JavaScript is disabled in your browser. Please enable JavaScript to view this website.
AB230379

Anti-Dystrophin antibody [EPR21189] - BSA and Azide free

  • BOND RX™ Validated
  • RabMAb
  • Recombinant
  • KO Validated
  • Advanced Validation
  • What is this?

Be the first to review this product! Submit a review

|

(2 Publications)

Rabbit Recombinant Monoclonal Dystrophin antibody. Carrier free. Suitable for mIHC, WB, IHC-Fr, IHC-P and reacts with Mouse, Rat samples. Cited in 2 publications.

View Alternative Names

Dystrophin, Dmd

13 Images
Multiplex immunohistochemistry - Anti-Dystrophin antibody [EPR21189] - BSA and Azide free (AB230379)
  • mIHC

Lab

Multiplex immunohistochemistry - Anti-Dystrophin antibody [EPR21189] - BSA and Azide free (AB230379)

This data was developed using ab218198 the same antibody clone in a different buffer formulation.

Multiplex immunohistochemistry analysis of formalin/PFA-fixed paraffin-embedded Mouse skeletal muscle tissue staining Slow Skeletal Myosin Heavy chain with ab234431 at a 1/2500 dilution, A2BP1 with ab254413 at 1/2000 (0.26 µg/ml) dilution and Dystrophin with ab218198 at 1/5000 ( 0.110 µg/ml) dilution.

Panel A : merged staining of anti-Slow Skeletal Myosin Heavy chain (green; Opal™520), anti-A2BP1 (gray; Opal™570) and anti-Dystrophin (magenta; Opal™690) on mouse skeletal muscle.
Panel B : anti-Slow Skeletal Myosin Heavy chain staining slow type fibers in mouse skeletal muscle.
Panel C : anti-A2BP1 staining nucleus in mouse skeletal muscle.
Panel D : anti-Dystrophin staining membrane in mouse skeletal muscle.
Nuclear DNA was labeled with DAPI (shown in blue).

The section was incubated in three rounds of staining : in the order of ab234431, ab254413 and ab218198 for 30 mins at room temperature. Each round was followed by a separate fluorescent tyramide signal amplification system.

The immunostaining was performed on a Leica Biosystems BOND® RX instrument with an Opal™ 4-color kit. Image acquisition was performed with Leica SP8 confocal microscope.

Heat mediated antigen retrieval with Tris-EDTA buffer (pH 9.0 epitope retrieval solution2) for 20 mins.

Immunohistochemistry (Formalin/PFA-fixed paraffin-embedded sections) - Anti-Dystrophin antibody [EPR21189] - BSA and Azide free (AB230379)
  • IHC-P

Lab

Immunohistochemistry (Formalin/PFA-fixed paraffin-embedded sections) - Anti-Dystrophin antibody [EPR21189] - BSA and Azide free (AB230379)

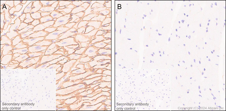
This data was developed using ab218198, the same antibody clone in a different buffer formulation. Immunohistochemical analysis of paraffin-embedded (A) Cardiac muscle tissue from wild-type C57BL/6JGpt mice (B) Cardiac muscle tissue from DMD knockout mice staining with ab218198 at 1/5000 dilution and ready-to-use Goat Anti-Rabbit IgG H&L (HRP) secondary. Counterstaining with hematoxylin. Heat mediated antigen retrieval was performed with Tris-EDTA buffer (pH 9.0, Epitope Retrieval Solution2) for 20 mins. Positive staining on (A) Cardiac muscle tissue from wild-type C57BL/6JGpt mice and no staining on (B) Cardiac muscle tissue from DMD knockout mice. The section was incubated with ab218198 for 30 mins at room temperature. The immunostaining was performed on a Leica Biosystems BOND™ RX instrument The tissue samples were kindly provided by GemPharmatech. C57BL/6JGpt wildtype mice and DMD-KO homozygous mice (Strain ID : T003035).

Immunohistochemistry (Formalin/PFA-fixed paraffin-embedded sections) - Anti-Dystrophin antibody [EPR21189] - BSA and Azide free (AB230379)
  • IHC-P

Lab

Immunohistochemistry (Formalin/PFA-fixed paraffin-embedded sections) - Anti-Dystrophin antibody [EPR21189] - BSA and Azide free (AB230379)

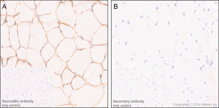
This data was developed using ab218198, the same antibody clone in a different buffer formulation. Immunohistochemical analysis of paraffin-embedded (A) Skeletal muscle tissue from wild-type C57BL/6JGpt mice (B) Skeletal muscle tissue from DMD knockout mice staining with ab218198 at 1/5000 dilution and ready-to-use Goat Anti-Rabbit IgG H&L (HRP) secondary. Counterstaining with hematoxylin. Heat mediated antigen retrieval was performed with Tris-EDTA buffer (pH 9.0, Epitope Retrieval Solution2) for 20 mins. Positive staining on (A) Skeletal muscle tissue from wild-type C57BL/6JGpt mice and no staining on (B) Skeletal muscle tissue from DMD knockout mice.The section was incubated with ab218198 for 30 mins at room temperature. The immunostaining was performed on a Leica Biosystems BOND™ RX instrument. The tissue samples were kindly provided by GemPharmatech. C57BL/6JGpt wildtype mice and DMD-KO homozygous mice (Strain ID : T003035).The tissue samples were kindly provided by GemPharmatech. C57BL/6JGpt wildtype mice and DMD-KO homozygous mice (Strain ID : T003035).

Immunohistochemistry (Formalin/PFA-fixed paraffin-embedded sections) - Anti-Dystrophin antibody [EPR21189] - BSA and Azide free (AB230379)
  • IHC-P

Supplier Data

Immunohistochemistry (Formalin/PFA-fixed paraffin-embedded sections) - Anti-Dystrophin antibody [EPR21189] - BSA and Azide free (AB230379)

Immunohistochemical analysis of paraffin-embedded rat colon tissue labeling Dystrophin with ab218198 at 1/1000 dilution, followed by Goat Anti-Rabbit IgG H&L (HRP) Ready to use. Membranous and cytoplasmic staining in smooth muscle of rat colon (PMID : 18806224) is observed. Counter stained with Hematoxylin.

Secondary antibody only control : Used PBS instead of primary antibody, secondary antibody is Goat Anti-Rabbit IgG H&L (HRP) Ready to use.

Perform heat-mediated antigen retrieval using ab93684 (Tris/EDTA buffer, pH 9.0).

This data was developed using the same antibody clone in a different buffer formulation containing PBS, BSA, glycerol, and sodium azide (ab218198).

Immunohistochemistry (Frozen sections) - Anti-Dystrophin antibody [EPR21189] - BSA and Azide free (AB230379)
  • IHC-Fr

Lab

Immunohistochemistry (Frozen sections) - Anti-Dystrophin antibody [EPR21189] - BSA and Azide free (AB230379)

Immunohistochemical (Frozen sections) analysis of rat heart tissue useing ab218198 (1/50 dilution) to stain Dystrophin. ab150077 AlexaFluor®488 Goat anti-Rabbit (1/500) secondary used. DAPI used as a nuclear counter stain. Heat-mediated antigen retrieval using ab94681 (Tris/EDTA buffer, pH 9.0). Fixative 4% PFA, Permeabilisation with 0.2% Triton X-100.

This data was developed using the same antibody clone in a different buffer formulation containing PBS, BSA, glycerol, and sodium azide (ab218198).

Immunohistochemistry (Formalin/PFA-fixed paraffin-embedded sections) - Anti-Dystrophin antibody [EPR21189] - BSA and Azide free (AB230379)
  • IHC-P

Supplier Data

Immunohistochemistry (Formalin/PFA-fixed paraffin-embedded sections) - Anti-Dystrophin antibody [EPR21189] - BSA and Azide free (AB230379)

Immunohistochemical analysis of paraffin-embedded mouse cardiac muscle tissue labeling Dystrophin with ab218198 at 1/1000 dilution, followed by Goat Anti-Rabbit IgG H&L (HRP) Ready to use. Membranous staining on mouse cardiac muscle (PMID : 24793134) is observed. Counter stained with Hematoxylin.

Secondary antibody only control : Used PBS instead of primary antibody, secondary antibody is Goat Anti-Rabbit IgG H&L (HRP) Ready to use.

Perform heat-mediated antigen retrieval using ab93684 (Tris/EDTA buffer, pH 9.0).

This data was developed using the same antibody clone in a different buffer formulation containing PBS, BSA, glycerol, and sodium azide (ab218198).

Immunohistochemistry (Formalin/PFA-fixed paraffin-embedded sections) - Anti-Dystrophin antibody [EPR21189] - BSA and Azide free (AB230379)
  • IHC-P

Supplier Data

Immunohistochemistry (Formalin/PFA-fixed paraffin-embedded sections) - Anti-Dystrophin antibody [EPR21189] - BSA and Azide free (AB230379)

Immunohistochemical analysis of paraffin-embedded mouse skeletal muscle tissue labeling Dystrophin with ab218198 at 1/1000 dilution, followed by Goat Anti-Rabbit IgG H&L (HRP) Ready to use. Membranous staining on mouse skeletal muscle (PMID : 24793134) is observed. Counter stained with Hematoxylin.

Secondary antibody only control : Used PBS instead of primary antibody, secondary antibody is Goat Anti-Rabbit IgG H&L (HRP) Ready to use.

Perform heat-mediated antigen retrieval using ab93684 (Tris/EDTA buffer, pH 9.0).

This data was developed using the same antibody clone in a different buffer formulation containing PBS, BSA, glycerol, and sodium azide (ab218198).

Immunohistochemistry (Frozen sections) - Anti-Dystrophin antibody [EPR21189] - BSA and Azide free (AB230379)
  • IHC-Fr

Lab

Immunohistochemistry (Frozen sections) - Anti-Dystrophin antibody [EPR21189] - BSA and Azide free (AB230379)

Immunohistochemical (Frozen sections) analysis of mouse heart tissue useing ab218198 (1/50 dilution) to stain Dystrophin. ab150077 AlexaFluor®488 Goat anti-Rabbit (1/500) secondary used. DAPI used as a nuclear counter stain. Heat-mediated antigen retrieval using ab94681 (Tris/EDTA buffer, pH 9.0). Fixative 4% PFA, Permeabilisation with 0.2% Triton X-100.

This data was developed using the same antibody clone in a different buffer formulation containing PBS, BSA, glycerol, and sodium azide (ab218198).

Multiplex immunohistochemistry - Anti-Dystrophin antibody [EPR21189] - BSA and Azide free (AB230379)
  • mIHC

Lab

Multiplex immunohistochemistry - Anti-Dystrophin antibody [EPR21189] - BSA and Azide free (AB230379)

This data was developed using ab218198, the same antibody clone in a different buffer formulation.

Multiplex immunohistochemistry analysis of formalin/PFA-fixed paraffin-embedded Mouse cardiac muscle tissue staining Titin with ab307446 at a 1/1000 ( 0.475 µg/ml) dilution, CTNNA3 with ab184916 at 1/2000 ( 0.942 µg/ml) dilution and Dystrophin with ab218198 at 1/5000 ( 0.110 µg/ml) dilution.

Panel A : merged staining of anti-Titin (gray; Opal™570), anti-CTNNA3 (green; Opal™520) and anti-Dystrophin (magenta; Opal™690) on mouse cardiac muscle.
Panel B : anti-Titin staining nucleus and cytoplasm in mouse cardiac muscle.
Panel C : anti-CTNNA3 staining intercalated discs in mouse cardiac muscle.
Panel D : anti-Dystrophin staining membrane in mouse cardiac muscle.

Nuclear DNA was labeled with DAPI (shown in blue).

The section was incubated in three rounds of staining : in the order of ab307446, ab184916 and ab218198 for 30 mins at room temperature. Each round was followed by a separate fluorescent tyramide signal amplification system.

The immunostaining was performed on a Leica Biosystems BOND° RX instrument with an Opal™ 4-color kit. Image acquisition was performed with Leica SP8 confocal microscope.

Heat mediated antigen retrieval with Tris-EDTA buffer (pH 9.0 epitope retrieval solution2) for 20 mins.

Multiplex immunohistochemistry - Anti-Dystrophin antibody [EPR21189] - BSA and Azide free (AB230379)
  • mIHC

Lab

Multiplex immunohistochemistry - Anti-Dystrophin antibody [EPR21189] - BSA and Azide free (AB230379)

This data was developed using ab218198 the same antibody clone in a different buffer formulation.

Multiplex immunohistochemistry analysis of formalin/PFA-fixed paraffin-embedded Mouse cardiac muscle tissue staining Nav1.5 with ab300048 at a 1/1000 (5.12 µg/ml), dilution A2BP1 with ab254413 at 1/2000 (0.26 µg/ml) dilution and Dystrophin with ab218198 at 1/5000 ( 0.110 µg/ml) dilution.

Panel A : merged staining of anti-Nav1.5 (green; Opal™520), anti-A2BP1 (gray; Opal™570) and anti-Dystrophin (magenta; Opal™690) on mouse cardiac muscle.
Panel B : anti-Nav1.5 staining cytoplasm in mouse cardiac muscle.
Panel C : anti-A2BP1 staining nucleus in mouse cardiac muscle.
Panel D : anti-Dystrophin staining membrane in mouse cardiac muscle.
Nuclear DNA was labeled with DAPI (shown in blue).

The section was incubated in three rounds of staining : in the order of ab300048, ab254413 and ab218198 for 30 mins at room temperature. Each round was followed by a separate fluorescent tyramide signal amplification system.

The immunostaining was performed on a Leica Biosystems BOND® RX instrument with an Opal™ 4-color kit. Image acquisition was performed with Leica SP8 confocal microscope.

Heat mediated antigen retrieval with Tris-EDTA buffer (pH 9.0 epitope retrieval solution2) for 20 mins.

Multiplex immunohistochemistry - Anti-Dystrophin antibody [EPR21189] - BSA and Azide free (AB230379)
  • mIHC

Lab

Multiplex immunohistochemistry - Anti-Dystrophin antibody [EPR21189] - BSA and Azide free (AB230379)

This data was developed using ab218198, the same antibody clone in a different buffer formulation.

Multiplex immunohistochemistry analysis of formalin/PFA-fixed paraffin-embedded Mouse skeletal muscle tissue staining SERCA1 ATPase with ab314660 at a 1/5000 (0.103 ug/ml) dilution, A2BP1 with ab254413 at 1/2000 (0.26 ug/ml) dilution and Dystrophin with ab218198 at 1/5000 ( 0.110 ug/ml) dilution.

Panel A : merged staining of anti-SERCA1 ATPase (green; Opal™520), anti-A2BP1 (gray; Opal™570) and anti-Dystrophin (magenta; Opal™690) on mouse skeletal muscle.
Panel B : anti-SERCA1 ATPase staining cytoplasm in mouse skeletal muscle.
Panel C : anti-A2BP1 staining nucleus in mouse skeletal muscle.
Panel D : anti-Dystrophin staining membrane in mouse skeletal muscle.
Nuclear DNA was labeled with DAPI (shown in blue).

The section was incubated in three rounds of staining : in the order of ab314660, ab254413 and ab218198 for 30 mins at room temperature. Each round was followed by a separate fluorescent tyramide signal amplification system.

The immunostaining was performed on a Leica Biosystems BOND® RX instrument with an Opal™ 4-color kit. Image acquisition was performed with Leica SP8 confocal microscope.

Heat mediated antigen retrieval with Tris-EDTA buffer (pH 9.0, epitope retrieval solution2) for 20 mins.

Multiplex immunohistochemistry - Anti-Dystrophin antibody [EPR21189] - BSA and Azide free (AB230379)
  • mIHC

Lab

Multiplex immunohistochemistry - Anti-Dystrophin antibody [EPR21189] - BSA and Azide free (AB230379)

This data was developed using ab218198 the same antibody clone in a different buffer formulation.

Multiplex immunohistochemistry analysis of formalin/PFA-fixed paraffin-embedded Mouse skeletal muscle tissue staining Nav1.5 with ab300048 at a 1/1000 (5.12 µg/ml) dilution, A2BP1 with ab254413 at 1/2000 (0.26 µg/ml) dilution and Dystrophin with ab218198 at 1/5000 ( 0.110 µg/ml) dilution.

Panel A : merged staining of anti-Nav1.5 (green; Opal™520), anti-A2BP1 (gray; Opal™570) and anti-Dystrophin (magenta; Opal™690) on mouse skeletal muscle.
Panel B : anti-Nav1.5 staining cytoplasm in mouse skeletal muscle.
Panel C : anti-A2BP1 staining nucleus in mouse skeletal muscle.
Panel D : anti-Dystrophin staining membrane in mouse skeletal muscle.
Nuclear DNA was labeled with DAPI (shown in blue).

The section was incubated in three rounds of staining : in the order of ab300048, ab254413 and ab218198 for 30 mins at room temperature. Each round was followed by a separate fluorescent tyramide signal amplification system.

The immunostaining was performed on a Leica Biosystems BOND® RX instrument with an Opal™ 4-color kit. Image acquisition was performed with Leica SP8 confocal microscope.

Heat mediated antigen retrieval with Tris-EDTA buffer (pH 9.0 epitope retrieval solution2) for 20 mins.

Western blot - Anti-Dystrophin antibody [EPR21189] - BSA and Azide free (AB230379)
  • WB

Lab

Western blot - Anti-Dystrophin antibody [EPR21189] - BSA and Azide free (AB230379)

This data was developed using the same antibody clone in a different buffer formulation containing PBS, BSA, glycerol, and sodium azide (ab218198). Blocking and diluting buffer and concentration : 5% NFDM/TBST. Exposure time : Lane 1-2 : 180 seconds; Lane 3-4 : 81 seconds. Negative control : mouse liver and rat liver. In Western blot, anti-Vinculin antibody (ab129002) staining at 1/10, 000 dilution. Samples are non-boiled as boiling may cause protein aggregation.

All lanes:

Western blot - Anti-Dystrophin antibody [EPR21189] (<a href='/en-us/products/primary-antibodies/dystrophin-antibody-epr21189-ab218198'>ab218198</a>) at 1/1000 dilution

Lane 1:

Mouse heart tissue lysate at 20 µg

Lane 2:

Mouse liver tissue lysate at 20 µg

Lane 3:

Rat heart tissue lysate at 20 µg

Lane 4:

Rat liver tissue lysate at 20 µg

Secondary

All lanes:

Western blot - Goat Anti-Rabbit IgG H&L (HRP) (<a href='/en-us/products/secondary-antibodies/goat-rabbit-igg-h-l-hrp-ab97051'>ab97051</a>) at 1/100000 dilution

Predicted band size: 427 kDa

Observed band size: 425 kDa

false

Key facts

Host species

Rabbit

Clonality

Monoclonal

Clone number

EPR21189

Isotype

IgG

Carrier free

Yes

Reacts with

Mouse, Rat

Applications

IHC-P, WB, IHC-Fr, mIHC

applications

Immunogen

The exact immunogen used to generate this antibody is proprietary information.

Reactivity data

{ "title": "Reactivity Data", "filters": { "stats": ["", "Species", "Dilution Info", "Notes"], "tabs": { "all-applications": {"fullname" : "All Applications", "shortname": "All Applications"}, "mIHC" : {"fullname" : "Multiplex immunohistochemistry", "shortname":"mIHC"}, "WB" : {"fullname" : "Western blot", "shortname":"WB"}, "IHCFr" : {"fullname" : "Immunohistochemistry (Frozen sections)", "shortname":"IHC-Fr"}, "IHCP" : {"fullname" : "Immunohistochemistry (Formalin/PFA-fixed paraffin-embedded sections)", "shortname":"IHC-P"} }, "product-promise": { "all": "all", "testedAndGuaranteed": "tested", "guaranteed": "expected", "predicted": "predicted", "notRecommended": "not-recommended" } }, "values": { "Mouse": { "mIHC-species-checked": "testedAndGuaranteed", "mIHC-species-dilution-info": "", "mIHC-species-notes": "<p></p>", "WB-species-checked": "testedAndGuaranteed", "WB-species-dilution-info": "", "WB-species-notes": "<p></p>", "IHCFr-species-checked": "guaranteed", "IHCFr-species-dilution-info": "", "IHCFr-species-notes": "", "IHCP-species-checked": "testedAndGuaranteed", "IHCP-species-dilution-info": "", "IHCP-species-notes": "<p></p>" }, "Rat": { "mIHC-species-checked": "guaranteed", "mIHC-species-dilution-info": "", "mIHC-species-notes": "", "WB-species-checked": "testedAndGuaranteed", "WB-species-dilution-info": "", "WB-species-notes": "<p></p>", "IHCFr-species-checked": "testedAndGuaranteed", "IHCFr-species-dilution-info": "", "IHCFr-species-notes": "<p></p>", "IHCP-species-checked": "guaranteed", "IHCP-species-dilution-info": "", "IHCP-species-notes": "" } } }

Product details

ab230379 is the carrier-free version of ab218198.

Conjugation ready
Our carrier-free antibodies are typically supplied in a PBS-only formulation, purified and free of BSA, sodium azide and glycerol. This conjugation-ready format is designed for use with fluorochromes, metal isotopes, oligonucleotides, and enzymes, which makes them ideal for antibody labelling, functional and cell-based assays, flow-based assays (e.g. mass cytometry) and Multiplex Imaging applications.

Use our conjugation kits for antibody conjugates that are ready-to-use in as little as 20 minutes with 1 minute hands-on-time and 100% antibody recovery: available for fluorescent dyes, HRP, biotin and gold.

Compatibility
This product is compatible with the Maxpar® Antibody Labeling Kit from Fluidigm, without the need for antibody preparation. Maxpar® is a trademark of Fluidigm Canada Inc.

Properties and storage information

Form
Liquid
Purification technique
Affinity purification Protein A
Storage buffer
pH: 7.2 - 7.4 Constituents: PBS
Shipped at conditions
Blue Ice
Appropriate short-term storage conditions
+4°C
Appropriate long-term storage conditions
+4°C
Storage information
Do Not Freeze

Supplementary information

This supplementary information is collated from multiple sources and compiled automatically.

Dystrophin also known as the DMD protein plays a mechanical role in muscle fibers by connecting the cytoskeleton of a muscle fiber to the surrounding extracellular matrix through the cell membrane. This structural connection helps reinforce the muscle fiber during contraction and mechanical stress. The protein has a molecular weight of approximately 427 kDa. It is expressed mainly in skeletal and cardiac muscles where it is important for maintaining muscle integrity.
Biological function summary

Dystrophin acts as an important component of the dystrophin-glycoprotein complex. This complex stabilizes the muscle cell membrane by linking actin filaments within the cytoskeleton to proteins in the extracellular matrix. The absence or malfunctioning of dystrophin disrupts this connection leading to increased susceptibility to damage during muscle contraction. This is especially evident in tissues where the protein is abundantly present.

Pathways

Dystrophin is integral to the structural integrity pathway in muscle cells. It works alongside proteins like dystroglycan and sarcoglycan forming a multiprotein complex that ensures cell membrane stability during muscle contractions. The proper functioning of the dystrophin complex is also linked to calcium signaling pathways highlighting its role in cellular signaling mechanisms.

Dystrophin's malfunction is directly associated with Duchenne Muscular Dystrophy (DMD) and Becker Muscular Dystrophy (BMD). Mutations in the DMD gene which encodes the dystrophin protein result in the absence or reduced functionality of the protein leading to progressive muscle degeneration observed in DMD and BMD. These disorders frequently involve the protein utrophin which sometimes compensates for the lack of functional dystrophin albeit insufficiently to alleviate the symptoms.

Product protocols

For this product, it's our understanding that no specific protocols are required. You can visit:

Target data

Anchors the extracellular matrix to the cytoskeleton via F-actin. Ligand for dystroglycan. Component of the dystrophin-associated glycoprotein complex which accumulates at the neuromuscular junction (NMJ) and at a variety of synapses in the peripheral and central nervous systems and has a structural function in stabilizing the sarcolemma. Also implicated in signaling events and synaptic transmission.
See full target information Dmd

Publications (2)

Recent publications for all applications. Explore the full list and refine your search

Cell reports. Medicine 5:101653 PubMed39019009

2024

Neddylation inhibition prevents acetaminophen-induced liver damage by enhancing the anabolic cardiolipin pathway.

Applications

Unspecified application

Species

Unspecified reactive species

Clàudia Gil-Pitarch,Marina Serrano-Maciá,Jorge Simon,Laura Mosca,Carolina Conter,Claudia M Rejano-Gordillo,L Estefanía Zapata-Pavas,Patricia Peña-Sanfélix,Mikel Azkargorta,Rubén Rodríguez-Agudo,Sofía Lachiondo-Ortega,Maria Mercado-Gómez,Teresa C Delgado,Marina Porcelli,Igor Aurrekoetxea,James D Sutherland,Rosa Barrio,Dimitris Xirodimas,Patricia Aspichueta,Felix Elortza,Luis Alfonso Martínez-Cruz,Rubén Nogueiras,Paula Iruzubieta,Javier Crespo,Steven Masson,Misti Vanette McCain,Helen L Reeves,Raul J Andrade,M Isabel Lucena,Ugo Mayor,Naroa Goikoetxea-Usandizaga,Irene González-Recio,María L Martínez-Chantar

JCI insight 5: PubMed32897880

2020

Role of defective calcium regulation in cardiorespiratory dysfunction in Huntington's disease.

Applications

Unspecified application

Species

Unspecified reactive species

Haikel Dridi,Xiaoping Liu,Qi Yuan,Steve Reiken,Mohamad Yehia,Leah Sittenfeld,Panagiota Apostolou,Julie Buron,Pierre Sicard,Stefan Matecki,Jérome Thireau,Clement Menuet,Alain Lacampagne,Andrew R Marks
View all publications

Product promise

We are committed to supporting your work with high-quality reagents, and we're here for you every step of the way. In the unlikely event that one of our products does not perform as expected, you're protected by our Product Promise.
For full details, please see our Terms & Conditions

Please note: All products are 'FOR RESEARCH USE ONLY. NOT FOR USE IN DIAGNOSTIC OR THERAPEUTIC PROCEDURES'.

For licensing inquiries, please contact partnerships@abcam.com