularin and other muscular-associated proteins indicating the significance of dynamin-2 in maintaining normal cellular functions and its role in neuromuscular disorders.

Product protocols

For this product, it's our understanding that no specific protocols are required. You can visit:

Target data

Catalyzes the hydrolysis of GTP and utilizes this energy to mediate vesicle scission at plasma membrane during endocytosis and filament remodeling at many actin structures during organization of the actin cytoskeleton (PubMed : 15731758, PubMed : 19605363, PubMed : 19623537, PubMed : 33713620, PubMed : 34744632). Plays an important role in vesicular trafficking processes, namely clathrin-mediated endocytosis (CME), exocytic and clathrin-coated vesicle from the trans-Golgi network, and PDGF stimulated macropinocytosis (PubMed : 15731758, PubMed : 19623537, PubMed : 33713620). During vesicular trafficking process, associates to the membrane, through lipid binding, and self-assembles into ring-like structure through oligomerization to form a helical polymer around the vesicle membrane and leading to vesicle scission (PubMed : 17636067, PubMed : 34744632, PubMed : 36445308). Plays a role in organization of the actin cytoskeleton by mediating arrangement of stress fibers and actin bundles in podocytes (By similarity). During organization of the actin cytoskeleton, self-assembles into ring-like structure that directly bundles actin filaments to form typical membrane tubules decorated with dynamin spiral polymers (By similarity). Self-assembly increases GTPase activity and the GTP hydrolysis causes the rapid depolymerization of dynamin spiral polymers, and results in dispersion of actin bundles (By similarity). Remodels, through its interaction with CTTN, bundled actin filaments in a GTPase-dependent manner and plays a role in orchestrating the global actomyosin cytoskeleton (PubMed : 19605363). The interaction with CTTN stabilizes the interaction of DNM2 and actin filaments and stimulates the intrinsic GTPase activity that results in actin filament-barbed ends and increases the sensitivity of filaments in bundles to the actin depolymerizing factor, CFL1 (By similarity). Plays a role in the autophagy process, by participating in the formation of ATG9A vesicles destined for the autophagosomes through its interaction with SNX18 (PubMed : 29437695), by mediating recycling endosome scission leading to autophagosome release through MAP1LC3B interaction (PubMed : 29437695, PubMed : 32315611). Also regulates maturation of apoptotic cell corpse-containing phagosomes by recruiting PIK3C3 to the phagosome membrane (By similarity). Also plays a role in cytokinesis (By similarity). May participate in centrosome cohesion through its interaction with TUBG1 (By similarity). Plays a role in the regulation of neuron morphology, axon growth and formation of neuronal growth cones (By similarity). Involved in membrane tubulation (PubMed : 24135484).
See full target information DNM2

Publications (19)

Recent publications for all applications. Explore the full list and refine your search

Histochemistry and cell biology 160:435-452 PubMed37535087

2023

Selective targeting of lectins and their macropinocytosis in urothelial tumours: translation from in vitro to ex vivo.

Applications

Unspecified application

Species

Unspecified reactive species

Nataša Resnik,Tanja Višnjar,Tomaž Smrkolj,Mateja Erdani Kreft,Rok Romih,Daša Zupančič

Journal of cell science 136: PubMed37132654

2023

Pacsin 2-dependent N-cadherin internalization regulates the migration behaviour of malignant cancer cells.

Applications

Unspecified application

Species

Unspecified reactive species

Haymar Wint,Jianzhen Li,Tadashi Abe,Hiroshi Yamada,Takumi Higaki,Yasutomo Nasu,Masami Watanabe,Kohji Takei,Tetsuya Takeda

FASEB journal : official publication of the Federation of American Societies for Experimental Biology 37:e22757 PubMed36607310

2023

A genome-wide CRISPR screen identifies the CCT chaperonin as a critical regulator of vesicle trafficking.

Applications

Unspecified application

Species

Unspecified reactive species

Yongtian Chen,Jing Kang,Ru Zhen,Liyang Zhang,Caiyong Chen

Frontiers in cell and developmental biology 10:934684 PubMed36601539

2022

Molecular, morphological and functional properties of tunnelling nanotubes between normal and cancer urothelial cells: New insights from the model mimicking the situation after surgical removal of the urothelial tumor.

Applications

Unspecified application

Species

Unspecified reactive species

Nataša Resnik,Diana Baraga,Polona Glažar,Špela Jokhadar Zemljič,Jure Derganc,Kristina Sepčić,Peter Veranič,Mateja Erdani Kreft

Cell journal 24:657-664 PubMed36377215

2022

Influences The Occurrence and Progression of Liver Cancer by Inhibiting Mitochondrial Apoptosis Pathway.

Applications

Unspecified application

Species

Unspecified reactive species

Hong-Hua Sun,Yang-Long Li,Hao Jiang,Xiang-Hua Yin,Xing-Lin Jin

Molecular therapy. Nucleic acids 29:733-748 PubMed36090755

2022

Development of versatile allele-specific siRNAs able to silence all the dominant dynamin 2 mutations.

Applications

Unspecified application

Species

Unspecified reactive species

Swati Dudhal,Lylia Mekzine,Bernard Prudhon,Karishma Soocheta,Bruno Cadot,Kamel Mamchaoui,Delphine Trochet,Marc Bitoun

Autophagy reports 1:88-118 PubMed35449600

2022

The ATG5 interactome links clathrin-mediated vesicular trafficking with the autophagosome assembly machinery.

Applications

Unspecified application

Species

Unspecified reactive species

Kiren Baines,Kazuaki Yoshioka,Yoh Takuwa,Jon D Lane

Molecular therapy. Nucleic acids 27:1179-1190 PubMed35282416

2022

Benefits of therapy by dynamin-2-mutant-specific silencing are maintained with time in a mouse model of dominant centronuclear myopathy.

Applications

Unspecified application

Species

Unspecified reactive species

Delphine Trochet,Bernard Prudhon,Lylia Mekzine,Mégane Lemaitre,Maud Beuvin,Laura Julien,Sofia Benkhelifa-Ziyyat,Mai Thao Bui,Norma Romero,Marc Bitoun

Autophagy 18:2178-2197 PubMed34989313

2022

Identification of an autoinhibitory, mitophagy-inducing peptide derived from the transmembrane domain of USP30.

Applications

Unspecified application

Species

Unspecified reactive species

Xuan Qin,Rui Wang,Hongkun Xu,Licheng Tu,Hailing Chen,Heng Li,Na Liu,Jinpeng Wang,Shuiming Li,Feng Yin,Naihan Xu,Zigang Li

The EMBO journal 40:e108125 PubMed34617326

2021

Cancer-associated mutations in VAV1 trigger variegated signaling outputs and T-cell lymphomagenesis.

Applications

Unspecified application

Species

Unspecified reactive species

Javier Robles-Valero,Lucía Fernández-Nevado,L Francisco Lorenzo-Martín,Myriam Cuadrado,Isabel Fernández-Pisonero,Sonia Rodríguez-Fdez,Elsa N Astorga-Simón,Antonio Abad,Rubén Caloto,Xosé R Bustelo
View all publications

Product promise

We are committed to supporting your work with high-quality reagents, and we're here for you every step of the way. In the unlikely event that one of our products does not perform as expected, you're protected by our Product Promise.
For full details, please see our Terms & Conditions

Please note: All products are 'FOR RESEARCH USE ONLY. NOT FOR USE IN DIAGNOSTIC OR THERAPEUTIC PROCEDURES'.

For licensing inquiries, please contact partnerships@abcam.com