JavaScript is disabled in your browser. Please enable JavaScript to view this website.
AB151555

Anti-Dynamin 2 antibody [EPR9053(2)(ABC)]

4

(1 Review)

|

(5 Publications)

Rabbit Recombinant Monoclonal Dynamin 2 antibody. Suitable for IHC-P, ICC/IF, WB and reacts with Human, Mouse, Rat samples. Cited in 5 publications.

View Alternative Names

DYN2, DNM2, Dynamin-2, Dynamin 2, Dynamin II

6 Images
Immunohistochemistry (Formalin/PFA-fixed paraffin-embedded sections) - Anti-Dynamin 2 antibody [EPR9053(2)(ABC)] (AB151555)
  • IHC-P

Unknown

Immunohistochemistry (Formalin/PFA-fixed paraffin-embedded sections) - Anti-Dynamin 2 antibody [EPR9053(2)(ABC)] (AB151555)

Immunohistochemical analysis of paraffin-embedded Human kidney tissue labelling Dynamin 2 with ab151555 at 1/50 dilution.

Perform heat mediated antigen retrieval with citrate buffer pH 6 before commencing with IHC staining protocol.

Immunohistochemistry (Formalin/PFA-fixed paraffin-embedded sections) - Anti-Dynamin 2 antibody [EPR9053(2)(ABC)] (AB151555)
  • IHC-P

Unknown

Immunohistochemistry (Formalin/PFA-fixed paraffin-embedded sections) - Anti-Dynamin 2 antibody [EPR9053(2)(ABC)] (AB151555)

Immunohistochemical analysis of paraffin-embedded Human skeletal muscle tissue labelling Dynamin 2 with ab151555 at 1/50 dilution.

Perform heat mediated antigen retrieval with citrate buffer pH 6 before commencing with IHC staining protocol.

Immunocytochemistry/ Immunofluorescence - Anti-Dynamin 2 antibody [EPR9053(2)(ABC)] (AB151555)
  • ICC/IF

Unknown

Immunocytochemistry/ Immunofluorescence - Anti-Dynamin 2 antibody [EPR9053(2)(ABC)] (AB151555)

Immunofluorescent analysis of 4% Paraformaldehyde-fixed, 0.1% TritonX-100 permeabilized K-562 cells labelling Dynamin 2 with ab151555 at 1/50 (19.56 ug/ml) dilution, followed by ab150077 Goat Anti-Rabbit IgG H&L (Alexa Fluor® 488) antibody at 1/1000 2 ug/ml dilution (Green). Confocal image showing cytoplasmic staining in K-562 cell line ab195889 Anti-alpha Tubulin mouse monoclonal antibody - Microtubule Marker (Alexa Fluor® 594) was used to counterstain tubulin at 1/200 2.5 dilution (Red). The Nuclear counterstain was DAPI (Blue). Secondary antibody only control : Secondary antibody is ab150077 Goat Anti-Rabbit IgG H&L (Alexa Fluor® 488) at 1000 2 ug/ml dilution.

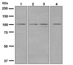
Western blot - Anti-Dynamin 2 antibody [EPR9053(2)(ABC)] (AB151555)
  • WB

Unknown

Western blot - Anti-Dynamin 2 antibody [EPR9053(2)(ABC)] (AB151555)

All lanes:

Western blot - Anti-Dynamin 2 antibody [EPR9053(2)(ABC)] (ab151555) at 1/1000 dilution

Lane 1:

HeLa cell lysate at 10 µg

Lane 2:

K562 cell lysate at 10 µg

Lane 3:

Jurkat cell lysate at 10 µg

Lane 4:

Fetal brain tissue lysate at 10 µg

Predicted band size: 98 kDa

false

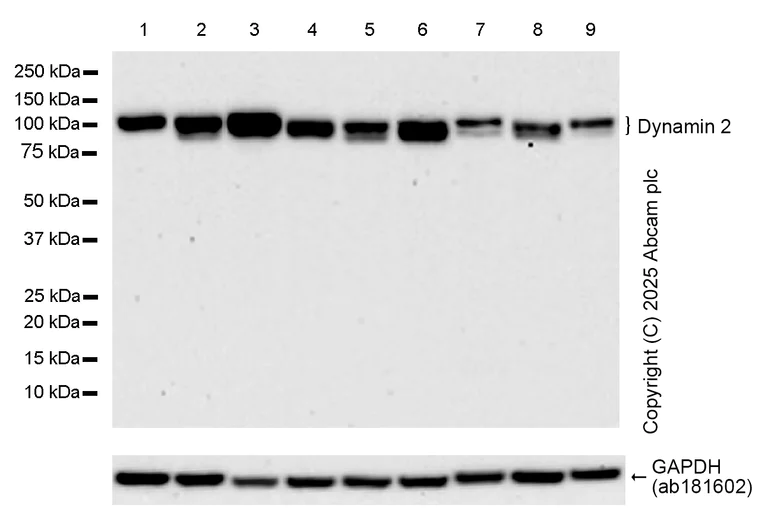
Western blot - Anti-Dynamin 2 antibody [EPR9053(2)(ABC)] (AB151555)
  • WB

Lab

Western blot - Anti-Dynamin 2 antibody [EPR9053(2)(ABC)] (AB151555)

Blocking and diluting buffer and concentration : 5% NFDM/TBST.

The molecular weight observed is consistent with what has been described in the literature (PMID : 36369230).

All lanes:

Western blot - Anti-Dynamin 2 antibody [EPR9053(2)(ABC)] (ab151555) at 1/1000 dilution

Lane 1:

HeLa (human cervix adenocarcinoma epithelial cell) whole cell lysate at 20 µg

Lane 2:

K-562 (human chronic myelogenous leukemia lymphoblast) whole cell lysate at 20 µg

Lane 3:

Mouse testis tissue lysate at 20 µg

Lane 4:

Neuro-2a (mouse neuroblastoma neuroblast) whole cell lysate at 20 µg

Lane 5:

NIH/3T3 (mouse embryonic fibroblast) whole cell lysate at 20 µg

Lane 6:

RAW 264.7 (mouse Abelson murine leukemia virus-induced tumor macrophage) whole cell lysate at 20 µg

Lane 7:

Rat thymus tissue lysate at 20 µg

Lane 8:

C6 (rat glial tumor glial cell) whole cell lysate at 20 µg

Lane 9:

PC-12 (rat adrenal gland pheochromocytoma) whole cell lysate at 20 µg

Secondary

All lanes:

Western blot - Goat Anti-Rabbit IgG H&L (HRP) (<a href='/en-us/products/secondary-antibodies/goat-rabbit-igg-h-l-hrp-ab97051'>ab97051</a>) at 1/20000 dilution

Observed band size: 98-100 kDa

false

Exposure time: 180s

Western blot - Anti-Dynamin 2 antibody [EPR9053(2)(ABC)] (AB151555)
  • WB

CiteAb

Western blot - Anti-Dynamin 2 antibody [EPR9053(2)(ABC)] (AB151555)

Dynamin 2 western blot using anti-Dynamin 2 antibody [EPR9053(2)(ABC)] ab151555. Publication image and figure legend from Li, M., Zhang, D., et al., 2020, Front Microbiol, PubMed 32210929.

ab151555 was used in this publication in western blot. This may not be the same as the application(s) guaranteed by Abcam. For a full list of applications guaranteed by Abcam for ab151555 please see the product overview.

Zika virus (ZIKV) entry depends on dynamin II. (A) Cell viability upon dynasore treatment was assessed by the MTT assay. (B,C) Treatment with dynasore inhibited the ZIKV entry into T98G cells. T98G cells treated with dynasore were incubated with ZIKV at a multiplicity of infection (MOI) of 10 for 1 h at 4°C and then shifted to 37°C for 1 h. The internalized viruses were determined by RT-qPCR (B) and infectious center assay (C). (D) To verify dynamin II knockdown, protein samples from the cells transfected with each siRNA were analyzed by immunoblot for dynamin II. (E,F) T98G cells were transfected with siRNA targeting dynamin II or control siRNA for 48 h, followed by infection with ZIKV at an MOI of 10 for 1 h at 4°C and then shifted to 37°C for 1 h. The internalized viruses were determined by RT-qPCR (E) and infectious center assay (F). (G) T98G cells were transfected with siRNA targeting dynamin II or control siRNA for 48 h and then incubated with 10 μg/ml AF-555-labeled transferrin for 10 min at 37°C. The cells were fixed and stained with DAPI. Scale bars in all panels represent 10 μm. (H) T98G cells were transfected with siRNA targeting dynamin II or control siRNA for 48 h, followed by infection with ZIKV at an MOI of 0.5. At 48 h post-infection, the cells were fixed and analyzed under an Olympus microscope. Scale bars in all panels represent 50 μm. (I) The cells transfected with the dynamin II wild-type or dominant-negative plasmid construct were infected with ZIKV at an MOI of 0.5. At 48 h post-infection, the cells were analyzed by flow cytometry. One representative experiment out of three is shown (D). Representative confocal images from three independent experiments are shown (G,H). The data shown are the mean ± SD of three independent experiments (A–C,E,F,I). *p < 0.05; **p < 0.01; ***p < 0.001.

false

  • Carrier free

    Anti-Dynamin 2 antibody [EPR9053(2)(ABC)] - BSA and Azide free

  • 519 Alexa Fluor® 488

    Alexa Fluor® 488 Anti-Dynamin 2 antibody [EPR9053(2)(ABC)]

  • 565 Alexa Fluor® 555

    Alexa Fluor® 555 Anti-Dynamin 2 antibody [EPR9053(2)(ABC)]

  • 660 APC

    APC Anti-Dynamin 2 antibody [EPR9053(2)(ABC)]

  • 665 Alexa Fluor® 647

    Alexa Fluor® 647 Anti-Dynamin 2 antibody [EPR9053(2)(ABC)]

  • 617 Alexa Fluor® 594

    Alexa Fluor® 594 Anti-Dynamin 2 antibody [EPR9053(2)(ABC)]

  • 578 PE

    PE Anti-Dynamin 2 antibody [EPR9053(2)(ABC)]

  • 775 Alexa Fluor® 750

    Alexa Fluor® 750 Anti-Dynamin 2 antibody [EPR9053(2)(ABC)]

Key facts

Host species

Rabbit

Clonality

Monoclonal

Clone number

EPR9053(2)(ABC)

Isotype

IgG

Carrier free

No

Reacts with

Human

Applications

IHC-P, ICC/IF, WB

applications

Immunogen

The exact immunogen used to generate this antibody is proprietary information.

Reactivity data

{ "title": "Reactivity Data", "filters": { "stats": ["", "Species", "Dilution Info", "Notes"], "tabs": { "all-applications": {"fullname" : "All Applications", "shortname": "All Applications"}, "IHCP" : {"fullname" : "Immunohistochemistry (Formalin/PFA-fixed paraffin-embedded sections)", "shortname":"IHC-P"}, "ICCIF" : {"fullname" : "Immunocytochemistry/ Immunofluorescence", "shortname":"ICC/IF"}, "IP" : {"fullname" : "Immunoprecipitation", "shortname":"IP"}, "WB" : {"fullname" : "Western blot", "shortname":"WB"} }, "product-promise": { "all": "all", "testedAndGuaranteed": "tested", "guaranteed": "expected", "predicted": "predicted", "notRecommended": "not-recommended" } }, "values": { "Human": { "IHCP-species-checked": "testedAndGuaranteed", "IHCP-species-dilution-info": "1/50 - 1/100", "IHCP-species-notes": "<p></p>", "ICCIF-species-checked": "testedAndGuaranteed", "ICCIF-species-dilution-info": "1/50", "ICCIF-species-notes": "<p></p>", "IP-species-checked": "notRecommended", "IP-species-dilution-info": "", "IP-species-notes": "<p></p>", "WB-species-checked": "testedAndGuaranteed", "WB-species-dilution-info": "1/1000", "WB-species-notes": "<p></p>" }, "Mouse": { "IHCP-species-checked": "guaranteed", "IHCP-species-dilution-info": "", "IHCP-species-notes": "", "ICCIF-species-checked": "notRecommended", "ICCIF-species-dilution-info": "1/50", "ICCIF-species-notes": "<p></p>", "IP-species-checked": "notRecommended", "IP-species-dilution-info": "", "IP-species-notes": "", "WB-species-checked": "testedAndGuaranteed", "WB-species-dilution-info": "1/1000", "WB-species-notes": "<p></p>" }, "Rat": { "IHCP-species-checked": "guaranteed", "IHCP-species-dilution-info": "", "IHCP-species-notes": "", "ICCIF-species-checked": "notRecommended", "ICCIF-species-dilution-info": "1/50", "ICCIF-species-notes": "<p></p>", "IP-species-checked": "notRecommended", "IP-species-dilution-info": "", "IP-species-notes": "", "WB-species-checked": "testedAndGuaranteed", "WB-species-dilution-info": "1/1000", "WB-species-notes": "<p></p>" } } }

Product details

Patented technology
Our RabMAb® technology is a patented hybridoma-based technology for making rabbit monoclonal antibodies. For details on our patents, please refer to RabMAb® patents.

What are the advantages of a recombinant monoclonal antibody?
This product is a recombinant monoclonal antibody, which offers several advantages including:

  • - High batch-to-batch consistency and reproducibility
  • - Improved sensitivity and specificity
  • - Long-term security of supply
  • - Animal-free batch production

For more information, read more on recombinant antibodies.

Properties and storage information

Form
Liquid
Purification technique
Affinity purification Protein A
Storage buffer
pH: 7.2 - 7.4 Preservative: 0.01% Sodium azide Constituents: PBS, 50% Tissue culture supernatant, 40% Glycerol (glycerin, glycerine), 0.05% BSA
Shipped at conditions
Blue Ice
Appropriate short-term storage conditions
+4°C
Appropriate long-term storage conditions
-20°C

Supplementary information

This supplementary information is collated from multiple sources and compiled automatically.

Dynamin 2 also known as dynamin protein or DNM2 is a GTPase enzyme with a mass of approximately 100 kDa. This protein is mainly found in human cells such as fibroblasts epithelial cells and neurons. It functions by facilitating membrane fission events which are important for endocytosis and other vesicular trafficking processes. The flexible structure of dynamin-2 allows it to act as a molecular motor generating mechanical force upon GTP hydrolysis to constrict and sever membranes.
Biological function summary

Dynamin 2 participates in cellular processes like receptor-mediated endocytosis and are involved in actin and microtubule dynamics. It associates with other proteins to form complexes that stabilize its function and activity within the cell. By enabling endocytosis dynamin-2 plays a role in nutrient uptake signaling and membrane recycling ensuring proper cellular function and homeostasis.

Pathways

Dynamin 2 is integral to the clathrin-mediated endocytic pathway and the actin cytoskeleton regulation pathway. In the clathrin-mediated pathway it interacts with clathrin and adaptin proteins to facilitate the budding and release of clathrin-coated vesicles. Within the actin cytoskeleton pathway dynamin-2 is related to actin-binding proteins which it assists in remodeling the cytoskeleton structure supporting cell shape and motility.

Mutations in dynamin 2 have been linked to Charcot-Marie-Tooth disease and centronuclear myopathy. These conditions affect peripheral nerves and skeletal muscles respectively and stem from dysfunction in the cellular trafficking and division processes mediated by dynamin-2. The pathology of these diseases involves connections with other proteins such as myotubularin and other muscular-associated proteins indicating the significance of dynamin-2 in maintaining normal cellular functions and its role in neuromuscular disorders.

Product protocols

For this product, it's our understanding that no specific protocols are required. You can visit:

Target data

Catalyzes the hydrolysis of GTP and utilizes this energy to mediate vesicle scission at plasma membrane during endocytosis and filament remodeling at many actin structures during organization of the actin cytoskeleton (PubMed : 15731758, PubMed : 19605363, PubMed : 19623537, PubMed : 33713620, PubMed : 34744632). Plays an important role in vesicular trafficking processes, namely clathrin-mediated endocytosis (CME), exocytic and clathrin-coated vesicle from the trans-Golgi network, and PDGF stimulated macropinocytosis (PubMed : 15731758, PubMed : 19623537, PubMed : 33713620). During vesicular trafficking process, associates to the membrane, through lipid binding, and self-assembles into ring-like structure through oligomerization to form a helical polymer around the vesicle membrane and leading to vesicle scission (PubMed : 17636067, PubMed : 34744632, PubMed : 36445308). Plays a role in organization of the actin cytoskeleton by mediating arrangement of stress fibers and actin bundles in podocytes (By similarity). During organization of the actin cytoskeleton, self-assembles into ring-like structure that directly bundles actin filaments to form typical membrane tubules decorated with dynamin spiral polymers (By similarity). Self-assembly increases GTPase activity and the GTP hydrolysis causes the rapid depolymerization of dynamin spiral polymers, and results in dispersion of actin bundles (By similarity). Remodels, through its interaction with CTTN, bundled actin filaments in a GTPase-dependent manner and plays a role in orchestrating the global actomyosin cytoskeleton (PubMed : 19605363). The interaction with CTTN stabilizes the interaction of DNM2 and actin filaments and stimulates the intrinsic GTPase activity that results in actin filament-barbed ends and increases the sensitivity of filaments in bundles to the actin depolymerizing factor, CFL1 (By similarity). Plays a role in the autophagy process, by participating in the formation of ATG9A vesicles destined for the autophagosomes through its interaction with SNX18 (PubMed : 29437695), by mediating recycling endosome scission leading to autophagosome release through MAP1LC3B interaction (PubMed : 29437695, PubMed : 32315611). Also regulates maturation of apoptotic cell corpse-containing phagosomes by recruiting PIK3C3 to the phagosome membrane (By similarity). Also plays a role in cytokinesis (By similarity). May participate in centrosome cohesion through its interaction with TUBG1 (By similarity). Plays a role in the regulation of neuron morphology, axon growth and formation of neuronal growth cones (By similarity). Involved in membrane tubulation (PubMed : 24135484).
See full target information DNM2

Publications (5)

Recent publications for all applications. Explore the full list and refine your search

Theranostics 11:2364-2380 PubMed33500730

2021

Endocytic pathway inhibition attenuates extracellular vesicle-induced reduction of chemosensitivity to bortezomib in multiple myeloma cells.

Applications

Unspecified application

Species

Unspecified reactive species

Chenggong Tu,Zhimin Du,Hui Zhang,Yueyuan Feng,Yujun Qi,Yongjiang Zheng,Jinbao Liu,Jinheng Wang

Signal transduction and targeted therapy 5:75 PubMed32499481

2020

Twist1-induced miR-199a-3p promotes liver fibrosis by suppressing caveolin-2 and activating TGF-β pathway.

Applications

Unspecified application

Species

Unspecified reactive species

Xiaoxue Yang,Liping Ma,Rong Wei,Tinghong Ye,JianKang Zhou,Maoyao Wen,Ruoting Men,Rami I Aqeilan,Yong Peng,Li Yang

The Journal of biological chemistry 295:8656-8667 PubMed32354746

2020

The intragenic microRNA in the dynamin 2 gene contributes to the pathology of X-linked centronuclear myopathy.

Applications

Unspecified application

Species

Unspecified reactive species

Xin Chen,Yun-Qian Gao,Yan-Yan Zheng,Wei Wang,Pei Wang,Juan Liang,Wei Zhao,Tao Tao,Jie Sun,Lisha Wei,Yeqiong Li,Yuwei Zhou,Zhenji Gan,Xuena Zhang,Hua-Qun Chen,Min-Sheng Zhu

Frontiers in microbiology 11:242 PubMed32210929

2020

Characterization of Zika Virus Endocytic Pathways in Human Glioblastoma Cells.

Applications

Unspecified application

Species

Unspecified reactive species

Mei Li,Di Zhang,Chuntian Li,Zifeng Zheng,Ming Fu,Fengfeng Ni,Yalan Liu,Tao Du,Hanzhong Wang,George E Griffin,Mudan Zhang,Qinxue Hu

Journal of cell science 130:841-852 PubMed28104817

2017

Dysferlin mediates membrane tubulation and links T-tubule biogenesis to muscular dystrophy.

Applications

Unspecified application

Species

Unspecified reactive species

Julia Hofhuis,Kristina Bersch,Ronja Büssenschütt,Marzena Drzymalski,David Liebetanz,Viacheslav O Nikolaev,Stefan Wagner,Lars S Maier,Jutta Gärtner,Lars Klinge,Sven Thoms
View all publications

Product promise

We are committed to supporting your work with high-quality reagents, and we're here for you every step of the way. In the unlikely event that one of our products does not perform as expected, you're protected by our Product Promise.
For full details, please see our Terms & Conditions

Please note: All products are 'FOR RESEARCH USE ONLY. NOT FOR USE IN DIAGNOSTIC OR THERAPEUTIC PROCEDURES'.

For licensing inquiries, please contact partnerships@abcam.com