JavaScript is disabled in your browser. Please enable JavaScript to view this website.
AB156818

Anti-DYRK1A antibody

Be the first to review this product! Submit a review

|

(1 Publication)

Goat Polyclonal DYRK1A antibody. Suitable for WB and reacts with Human samples. Cited in 1 publication. Immunogen corresponding to Synthetic Peptide within Human DYRK1A aa 1-50.

View Alternative Names

DYRK, MNB, MNBH, DYRK1A, Dual specificity tyrosine-phosphorylation-regulated kinase 1A, Dual specificity YAK1-related kinase, HP86, Protein kinase minibrain homolog, hMNB

1 Images
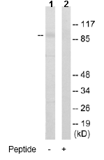
Western blot - Anti-DYRK1A antibody (AB156818)
  • WB

Unknown

Western blot - Anti-DYRK1A antibody (AB156818)

All lanes:

Western blot - Anti-DYRK1A antibody (ab156818) at 0.5 µg/mL

All lanes:

K562 cell line lysate at 35 µg

Predicted band size: 86 kDa

Observed band size: 80 kDa

true

Key facts

Host species

Goat

Clonality

Polyclonal

Isotype

IgG

Carrier free

No

Reacts with

Human

Applications

WB

applications

Immunogen

Synthetic Peptide within Human DYRK1A aa 1-50. The exact immunogen used to generate this antibody is proprietary information.

Q13627

Specificity

ab156818 is expected to recognize all reported isoforms (NP_001387.2; NP_569120.1; NP_567824.1; NP_569122.1).

ab156818 is not expected to cross-react with DYRK1B.

Reactivity data

{ "title": "Reactivity Data", "filters": { "stats": ["", "Species", "Dilution Info", "Notes"], "tabs": { "all-applications": {"fullname" : "All Applications", "shortname": "All Applications"}, "WB" : {"fullname" : "Western blot", "shortname":"WB"} }, "product-promise": { "all": "all", "testedAndGuaranteed": "tested", "guaranteed": "expected", "predicted": "predicted", "notRecommended": "not-recommended" } }, "values": { "Human": { "WB-species-checked": "testedAndGuaranteed", "WB-species-dilution-info": "0.5-2 µg/mL", "WB-species-notes": "<p>1 hour primary incubation is recommended for this product.</p>" }, "Mouse": { "WB-species-checked": "predicted", "WB-species-dilution-info": "", "WB-species-notes": "" }, "Rat": { "WB-species-checked": "predicted", "WB-species-dilution-info": "", "WB-species-notes": "" }, "Cow": { "WB-species-checked": "predicted", "WB-species-dilution-info": "", "WB-species-notes": "" }, "Dog": { "WB-species-checked": "predicted", "WB-species-dilution-info": "", "WB-species-notes": "" }, "Pig": { "WB-species-checked": "predicted", "WB-species-dilution-info": "", "WB-species-notes": "" } } }

Properties and storage information

Form
Liquid
Purification technique
Affinity purification Immunogen
Purification notes
ab156818 was purified from Goat serum by ammonium sulphate precipitation followed by antigen affinity chromatography using the immunizing peptide.
Storage buffer
pH: 7.3 Preservative: 0.02% Sodium azide Constituents: 99% Tris buffered saline, 0.5% BSA
Shipped at conditions
Blue Ice
Appropriate short-term storage conditions
+4°C
Appropriate long-term storage conditions
-20°C
Aliquoting information
Upon delivery aliquot
Storage information
Avoid freeze / thaw cycle

Product protocols

For this product, it's our understanding that no specific protocols are required. You can visit:

Target data

Dual-specificity kinase which possesses both serine/threonine and tyrosine kinase activities (PubMed : 20981014, PubMed : 21127067, PubMed : 23665168, PubMed : 30773093, PubMed : 8769099). Exhibits a substrate preference for proline at position P+1 and arginine at position P-3 (PubMed : 23665168). Plays an important role in double-strand breaks (DSBs) repair following DNA damage (PubMed : 31024071). Mechanistically, phosphorylates RNF169 and increases its ability to block accumulation of TP53BP1 at the DSB sites thereby promoting homologous recombination repair (HRR) (PubMed : 30773093). Also acts as a positive regulator of transcription by acting as a CTD kinase that mediates phosphorylation of the CTD (C-terminal domain) of the large subunit of RNA polymerase II (RNAP II) POLR2A (PubMed : 25620562, PubMed : 29849146). May play a role in a signaling pathway regulating nuclear functions of cell proliferation (PubMed : 14500717). Modulates alternative splicing by phosphorylating the splice factor SRSF6 (By similarity). Has pro-survival function and negatively regulates the apoptotic process (By similarity). Promotes cell survival upon genotoxic stress through phosphorylation of SIRT1 (By similarity). This in turn inhibits p53/TP53 activity and apoptosis (By similarity). Phosphorylates SEPTIN4, SEPTIN5 and SF3B1 at 'Thr-434' (By similarity).
See full target information DYRK1A

Publications (1)

Recent publications for all applications. Explore the full list and refine your search

Scientific reports 7:7240 PubMed28775333

2017

Dual-specificity tyrosine-phosphorylation regulated kinase 1A Gene Transcription is regulated by Myocyte Enhancer Factor 2D.

Applications

Unspecified application

Species

Unspecified reactive species

Pin Wang,Luanluan Wang,Long Chen,Xiulian Sun
View all publications

Product promise

We are committed to supporting your work with high-quality reagents, and we're here for you every step of the way. In the unlikely event that one of our products does not perform as expected, you're protected by our Product Promise.
For full details, please see our Terms & Conditions

Please note: All products are 'FOR RESEARCH USE ONLY. NOT FOR USE IN DIAGNOSTIC OR THERAPEUTIC PROCEDURES'.

For licensing inquiries, please contact partnerships@abcam.com