JavaScript is disabled in your browser. Please enable JavaScript to view this website.
AB111177

Anti-Dynein antibody

Be the first to review this product! Submit a review

|

(2 Publications)

Rabbit Polyclonal Dynein antibody. Suitable for IHC-P and reacts with Human samples. Cited in 2 publications. Immunogen corresponding to Synthetic Peptide within Human DYNLL2.

View Alternative Names

DLC2, DYNLL2, 8 kDa dynein light chain b, Dynein light chain LC8-type 2, DLC8b

1 Images
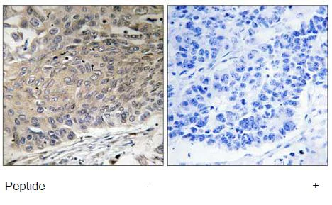
Immunohistochemistry (Formalin/PFA-fixed paraffin-embedded sections) - Anti-Dynein antibody (AB111177)
  • IHC-P

Unknown

Immunohistochemistry (Formalin/PFA-fixed paraffin-embedded sections) - Anti-Dynein antibody (AB111177)

ab111177 at 1/50 dilution, staining Dynein in paraffin-embedded Human lung carcinoma tissue by Immunohistochemistry. The image on the right is treated with the synthesized peptide.

Key facts

Host species

Rabbit

Clonality

Polyclonal

Isotype

IgG

Carrier free

No

Reacts with

Human

Applications

IHC-P

applications

Immunogen

Synthetic Peptide within Human DYNLL2. The exact immunogen used to generate this antibody is proprietary information.

Q96FJ2

Reactivity data

{ "title": "Reactivity Data", "filters": { "stats": ["", "Species", "Dilution Info", "Notes"], "tabs": { "all-applications": {"fullname" : "All Applications", "shortname": "All Applications"}, "IHCP" : {"fullname" : "Immunohistochemistry (Formalin/PFA-fixed paraffin-embedded sections)", "shortname":"IHC-P"} }, "product-promise": { "all": "all", "testedAndGuaranteed": "tested", "guaranteed": "expected", "predicted": "predicted", "notRecommended": "not-recommended" } }, "values": { "Human": { "IHCP-species-checked": "testedAndGuaranteed", "IHCP-species-dilution-info": "1/50 - 1/100", "IHCP-species-notes": "<p></p> Perform heat-mediated antigen retrieval with citrate buffer pH 6 before commencing with IHC staining protocol." }, "Mouse": { "IHCP-species-checked": "predicted", "IHCP-species-dilution-info": "", "IHCP-species-notes": "" }, "Rat": { "IHCP-species-checked": "predicted", "IHCP-species-dilution-info": "", "IHCP-species-notes": "" } } }

Properties and storage information

Form
Liquid
Purification technique
Affinity purification Immunogen
Purification notes
ab111177 is affinity-purified from rabbit antiserum by affinity-chromatography using epitope-specific immunogen.
Storage buffer
pH: 7.4 Preservative: 0.02% Sodium azide Constituents: PBS, 50% Glycerol (glycerin, glycerine), 0.88% Sodium chloride
Shipped at conditions
Blue Ice
Appropriate short-term storage conditions
+4°C
Appropriate long-term storage conditions
-20°C
Storage information
Stable for 12 months at -20°C

Supplementary information

This supplementary information is collated from multiple sources and compiled automatically.

The dynein protein a motor protein also known as cytoplasmic dynein plays an important role in cellular mechanics. It has a molecular mass of approximately 1.2 megadaltons. Dynein functions by converting chemical energy from ATP hydrolysis into mechanical work enabling movement along microtubules toward the minus end. Expressed widely in eukaryotic cells dynein is particularly found in the cytoplasm where it aids intracellular transport processes.
Biological function summary

Dynein facilitates important cellular processes by transporting organelles vesicles and even chromosomes. It is a major component of the dynactin complex a multi-subunit assembly that enhances dynein's affinity for microtubules and cargo. Through its interactions dynein maintains cellular organization and is pivotal in mitosis where it aligns chromosomes and pulls them apart during anaphase.

Pathways

The functionality of dynein interlinks with significant biological pathways such as the intracellular transport pathway and mitotic spindle formation. Partnering with proteins like kinesin dynein ensures the bidirectional transport necessary for cellular homeostasis. Additionally its role in spindle dynamics highlights interaction with spindle assembly checkpoint proteins orchestrating precise chromosome segregation.

Mutations or malfunctions in dynein can lead to neurodegenerative diseases such as amyotrophic lateral sclerosis (ALS) and spinal muscular atrophy (SMA). These disorders arise from defective axonal transport where dynein's role becomes disrupted. In the context of ALS dynein's interaction with superoxide dismutase 1 (SOD1) demonstrates its involvement in neuronal health and pathology. Similarly dynein dysfunction is linked to SMA where alterations affect neuromuscular communication and maintenance.

Product protocols

For this product, it's our understanding that no specific protocols are required. You can visit:

Target data

Acts as one of several non-catalytic accessory components of the cytoplasmic dynein 1 complex that are thought to be involved in linking dynein to cargos and to adapter proteins that regulate dynein function. Cytoplasmic dynein 1 acts as a motor for the intracellular retrograde motility of vesicles and organelles along microtubules. May play a role in changing or maintaining the spatial distribution of cytoskeletal structures (By similarity).
See full target information DYNLL2

Publications (2)

Recent publications for all applications. Explore the full list and refine your search

Scientific reports 15:6891 PubMed40011606

2025

High-intensity interval training alleviates STZ-induced muscle atrophy by restoration of nuclear positioning defects in C57BL/6 male mice.

Applications

Unspecified application

Species

Unspecified reactive species

Masoud Rahmati,Rohollah Nikooie

Antioxidants (Basel, Switzerland) 13: PubMed38790696

2024

Oxidative Stress, Lipid Peroxidation and Ferroptosis Are Major Pathophysiological Signatures in the Placental Tissue of Women with Late-Onset Preeclampsia.

Applications

Unspecified application

Species

Unspecified reactive species

Miguel A Ortega,Luis M Garcia-Puente,Oscar Fraile-Martinez,Tatiana Pekarek,Cielo García-Montero,Julia Bujan,Leonel Pekarek,Silvestra Barrena-Blázquez,Raquel Gragera,Inmaculada C Rodríguez-Rojo,Patrocinio Rodríguez-Benitez,Laura López-González,Raul Díaz-Pedrero,Melchor Álvarez-Mon,Natalio García-Honduvilla,Juan A De León-Luis,Coral Bravo,Miguel A Saez
View all publications

Product promise

We are committed to supporting your work with high-quality reagents, and we're here for you every step of the way. In the unlikely event that one of our products does not perform as expected, you're protected by our Product Promise.
For full details, please see our Terms & Conditions

Please note: All products are 'FOR RESEARCH USE ONLY. NOT FOR USE IN DIAGNOSTIC OR THERAPEUTIC PROCEDURES'.

For licensing inquiries, please contact partnerships@abcam.com