JavaScript is disabled in your browser. Please enable JavaScript to view this website.
AB85302

Anti-Dystrophin antibody

5

(1 Review)

|

(5 Publications)

Rabbit Polyclonal Dystrophin antibody. Suitable for IHC-P, WB and reacts with Human samples. Cited in 5 publications.

View Alternative Names

Dystrophin, DMD

2 Images
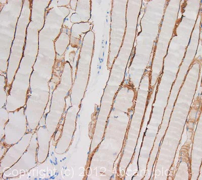
Immunohistochemistry (Formalin/PFA-fixed paraffin-embedded sections) - Anti-Dystrophin antibody (AB85302)
  • IHC-P

Unknown

Immunohistochemistry (Formalin/PFA-fixed paraffin-embedded sections) - Anti-Dystrophin antibody (AB85302)

IHC image of Dystrophin staining in human skeletal muscle formalin fixed paraffin embedded tissue section, performed on a Leica BondTM system using the standard protocol F. The section was pre-treated using heat mediated antigen retrieval with sodium citrate buffer (pH6, epitope retrieval solution 1) for 20 mins. The section was then incubated with ab85302, 1µg/ml, for 15 mins at room temperature and detected using an HRP conjugated compact polymer system. DAB was used as the chromogen. The section was then counterstained with haematoxylin and mounted with DPX.

For other IHC staining systems (automated and non-automated) customers should optimize variable parameters such as antigen retrieval conditions, primary antibody concentration and antibody incubation times.

Western blot - Anti-Dystrophin antibody (AB85302)
  • WB

Unknown

Western blot - Anti-Dystrophin antibody (AB85302)

This blot was produced using a 3-8% Tris Acetate gel under the TA buffer system. The gel was run at 150V for 60 minutes before being transferred onto a Nitrocellulose membrane at 30V for 70 minutes. The membrane was then blocked for an hour using 5% Bovine Serum Albumin before being incubated with ab85302 overnight at 4°C. Antibody binding was detected using an anti-rabbit antibody conjugated to HRP, and visualised using ECL development solution.

All lanes:

Western blot - Anti-Dystrophin antibody (ab85302) at 1 µg/mL

All lanes:

Human skeletal muscle tissue lysate - total protein (<a href='/en-us/products/unavailable/human-skeletal-muscle-tissue-lysate-total-protein-ab29330'>ab29330</a>) at 10 µg

Secondary

All lanes:

Western blot - Goat Anti-Rabbit IgG H&L (HRP) (<a href='/en-us/products/secondary-antibodies/goat-rabbit-igg-h-l-hrp-ab97051'>ab97051</a>) at 1/10000 dilution

Predicted band size: 427 kDa

Observed band size: 175 kDa,216 kDa,250 kDa,440 kDa

true

Exposure time: 90s

Key facts

Host species

Rabbit

Clonality

Polyclonal

Isotype

IgG

Carrier free

No

Reacts with

Human

Applications

WB, IHC-P

applications

Immunogen

The exact immunogen used to generate this antibody is proprietary information.

Reactivity data

{ "title": "Reactivity Data", "filters": { "stats": ["", "Species", "Dilution Info", "Notes"], "tabs": { "all-applications": {"fullname" : "All Applications", "shortname": "All Applications"}, "IHCP" : {"fullname" : "Immunohistochemistry (Formalin/PFA-fixed paraffin-embedded sections)", "shortname":"IHC-P"}, "WB" : {"fullname" : "Western blot", "shortname":"WB"} }, "product-promise": { "all": "all", "testedAndGuaranteed": "tested", "guaranteed": "expected", "predicted": "predicted", "notRecommended": "not-recommended" } }, "values": { "Human": { "IHCP-species-checked": "testedAndGuaranteed", "IHCP-species-dilution-info": "1 µg/mL", "IHCP-species-notes": "<p></p>", "WB-species-checked": "testedAndGuaranteed", "WB-species-dilution-info": "1 µg/mL", "WB-species-notes": "<p></p>" }, "Mouse": { "IHCP-species-checked": "predicted", "IHCP-species-dilution-info": "", "IHCP-species-notes": "", "WB-species-checked": "predicted", "WB-species-dilution-info": "", "WB-species-notes": "" }, "Rat": { "IHCP-species-checked": "predicted", "IHCP-species-dilution-info": "", "IHCP-species-notes": "", "WB-species-checked": "predicted", "WB-species-dilution-info": "", "WB-species-notes": "" }, "Chicken": { "IHCP-species-checked": "predicted", "IHCP-species-dilution-info": "", "IHCP-species-notes": "", "WB-species-checked": "predicted", "WB-species-dilution-info": "", "WB-species-notes": "" }, "Chinese hamster": { "IHCP-species-checked": "predicted", "IHCP-species-dilution-info": "", "IHCP-species-notes": "", "WB-species-checked": "predicted", "WB-species-dilution-info": "", "WB-species-notes": "" }, "Cow": { "IHCP-species-checked": "predicted", "IHCP-species-dilution-info": "", "IHCP-species-notes": "", "WB-species-checked": "predicted", "WB-species-dilution-info": "", "WB-species-notes": "" }, "Dog": { "IHCP-species-checked": "predicted", "IHCP-species-dilution-info": "", "IHCP-species-notes": "", "WB-species-checked": "predicted", "WB-species-dilution-info": "", "WB-species-notes": "" }, "Macaque monkey": { "IHCP-species-checked": "predicted", "IHCP-species-dilution-info": "", "IHCP-species-notes": "", "WB-species-checked": "predicted", "WB-species-dilution-info": "", "WB-species-notes": "" }, "Orangutan": { "IHCP-species-checked": "predicted", "IHCP-species-dilution-info": "", "IHCP-species-notes": "", "WB-species-checked": "predicted", "WB-species-dilution-info": "", "WB-species-notes": "" }, "Pig": { "IHCP-species-checked": "predicted", "IHCP-species-dilution-info": "", "IHCP-species-notes": "", "WB-species-checked": "predicted", "WB-species-dilution-info": "", "WB-species-notes": "" } } }

Have you thought about this alternative?

AB275391

Anti-Dystrophin antibody [EPR23336-129]

0
0 Reviews
View product

We’re constantly upgrading our range to offer the highest quality products. We have selected this alternative product for your review because it gives improved performance, is easier and more convenient to use, or is available faster.

Properties and storage information

Form
Liquid
Purification technique
Affinity purification Immunogen
Storage buffer
pH: 7.4 Preservative: 0.02% Sodium azide Constituents: 98.98% PBS, 1% BSA
Shipped at conditions
Blue Ice
Appropriate short-term storage duration
1-2 weeks
Appropriate short-term storage conditions
+4°C
Appropriate long-term storage conditions
-20°C
Aliquoting information
Upon delivery aliquot
Storage information
Avoid freeze / thaw cycle

Supplementary information

This supplementary information is collated from multiple sources and compiled automatically.

Dystrophin also known as the DMD protein plays a mechanical role in muscle fibers by connecting the cytoskeleton of a muscle fiber to the surrounding extracellular matrix through the cell membrane. This structural connection helps reinforce the muscle fiber during contraction and mechanical stress. The protein has a molecular weight of approximately 427 kDa. It is expressed mainly in skeletal and cardiac muscles where it is important for maintaining muscle integrity.
Biological function summary

Dystrophin acts as an important component of the dystrophin-glycoprotein complex. This complex stabilizes the muscle cell membrane by linking actin filaments within the cytoskeleton to proteins in the extracellular matrix. The absence or malfunctioning of dystrophin disrupts this connection leading to increased susceptibility to damage during muscle contraction. This is especially evident in tissues where the protein is abundantly present.

Pathways

Dystrophin is integral to the structural integrity pathway in muscle cells. It works alongside proteins like dystroglycan and sarcoglycan forming a multiprotein complex that ensures cell membrane stability during muscle contractions. The proper functioning of the dystrophin complex is also linked to calcium signaling pathways highlighting its role in cellular signaling mechanisms.

Dystrophin's malfunction is directly associated with Duchenne Muscular Dystrophy (DMD) and Becker Muscular Dystrophy (BMD). Mutations in the DMD gene which encodes the dystrophin protein result in the absence or reduced functionality of the protein leading to progressive muscle degeneration observed in DMD and BMD. These disorders frequently involve the protein utrophin which sometimes compensates for the lack of functional dystrophin albeit insufficiently to alleviate the symptoms.

Product protocols

For this product, it's our understanding that no specific protocols are required. You can visit:

Target data

Anchors the extracellular matrix to the cytoskeleton via F-actin. Ligand for dystroglycan. Component of the dystrophin-associated glycoprotein complex which accumulates at the neuromuscular junction (NMJ) and at a variety of synapses in the peripheral and central nervous systems and has a structural function in stabilizing the sarcolemma. Also implicated in signaling events and synaptic transmission.
See full target information DMD

Publications (5)

Recent publications for all applications. Explore the full list and refine your search

Biology of sex differences 14:45 PubMed37430322

2023

Evidence for sex-specific intramuscular changes associated to physical weakness in adults older than 75 years.

Applications

Unspecified application

Species

Unspecified reactive species

Jelle C B C de Jong,Lars Verschuren,Martien P M Caspers,Marjanne D van der Hoek,Feike R van der Leij,Robert Kleemann,Anita M van den Hoek,Arie G Nieuwenhuizen,Jaap Keijer

GeroScience : PubMed36820956

2023

Sex differences in skeletal muscle-aging trajectory: same processes, but with a different ranking.

Applications

IHC-P

Species

Human

Jelle C B C de Jong,Brecht J Attema,Marjanne D van der Hoek,Lars Verschuren,Martien P M Caspers,Robert Kleemann,Feike R van der Leij,Anita M van den Hoek,Arie G Nieuwenhuizen,Jaap Keijer

International journal of molecular sciences 22: PubMed34884867

2021

A Exon-52 Deleted Miniature Pig Model of Duchenne Muscular Dystrophy and Evaluation of Exon Skipping.

Applications

Unspecified application

Species

Unspecified reactive species

Yusuke Echigoya,Nhu Trieu,William Duddy,Hong M Moulton,HaiFang Yin,Terence A Partridge,Eric P Hoffman,Joe N Kornegay,Frank A Rohret,Christopher S Rogers,Toshifumi Yokota

Methods in molecular biology (Clifton, N.J.) 2161:37-50 PubMed32681504

2020

Design and Application of a Short (16-mer) Locked Nucleic Acid Splice-Switching Oligonucleotide for Dystrophin Production in Duchenne Muscular Dystrophy Myotubes.

Applications

Unspecified application

Species

Unspecified reactive species

Célia Carvalho,Maria Carmo-Fonseca

PloS one 12:e0181065 PubMed28742140

2017

Short (16-mer) locked nucleic acid splice-switching oligonucleotides restore dystrophin production in Duchenne Muscular Dystrophy myotubes.

Applications

Unspecified application

Species

Unspecified reactive species

Vanessa Borges Pires,Ricardo Simões,Kamel Mamchaoui,Célia Carvalho,Maria Carmo-Fonseca
View all publications

Product promise

We are committed to supporting your work with high-quality reagents, and we're here for you every step of the way. In the unlikely event that one of our products does not perform as expected, you're protected by our Product Promise.
For full details, please see our Terms & Conditions

Associated Products

Select an associated product type
Alternative Product
Primary Antibodies

AB15277

Anti-Dystrophin antibody

primary-antibodies

dystrophin-antibody-ab15277

4

(23 reviews)

Alternative Product
Primary Antibodies

AB218198

Anti-Dystrophin antibody [EPR21189]

primary-antibodies

dystrophin-antibody-epr21189-ab218198

5

(3 reviews)

Alternative Product
Primary Antibodies

AB199717

Anti-Dystrophin antibody [EPR9598(ABC)] - BSA and Azide free

primary-antibodies

dystrophin-antibody-epr9598abc-bsa-and-azide-free-ab199717

0

(0 reviews)

Alternative Product
Primary Antibodies

AB230379

Anti-Dystrophin antibody [EPR21189] - BSA and Azide free

primary-antibodies

dystrophin-antibody-epr21189-bsa-and-azide-free-ab230379

0

(0 reviews)

Alternative Product
Primary Antibodies

AB7164

Anti-Dystrophin antibody [MANDRA1]

primary-antibodies

dystrophin-antibody-mandra1-ab7164

5

(1 reviews)

Alternative Product
Primary Antibodies

AB154168

Anti-Dystrophin antibody [EPR9598(ABC)]

primary-antibodies

dystrophin-antibody-epr9598abc-ab154168

0

(0 reviews)

Please note: All products are 'FOR RESEARCH USE ONLY. NOT FOR USE IN DIAGNOSTIC OR THERAPEUTIC PROCEDURES'.

For licensing inquiries, please contact partnerships@abcam.com