JavaScript is disabled in your browser. Please enable JavaScript to view this website.
AB319045

Anti-Dynorphin A antibody [EPR28632-17]

  • BOND RX™ Validated
  • 20ul selling size
  • Recombinant
  • RabMAb
  • What is this?

Be the first to review this product! Submit a review

|

(0 Publication)

Rabbit Recombinant Monoclonal ProDynorphin antibody. Suitable for Dot, IHC-P, ICC/IF, IHC-Fr and reacts with Synthetic peptide - Mouse, Mouse, Rat samples.

View Alternative Names

Proenkephalin-B, Beta-neoendorphin-dynorphin, Preprodynorphin

12 Images
Immunocytochemistry/ Immunofluorescence - Anti-Dynorphin A antibody [EPR28632-17] (AB319045)
  • ICC/IF

Supplier Data

Immunocytochemistry/ Immunofluorescence - Anti-Dynorphin A antibody [EPR28632-17] (AB319045)

Immunofluorescent analysis of 4% Paraformaldehyde-fixed, 0.1% TritonX-100 permeabilized mouse hippocampal neuron cells labelling Dynorphin A with ab319045 at 1/50 (10.2 ug/ml) dilution, followed by ab150081 Goat Anti-Rabbit IgG H&L (Alexa Fluor® 488) preadsorbed antibody at 1/1000 2 ug/ml dilution (Green).

Confocal image showing positive staining in mouse hippocampus neurons (shown in green). The counterstain was observed in magenta. Nuclear DNA was labeled with DAPI (shown in blue). Confocal scanning Z step was set as 0.3 μm followed by image processing with maximum Z projection. Image was taken with a confocal microscope (Leica-Microsystems, TCS SP8).

ab11267 Anti-MAP2 mouse monoclonal antibody was used to counterstain tubulin at 1/500 4ug/ml dilution (Magenta). The Nuclear counterstain was DAPI (Blue).

Secondary antibody only control : Secondary antibody is ab150081 Goat Anti-Rabbit IgG H&L (Alexa Fluor® 488) preadsorbed at 1/1000 2 ug/ml dilution.

-ve control 1 : ab319045 at 1/50 dilution, followed by ab150120 Goat Anti-Mouse IgG H&L (Alexa Fluor® 594) antibody at 1/1000 dilution. -ve control 2 : ab11267 at 1/500 dilution, followed by ab150081 Goat Anti-Rabbit IgG H&L (Alexa Fluor® 488) preadsorbed antibody at 1/1000 dilution.

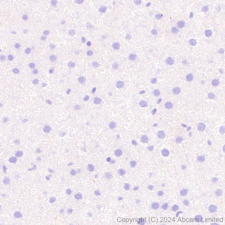
Immunohistochemistry (Formalin/PFA-fixed paraffin-embedded sections) - Anti-Dynorphin A antibody [EPR28632-17] (AB319045)
  • IHC-P

Supplier Data

Immunohistochemistry (Formalin/PFA-fixed paraffin-embedded sections) - Anti-Dynorphin A antibody [EPR28632-17] (AB319045)

Immunohistochemical analysis of paraffin-embedded Mouse liver tissue labeling Dynorphin A with ab319045 at 1/500 (1.02 ug/ml) dilution, followed by a ready to use LeicaDS9800 (Bond™ Polymer Refine Detection).

Negative control : No staining in mouse liver.
The section was incubated with ab319045 for 30 mins at room temperature.
The immunostaining was performed on a Leica Biosystems BOND® RX instrument

Counterstained with Hematoxylin.

Secondary antibody only control : Secondary antibody is a ready to use LeicaDS9800 (Bond™ Polymer Refine Detection).

Heat mediated antigen retrieval was performed with Tris-EDTA buffer (pH 9.0, Epitope Retrieval Solution2) for 20 mins

Immunohistochemistry (Formalin/PFA-fixed paraffin-embedded sections) - Anti-Dynorphin A antibody [EPR28632-17] (AB319045)
  • IHC-P

Supplier Data

Immunohistochemistry (Formalin/PFA-fixed paraffin-embedded sections) - Anti-Dynorphin A antibody [EPR28632-17] (AB319045)

Immunohistochemical analysis of paraffin-embedded Rat liver tissue labeling Dynorphin A with ab319045 at 1/500 (1.02 ug/ml) dilution, followed by a ready to use LeicaDS9800 (Bond™ Polymer Refine Detection).

Negative control : No staining in rat liver.
The section was incubated with ab319045 for 30 mins at room temperature.
The immunostaining was performed on a Leica Biosystems BOND® RX instrument

Counterstained with Hematoxylin.

Secondary antibody only control : Secondary antibody is a ready to use LeicaDS9800 (Bond™ Polymer Refine Detection).

Heat mediated antigen retrieval was performed with Tris-EDTA buffer (pH 9.0, Epitope Retrieval Solution2) for 20 mins

Immunohistochemistry (Frozen sections) - Anti-Dynorphin A antibody [EPR28632-17] (AB319045)
  • IHC-Fr

Supplier Data

Immunohistochemistry (Frozen sections) - Anti-Dynorphin A antibody [EPR28632-17] (AB319045)

Immunohistochemical analysis of 4% PFA-fixed, 0.2% Triton X-100 permeabilized frozen Rat liver (fresh frozen) tissue labeling Dynorphin A with ab319045 at 1/50 (10.2 ug/ml) dilution followed by ab150081 Goat Anti-Rabbit IgG H&L (Alexa Fluor® 488) preadsorbed at 1/1000 2 ug/mL dilution (Green).

Negative control : confocal ima ge showing no staining on rat liver. The nuclear counterstain was DAPI (Blue). The section was incubated with ab319045 for 60 mins at room temperature. The section was then mounted using Fluoromount®.The immunostaining was performed on a Leica Biosystems BOND® RX instrument. Image was taken with a confocal microscope (Leica-Microsystems, TCS SP8).

Secondary antibody control : Secondary antibody is ab150081 Goat Anti-Rabbit IgG H&L (Alexa Fluor® 488) preadsorbedat 1/1000 2 ug/mL dilution.

Immunohistochemistry (Frozen sections) - Anti-Dynorphin A antibody [EPR28632-17] (AB319045)
  • IHC-Fr

Supplier Data

Immunohistochemistry (Frozen sections) - Anti-Dynorphin A antibody [EPR28632-17] (AB319045)

Immunohistochemical analysis of 4% PFA-fixed, 0.2% Triton X-100 permeabilized frozen Mouse liver (fresh frozen) tissue labeling Dynorphin A with ab319045 at 1/50 (10.2 ug/ml) dilution followed by ab150081 Goat Anti-Rabbit IgG H&L (Alexa Fluor® 488) preadsorbed at 1/1000 2 ug/mL dilution (Green).

Negative control : confocal ima ge showing no staining on mouse liver. The nuclear counterstain was DAPI (Blue). The section was incubated with ab319045 for 60 mins at room temperature. The section was then mounted using Fluoromount®.The immunostaining was performed on a Leica Biosystems BOND® RX instrument. Image was taken with a confocal microscope (Leica-Microsystems, TCS SP8).

Secondary antibody control : Secondary antibody is ab150081 Goat Anti-Rabbit IgG H&L (Alexa Fluor® 488) preadsorbedat 1/1000 2 ug/mL dilution.

Immunohistochemistry (Frozen sections) - Anti-Dynorphin A antibody [EPR28632-17] (AB319045)
  • IHC-Fr

Supplier Data

Immunohistochemistry (Frozen sections) - Anti-Dynorphin A antibody [EPR28632-17] (AB319045)

Immunohistochemical analysis of 4% PFA-fixed, 0.2% Triton X-100 permeabilized frozen Rat hippocampus (perfused fixed) tissue labeling Dynorphin A with ab319045 at 1/50 (10.2 ug/ml) dilution followed by ab150081 Goat Anti-Rabbit IgG H&L (Alexa Fluor® 488) preadsorbed at 1/1000 2 ug/mL dilution (Green).

Confocal image showing positive staining on rat hippocampus. The nuclear counterstain was DAPI (Blue). The section was incubated with ab319045 for 60 mins at room temperature. The section was then mounted using Fluoromount®.The immunostaining was performed on a Leica Biosystems BOND® RX instrument. Image was taken with a confocal microscope (Leica-Microsystems, TCS SP8).

Secondary antibody control : Secondary antibody is ab150081 Goat Anti-Rabbit IgG H&L (Alexa Fluor® 488) preadsorbedat 1/1000 2 ug/mL dilution.

Heat mediated antigen retrieval using sodium citrate buffer (10mM citrate pH 6.0 + 0.05% Tween-20)

Immunohistochemistry (Frozen sections) - Anti-Dynorphin A antibody [EPR28632-17] (AB319045)
  • IHC-Fr

Supplier Data

Immunohistochemistry (Frozen sections) - Anti-Dynorphin A antibody [EPR28632-17] (AB319045)

Immunohistochemical analysis of 4% PFA-fixed, 0.2% Triton X-100 permeabilized frozen Mouse hippocampus (perfused fixed) tissue labeling Dynorphin A with ab319045 at 1/50 (10.2 ug/ml) dilution followed by ab150081 Goat Anti-Rabbit IgG H&L (Alexa Fluor® 488) preadsorbed at 1/1000 2 ug/mL dilution (Green).

Confocal image showing positive staining on mouse hippocampus. The nuclear counterstain was DAPI (Blue). The section was incubated with ab319045 for 60 mins at room temperature. The section was then mounted using Fluoromount®.The immunostaining was performed on a Leica Biosystems BOND® RX instrument. Image was taken with a confocal microscope (Leica-Microsystems, TCS SP8).

Secondary antibody control : Secondary antibody is ab150081 Goat Anti-Rabbit IgG H&L (Alexa Fluor® 488) preadsorbedat 1/1000 2 ug/mL dilution.

Heat mediated antigen retrieval using sodium citrate buffer (10mM citrate pH 6.0 + 0.05% Tween-20)

Immunohistochemistry (Frozen sections) - Anti-Dynorphin A antibody [EPR28632-17] (AB319045)
  • IHC-Fr

Supplier Data

Immunohistochemistry (Frozen sections) - Anti-Dynorphin A antibody [EPR28632-17] (AB319045)

Immunohistochemical analysis of 4% PFA-fixed, 0.2% Triton X-100 permeabilized frozen Rat hippocampus (fresh frozen) tissue labeling Dynorphin A with ab319045 at 1/50 (10.2 ug/ml) dilution followed by ab150081 Goat Anti-Rabbit IgG H&L (Alexa Fluor® 488) preadsorbed at 1/1000 2 ug/mL dilution (Green).

Panel A : merged staining of anti-Dynorphin A (ab319045, green), anti-NeuN (ab190565, grey) and anti-GFAP (ab201732, magenta) on rat hippocampus.
Panel B : anti-Dynorphin A stained on rat hippocampus.
Panel C : anti-NeuN stained in neurons of rat hippocampus.
Panel D : anti-GFAP stained in astrocytes of rat hippocampus.
The section was incubated in two rounds of staining : in the order of ab319045 and ab190565, ab201732 for 1 hr at room temperature. The nuclear counterstain was DAPI (Blue). The section was then mounted using Fluoromount®.The immunostaining was performed on a Leica Biosystems BOND® RX instrument. Image was taken with a confocal microscope (Leica-Microsystems, TCS SP8).

Secondary antibody control : Secondary antibody is ab150081 Goat Anti-Rabbit IgG H&L (Alexa Fluor® 488) preadsorbedat 1/1000 2 ug/mL dilution.

Immunohistochemistry (Frozen sections) - Anti-Dynorphin A antibody [EPR28632-17] (AB319045)
  • IHC-Fr

Supplier Data

Immunohistochemistry (Frozen sections) - Anti-Dynorphin A antibody [EPR28632-17] (AB319045)

Immunohistochemical analysis of 4% PFA-fixed, 0.2% Triton X-100 permeabilized frozen Mouse hippocampus (fresh frozen) tissue labeling Dynorphin A with ab319045 at 1/50 (10.2 ug/ml) dilution followed by ab150081 Goat Anti-Rabbit IgG H&L (Alexa Fluor® 488) preadsorbed at 1/1000 2 ug/mL dilution (Green).

Panel A : merged staining of anti-Dynorphin A (ab319045, green), anti-NeuN (ab190565, grey) and anti-GFAP (ab201732, magenta) on mouse hippocampus.
Panel B : anti-Dynorphin A stained on mouse hippocampus.
Panel C : anti-NeuN stained in neurons of mouse hippocampus.
Panel D : anti-GFAP stained in astrocytes of mouse hippocampus.
The section was incubated in two rounds of staining : in the order of ab319045 and ab190565, ab201732 for 1 hr at room temperature. The nuclear counterstain was DAPI (Blue). The section was then mounted using Fluoromount®.The immunostaining was performed on a Leica Biosystems BOND® RX instrument. Image was taken with a confocal microscope (Leica-Microsystems, TCS SP8).

Secondary antibody control : Secondary antibody is ab150081 Goat Anti-Rabbit IgG H&L (Alexa Fluor® 488) preadsorbedat 1/1000 2 ug/mL dilution.

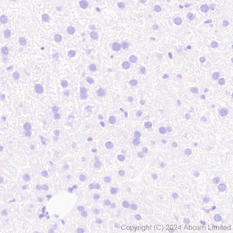
Immunohistochemistry (Formalin/PFA-fixed paraffin-embedded sections) - Anti-Dynorphin A antibody [EPR28632-17] (AB319045)
  • IHC-P

Supplier Data

Immunohistochemistry (Formalin/PFA-fixed paraffin-embedded sections) - Anti-Dynorphin A antibody [EPR28632-17] (AB319045)

Immunohistochemical analysis of paraffin-embedded Mouse hippocampus tissue labeling Dynorphin A with ab319045 at 1/500 (1.02 ug/ml) dilution, followed by a ready to use LeicaDS9800 (Bond™ Polymer Refine Detection).

Positive staining in mouse hippocampus.
The section was incubated with ab319045 for 30 mins at room temperature.
The immunostaining was performed on a Leica Biosystems BOND® RX instrument

Counterstained with Hematoxylin.

Secondary antibody only control : Secondary antibody is a ready to use LeicaDS9800 (Bond™ Polymer Refine Detection).

Heat mediated antigen retrieval was performed with Tris-EDTA buffer (pH 9.0, Epitope Retrieval Solution2) for 20 mins

Immunohistochemistry (Formalin/PFA-fixed paraffin-embedded sections) - Anti-Dynorphin A antibody [EPR28632-17] (AB319045)
  • IHC-P

Supplier Data

Immunohistochemistry (Formalin/PFA-fixed paraffin-embedded sections) - Anti-Dynorphin A antibody [EPR28632-17] (AB319045)

Immunohistochemical analysis of paraffin-embedded Rat hippocampus tissue labeling Dynorphin A with ab319045 at 1/500 (1.02 ug/ml) dilution, followed by a ready to use LeicaDS9800 (Bond™ Polymer Refine Detection).

Positive staining in rat hippocampus.
The section was incubated with ab319045 for 30 mins at room temperature.
The immunostaining was performed on a Leica Biosystems BOND® RX instrument

Counterstained with Hematoxylin.

Secondary antibody only control : Secondary antibody is a ready to use LeicaDS9800 (Bond™ Polymer Refine Detection).

Heat mediated antigen retrieval was performed with Tris-EDTA buffer (pH 9.0, Epitope Retrieval Solution2) for 20 mins

Dot Blot - Anti-Dynorphin A antibody [EPR28632-17] (AB319045)
  • Dot

Supplier Data

Dot Blot - Anti-Dynorphin A antibody [EPR28632-17] (AB319045)

Dot blot analysis of Dynorphin A using ab319045 at 1 : 1000 (0.51 ug/ml) followed by a Goat Anti-Rabbit IgG, (H+L), Peroxidase conjugated (ab97051) at 1 : 100,000 dilution.

Lane1 : Mouse Proenkephalin-B full-length protein
Lane2 : Mouse Proenkephalin-B pro-peptide
Lane3 : Mouse Proenkephalin-B (Dynorphin A) peptide
Lane4 : Mouse Proenkephalin-B (Alpha-neoendorphin) peptide
Lane5 : Mouse Proenkephalin-B (Big dynorphin) peptide
Lane6 : Mouse Proenkephalin-B peptide

Blocking and diluting buffer and concentration : 5% NFDM/TBST.

All lanes:

Dot Blot - Anti-Dynorphin A antibody [EPR28632-17] (ab319045) at 1/1000 dilution

Lane 1:

Mouse Proenkephalin-B full-length protein

Lane 2:

Mouse Proenkephalin-B pro-peptide

Lane 3:

Mouse Proenkephalin-B (Dynorphin A) peptide

Lane 4:

Mouse Proenkephalin-B (Alpha-neoendorphin) peptide

Lane 5:

Mouse Proenkephalin-B (Big dynorphin) peptide

Lane 6:

Mouse Proenkephalin-B peptide

Secondary

All lanes:

Dot Blot - Goat Anti-Rabbit IgG H&L (HRP) (<a href='/en-us/products/secondary-antibodies/goat-rabbit-igg-h-l-hrp-ab97051'>ab97051</a>) at 1/100000 dilution

false

Exposure time: 180s

Key facts

Host species

Rabbit

Clonality

Monoclonal

Clone number

EPR28632-17

Isotype

IgG

Carrier free

No

Reacts with

Mouse, Rat

Applications

Dot, IHC-Fr, IHC-P, ICC/IF

applications

Immunogen

The exact immunogen used to generate this antibody is proprietary information.

Specificity

This clone works only in the hippocampus of mouse and rat. Unsuitable for rat ICC.

Reactivity data

{ "title": "Reactivity Data", "filters": { "stats": ["", "Species", "Dilution Info", "Notes"], "tabs": { "all-applications": {"fullname" : "All Applications", "shortname": "All Applications"}, "Dot" : {"fullname" : "Dot Blot", "shortname":"Dot"}, "IHCP" : {"fullname" : "Immunohistochemistry (Formalin/PFA-fixed paraffin-embedded sections)", "shortname":"IHC-P"}, "ICCIF" : {"fullname" : "Immunocytochemistry/ Immunofluorescence", "shortname":"ICC/IF"}, "IHCFr" : {"fullname" : "Immunohistochemistry (Frozen sections)", "shortname":"IHC-Fr"}, "WB" : {"fullname" : "Western blot", "shortname":"WB"}, "IP" : {"fullname" : "Immunoprecipitation", "shortname":"IP"} }, "product-promise": { "all": "all", "testedAndGuaranteed": "tested", "guaranteed": "expected", "predicted": "predicted", "notRecommended": "not-recommended" } }, "values": { "Human": { "Dot-species-checked": "notRecommended", "Dot-species-dilution-info": "", "Dot-species-notes": "", "IHCP-species-checked": "notRecommended", "IHCP-species-dilution-info": "", "IHCP-species-notes": "", "ICCIF-species-checked": "notRecommended", "ICCIF-species-dilution-info": "", "ICCIF-species-notes": "", "IHCFr-species-checked": "notRecommended", "IHCFr-species-dilution-info": "", "IHCFr-species-notes": "", "WB-species-checked": "notRecommended", "WB-species-dilution-info": "", "WB-species-notes": "<p></p>", "IP-species-checked": "notRecommended", "IP-species-dilution-info": "", "IP-species-notes": "" }, "Mouse": { "Dot-species-checked": "guaranteed", "Dot-species-dilution-info": "", "Dot-species-notes": "", "IHCP-species-checked": "testedAndGuaranteed", "IHCP-species-dilution-info": "1/500", "IHCP-species-notes": "<p></p> Perform heat-mediated antigen retrieval with Tris/EDTA buffer pH 9.0 before commencing with IHC staining protocol.", "ICCIF-species-checked": "testedAndGuaranteed", "ICCIF-species-dilution-info": "1/50", "ICCIF-species-notes": "<p></p>", "IHCFr-species-checked": "testedAndGuaranteed", "IHCFr-species-dilution-info": "1/50", "IHCFr-species-notes": "<p></p>", "WB-species-checked": "notRecommended", "WB-species-dilution-info": "", "WB-species-notes": "<p></p>", "IP-species-checked": "notRecommended", "IP-species-dilution-info": "", "IP-species-notes": "<p></p>" }, "Rat": { "Dot-species-checked": "guaranteed", "Dot-species-dilution-info": "", "Dot-species-notes": "", "IHCP-species-checked": "testedAndGuaranteed", "IHCP-species-dilution-info": "1/500", "IHCP-species-notes": "<p></p> Perform heat-mediated antigen retrieval with Tris/EDTA buffer pH 9.0 before commencing with IHC staining protocol.", "ICCIF-species-checked": "notRecommended", "ICCIF-species-dilution-info": "", "ICCIF-species-notes": "<p></p>", "IHCFr-species-checked": "testedAndGuaranteed", "IHCFr-species-dilution-info": "1/50", "IHCFr-species-notes": "<p></p>", "WB-species-checked": "notRecommended", "WB-species-dilution-info": "", "WB-species-notes": "<p></p>", "IP-species-checked": "notRecommended", "IP-species-dilution-info": "", "IP-species-notes": "" }, "Synthetic peptide - Mouse": { "Dot-species-checked": "testedAndGuaranteed", "Dot-species-dilution-info": "1/1000", "Dot-species-notes": "<p></p>", "IHCP-species-checked": "notRecommended", "IHCP-species-dilution-info": "", "IHCP-species-notes": "", "ICCIF-species-checked": "notRecommended", "ICCIF-species-dilution-info": "", "ICCIF-species-notes": "", "IHCFr-species-checked": "notRecommended", "IHCFr-species-dilution-info": "", "IHCFr-species-notes": "", "WB-species-checked": "notRecommended", "WB-species-dilution-info": "", "WB-species-notes": "", "IP-species-checked": "notRecommended", "IP-species-dilution-info": "", "IP-species-notes": "" } } }

Product details

Patented technology
Our RabMAb® technology is a patented hybridoma-based technology for making rabbit monoclonal antibodies. For details on our patents, please refer to RabMAb® patents.

What are the advantages of a recombinant monoclonal antibody?
This product is a recombinant monoclonal antibody, which offers several advantages including:

  • - High batch-to-batch consistency and reproducibility
  • - Improved sensitivity and specificity
  • - Long-term security of supply
  • - Animal-free batch production

For more information, read more on recombinant antibodies.

Properties and storage information

Form
Liquid
Purification technique
Affinity purification Protein A
Storage buffer
pH: 7.2 - 7.4 Preservative: 0.01% Sodium azide Constituents: PBS, 40% Glycerol (glycerin, glycerine), 0.05% BSA
Shipped at conditions
Blue Ice
Appropriate short-term storage duration
1-2 weeks
Appropriate short-term storage conditions
+4°C
Appropriate long-term storage conditions
-20°C
Aliquoting information
Upon delivery aliquot
Storage information
Avoid freeze / thaw cycle

Supplementary information

This supplementary information is collated from multiple sources and compiled automatically.

Dynorphin A also known as Dynorphin-1 or Dyn A is an opioid peptide that acts as a neurotransmitter. It is part of the endorphin enkephalin and dynorphin family of opioid peptides which play significant roles in the modulation of pain and emotion. Dynorphin A consists of 17 amino acids and has a mass of approximately 2 kDa. Its expression is prominent in the central nervous system including the brain and spinal cord where it interacts with kappa-opioid receptors to regulate various physiological processes.
Biological function summary

Dynorphin peptides including Dynorphin A act as modulators of nociceptive pathways influencing the perception of pain. As an agonist of kappa-opioid receptors Dynorphin A produces analgesic effects by inhibiting neurotransmitter release in the central nervous system. Although it does not mainly form part of a complex Dynorphin A may stimulate the release or inhibition of other neurotransmitters such as dopamine affecting mood and stress responses.

Pathways

Several key physiological activities involve Dynorphin A. It influences the opioid system pathway where it plays important roles in pain modulation and mood regulation. Dynorphin A also interacts with the stress response pathways particularly impacting the hypothalamic-pituitary-adrenal (HPA) axis. It shares pathways with other neurotransmitters and proteins such as endorphins and enkephalins which also target opioid receptors.

Dynorphin A relates to conditions like addiction and depression. It contributes to the dysregulation of neurotransmitter systems which is a factor in these disorders. Dynorphin A modulates dopamine release involved in reward pathways influencing addiction development. In mood disorders it connects with stress hormones and peptides affecting mental health outcomes. Associations with proteins like corticotropin-releasing factor further link it to how the body manages stress potentially contributing to depressive states.

Product protocols

For this product, it's our understanding that no specific protocols are required. You can visit:

Target data

Leu-enkephalins compete with and mimic the effects of opiate drugs. They play a role in a number of physiologic functions, including pain perception and responses to stress (By similarity).. Dynorphin peptides differentially regulate the kappa opioid receptor. Dynorphin A(1-13) has a typical opioid activity, it is 700 times more potent than Leu-enkephalin (By similarity).. Leumorphin has a typical opioid activity and may have anti-apoptotic effect.
See full target information Pdyn

Product promise

We are committed to supporting your work with high-quality reagents, and we're here for you every step of the way. In the unlikely event that one of our products does not perform as expected, you're protected by our Product Promise.
For full details, please see our Terms & Conditions

Please note: All products are 'FOR RESEARCH USE ONLY. NOT FOR USE IN DIAGNOSTIC OR THERAPEUTIC PROCEDURES'.

For licensing inquiries, please contact partnerships@abcam.com