JavaScript is disabled in your browser. Please enable JavaScript to view this website.
AB232343

Anti-DYNLL1/PIN antibody [EP1660Y] - BSA and Azide free

Be the first to review this product! Submit a review

|

(0 Publication)

Rabbit Recombinant Monoclonal DYNLL1/PIN antibody. Carrier free. Suitable for Flow Cyt (Intra), ICC/IF, IP, IHC-P, WB and reacts with Human, Rat, Mouse samples.

View Alternative Names

DLC1, DNCL1, DNCLC1, HDLC1, DYNLL1, 8 kDa dynein light chain, Dynein light chain LC8-type 1, Protein inhibitor of neuronal nitric oxide synthase, DLC8, PIN

7 Images
Immunocytochemistry/ Immunofluorescence - Anti-DYNLL1/PIN antibody [EP1660Y] - BSA and Azide free (AB232343)
  • ICC/IF

AbReview16748****

Immunocytochemistry/ Immunofluorescence - Anti-DYNLL1/PIN antibody [EP1660Y] - BSA and Azide free (AB232343)

Unpurified ab51603 staining DLC8 in mouse kidney cells cells by ICC/IF (immunocytochemistry/immunofluorescence. Cells were fixed with methanol, permeabilized with 0.1% Triton and blocked with 1% milk for 1 hour at room temperature. The sample was incubated with primary antibody (1/400; 1% milk in PBS) for 16 hours at 4°C. An Alexa Fluor®488-conjugated Goat polyclonal to rabbit IgG (1/1000) was used as secondary antibody.

This data was developed using the same antibody clone in a different buffer formulation containing PBS, BSA, glycerol, and sodium azide (ab51603).

This image is courtesy of an anonymous Abreview.

Immunoprecipitation - Anti-DYNLL1/PIN antibody [EP1660Y] - BSA and Azide free (AB232343)
  • IP

PubMed

Immunoprecipitation - Anti-DYNLL1/PIN antibody [EP1660Y] - BSA and Azide free (AB232343)

Unpurified ab51603 used in IP.SKAP and Astrin form a complex. (A, left) Silver-stained gels showing a one-step IP of GFPLAP-Astrin, GFPLAP-SKAP, or GFPLAP-LC8. (A, right) Data from the mass spectrometric analysis of the purifications indicating the percent sequence coverage from each IP. (B) Silver-stained gel showing the purification of FLAG-SKAP from chicken DT40 cells relative to controls. The indicated proteins were identified by excising them from a gel and analyzing them by mass spectrometry.

This data was developed using the same antibody clone in a different buffer formulation containing PBS, BSA, glycerol, and sodium azide (ab51603).

All lanes:

Immunoprecipitation - Anti-DYNLL1/PIN antibody [EP1660Y] (<a href='/en-us/products/primary-antibodies/dynll1-pin-antibody-ep1660y-ab51603'>ab51603</a>)

Predicted band size: 10 kDa

false

Image from Schmidt JC et al. J Cell Biol. 2010 Oct 18;191(2):269-80. Epub 2010 Oct 11 Fig 2. DOI 10.1083/jcb.201006129.

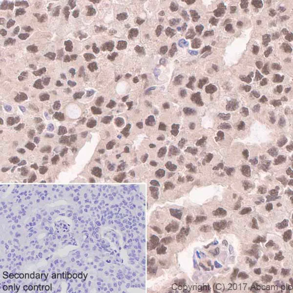
Immunohistochemistry (Formalin/PFA-fixed paraffin-embedded sections) - Anti-DYNLL1/PIN antibody [EP1660Y] - BSA and Azide free (AB232343)
  • IHC-P

Unknown

Immunohistochemistry (Formalin/PFA-fixed paraffin-embedded sections) - Anti-DYNLL1/PIN antibody [EP1660Y] - BSA and Azide free (AB232343)

Immunohistochemical staining of paraffin embedded human liver using unpurified ab51603 (1/100).

This data was developed using the same antibody clone in a different buffer formulation containing PBS, BSA, glycerol, and sodium azide (ab51603).

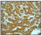
Immunohistochemistry (Formalin/PFA-fixed paraffin-embedded sections) - Anti-DYNLL1/PIN antibody [EP1660Y] - BSA and Azide free (AB232343)
  • IHC-P

Supplier Data

Immunohistochemistry (Formalin/PFA-fixed paraffin-embedded sections) - Anti-DYNLL1/PIN antibody [EP1660Y] - BSA and Azide free (AB232343)

Immunohistochemistry (Formalin/PFA-fixed paraffin-embedded sections) analysis of Human breast carcinoma tissue sections labeling DYNLL1 with Purified ab51603 at 1 : 500 dilution (1.34 μg/ml). Heat mediated antigen retrieval was performed using ab93684 (Tris/EDTA buffer, pH 9.0). Tissue was counterstained with Hematoxylin. ImmunoHistoProbe one step HRP Polymer (ready to use) secondary antibody was used at 1 : 0 dilution. PBS instead of the primary antibody was used as the negative control.

This data was developed using the same antibody clone in a different buffer formulation containing PBS, BSA, glycerol, and sodium azide (ab51603).

Immunocytochemistry/ Immunofluorescence - Anti-DYNLL1/PIN antibody [EP1660Y] - BSA and Azide free (AB232343)
  • ICC/IF

Unknown

Immunocytochemistry/ Immunofluorescence - Anti-DYNLL1/PIN antibody [EP1660Y] - BSA and Azide free (AB232343)

Immunocytochemistry/ Immunofluorescence analysis of MCF7 (Human breast adenocarcinoma epithelial cell) cells labeling DYNLL1 with Purified ab51603 at 1 : 100 dilution (6.7μg/ml). Cells were fixed in 4% Paraformaldehyde and permeabilized with 0.1% tritonX-100. ab150077 Goat anti rabbit IgG(Alexa Fluor® 488) was used as the secondary antibody at 1 : 1000 dilution. DAPI nuclear counterstain. PBS instead of the primary antibody was used as the secondary antibody only control.

This data was developed using the same antibody clone in a different buffer formulation containing PBS, BSA, glycerol, and sodium azide (ab51603).

Flow Cytometry (Intracellular) - Anti-DYNLL1/PIN antibody [EP1660Y] - BSA and Azide free (AB232343)
  • Flow Cyt (Intra)

Unknown

Flow Cytometry (Intracellular) - Anti-DYNLL1/PIN antibody [EP1660Y] - BSA and Azide free (AB232343)

Intracellular Flow Cytometry analysis of HeLa (human cervix adenocarcinoma) cells labeling DYNLL1 / PIN (red) with purified ab51603 at a 1/2300 dilution. Cells were fixed with 4% paraformaldehyde and permeabilized with 90% methanol. A goat anti-rabbit IgG (Alexa Fluor® 488) (ab150077) was used as the secondary antibody at a 1/2000 dilution. Black - Rabbit monoclonal IgG (ab172730). Blue (unlabeled control) - Cells without incubation with the primary and secondary antibodies.

This data was developed using the same antibody clone in a different buffer formulation containing PBS, BSA, glycerol, and sodium azide (ab51603).

Immunoprecipitation - Anti-DYNLL1/PIN antibody [EP1660Y] - BSA and Azide free (AB232343)
  • IP

Unknown

Immunoprecipitation - Anti-DYNLL1/PIN antibody [EP1660Y] - BSA and Azide free (AB232343)

ab51603 (purified) at 1 : 30 dilution (2ug) immunoprecipitating DYNLL1 / PIN in HeLa (Human cervix adenocarcinoma epithelial cell) whole cell lysate.

Lane 1 (input) : HeLa (Human cervix adenocarcinoma epithelial cell) whole cell lysate 10ug
Lane 2 (+) : ab51603 & HeLa (Human cervix adenocarcinoma epithelial cell) whole cell lysate
Lane 3 (-) : Rabbit monoclonal IgG (ab172730) instead of ab51603 in HeLa (Human cervix adenocarcinoma epithelial cell) whole cell lysate

For western blotting, VeriBlot for IP Detection Reagent (HRP) (ab131366) was used for detection at 1 : 1000 dilution.
Blocking and diluting buffer : 5% NFDM/TBST.

This data was developed using the same antibody clone in a different buffer formulation containing PBS, BSA, glycerol, and sodium azide (ab51603).

All lanes:

Immunoprecipitation - Anti-DYNLL1/PIN antibody [EP1660Y] (<a href='/en-us/products/primary-antibodies/dynll1-pin-antibody-ep1660y-ab51603'>ab51603</a>)

Predicted band size: 10 kDa

false

  • Unconjugated

    Anti-DYNLL1/PIN antibody [EP1660Y]

  • 775 Alexa Fluor® 750

    Alexa Fluor® 750 Anti-DYNLL1/PIN antibody [EP1660Y]

  • 519 Alexa Fluor® 488

    Alexa Fluor® 488 Anti-DYNLL1/PIN antibody [EP1660Y]

  • 578 PE

    PE Anti-DYNLL1 / PIN antibody [EP1660Y]

  • HRP

    HRP Anti-DYNLL1 / PIN antibody [EP1660Y]

  • 617 Alexa Fluor® 594

    Alexa Fluor® 594 Anti-DYNLL1 / PIN antibody [EP1660Y]

  • 665 Alexa Fluor® 647

    Alexa Fluor® 647 Anti-DYNLL1 / PIN antibody [EP1660Y]

  • 603 Alexa Fluor® 568

    Alexa Fluor® 568 Anti-DYNLL1 / PIN antibody [EP1660Y]

  • 565 Alexa Fluor® 555

    Alexa Fluor® 555 Anti-DYNLL1 / PIN antibody [EP1660Y]

  • 660 APC

    APC Anti-DYNLL1 / PIN antibody [EP1660Y]

Key facts

Host species

Rabbit

Clonality

Monoclonal

Clone number

EP1660Y

Isotype

IgG

Carrier free

Yes

Reacts with

Mouse, Rat, Human

Applications

IHC-P, ICC/IF, WB, Flow Cyt (Intra), IP

applications

Immunogen

The exact immunogen used to generate this antibody is proprietary information.

Epitope

The epitope for this antibody is on the N-terminus, AA2-14.

Specificity

ab51603 recognizes DLC8. The mouse and rat recommendation is based on the WB results. We do not guarantee IHC-P for mouse and rat.

Reactivity data

{ "title": "Reactivity Data", "filters": { "stats": ["", "Species", "Dilution Info", "Notes"], "tabs": { "all-applications": {"fullname" : "All Applications", "shortname": "All Applications"}, "FlowCytIntra" : {"fullname" : "Flow Cytometry (Intracellular)", "shortname":"Flow Cyt (Intra)"}, "ICCIF" : {"fullname" : "Immunocytochemistry/ Immunofluorescence", "shortname":"ICC/IF"}, "IP" : {"fullname" : "Immunoprecipitation", "shortname":"IP"}, "IHCP" : {"fullname" : "Immunohistochemistry (Formalin/PFA-fixed paraffin-embedded sections)", "shortname":"IHC-P"}, "WB" : {"fullname" : "Western blot", "shortname":"WB"} }, "product-promise": { "all": "all", "testedAndGuaranteed": "tested", "guaranteed": "expected", "predicted": "predicted", "notRecommended": "not-recommended" } }, "values": { "Human": { "FlowCytIntra-species-checked": "testedAndGuaranteed", "FlowCytIntra-species-dilution-info": "", "FlowCytIntra-species-notes": "<p></p>", "ICCIF-species-checked": "testedAndGuaranteed", "ICCIF-species-dilution-info": "", "ICCIF-species-notes": "<p></p>", "IP-species-checked": "testedAndGuaranteed", "IP-species-dilution-info": "", "IP-species-notes": "<p></p>", "IHCP-species-checked": "testedAndGuaranteed", "IHCP-species-dilution-info": "", "IHCP-species-notes": "<p>The mouse and rat recommendation is based on the WB results. We do not guarantee IHC-P for mouse and rat.</p> Perform heat-mediated antigen retrieval with Tris/EDTA buffer pH 9.0 before commencing with IHC staining protocol.", "WB-species-checked": "testedAndGuaranteed", "WB-species-dilution-info": "", "WB-species-notes": "<p></p>" }, "Mouse": { "FlowCytIntra-species-checked": "guaranteed", "FlowCytIntra-species-dilution-info": "", "FlowCytIntra-species-notes": "", "ICCIF-species-checked": "guaranteed", "ICCIF-species-dilution-info": "", "ICCIF-species-notes": "", "IP-species-checked": "guaranteed", "IP-species-dilution-info": "", "IP-species-notes": "", "IHCP-species-checked": "guaranteed", "IHCP-species-dilution-info": "", "IHCP-species-notes": "", "WB-species-checked": "testedAndGuaranteed", "WB-species-dilution-info": "", "WB-species-notes": "<p></p>" }, "Rat": { "FlowCytIntra-species-checked": "guaranteed", "FlowCytIntra-species-dilution-info": "", "FlowCytIntra-species-notes": "", "ICCIF-species-checked": "guaranteed", "ICCIF-species-dilution-info": "", "ICCIF-species-notes": "", "IP-species-checked": "guaranteed", "IP-species-dilution-info": "", "IP-species-notes": "", "IHCP-species-checked": "guaranteed", "IHCP-species-dilution-info": "", "IHCP-species-notes": "", "WB-species-checked": "testedAndGuaranteed", "WB-species-dilution-info": "", "WB-species-notes": "<p></p>" } } }

Product details

ab232343 is the carrier-free version of ab51603.

Patented technology
Our RabMAb® technology is a patented hybridoma-based technology for making rabbit monoclonal antibodies. For details on our patents, please refer to RabMAb® patents.

What are the advantages of a recombinant monoclonal antibody?
This product is a recombinant monoclonal antibody, which offers several advantages including:

  • - High batch-to-batch consistency and reproducibility
  • - Improved sensitivity and specificity
  • - Long-term security of supply
  • - Animal-free batch production

For more information, read more on recombinant antibodies.

Conjugation ready
Our carrier-free antibodies are typically supplied in a PBS-only formulation, purified and free of BSA, sodium azide and glycerol. This conjugation-ready format is designed for use with fluorochromes, metal isotopes, oligonucleotides, and enzymes, which makes them ideal for antibody labelling, functional and cell-based assays, flow-based assays (e.g. mass cytometry) and Multiplex Imaging applications.

Use our conjugation kits for antibody conjugates that are ready-to-use in as little as 20 minutes with 1 minute hands-on-time and 100% antibody recovery: available for fluorescent dyes, HRP, biotin and gold.

Compatibility
This product is compatible with the Maxpar® Antibody Labeling Kit from Fluidigm, without the need for antibody preparation. Maxpar® is a trademark of Fluidigm Canada Inc.

Properties and storage information

Form
Liquid
Purification technique
Affinity purification Protein A
Storage buffer
pH: 7.2 - 7.4 Constituents: PBS
Shipped at conditions
Blue Ice
Appropriate short-term storage conditions
+4°C
Appropriate long-term storage conditions
+4°C
Storage information
Do Not Freeze

Product protocols

For this product, it's our understanding that no specific protocols are required. You can visit:

Target data

Acts as one of several non-catalytic accessory components of the cytoplasmic dynein 1 complex that are thought to be involved in linking dynein to cargos and to adapter proteins that regulate dynein function (By similarity). Cytoplasmic dynein 1 acts as a motor for the intracellular retrograde motility of vesicles and organelles along microtubules (By similarity). May play a role in changing or maintaining the spatial distribution of cytoskeletal structures (By similarity). In addition to its role in cytoskeleton and transport, acts as a protein-protein adapter, which inhibits and/or sequesters target proteins (PubMed : 10198631, PubMed : 15193260, PubMed : 15891768, PubMed : 16684779, PubMed : 30464262, PubMed : 37696958). Involved in the response to DNA damage by acting as a key regulator of DNA end resection : when phosphorylated at Ser-88, recruited to DNA double-strand breaks (DSBs) by TP53BP1 and acts by disrupting MRE11 dimerization, thereby inhibiting DNA end resection (PubMed : 30464262, PubMed : 37696958). In a subset of DSBs, DYNLL1 remains unphosphorylated and promotes the recruitment of the Shieldin complex (PubMed : 37696958). Binds and inhibits the catalytic activity of neuronal nitric oxide synthase/NOS1 (By similarity). Promotes transactivation functions of ESR1 and plays a role in the nuclear localization of ESR1 (PubMed : 15891768, PubMed : 16684779). Regulates apoptotic activities of BCL2L11 by sequestering it to microtubules (PubMed : 10198631, PubMed : 15193260). Upon apoptotic stimuli the BCL2L11-DYNLL1 complex dissociates from cytoplasmic dynein and translocates to mitochondria and sequesters BCL2 thus neutralizing its antiapoptotic activity (PubMed : 10198631, PubMed : 15193260).
See full target information DYNLL1

Product promise

We are committed to supporting your work with high-quality reagents, and we're here for you every step of the way. In the unlikely event that one of our products does not perform as expected, you're protected by our Product Promise.
For full details, please see our Terms & Conditions

Please note: All products are 'FOR RESEARCH USE ONLY. NOT FOR USE IN DIAGNOSTIC OR THERAPEUTIC PROCEDURES'.

For licensing inquiries, please contact partnerships@abcam.com