JavaScript is disabled in your browser. Please enable JavaScript to view this website.
AB3458

Anti-Dynamin 3 antibody

3

(2 Reviews)

|

(11 Publications)

Rabbit Polyclonal Dynamin 3 antibody. Suitable for WB, IHC-P, ICC/IF and reacts with Rat, Human samples. Cited in 11 publications. Immunogen corresponding to Synthetic Peptide within Rat Dnm3 aa 600-650.

View Alternative Names

KIAA0820, DNM3, Dynamin-3, T-dynamin

3 Images
Western blot - Anti-Dynamin 3 antibody (AB3458)
  • WB

Unknown

Western blot - Anti-Dynamin 3 antibody (AB3458)

Western blot of Dynamin 3 on rat liver extract using ab3458.

All lanes:

Western blot - Anti-Dynamin 3 antibody (ab3458)

Predicted band size: 97 kDa

false

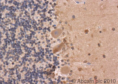
Immunohistochemistry (Formalin/PFA-fixed paraffin-embedded sections) - Anti-Dynamin 3 antibody (AB3458)
  • IHC-P

Unknown

Immunohistochemistry (Formalin/PFA-fixed paraffin-embedded sections) - Anti-Dynamin 3 antibody (AB3458)

ab3458 (4µg/ml) staining Dynamin 3 in human brain cerebellum using an automated system (DAKO Autostainer Plus). Using this protocol there is strong staining of nuclear/cytoplasmic compartments within the white matter region
Sections were rehydrated and antigen retrieved with the Dako 3 in 1 AR buffer citrate pH 6.1 in a DAKO PT link. Slides were peroxidase blocked in 3% H2O2 in methanol for 10 mins. They were then blocked with Dako Protein block for 10 minutes (containing casein 0.25% in PBS) then incubated with primary antibody for 20 min and detected with Dako envision flex amplification kit for 30 minutes. Colorimetric detection was completed with Diaminobenzidine for 5 minutes. Slides were counterstained with Haematoxylin and coverslipped under DePeX. Please note that, for manual staining, optimization of primary antibody concentration and incubation time is recommended. Signal amplification may be required.

Immunocytochemistry/ Immunofluorescence - Anti-Dynamin 3 antibody (AB3458)
  • ICC/IF

Unknown

Immunocytochemistry/ Immunofluorescence - Anti-Dynamin 3 antibody (AB3458)

ICC/IF image of ab3458 stained HeLa cells. The cells were 100% methanol fixed (5 min) and then incubated in 1%BSA / 10% normal goat serum / 0.3M glycine in 0.1% PBS-Tween for 1h to permeabilise the cells and block non-specific protein-protein interactions. The cells were then incubated with the antibody (ab3458, 1µg/ml) overnight at +4°C. The secondary antibody (green) was Alexa Fluor® 488 goat anti-rabbit IgG (H+L) used at a 1/1000 dilution for 1h. Alexa Fluor® 594 WGA was used to label plasma membranes (red) at a 1/200 dilution for 1h. DAPI was used to stain the cell nuclei (blue) at a concentration of 1.43µM.

Key facts

Host species

Rabbit

Clonality

Polyclonal

Isotype

IgG

Carrier free

No

Reacts with

Rat, Human

Applications

IHC-P, ICC/IF, WB

applications

Immunogen

Synthetic Peptide within Rat Dnm3 aa 600-650. The exact immunogen used to generate this antibody is proprietary information.

Q08877

Reactivity data

{ "title": "Reactivity Data", "filters": { "stats": ["", "Species", "Dilution Info", "Notes"], "tabs": { "all-applications": {"fullname" : "All Applications", "shortname": "All Applications"}, "WB" : {"fullname" : "Western blot", "shortname":"WB"}, "IHCP" : {"fullname" : "Immunohistochemistry (Formalin/PFA-fixed paraffin-embedded sections)", "shortname":"IHC-P"}, "ICCIF" : {"fullname" : "Immunocytochemistry/ Immunofluorescence", "shortname":"ICC/IF"} }, "product-promise": { "all": "all", "testedAndGuaranteed": "tested", "guaranteed": "expected", "predicted": "predicted", "notRecommended": "not-recommended" } }, "values": { "Human": { "WB-species-checked": "guaranteed", "WB-species-dilution-info": "", "WB-species-notes": "", "IHCP-species-checked": "testedAndGuaranteed", "IHCP-species-dilution-info": "4 µg/mL", "IHCP-species-notes": "<p></p>", "ICCIF-species-checked": "testedAndGuaranteed", "ICCIF-species-dilution-info": "1 µg/mL", "ICCIF-species-notes": "<p></p>" }, "Rat": { "WB-species-checked": "testedAndGuaranteed", "WB-species-dilution-info": "", "WB-species-notes": "<p>By Western blot, this antibody detects an ~100 kDa protein representing Dynamin 3 from HeLa cell lysate.</p>", "IHCP-species-checked": "guaranteed", "IHCP-species-dilution-info": "", "IHCP-species-notes": "", "ICCIF-species-checked": "guaranteed", "ICCIF-species-dilution-info": "", "ICCIF-species-notes": "" } } }

Have you thought about this alternative?

AB134925

Anti-Dynamin 3 antibody [EPR9055]

0
0 Reviews
View product

We’re constantly upgrading our range to offer the highest quality products. We have selected this alternative product for your review because it gives improved performance, is easier and more convenient to use, or is available faster.

Properties and storage information

Form
Liquid
Purification technique
Affinity purification Immunogen
Storage buffer
Preservative: 0.05% Sodium azide Constituents: 99% PBS, 0.1% BSA
Shipped at conditions
Blue Ice
Appropriate short-term storage duration
1-2 weeks
Appropriate short-term storage conditions
+4°C
Appropriate long-term storage conditions
-20°C
Aliquoting information
Upon delivery aliquot
Storage information
Avoid freeze / thaw cycle

Supplementary information

This supplementary information is collated from multiple sources and compiled automatically.

Dynamin 3 also known as DNM3 is a GTPase enzyme involved in the regulation of membrane fission events. It belongs to the dynamin family which also includes dynamin 1 and dynamin 2. Dynamin 3 has a molecular weight of approximately 97 kDa. This protein expresses in neurons where it plays a critical role in synaptic vesicle endocytosis. Additionally its expression can be found in the testes and lungs indicating a role in cellular events specific to these tissues.
Biological function summary

Dynamin 3 functions as part of multi-protein complexes that mediate membrane trafficking. In neurons it partners with other proteins to ensure precise timing of vesicle scission during synaptic transmission. Its ability to hydrolyze GTP provides the force necessary for membrane constriction and this activity is essential for maintaining normal neurotransmitter release. Dynamin 3 interacts with proteins including endophilin and amphiphysin which assist in the binding to membrane lipids ensuring proper recruitment to the sites of vesicle budding.

Pathways

Cellular events involving dynamin 3 are integral to synaptic vesicle recycling and endocytosis. Dynamin 3 functions within the clathrin-mediated endocytosis pathway which ensures the recycling of synaptic vesicles following neurotransmitter release. Within this pathway it collaborates extensively with clathrin and adaptin proteins playing a critical role in the disassembly of the clathrin-coated pits. Dynamin 3's activity is closely coordinated with other members of the dynamin protein family such as dynamin 1 which shares overlapping roles in similar cellular contexts.

Dysregulation of dynamin 3 is associated with certain neurodegenerative disorders such as Charcot-Marie-Tooth disease and epilepsy. Alterations in its function can disrupt normal synaptic vesicle trafficking leading to impaired synaptic transmission contributing to the pathology of these conditions. The interaction of dynamin 3 with proteins such as myelin protein zero (related to Charcot-Marie-Tooth disease) and voltage-gated ion channels (related to epilepsy) highlights its significant role in the nervous system where its proper function is needed for cognitive and motor abilities.

Product protocols

For this product, it's our understanding that no specific protocols are required. You can visit:

Target data

Microtubule-associated force-producing protein involved in producing microtubule bundles and able to bind and hydrolyze GTP. Most probably involved in vesicular trafficking processes, in particular endocytosis (By similarity).
See full target information DNM3

Publications (11)

Recent publications for all applications. Explore the full list and refine your search

Cells 11: PubMed36429074

2022

The Long-Term Pannexin 1 Ablation Produces Structural and Functional Modifications in Hippocampal Neurons.

Applications

Unspecified application

Species

Unspecified reactive species

Carolina Flores-Muñoz,Francisca García-Rojas,Miguel A Pérez,Odra Santander,Elena Mery,Stefany Ordenes,Javiera Illanes-González,Daniela López-Espíndola,Arlek M González-Jamett,Marco Fuenzalida,Agustín D Martínez,Álvaro O Ardiles

International journal of molecular sciences 22: PubMed33499026

2021

Restraint of Human Skin Fibroblast Motility, Migration, and Cell Surface Actin Dynamics, by Pannexin 1 and P2X7 Receptor Signaling.

Applications

Unspecified application

Species

Unspecified reactive species

Carolina Flores-Muñoz,Jaime Maripillán,Jacqueline Vásquez-Navarrete,Joel Novoa-Molina,Ricardo Ceriani,Helmuth A Sánchez,Ana C Abbott,Caroline Weinstein-Oppenheimer,Donald I Brown,Ana María Cárdenas,Isaac E García,Agustín D Martínez

Scientific data 5:180199 PubMed30277483

2018

Transcriptomes of cochlear inner and outer hair cells from adult mice.

Applications

Unspecified application

Species

Unspecified reactive species

Yi Li,Huizhan Liu,Kimberlee P Giffen,Lei Chen,Kirk W Beisel,David Z Z He

JCI insight 3: PubMed29563333

2018

Osteopontin deficiency ameliorates Alport pathology by preventing tubular metabolic deficits.

Applications

Unspecified application

Species

Unspecified reactive species

Wen Ding,Keyvan Yousefi,Stefania Goncalves,Bradley J Goldstein,Alfonso L Sabater,Amy Kloosterboer,Portia Ritter,Guerline Lambert,Armando J Mendez,Lina A Shehadeh

Oncology letters 13:4776-4784 PubMed28599479

2017

Dynamin 3 suppresses growth and induces apoptosis of hepatocellular carcinoma cells by activating inducible nitric oxide synthase production.

Applications

Unspecified application

Species

Unspecified reactive species

Chao Gu,Junliang Yao,Peilong Sun

Medical science monitor : international medical jo 22:197-205 PubMed26784388

2016

DNM3 Attenuates Hepatocellular Carcinoma Growth by Activating P53.

Applications

WB

Species

Human

Zhengdong Zhang,Chun Chen,Weike Guo,Shengbao Zheng,Zhenghua Sun,Xiaoping Geng

Stem cells and development 20:2139-51 PubMed21671749

2011

Distinct functional effects for dynamin 3 during megakaryocytopoiesis.

Applications

ICC/IF

Species

Unspecified reactive species

Wenjing Wang,Diana M Gilligan,Sijie Sun,Xiaoping Wu,Jo-Anna Reems

American journal of physiology. Renal physiology 301:F118-24 PubMed21490139

2011

Dynamin activates NO production in rat renal inner medullary collecting ducts via protein-protein interaction with NOS1.

Applications

ICC/IF

Species

Rat

Kelly A Hyndman,Jacqueline B Musall,Jing Xue,Jennifer S Pollock

BMC neuroscience 10:61 PubMed19534784

2009

Kalirin12 interacts with dynamin.

Applications

WB, WB

Species

Human, Rat

Xiaonan Xin,Chana A Rabiner,Richard E Mains,Betty A Eipper

Molecular biology of the cell 20:3251-60 PubMed19458185

2009

Endocytic accessory proteins are functionally distinguished by their differential effects on the maturation of clathrin-coated pits.

Applications

WB

Species

Rat

Marcel Mettlen,Miriam Stoeber,Dinah Loerke,Costin N Antonescu,Gaudenz Danuser,Sandra L Schmid
View all publications

Product promise

We are committed to supporting your work with high-quality reagents, and we're here for you every step of the way. In the unlikely event that one of our products does not perform as expected, you're protected by our Product Promise.
For full details, please see our Terms & Conditions

Please note: All products are 'FOR RESEARCH USE ONLY. NOT FOR USE IN DIAGNOSTIC OR THERAPEUTIC PROCEDURES'.

For licensing inquiries, please contact partnerships@abcam.com