JavaScript is disabled in your browser. Please enable JavaScript to view this website.
AB124684

Anti-Dysferlin antibody [JAI-1-49-3]

4

(4 Reviews)

|

(46 Publications)

Anti-Dysferlin antibody [JAI-1-49-3] (ab124684) is a rabbit monoclonal antibody detecting Dysferlin in Western Blot, IHC-P, IHC-Fr, ICC/IF. Suitable for Human, Mouse.

- Biophysical QC for unrivalled batch-batch consistency
- Over 30 publications

View Alternative Names

FER1L1, DYSF, Dysferlin, Dystrophy-associated fer-1-like protein, Fer-1-like protein 1

10 Images
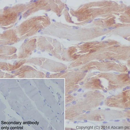
Immunohistochemistry (Formalin/PFA-fixed paraffin-embedded sections) - Anti-Dysferlin antibody [JAI-1-49-3] (AB124684)
  • IHC-P

Lab

Immunohistochemistry (Formalin/PFA-fixed paraffin-embedded sections) - Anti-Dysferlin antibody [JAI-1-49-3] (AB124684)

Immunohistochemistry (Formalin/PFA-fixed paraffin-embedded sections) analysis of human skeletal muscle tissue labelling Dysferlin with purified ab124684 at 1/500. Heat mediated antigen retrieval was performed using Tris/EDTA buffer pH 9. ab97051, a HRP-conjugated goat anti-rabbit IgG (H+L) was used as the secondary antibody (1/500). Negative control using PBS instead of primary antibody. Counterstained with hematoxylin.

Immunocytochemistry/ Immunofluorescence - Anti-Dysferlin antibody [JAI-1-49-3] (AB124684)
  • ICC/IF

Lab

Immunocytochemistry/ Immunofluorescence - Anti-Dysferlin antibody [JAI-1-49-3] (AB124684)

Immunocytochemistry/Immunofluorescence analysis of A673 cells labelling Dysferlin with purified ab124684 at 1/300. Cells were fixed with 4% paraformaldehyde and permeabilized with 0.1% Triton X-100. ab150077, an Alexa Fluor® 488-conjugated goat anti-rabbit IgG (1/500) was used as the secondary antibody. DAPI (blue) was used as the nuclear counterstain. ab7291, a mouse anti-tubulin (1/1000) and ab150120, an Alexa Fluor® 594-conjugated goat anti-mouse IgG (1/500) were also used.

Control 1 : primary antibody (1/300) and secondary antibody, ab150120, an Alexa Fluor® 594-conjugated goat anti-mouse IgG (1/500).

Control 2 : ab7291 (1/1000) and secondary antibody, ab150077, an Alexa Fluor® 488-conjugated goat anti-rabbit IgG (1/500).

Immunohistochemistry (Formalin/PFA-fixed paraffin-embedded sections) - Anti-Dysferlin antibody [JAI-1-49-3] (AB124684)
  • IHC-P

Unknown

Immunohistochemistry (Formalin/PFA-fixed paraffin-embedded sections) - Anti-Dysferlin antibody [JAI-1-49-3] (AB124684)

Immunohistochemistry (Formalin/PFA-fixed paraffin-embedded sections) analysis of human skeletal muscle tissue labelling Dysferlin with unpurified ab124684 at a dilution of 1/50.

Perform heat mediated antigen retrieval before commencing with IHC staining protocol.

Immunohistochemistry (Frozen sections) - Anti-Dysferlin antibody [JAI-1-49-3] (AB124684)
  • IHC-Fr

Unknown

Immunohistochemistry (Frozen sections) - Anti-Dysferlin antibody [JAI-1-49-3] (AB124684)

Immunohistochemistry (Frozen sections) analysis of unfixed frozen human skeletal muscle tissue (control) labelling Dysferlin with unpurified ab124684 at a dilution of 1/200.

Immunohistochemistry (Frozen sections) - Anti-Dysferlin antibody [JAI-1-49-3] (AB124684)
  • IHC-Fr

Unknown

Immunohistochemistry (Frozen sections) - Anti-Dysferlin antibody [JAI-1-49-3] (AB124684)

Immunohistochemistry (Frozen sections) analysis of unfixed frozen mouse skeletal muscle tissue (wild type) labelling Dysferlin with unpurified ab124684 at a dilution of 1/200.

Western blot - Anti-Dysferlin antibody [JAI-1-49-3] (AB124684)
  • WB

Lab

Western blot - Anti-Dysferlin antibody [JAI-1-49-3] (AB124684)

Blocking and dilution buffer : 5% NFDM/TBST.

All lanes:

Western blot - Anti-Dysferlin antibody [JAI-1-49-3] (ab124684) at 1/1000 dilution

All lanes:

Human skeletal muscle tissue lysate at 20 µg

Secondary

All lanes:

Peroxidase-conjugated goat anti-rabbit IgG, (H+L) at 1/1000 dilution

Predicted band size: 237 kDa

Observed band size: 280 kDa

false

Western blot - Anti-Dysferlin antibody [JAI-1-49-3] (AB124684)
  • WB

Lab

Western blot - Anti-Dysferlin antibody [JAI-1-49-3] (AB124684)

Blocking and dilution buffer : 5% NFDM/TBST.

All lanes:

Western blot - Anti-Dysferlin antibody [JAI-1-49-3] (ab124684) at 1/1000 dilution

All lanes:

Mouse muscle tissue lysate at 10 µg

Secondary

All lanes:

Peroxidase-conjugated goat anti-rabbit IgG, (H+L) at 1/1000 dilution

Predicted band size: 237 kDa

Observed band size: 280 kDa

false

Western blot - Anti-Dysferlin antibody [JAI-1-49-3] (AB124684)
  • WB

Unknown

Western blot - Anti-Dysferlin antibody [JAI-1-49-3] (AB124684)

All lanes:

Western blot - Anti-Dysferlin antibody [JAI-1-49-3] (ab124684) at 1/1000 dilution

Lane 1:

Human skeletal muscle tissue lysate (control) at 10 µg

Lane 2:

Human skeletal muscle tissue lysate (LGMD2B) at 10 µg

Lane 3:

Mouse skeletal muscle tissue lysate (wild-type mice) at 10 µg

Lane 4:

Mouse skeletal muscle tissue lysate (Dysf-/- transgenic mouse) at 10 µg

Secondary

All lanes:

HRP-conjugated goat anti-rabbit IgG at 1/2000 dilution

Predicted band size: 237 kDa

Observed band size: 280 kDa

false

OI-RD Scanning - Anti-Dysferlin antibody [JAI-1-49-3] (AB124684)
  • OI-RD Scanning

Unknown

OI-RD Scanning - Anti-Dysferlin antibody [JAI-1-49-3] (AB124684)

We have systematically measured KD (the equilibrium dissociation constant between the antibody and its antigen), of more than 840 recombinant antibodies to assess not only their individual KD values but also to see the average affinity of antibody. Based on the comparison with published literature values for mouse monoclonal antibodies, Recombinant antibodies appear to be on average 1-2 order of magnitude higher affinity.

Western blot - Anti-Dysferlin antibody [JAI-1-49-3] (AB124684)
  • WB

CiteAb

Western blot - Anti-Dysferlin antibody [JAI-1-49-3] (AB124684)

Dysferlin western blot using anti-Dysferlin antibody [JAI-1-49-3] ab124684. Publication image and figure legend from Vanhoutte, D., Schips, T. G., et al., 2016, Elife, PubMed 27669143.

ab124684 was used in this publication in western blot. This may not be the same as the application(s) guaranteed by Abcam. For a full list of applications guaranteed by Abcam for ab124684 please see the product overview.

Thbs4 enhances stabilizing proteins at the sarcolemma.(A) Immunofluoresence (green) detection of δ-, α-, β-, and γ-sarcoclycan (SGC), β-dystroglycan (β-DG), utrophin (Utro.), dystrophin (Dystro.) and β1D-integrin in littermates of three month-old WT, Thbs4-Tg, Sgcd-/- and Sgcd-/-Thbs4-Tg quadriceps. Representative images of 4 mice per genotype are shown. Scale bar = 25 μm. (B) Representative Western blots of sarcolemmal protein extracts (upper) or total cytoplasmic protein extracts (lower) from the quadriceps of the indicated groups of mice for the indicated proteins (n = 4–5 biological replicates). Abbreviations : Utro, utrophin; Dystro, dystrophin; Dysfer, dysferlin; α-DG, α-dystroglycan; β-DG, β-dystroglycan; δ-SCG, δ-sarcoglycan; α-SCG, α-sarcoglycan; β-SGC, β-sarcoglycan; β1D-, α7- and α5- integrin. The red boxes show increased protein levels. Also see Figure 6—figure supplement 1 for replicates. (C) Representative immunoblot for structural components of the DGC- and integrin-associated protein complexes in sarcolemmal preparations from Thbs4-/- and WT quadriceps at four months of age (n = 4 biological replicates). The burgundy-boxed areas show reduced protein levels. Ponceau staining of a nonspecific band and dihydropyridine receptor α1 (Cav1.1) were used as loading controls for sarcolemmal protein extracts; Gapdh was used as loading control for total cell protein extracts.DOI : http : //dx.doi.org/10.7554/eLife.17589.018Thbs4 enhances stabilizing proteins at the sarcolemma and directly interacts with integrins.(A,B) Representative Western blots of sarcolemmal protein extracts from the quadriceps of the indicated groups of mice at three months of age (n = 4–5 biological replicates). Sgcd-/- Tg and mdx Tg indicate Sgcd-/- and mdx with skeletal muscle specific Thbs4 overexpression, respectively. Ponceau staining of a nonspecific band and dihydropyridine receptor α1 (Cav1.1) were used as loading controls. Abbreviations : Utro, utrophin; Dystro, dystrophin; Dysfer, dysferlin; α-DG, α-dystroglycan; β-DG, β-dystroglycan; δ-SCG, δ-sarcoglycan; α-SCG, α-sarcoglycan; β-SGC, β-sarcoglycan; β1D-, α7- and α5-itg (integrin). (C) Immunoblots for β1D- and α7-Integrin (Itg), β-dystroglycan (DG) and Thbs4 (Flag) from neonatal rat ventricular myocyte extracts immunoprecipitated with a Flag antibody (Thbs4). Adβgal was used as a control infection (n = 3 biological replicates). An adenovirus expressing a Flag-tagged Thbs4 protein was used to achieve high level of this protein to identify the interaction. (D,E) Representative Western blots for Thbs4, α5- and β1D-integrin (itg) from intracellular vesicular isolates from WT and Thbs4 Tg quadriceps (D) or WT and Sgcd-/-quadriceps (E) that were immunoprecipitated with an antibody raised against the cytoplasmic domain of β1D-integrin (n = 3 biological replicates), showing that Thbs4 and α5-integrin localize to β1D-integrin-positive intracellular vesicles. α-tubulin and Gapdh are presented as loading control.DOI : http : //dx.doi.org/10.7554/eLife.17589.019

false

Key facts

Host species

Rabbit

Clonality

Monoclonal

Clone number

JAI-1-49-3

Isotype

IgG

Carrier free

No

Reacts with

Mouse, Human

Applications

IHC-P, IHC-Fr, ICC/IF, WB

applications

Immunogen

The exact immunogen used to generate this antibody is proprietary information.

Reactivity data

{ "title": "Reactivity Data", "filters": { "stats": ["", "Species", "Dilution Info", "Notes"], "tabs": { "all-applications": {"fullname" : "All Applications", "shortname": "All Applications"}, "IHCP" : {"fullname" : "Immunohistochemistry (Formalin/PFA-fixed paraffin-embedded sections)", "shortname":"IHC-P"}, "FlowCyt" : {"fullname" : "Flow Cytometry", "shortname":"Flow Cyt"}, "WB" : {"fullname" : "Western blot", "shortname":"WB"}, "ICCIF" : {"fullname" : "Immunocytochemistry/ Immunofluorescence", "shortname":"ICC/IF"}, "IHCFr" : {"fullname" : "Immunohistochemistry (Frozen sections)", "shortname":"IHC-Fr"} }, "product-promise": { "all": "all", "testedAndGuaranteed": "tested", "guaranteed": "expected", "predicted": "predicted", "notRecommended": "not-recommended" } }, "values": { "Human": { "IHCP-species-checked": "testedAndGuaranteed", "IHCP-species-dilution-info": "1/500", "IHCP-species-notes": "<p><strong>For unpurified use at 1/50 - 1/100.</strong></p> Perform heat-mediated antigen retrieval before commencing with IHC staining protocol.", "FlowCyt-species-checked": "notRecommended", "FlowCyt-species-dilution-info": "", "FlowCyt-species-notes": "<p></p>", "WB-species-checked": "testedAndGuaranteed", "WB-species-dilution-info": "1/1000", "WB-species-notes": "<p><strong>For unpurified use at 1/1000 - 1/10000.</strong></p>", "ICCIF-species-checked": "testedAndGuaranteed", "ICCIF-species-dilution-info": "1/200 - 1/400", "ICCIF-species-notes": "<p></p>", "IHCFr-species-checked": "testedAndGuaranteed", "IHCFr-species-dilution-info": "1/200", "IHCFr-species-notes": "<p></p>" }, "Mouse": { "IHCP-species-checked": "guaranteed", "IHCP-species-dilution-info": "", "IHCP-species-notes": "", "FlowCyt-species-checked": "notRecommended", "FlowCyt-species-dilution-info": "", "FlowCyt-species-notes": "<p></p>", "WB-species-checked": "testedAndGuaranteed", "WB-species-dilution-info": "1/1000", "WB-species-notes": "<p><strong>For unpurified use at 1/1000 - 1/10000.</strong></p>", "ICCIF-species-checked": "guaranteed", "ICCIF-species-dilution-info": "", "ICCIF-species-notes": "", "IHCFr-species-checked": "testedAndGuaranteed", "IHCFr-species-dilution-info": "1/200", "IHCFr-species-notes": "<p></p>" } } }

Product details

What is this antibody validated in?
Anti-Dysferlin antibody [JAI-1-49-3] (ab124684) is a rabbit recombinant monoclonal antibody and is validated for use in Western Blot (WB), Immunohistochemistry (IHC-P), Immunohistochemistry (IHC-Fr), Immunocytochemistry/immunofluorescence (ICC/IF) in Human, Mouse samples.

What is the molecular weight of Dysferlin?
Anti-Dysferlin [JAI-1-49-3] (ab124684) specifically detects a band for Dysferlin (UniProt: O75923) at a molecular weight of 237kDa.

Trusted by the scientific community
Anti-Dysferlin [JAI-1-49-3] (ab124684) was first used in a scientific publication in 2012 and has been cited over 30 times in peer-reviewed journals.

Trial sizes available!
Test your antibody or perform pre-screening before committing to a larger quantity. Sold in 10µl. Discover our selection of trial-size antibodies.

Other related products
We have a range of other formats of antibody clone [JAI-1-49-3] also available for your convenience: ab124684, Carrier free - ab209877, Carrier free - ab215376, Alexa Fluor® 594 - ab311738, Alexa Fluor® 568 - ab313017, Alexa Fluor® 488 - ab317596, Alexa Fluor® 555 - ab317597, Alexa Fluor® 750 - ab320973

Patented technology
Our RabMAb® technology is a patented hybridoma-based technology for making rabbit monoclonal antibodies. For details on our patents, please refer to RabMAb® patents.

What are the advantages of a recombinant monoclonal antibody?
This product is a recombinant monoclonal antibody, which offers several advantages including:

  • - High batch-to-batch consistency and reproducibility
  • - Improved sensitivity and specificity
  • - Long-term security of supply
  • - Animal-free batch production

For more information, read more on recombinant antibodies.

Species reactivity
Rat: We have preliminary internal testing data to indicate this antibody may not react with this species.
Please contact us for more information.

Properties and storage information

Form
Liquid
Purification technique
Affinity purification Protein A
Storage buffer
pH: 7.2 - 7.4 Preservative: 0.01% Sodium azide Constituents: PBS, 40% Glycerol (glycerin, glycerine), 0.05% BSA
Shipped at conditions
Blue Ice
Appropriate short-term storage duration
1-2 weeks
Appropriate short-term storage conditions
+4°C
Appropriate long-term storage conditions
-20°C
Aliquoting information
Upon delivery aliquot
Storage information
Avoid freeze / thaw cycle

Supplementary information

This supplementary information is collated from multiple sources and compiled automatically.

Dysferlin also known by its alternate names DYSF and CAPN3 is a protein characterized by a mass of approximately 237 kilodaltons. It belongs to the ferlin family and is mainly expressed in skeletal and cardiac muscle tissues. This protein contains multiple C2 domains which are significant for its membrane-trafficking roles. Dysferlin has an important role at the muscle surface particularly in the repair of sarcolemma breaches which helps maintain muscle cell integrity.
Biological function summary

The action of dysferlin impacts several molecular processes critical for muscle function and maintenance often interacting as part of a larger protein complex. It facilitates membrane repair by promoting vesicle fusion events and recruits other proteins to damaged sites. Such action is vital in restoring cellular structure after membrane damage particularly under the mechanical stress experienced in muscle tissues.

Pathways

Dysferlin operates within the calcium-dependent membrane repair pathway and the broader muscular dystrophy pathway. It interacts importantly with proteins such as annexins and actin that aid in membrane repair processes. Dysferlin's role in cellular repair connects it to pathways related to muscle membrane dynamics and stress response further highlighting its function in muscle health and recovery.

Mutations or deficiencies in dysferlin are linked to muscular dystrophies such as limb-girdle muscular dystrophy type 2B and Miyoshi myopathy. These conditions are characterized by progressive muscle weakness and wasting. The link between dysferlin's function and these disorders is also seen in its association with proteins like calpain 3 which also plays a role in muscle maintenance. Understanding the line of interaction between dysferlin and these proteins offers insights into potential therapeutic targets for these conditions.

Product protocols

For this product, it's our understanding that no specific protocols are required. You can visit:

Target data

Key calcium ion sensor involved in the Ca(2+)-triggered synaptic vesicle-plasma membrane fusion. Plays a role in the sarcolemma repair mechanism of both skeletal muscle and cardiomyocytes that permits rapid resealing of membranes disrupted by mechanical stress (By similarity).
See full target information DYSF

Publications (46)

Recent publications for all applications. Explore the full list and refine your search

Scientific reports 15:33948 PubMed41028869

2025

Impaired myogenesis in limb girdle muscular dystrophy type 2B.

Applications

Unspecified application

Species

Unspecified reactive species

Lucas Santos Souza,Renata Ishiba,Antonio Fernando Ribeiro-Junior,Isabela Aquino Zogbi,Dounia Bouragba,Anne Bigot,Vincent Mouly,Mariz Vainzof

American journal of physiology. Cell physiology 328:C429-C439 PubMed39726261

2024

Syntaxin 4-enhanced plasma membrane repair is independent of dysferlin in skeletal muscle.

Applications

Unspecified application

Species

Unspecified reactive species

Hsin-Yu Chen,Daniel E Michele

Nature communications 15:9650 PubMed39511170

2024

Cryo-EM structures of the membrane repair protein dysferlin.

Applications

Unspecified application

Species

Unspecified reactive species

Hsiang-Ling Huang,Giovanna Grandinetti,Sarah M Heissler,Krishna Chinthalapudi

Scientific reports 14:19267 PubMed39164335

2024

Brain of miyoshi myopathy/dysferlinopathy patients presents with structural and metabolic anomalies.

Applications

Unspecified application

Species

Unspecified reactive species

Petra Hnilicova,Marian Grendar,Monika Turcanova Koprusakova,Alzbeta Trancikova Kralova,Jana Harsanyiova,Martin Krssak,Ivica Just,Nadezda Misovicova,Martina Hikkelova,Jan Grossmann,Peter Spalek,Iveta Meciarova,Egon Kurca,Norbert Zilka,Kamil Zelenak,Wolfgang Bogner,Martin Kolisek

BMC musculoskeletal disorders 25:146 PubMed38365661

2024

Miyoshi myopathy associated with spine rigidity and multiple contractures: a case report.

Applications

Unspecified application

Species

Unspecified reactive species

Sergey N Bardakov,Angelina A Titova,Sergey S Nikitin,Valentin Nikitins,Margarita O Sokolova,Vadim A Tsargush,Elena A Yuhno,Oleg V Vetrovoj,Pierre G Carlier,Yana V Sofronova,Аrtur А Isaev,Roman V Deev

Frontiers in cell and developmental biology 11:1239138 PubMed38089884

2023

Adaptive changes in the DNA damage response during skeletal muscle cell differentiation.

Applications

Unspecified application

Species

Unspecified reactive species

Inês Faleiro,Ana I Afonso,André Balsinha,Beatriz Lucas,Robert M Martin,Edgar R Gomes,Sérgio F de Almeida

Brain : a journal of neurology 146:4158-4173 PubMed37490306

2023

MTM1 overexpression prevents and reverts BIN1-related centronuclear myopathy.

Applications

Unspecified application

Species

Unspecified reactive species

Quentin Giraud,Coralie Spiegelhalter,Nadia Messaddeq,Jocelyn Laporte

JCI insight 8: PubMed36943412

2023

Inactivating the lipid kinase activity of PI3KC2β is sufficient to rescue myotubular myopathy in mice.

Applications

Unspecified application

Species

Unspecified reactive species

Xènia Massana-Muñoz,Marie Goret,Vasugi Nattarayan,David Reiss,Christine Kretz,Gaetan Chicanne,Bernard Payrastre,Bart Vanhaesebroeck,Jocelyn Laporte

Biochimica et biophysica acta. Molecular basis of disease 1869:166707 PubMed37001702

2023

Single cell RNA-seq resolution revealed CCR1/SELL/XAF CD14 monocytes mediated vascular endothelial cell injuries in Kawasaki disease and COVID-19.

Applications

Unspecified application

Species

Unspecified reactive species

Xiaoliang Liu,Tingting Luo,Zhenxin Fan,Jiawen Li,Yue Zhang,Guoyan Lu,Mingyi Lv,Sha Lin,Ziwen Cai,Jinbao Zhang,Kaiyu Zhou,Junling Guo,Yimin Hua,Yaoyao Zhang,Yifei Li

Child neurology open 9:2329048X221140298 PubMed36419651

2022

Miyoshi Muscular Dystrophy Due to Novel Splice Site Variants in Gene.

Applications

Unspecified application

Species

Unspecified reactive species

Grace Bryant,Steven A Moore,James S Nix,Grace Rice,Murat Gokden,Aravindhan Veerapandiyan
View all publications

Product promise

We are committed to supporting your work with high-quality reagents, and we're here for you every step of the way. In the unlikely event that one of our products does not perform as expected, you're protected by our Product Promise.
For full details, please see our Terms & Conditions

Please note: All products are 'FOR RESEARCH USE ONLY. NOT FOR USE IN DIAGNOSTIC OR THERAPEUTIC PROCEDURES'.

For licensing inquiries, please contact partnerships@abcam.com