JavaScript is disabled in your browser. Please enable JavaScript to view this website.
AB51603

Anti-DYNLL1/PIN antibody [EP1660Y]

5

(7 Reviews)

|

(43 Publications)

Rabbit Recombinant Monoclonal DYNLL1/PIN antibody. Suitable for IP, WB, ICC/IF, Flow Cyt (Intra), IHC-P and reacts with Human, Mouse, Rat samples. Cited in 43 publications.

View Alternative Names

DLC1, DNCL1, DNCLC1, HDLC1, DYNLL1, 8 kDa dynein light chain, Dynein light chain LC8-type 1, Protein inhibitor of neuronal nitric oxide synthase, DLC8, PIN

11 Images
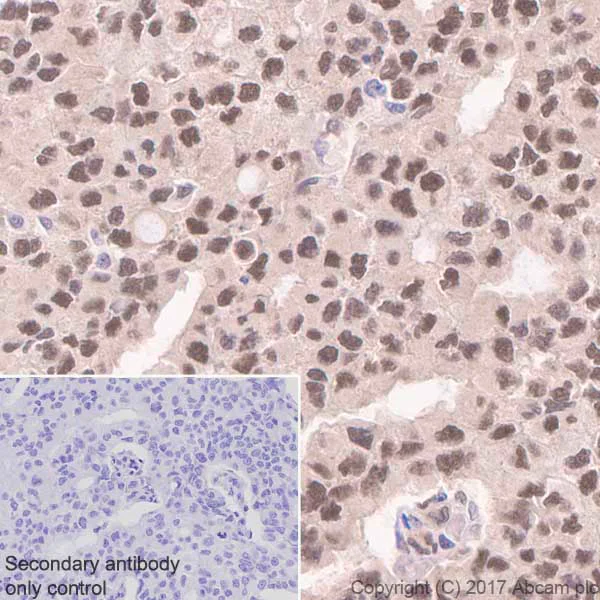
Immunohistochemistry (Formalin/PFA-fixed paraffin-embedded sections) - Anti-DYNLL1/PIN antibody [EP1660Y] (AB51603)
  • IHC-P

Unknown

Immunohistochemistry (Formalin/PFA-fixed paraffin-embedded sections) - Anti-DYNLL1/PIN antibody [EP1660Y] (AB51603)

Immunohistochemical staining of paraffin embedded human liver using unpurified ab51603 (1/100).

Flow Cytometry (Intracellular) - Anti-DYNLL1/PIN antibody [EP1660Y] (AB51603)
  • Flow Cyt (Intra)

Unknown

Flow Cytometry (Intracellular) - Anti-DYNLL1/PIN antibody [EP1660Y] (AB51603)

Intracellular Flow Cytometry analysis of HeLa (human cervix adenocarcinoma) cells labeling DYNLL1/PIN (red) with purified ab51603 at a 1/2300 dilution. Cells were fixed with 4% paraformaldehyde and permeabilized with 90% methanol. A goat anti-rabbit IgG (Alexa Fluorr® 488) (ab150077) was used as the secondary antibody at a 1/2000 dilution. Black - Rabbit monoclonal IgG (ab172730). Blue (unlabeled control) - Cells without incubation with the primary and secondary antibodies.

Immunocytochemistry/ Immunofluorescence - Anti-DYNLL1/PIN antibody [EP1660Y] (AB51603)
  • ICC/IF

AbReview16748****

Immunocytochemistry/ Immunofluorescence - Anti-DYNLL1/PIN antibody [EP1660Y] (AB51603)

Unpurified ab51603 staining DLC8 in mouse kidney cells cells by ICC/IF (immunocytochemistry/immunofluorescence. Cells were fixed with methanol, permeabilized with 0.1% Triton and blocked with 1% milk for 1 hour at room temperature. The sample was incubated with primary antibody (1/400; 1% milk in PBS) for 16 hours at 4°C. An Alexa Fluor®488-conjugated Goat polyclonal to rabbit IgG (1/1000) was used as secondary antibody.

This image is courtesy of an anonymous Abreview.

Immunocytochemistry/ Immunofluorescence - Anti-DYNLL1/PIN antibody [EP1660Y] (AB51603)
  • ICC/IF

Unknown

Immunocytochemistry/ Immunofluorescence - Anti-DYNLL1/PIN antibody [EP1660Y] (AB51603)

Immunocytochemistry/ Immunofluorescence analysis of MCF7 (Human breast adenocarcinoma epithelial cell) cells labeling DYNLL1/PIN with Purified ab51603 at 1 : 100 dilution (6.7μg/ml). Cells were fixed in 4% Paraformaldehyde and permeabilized with 0.1% tritonX-100. ab150077 Goat anti rabbit IgG(Alexa Fluor® 488) was used as the secondary antibody at 1 : 1000 dilution. DAPI nuclear counterstain. PBS instead of the primary antibody was used as the secondary antibody only control.

Immunohistochemistry (Formalin/PFA-fixed paraffin-embedded sections) - Anti-DYNLL1/PIN antibody [EP1660Y] (AB51603)
  • IHC-P

Supplier Data

Immunohistochemistry (Formalin/PFA-fixed paraffin-embedded sections) - Anti-DYNLL1/PIN antibody [EP1660Y] (AB51603)

Immunohistochemistry (Formalin/PFA-fixed paraffin-embedded sections) analysis of Human breast carcinoma tissue sections labeling DYNLL1/PIN with Purified ab51603 at 1 : 500 dilution (1.34 μg/ml). Heat mediated antigen retrieval was performed using ab93684 (Tris/EDTA buffer, pH 9.0). Tissue was counterstained with Hematoxylin. ImmunoHistoProbe one step HRP Polymer (ready to use) secondary antibody was used at 1 : 0 dilution. PBS instead of the primary antibody was used as the negative control.

Immunoprecipitation - Anti-DYNLL1/PIN antibody [EP1660Y] (AB51603)
  • IP

PubMed

Immunoprecipitation - Anti-DYNLL1/PIN antibody [EP1660Y] (AB51603)

Unpurified ab51603 used in IP.SKAP and Astrin form a complex. (A, left) Silver-stained gels showing a one-step IP of GFPLAP-Astrin, GFPLAP-SKAP, or GFPLAP-LC8. (A, right) Data from the mass spectrometric analysis of the purifications indicating the percent sequence coverage from each IP. (B) Silver-stained gel showing the purification of FLAG-SKAP from chicken DT40 cells relative to controls. The indicated proteins were identified by excising them from a gel and analyzing them by mass spectrometry.

All lanes:

Immunoprecipitation - Anti-DYNLL1/PIN antibody [EP1660Y] (ab51603)

Predicted band size: 10 kDa

false

Image from Schmidt JC et al. J Cell Biol. 2010 Oct 18;191(2):269-80. Epub 2010 Oct 11 Fig 2. DOI 10.1083/jcb.201006129.

Immunoprecipitation - Anti-DYNLL1/PIN antibody [EP1660Y] (AB51603)
  • IP

Unknown

Immunoprecipitation - Anti-DYNLL1/PIN antibody [EP1660Y] (AB51603)

ab51603 (purified) at 1 : 30 dilution (2ug) immunoprecipitating DYNLL1/PIN in HeLa (Human cervix adenocarcinoma epithelial cell) whole cell lysate.

Lane 1 (input) : HeLa (Human cervix adenocarcinoma epithelial cell) whole cell lysate 10ug
Lane 2 (+) : ab51603 & HeLa (Human cervix adenocarcinoma epithelial cell) whole cell lysate
Lane 3 (-) : Rabbit monoclonal IgG (ab172730) instead of ab51603 in HeLa (Human cervix adenocarcinoma epithelial cell) whole cell lysate

For western blotting, VeriBlot for IP Detection Reagent (HRP) (ab131366) was used for detection at 1 : 1000 dilution.
Blocking and diluting buffer : 5% NFDM/TBST.

All lanes:

Immunoprecipitation - Anti-DYNLL1/PIN antibody [EP1660Y] (ab51603)

Predicted band size: 10 kDa

false

Western blot - Anti-DYNLL1/PIN antibody [EP1660Y] (AB51603)
  • WB

Unknown

Western blot - Anti-DYNLL1/PIN antibody [EP1660Y] (AB51603)

Lanes 1-3 : Merged signal (red and green). Green - ab51603 observed at 10 kDa. Red - loading control ab8245 observed at 36 kDa.

ab51603 Anti-DYNLL1/PIN antibody [EP1660Y] was shown to specifically react with DYNLL1/PIN in wild-type HeLa cells. Loss of signal was observed when knockout cell line ab265265 (knockout cell lysate ab257414) was used. Wild-type and DYNLL1/PIN knockout samples were subjected to SDS-PAGE. ab51603 and Anti-GAPDH antibody [6C5] - Loading Control (ab8245) were incubated overnight at 4°C at 1 in 1000 dilution and 1 in 20000 dilution respectively. Blots were developed with Goat anti-Rabbit IgG H&L (IRDye® 800CW) preadsorbed (ab216773) and Goat anti-Mouse IgG H&L (IRDye® 680RD) preadsorbed (ab216776) secondary antibodies at 1 in 20000 dilution for 1 hour at room temperature before imaging.

All lanes:

Western blot - Anti-DYNLL1/PIN antibody [EP1660Y] (ab51603) at 1/1000 dilution

Lane 1:

Wild-type HeLa cell lysate at 20 µg

Lane 2:

DYNLL1 knockout HeLa cell lysate at 20 µg

Lane 2:

Western blot - Human DYNLL1 (PIN) knockout HeLa cell line (<a href='/en-us/products/cell-lines/human-dynll1-pin-knockout-hela-cell-line-ab265265'>ab265265</a>)

Lane 3:

Mouse testis tissue lysate at 20 µg

Secondary

All lanes:

Western blot - Goat anti-Rabbit IgG H&L (IRDye® 800CW) preadsorbed (<a href='/en-us/products/secondary-antibodies/goat-rabbit-igg-h-l-irdye-800cw-preadsorbed-ab216773'>ab216773</a>) at 1/10000 dilution

Predicted band size: 10 kDa

Observed band size: 10 kDa

false

Western blot - Anti-DYNLL1/PIN antibody [EP1660Y] (AB51603)
  • WB

Lab

Western blot - Anti-DYNLL1/PIN antibody [EP1660Y] (AB51603)

Blocking and diluting buffer : 5% NFDM/TBST

All lanes:

Western blot - Anti-DYNLL1/PIN antibody [EP1660Y] (ab51603) at 1/10000 dilution

Lane 1:

HeLa (Human cervix adenocarcinoma epithelial cell) whole cell lysates at 20 µg

Lane 2:

Mouse testis lysates at 20 µg

Lane 3:

Rat testis lysates at 20 µg

Secondary

All lanes:

Western blot - Goat Anti-Rabbit IgG H&L (HRP) (<a href='/en-us/products/secondary-antibodies/goat-rabbit-igg-h-l-hrp-ab97051'>ab97051</a>) at 1/20000 dilution

Predicted band size: 10 kDa

Observed band size: 10 kDa

false

Western blot - Anti-DYNLL1/PIN antibody [EP1660Y] (AB51603)
  • WB

AbReview54133****

Western blot - Anti-DYNLL1/PIN antibody [EP1660Y] (AB51603)

Lymphnodes were dissociated in PBS 2% FBS. Cell suspensions filtered through 70 μm and 40 μm cell strainers, and 300 x g pellets were lysed in modified RIPA buffer (150 mM NaCl, 20 mM Tris pH7.4, 1 mM EDTA, 1 mM EGTA, 10 mM NaF, 1% Triton X-100, 1% sodium deoxycholate, 0.1% SDS, 1 mM PMSF, 1 x protein inhibitor cocktail (Sigma)).

All lanes:

Western blot - Anti-DYNLL1/PIN antibody [EP1660Y] (ab51603) at 1/5000 dilution

Lane 1:

Primary mouse Mb1-Cre control Eµ-Myc B cell lymphoma (lysate of whole lymphnode)

Lane 2:

Primary mouse Mb1-Cre DYNLL1/PIN-conditional knockout Eµ-Myc B cell lymphoma (lysate of whole lymphnode)

Secondary

All lanes:

HRP conjugated polyclonal goat IgG at 1/5000 dilution

Predicted band size: 10 kDa

Observed band size: 10 kDa

false

Exposure time: 10min

This image is courtesy of an abreview submitted by Dr. Jörg Heierhorst

Western blot - Anti-DYNLL1/PIN antibody [EP1660Y] (AB51603)
  • WB

Unknown

Western blot - Anti-DYNLL1/PIN antibody [EP1660Y] (AB51603)

All lanes:

Western blot - Anti-DYNLL1/PIN antibody [EP1660Y] (ab51603) at 1/10000 dilution

All lanes:

HeLa cell lysate at 10 µg

Secondary

All lanes:

Goat anti-rabbit HRP at 1/2000 dilution

Predicted band size: 10 kDa

Observed band size: 10 kDa

false

  • 519 Alexa Fluor® 488

    Alexa Fluor® 488 Anti-DYNLL1/PIN antibody [EP1660Y]

  • Carrier free

    Anti-DYNLL1/PIN antibody [EP1660Y] - BSA and Azide free

  • 578 PE

    PE Anti-DYNLL1 / PIN antibody [EP1660Y]

  • HRP

    HRP Anti-DYNLL1 / PIN antibody [EP1660Y]

  • 617 Alexa Fluor® 594

    Alexa Fluor® 594 Anti-DYNLL1 / PIN antibody [EP1660Y]

  • 665 Alexa Fluor® 647

    Alexa Fluor® 647 Anti-DYNLL1 / PIN antibody [EP1660Y]

  • 603 Alexa Fluor® 568

    Alexa Fluor® 568 Anti-DYNLL1 / PIN antibody [EP1660Y]

  • 565 Alexa Fluor® 555

    Alexa Fluor® 555 Anti-DYNLL1 / PIN antibody [EP1660Y]

  • 660 APC

    APC Anti-DYNLL1 / PIN antibody [EP1660Y]

  • 775 Alexa Fluor® 750

    Alexa Fluor® 750 Anti-DYNLL1/PIN antibody [EP1660Y]

Key facts

Host species

Rabbit

Clonality

Monoclonal

Clone number

EP1660Y

Isotype

IgG

Carrier free

No

Reacts with

Mouse, Rat, Human

Applications

WB, Flow Cyt (Intra), IHC-P, ICC/IF, IP

applications

Immunogen

The exact immunogen used to generate this antibody is proprietary information.

Epitope

The epitope for this antibody is on the N-terminus, AA2-14.

Specificity

ab51603 recognizes DLC8. The mouse and rat recommendation is based on the WB results. We do not guarantee IHC-P for mouse and rat.

Reactivity data

{ "title": "Reactivity Data", "filters": { "stats": ["", "Species", "Dilution Info", "Notes"], "tabs": { "all-applications": {"fullname" : "All Applications", "shortname": "All Applications"}, "IP" : {"fullname" : "Immunoprecipitation", "shortname":"IP"}, "WB" : {"fullname" : "Western blot", "shortname":"WB"}, "ICCIF" : {"fullname" : "Immunocytochemistry/ Immunofluorescence", "shortname":"ICC/IF"}, "FlowCytIntra" : {"fullname" : "Flow Cytometry (Intracellular)", "shortname":"Flow Cyt (Intra)"}, "IHCP" : {"fullname" : "Immunohistochemistry (Formalin/PFA-fixed paraffin-embedded sections)", "shortname":"IHC-P"} }, "product-promise": { "all": "all", "testedAndGuaranteed": "tested", "guaranteed": "expected", "predicted": "predicted", "notRecommended": "not-recommended" } }, "values": { "Human": { "IP-species-checked": "testedAndGuaranteed", "IP-species-dilution-info": "1/30", "IP-species-notes": "<p><strong>For unpurified use at 1/100.</strong></p>", "WB-species-checked": "testedAndGuaranteed", "WB-species-dilution-info": "1/1000 - 1/10000", "WB-species-notes": "<p></p>", "ICCIF-species-checked": "testedAndGuaranteed", "ICCIF-species-dilution-info": "1/100 - 1/250", "ICCIF-species-notes": "<p></p>", "FlowCytIntra-species-checked": "testedAndGuaranteed", "FlowCytIntra-species-dilution-info": "1/2300", "FlowCytIntra-species-notes": "<p></p>", "IHCP-species-checked": "testedAndGuaranteed", "IHCP-species-dilution-info": "1/500", "IHCP-species-notes": "<p>The mouse and rat recommendation is based on the WB results. We do not guarantee IHC-P for mouse and rat.</p>" }, "Mouse": { "IP-species-checked": "guaranteed", "IP-species-dilution-info": "", "IP-species-notes": "", "WB-species-checked": "testedAndGuaranteed", "WB-species-dilution-info": "1/1000 - 1/10000", "WB-species-notes": "<p></p>", "ICCIF-species-checked": "guaranteed", "ICCIF-species-dilution-info": "", "ICCIF-species-notes": "", "FlowCytIntra-species-checked": "guaranteed", "FlowCytIntra-species-dilution-info": "", "FlowCytIntra-species-notes": "", "IHCP-species-checked": "guaranteed", "IHCP-species-dilution-info": "", "IHCP-species-notes": "" }, "Rat": { "IP-species-checked": "guaranteed", "IP-species-dilution-info": "", "IP-species-notes": "", "WB-species-checked": "testedAndGuaranteed", "WB-species-dilution-info": "1/1000 - 1/10000", "WB-species-notes": "<p></p>", "ICCIF-species-checked": "guaranteed", "ICCIF-species-dilution-info": "", "ICCIF-species-notes": "", "FlowCytIntra-species-checked": "guaranteed", "FlowCytIntra-species-dilution-info": "", "FlowCytIntra-species-notes": "", "IHCP-species-checked": "guaranteed", "IHCP-species-dilution-info": "", "IHCP-species-notes": "" }, "Drosophila melanogaster": { "IP-species-checked": "predicted", "IP-species-dilution-info": "", "IP-species-notes": "", "WB-species-checked": "predicted", "WB-species-dilution-info": "", "WB-species-notes": "", "ICCIF-species-checked": "predicted", "ICCIF-species-dilution-info": "", "ICCIF-species-notes": "", "FlowCytIntra-species-checked": "predicted", "FlowCytIntra-species-dilution-info": "", "FlowCytIntra-species-notes": "", "IHCP-species-checked": "predicted", "IHCP-species-dilution-info": "", "IHCP-species-notes": "" } } }

Product details

Patented technology
Our RabMAb® technology is a patented hybridoma-based technology for making rabbit monoclonal antibodies. For details on our patents, please refer to RabMAb® patents.

What are the advantages of a recombinant monoclonal antibody?
This product is a recombinant monoclonal antibody, which offers several advantages including:

  • - High batch-to-batch consistency and reproducibility
  • - Improved sensitivity and specificity
  • - Long-term security of supply
  • - Animal-free batch production

For more information, read more on recombinant antibodies.

Properties and storage information

Form
Liquid
Purification technique
Affinity purification Protein A
Storage buffer
pH: 7.2 - 7.4 Preservative: 0.01% Sodium azide Constituents: PBS, 40% Glycerol (glycerin, glycerine), 0.21% BSA
Shipped at conditions
Blue Ice
Appropriate short-term storage duration
1-2 weeks
Appropriate short-term storage conditions
+4°C
Appropriate long-term storage conditions
-20°C
Aliquoting information
Upon delivery aliquot
Storage information
Avoid freeze / thaw cycle|Stable for 12 months at -20°C

Product protocols

For this product, it's our understanding that no specific protocols are required. You can visit:

Target data

Acts as one of several non-catalytic accessory components of the cytoplasmic dynein 1 complex that are thought to be involved in linking dynein to cargos and to adapter proteins that regulate dynein function (By similarity). Cytoplasmic dynein 1 acts as a motor for the intracellular retrograde motility of vesicles and organelles along microtubules (By similarity). May play a role in changing or maintaining the spatial distribution of cytoskeletal structures (By similarity). In addition to its role in cytoskeleton and transport, acts as a protein-protein adapter, which inhibits and/or sequesters target proteins (PubMed : 10198631, PubMed : 15193260, PubMed : 15891768, PubMed : 16684779, PubMed : 30464262, PubMed : 37696958). Involved in the response to DNA damage by acting as a key regulator of DNA end resection : when phosphorylated at Ser-88, recruited to DNA double-strand breaks (DSBs) by TP53BP1 and acts by disrupting MRE11 dimerization, thereby inhibiting DNA end resection (PubMed : 30464262, PubMed : 37696958). In a subset of DSBs, DYNLL1 remains unphosphorylated and promotes the recruitment of the Shieldin complex (PubMed : 37696958). Binds and inhibits the catalytic activity of neuronal nitric oxide synthase/NOS1 (By similarity). Promotes transactivation functions of ESR1 and plays a role in the nuclear localization of ESR1 (PubMed : 15891768, PubMed : 16684779). Regulates apoptotic activities of BCL2L11 by sequestering it to microtubules (PubMed : 10198631, PubMed : 15193260). Upon apoptotic stimuli the BCL2L11-DYNLL1 complex dissociates from cytoplasmic dynein and translocates to mitochondria and sequesters BCL2 thus neutralizing its antiapoptotic activity (PubMed : 10198631, PubMed : 15193260).
See full target information DYNLL1

Publications (43)

Recent publications for all applications. Explore the full list and refine your search

Nature communications 16:3419 PubMed40210858

2025

A TLK2-mediated calcium-driven cell death pathway links neuronal degeneration to nuclear envelope disruption.

Applications

Unspecified application

Species

Unspecified reactive species

Yajie Li,Huaiyuan Huang,Jingwen Gao,Jinhong Lu,Guifeng Kang,Yipeng Ge,Wencan Jiang,Xiang Cai,Guojun Zhang,Lei Liu

European journal of medical research 30:221 PubMed40170083

2025

The TEAD4-DYNLL1 axis accelerates cell cycle progression and augments malignant properties of lung adenocarcinoma cells.

Applications

Unspecified application

Species

Unspecified reactive species

Dapeng Li,An Wang,Xuan Wang,Mengkun Shi,Xiaofeng Chen,Yubao Lyu,Dayu Huang

Nucleic acids research 53: PubMed39727191

2024

Autophosphorylation of the Tousled-like kinases TLK1 and TLK2 regulates recruitment to damaged chromatin via PCNA interaction.

Applications

Unspecified application

Species

Unspecified reactive species

Kirk L West,Tram T N Nguyen,Kyle A Tengler,Natasha Kreiling,Kevin D Raney,Gargi Ghosal,Justin W Leung

iScience 27:109984 PubMed38868186

2024

and mutations in a patient with a neurodevelopmental disorder and immunodeficiency.

Applications

Unspecified application

Species

Unspecified reactive species

Marina Villamor-Payà,María Sanchiz-Calvo,Jordann Smak,Lynn Pais,Malika Sud,Uma Shankavaram,Alysia Kern Lovgren,Christina Austin-Tse,Vijay S Ganesh,Marina Gay,Marta Vilaseca,Gianluca Arauz-Garofalo,Lluís Palenzuela,Grace VanNoy,Anne O'Donnell-Luria,Travis H Stracker

Nature communications 15:4740 PubMed38834545

2024

Burkholderia pseudomallei BipD modulates host mitophagy to evade killing.

Applications

Unspecified application

Species

Unspecified reactive species

Dongqi Nan,Chenglong Rao,Zhiheng Tang,Wenbo Yang,Pan Wu,Jiangao Chen,Yupei Xia,Jingmin Yan,Wenzheng Liu,Ziyuan Zhang,Zhiqiang Hu,Hai Chen,Yaling Liao,Xuhu Mao,Xiaoyun Liu,Quanming Zou,Qian Li

Nucleic acids research 51:10568-10589 PubMed37739411

2023

The TRIM69-MST2 signaling axis regulates centrosome dynamics and chromosome segregation.

Applications

Unspecified application

Species

Unspecified reactive species

Yilin Wang,Patrik Risteski,Yang Yang,Huan Chen,Gaith Droby,Andrea Walens,Deepika Jayaprakash,Melissa Troester,Laura Herring,Jonathan Chernoff,Iva M Tolić,Jessica Bowser,Cyrus Vaziri

Nature communications 14:1715 PubMed36973253

2023

Distinct dynein complexes defined by DYNLRB1 and DYNLRB2 regulate mitotic and male meiotic spindle bipolarity.

Applications

Unspecified application

Species

Unspecified reactive species

Shuwen He,John P Gillies,Juliana L Zang,Carmen M Córdoba-Beldad,Io Yamamoto,Yasuhiro Fujiwara,Julie Grantham,Morgan E DeSantis,Hiroki Shibuya

FASEB journal : official publication of the Federation of American Societies for Experimental Biology 37:e22680 PubMed36468710

2022

Involvement of GLCCI1 in mouse spermatogenesis.

Applications

Unspecified application

Species

Unspecified reactive species

Masaru Takada,Daisuke Fukuhara,Toshihiko Takiura,Yukino Nishibori,Masashi Kotani,Zentaro Kiuchi,Akihiko Kudo,Olga Beltcheva,Noriko Ito-Nitta,Kazuhiro R Nitta,Toru Kimura,Jun-Ichi Suehiro,Tomohisa Katada,Hiromu Takematsu,Kunimasa Yan

Scientific reports 12:15623 PubMed36114230

2022

The interaction between LC8 and LCA5 reveals a novel oligomerization function of LC8 in the ciliary-centrosome system.

Applications

Unspecified application

Species

Unspecified reactive species

Tamás Szaniszló,Máté Fülöp,Mátyás Pajkos,Gábor Erdős,Réka Ágnes Kovács,Henrietta Vadászi,József Kardos,Zsuzsanna Dosztányi

PLoS genetics 18:e1010232 PubMed35727824

2022

Dync1li1 is required for the survival of mammalian cochlear hair cells by regulating the transportation of autophagosomes.

Applications

Unspecified application

Species

Unspecified reactive species

Yuan Zhang,Shasha Zhang,Han Zhou,Xiangyu Ma,Leilei Wu,Mengyao Tian,Siyu Li,Xiaoyun Qian,Xia Gao,Renjie Chai
View all publications

Product promise

We are committed to supporting your work with high-quality reagents, and we're here for you every step of the way. In the unlikely event that one of our products does not perform as expected, you're protected by our Product Promise.
For full details, please see our Terms & Conditions

Please note: All products are 'FOR RESEARCH USE ONLY. NOT FOR USE IN DIAGNOSTIC OR THERAPEUTIC PROCEDURES'.

For licensing inquiries, please contact partnerships@abcam.com