JavaScript is disabled in your browser. Please enable JavaScript to view this website.
AB209877

Anti-Dysferlin antibody [JAI-1-49-3] - BSA and Azide free

Be the first to review this product! Submit a review

|

(0 Publication)

Rabbit Recombinant Monoclonal Dysferlin antibody. Carrier free. Suitable for IHC-P, WB, ICC/IF, IHC-Fr and reacts with Human, Mouse samples.

View Alternative Names

FER1L1, DYSF, Dysferlin, Dystrophy-associated fer-1-like protein, Fer-1-like protein 1

4 Images
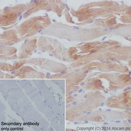
Immunohistochemistry (Formalin/PFA-fixed paraffin-embedded sections) - Anti-Dysferlin antibody [JAI-1-49-3] - BSA and Azide free (AB209877)
  • IHC-P

Lab

Immunohistochemistry (Formalin/PFA-fixed paraffin-embedded sections) - Anti-Dysferlin antibody [JAI-1-49-3] - BSA and Azide free (AB209877)

Immunohistochemistry (Formalin/PFA-fixed paraffin-embedded sections) analysis of human skeletal muscle tissue labelling Dysferlin with purified ab124684 at 1/500. Heat mediated antigen retrieval was performed using Tris/EDTA buffer pH 9. ab97051, a HRP-conjugated goat anti-rabbit IgG (H+L) was used as the secondary antibody (1/500). Negative control using PBS instead of primary antibody. Counterstained with hematoxylin.

This data was developed using the same antibody clone in a different buffer formulation containing PBS, BSA, glycerol, and sodium azide (ab124684).

Immunocytochemistry/ Immunofluorescence - Anti-Dysferlin antibody [JAI-1-49-3] - BSA and Azide free (AB209877)
  • ICC/IF

Lab

Immunocytochemistry/ Immunofluorescence - Anti-Dysferlin antibody [JAI-1-49-3] - BSA and Azide free (AB209877)

Immunocytochemistry/Immunofluorescence analysis of A673 cells labelling Dysferlin with purified ab124684 at 1/300. Cells were fixed with 4% paraformaldehyde and permeabilized with 0.1% Triton X-100. ab150077, an Alexa Fluor® 488-conjugated goat anti-rabbit IgG (1/500) was used as the secondary antibody. DAPI (blue) was used as the nuclear counterstain. ab7291, a mouse anti-tubulin (1/1000) and ab150120, an Alexa Fluor® 594-conjugated goat anti-mouse IgG (1/500) were also used.

Control 1 : primary antibody (1/300) and secondary antibody, ab150120, an Alexa Fluor® 594-conjugated goat anti-mouse IgG (1/500).

Control 2 : ab7291 (1/1000) and secondary antibody, ab150077, an Alexa Fluor® 488-conjugated goat anti-rabbit IgG (1/500).

This data was developed using the same antibody clone in a different buffer formulation containing PBS, BSA, glycerol, and sodium azide (ab124684).

Immunohistochemistry (Frozen sections) - Anti-Dysferlin antibody [JAI-1-49-3] - BSA and Azide free (AB209877)
  • IHC-Fr

Supplier Data

Immunohistochemistry (Frozen sections) - Anti-Dysferlin antibody [JAI-1-49-3] - BSA and Azide free (AB209877)

Immunohistochemistry (Frozen sections) analysis of unfixed frozen human skeletal muscle tissue (control) labelling Dysferlin with unpurified ab124684 at a dilution of 1/200.

This data was developed using the same antibody clone in a different buffer formulation containing PBS, BSA, glycerol, and sodium azide (ab124684).

Immunohistochemistry (Frozen sections) - Anti-Dysferlin antibody [JAI-1-49-3] - BSA and Azide free (AB209877)
  • IHC-Fr

Unknown

Immunohistochemistry (Frozen sections) - Anti-Dysferlin antibody [JAI-1-49-3] - BSA and Azide free (AB209877)

Immunohistochemistry (Frozen sections) analysis of unfixed frozen mouse skeletal muscle tissue (wild type) labelling Dysferlin with unpurified ab124684 at a dilution of 1/200.

This data was developed using the same antibody clone in a different buffer formulation containing PBS, BSA, glycerol, and sodium azide (ab124684).

Key facts

Host species

Rabbit

Clonality

Monoclonal

Clone number

JAI-1-49-3

Isotype

IgG

Carrier free

Yes

Reacts with

Mouse, Human

Applications

WB, ICC/IF, IHC-P, IHC-Fr

applications

Immunogen

The exact immunogen used to generate this antibody is proprietary information.

Reactivity data

{ "title": "Reactivity Data", "filters": { "stats": ["", "Species", "Dilution Info", "Notes"], "tabs": { "all-applications": {"fullname" : "All Applications", "shortname": "All Applications"}, "IHCP" : {"fullname" : "Immunohistochemistry (Formalin/PFA-fixed paraffin-embedded sections)", "shortname":"IHC-P"}, "FlowCyt" : {"fullname" : "Flow Cytometry", "shortname":"Flow Cyt"}, "WB" : {"fullname" : "Western blot", "shortname":"WB"}, "ICCIF" : {"fullname" : "Immunocytochemistry/ Immunofluorescence", "shortname":"ICC/IF"}, "IHCFr" : {"fullname" : "Immunohistochemistry (Frozen sections)", "shortname":"IHC-Fr"} }, "product-promise": { "all": "all", "testedAndGuaranteed": "tested", "guaranteed": "expected", "predicted": "predicted", "notRecommended": "not-recommended" } }, "values": { "Human": { "IHCP-species-checked": "testedAndGuaranteed", "IHCP-species-dilution-info": "", "IHCP-species-notes": "<p></p>", "FlowCyt-species-checked": "notRecommended", "FlowCyt-species-dilution-info": "", "FlowCyt-species-notes": "<p></p>", "WB-species-checked": "guaranteed", "WB-species-dilution-info": "", "WB-species-notes": "<p></p>", "ICCIF-species-checked": "testedAndGuaranteed", "ICCIF-species-dilution-info": "", "ICCIF-species-notes": "<p></p>", "IHCFr-species-checked": "testedAndGuaranteed", "IHCFr-species-dilution-info": "", "IHCFr-species-notes": "<p></p>" }, "Mouse": { "IHCP-species-checked": "predicted", "IHCP-species-dilution-info": "", "IHCP-species-notes": "", "FlowCyt-species-checked": "notRecommended", "FlowCyt-species-dilution-info": "", "FlowCyt-species-notes": "<p></p>", "WB-species-checked": "guaranteed", "WB-species-dilution-info": "", "WB-species-notes": "<p></p>", "ICCIF-species-checked": "predicted", "ICCIF-species-dilution-info": "", "ICCIF-species-notes": "", "IHCFr-species-checked": "predicted", "IHCFr-species-dilution-info": "", "IHCFr-species-notes": "" } } }

Product details

ab209877 is the carrier-free version of ab124684.

This antibody was made in collaboration with the Jain Foundation whose goal is to hasten EVERY avenue that may lead to the cure for LGMD2B/Miyoshi.

Patented technology
Our RabMAb® technology is a patented hybridoma-based technology for making rabbit monoclonal antibodies. For details on our patents, please refer to RabMAb® patents.

Species reactivity
Rat: We have preliminary internal testing data to indicate this antibody may not react with this species.
Please contact us for more information.

Conjugation ready
Our carrier-free antibodies are typically supplied in a PBS-only formulation, purified and free of BSA, sodium azide and glycerol. This conjugation-ready format is designed for use with fluorochromes, metal isotopes, oligonucleotides, and enzymes, which makes them ideal for antibody labelling, functional and cell-based assays, flow-based assays (e.g. mass cytometry) and Multiplex Imaging applications.

Use our conjugation kits for antibody conjugates that are ready-to-use in as little as 20 minutes with 1 minute hands-on-time and 100% antibody recovery: available for fluorescent dyes, HRP, biotin and gold.

Compatibility
This product is compatible with the Maxpar® Antibody Labeling Kit from Fluidigm, without the need for antibody preparation. Maxpar® is a trademark of Fluidigm Canada Inc.

Properties and storage information

Form
Liquid
Purification technique
Affinity purification Protein A
Storage buffer
pH: 7.2 - 7.4 Constituents: PBS
Shipped at conditions
Blue Ice
Appropriate short-term storage conditions
+4°C
Appropriate long-term storage conditions
+4°C
Storage information
Do Not Freeze

Supplementary information

This supplementary information is collated from multiple sources and compiled automatically.

Dysferlin also known by its alternate names DYSF and CAPN3 is a protein characterized by a mass of approximately 237 kilodaltons. It belongs to the ferlin family and is mainly expressed in skeletal and cardiac muscle tissues. This protein contains multiple C2 domains which are significant for its membrane-trafficking roles. Dysferlin has an important role at the muscle surface particularly in the repair of sarcolemma breaches which helps maintain muscle cell integrity.
Biological function summary

The action of dysferlin impacts several molecular processes critical for muscle function and maintenance often interacting as part of a larger protein complex. It facilitates membrane repair by promoting vesicle fusion events and recruits other proteins to damaged sites. Such action is vital in restoring cellular structure after membrane damage particularly under the mechanical stress experienced in muscle tissues.

Pathways

Dysferlin operates within the calcium-dependent membrane repair pathway and the broader muscular dystrophy pathway. It interacts importantly with proteins such as annexins and actin that aid in membrane repair processes. Dysferlin's role in cellular repair connects it to pathways related to muscle membrane dynamics and stress response further highlighting its function in muscle health and recovery.

Mutations or deficiencies in dysferlin are linked to muscular dystrophies such as limb-girdle muscular dystrophy type 2B and Miyoshi myopathy. These conditions are characterized by progressive muscle weakness and wasting. The link between dysferlin's function and these disorders is also seen in its association with proteins like calpain 3 which also plays a role in muscle maintenance. Understanding the line of interaction between dysferlin and these proteins offers insights into potential therapeutic targets for these conditions.

Product protocols

For this product, it's our understanding that no specific protocols are required. You can visit:

Target data

Key calcium ion sensor involved in the Ca(2+)-triggered synaptic vesicle-plasma membrane fusion. Plays a role in the sarcolemma repair mechanism of both skeletal muscle and cardiomyocytes that permits rapid resealing of membranes disrupted by mechanical stress (By similarity).
See full target information DYSF

Product promise

We are committed to supporting your work with high-quality reagents, and we're here for you every step of the way. In the unlikely event that one of our products does not perform as expected, you're protected by our Product Promise.
For full details, please see our Terms & Conditions

Please note: All products are 'FOR RESEARCH USE ONLY. NOT FOR USE IN DIAGNOSTIC OR THERAPEUTIC PROCEDURES'.

For licensing inquiries, please contact partnerships@abcam.com