JavaScript is disabled in your browser. Please enable JavaScript to view this website.
AB275391

Anti-Dystrophin antibody [EPR23336-129]

  • BOND RX™ Validated
  • 20ul selling size
  • Recombinant
  • Advanced Validation
  • RabMAb
  • What is this?

Be the first to review this product! Submit a review

|

(9 Publications)

Anti-Dystrophin antibody [EPR23336-129] (ab275391) is a rabbit monoclonal antibody detecting Dystrophin in IHC-P, IHC-Fr, mIHC. Suitable for Human, Mouse, Rat.

- Multiplex IHC validated on the Leica BOND® MAX using Opal reagents
- Biophysical QC for unrivalled batch-batch consistency

View Alternative Names

Dystrophin, DMD

11 Images
Immunohistochemistry (Formalin/PFA-fixed paraffin-embedded sections) - Anti-Dystrophin antibody [EPR23336-129] (AB275391)
  • IHC-P

Unknown

Immunohistochemistry (Formalin/PFA-fixed paraffin-embedded sections) - Anti-Dystrophin antibody [EPR23336-129] (AB275391)

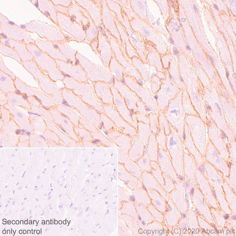
Immunohistochemical analysis of paraffin-embedded rat cardiac muscle tissue labeling Dystrophin with ab275391 at 1/500 dilution followed by a ready to use LeicaDS9800 (Bond™ Polymer Refine Detection) was used. Membranous staining on rat cardiac muscle (PMID : 24793134). The section was incubated with ab275391 for 30 mins at room temperature. The immunostaining was performed on a Leica Biosystems BOND® RX instrument.Counterstained with Hematoxylin.

Secondary antibody only control : Secondary antibody is a ready to use LeicaDS9800 (Bond™Polymer Refine Detection).

Heat mediated antigen retrieval with Tris-EDTA buffer (pH 9.0, epitope retrieval solution2) for 20 mins.

Immunohistochemistry (Formalin/PFA-fixed paraffin-embedded sections) - Anti-Dystrophin antibody [EPR23336-129] (AB275391)
  • IHC-P

Unknown

Immunohistochemistry (Formalin/PFA-fixed paraffin-embedded sections) - Anti-Dystrophin antibody [EPR23336-129] (AB275391)

Immunohistochemical analysis of paraffin-embedded human skeletal muscle tissue labeling Dystrophin with ab275391 at 1/500 dilution followed by a ready to use LeicaDS9800 (Bond™ Polymer Refine Detection) was used. Membranous staining on human skeletal muscle (PMID : 24793134). The section was incubated with ab275391 for 30 mins at room temperature. The immunostaining was performed on a Leica Biosystems BOND® RX instrument Counterstained with Hematoxylin.

Secondary antibody only control : Secondary antibody is a ready to use LeicaDS9800 (Bond™ Polymer Refine Detection).

Heat mediated antigen retrieval with Tris-EDTA buffer (pH 9.0, epitope retrieval solution2) for 20 mins.

Immunohistochemistry (Formalin/PFA-fixed paraffin-embedded sections) - Anti-Dystrophin antibody [EPR23336-129] (AB275391)
  • IHC-P

Unknown

Immunohistochemistry (Formalin/PFA-fixed paraffin-embedded sections) - Anti-Dystrophin antibody [EPR23336-129] (AB275391)

Immunohistochemical analysis of paraffin-embedded Human cardiac muscle tissue labeling Dystrophin with ab275391 at 1/500 dilution followed by a ready to use LeicaDS9800 (Bond™ Polymer Refine Detection) was used. Membranous staining on human cardiac muscle (PMID : 24793134). The section was incubated with ab275391 for 30 mins at room temperature. The immunostaining was performed on a Leica Biosystems BOND® RX instrument. Counterstained with Hematoxylin.

Secondary antibody only control : Secondary antibody is a ready to use LeicaDS9800 (Bond™ Polymer Refine Detection).

Heat mediated antigen retrieval with Tris-EDTA buffer (pH 9.0, epitope retrieval solution2) for 20 mins.

Multiplex immunohistochemistry - Anti-Dystrophin antibody [EPR23336-129] (AB275391)
  • mIHC

Lab

Multiplex immunohistochemistry - Anti-Dystrophin antibody [EPR23336-129] (AB275391)

Immunohistochemistry (Formalin/PFA-fixed paraffin-embedded sections) analysis of Human cardiac muscle labelling Cardiac Troponin T with ab307152 at 1/5000 dilution (0.102 µg/mL) (B), CTNNA3 with ab184916 at 1/2000 dilution (0.942 μg/ml) (C) and PDystrophin with ab275391 at 1/500 dilution (2.08 μg/ml) (D). Opal Polymer HRP Ms + Rb was used as a secondary antibody, and DAPI was used for a nuclear counter stain. Heat mediated antigen retrieval with Tris-EDTA buffer (pH 9.0, epitope retrieval solution2) for 20 mins. Panel A : merged staining of anti-Dystrophin (red; Opal™690), anti-Cardiac troponin T (green; Opal™520) and anti-CTNNA3 (gray; Opal™570) on human cardiac muscle. Panel B : anti-Cardiac troponin T stained on cytoplasm of cardiac muscle. Panel C : anti-CTNNA3 stained on intercalated discs. Panel D : anti-Dystrophin stained on membrane of cardiac muscle. The section was incubated in three rounds of staining : in the order of ab275391, ab307152, and ab184916 for 30 mins at room temperature. Each round was followed by a separate fluorescent tyramide signal amplification system. The immunostaining was performed on a Leica Biosystems BOND® RX instrument with an Opal™ 4-color kit. Image acquisition was performed with Leica SP8 confocal microscope.

Multiplex immunohistochemistry - Anti-Dystrophin antibody [EPR23336-129] (AB275391)
  • mIHC

Supplier Data

Multiplex immunohistochemistry - Anti-Dystrophin antibody [EPR23336-129] (AB275391)

Fluorescence multiplex immunohistochemical analysis of the human skeletal muscle (Formalin/PFA-fixed paraffin-embedded sections). Panel A : merged staining of anti-Dystrophin (ab275391, red; Opal™690), anti-A2BP1/Fox1/RBFOX1 (ab254413, green; Opal™520) and anti-Creatine Kinase MM (ab283683, magenta; Opal™570) on human skeletal muscle. Panel B : anti-A2BP1/Fox1/RBFOX1 stained on nucleus of skeletal muscle. Panel C : anti-Creatine Kinase MM stained on cytoplasm of skeletal muscle. Panel D : anti-Dystrophin stained on membrane of skeletal muscle. Opal Polymer HRP Ms + Rb was used as a secondary antibody. The section was incubated in three rounds of staining : in the order of ab275391 at 1/500 (2.08 μg/ml) dilution, ab254413 at 1/2000 (0.239 μg/ml) dilution, and ab283683 at 1/3000 (0.18 μg/ml) dilution for 30 mins at room temperature. Each round was followed by a separate fluorescent tyramide signal amplification system. DAPI (blue) was used as a nuclear counter stain. The immunostaining was performed on a Leica Biosystems BOND® RX instrument with an Opal™ 4-color kit. Image acquisition was performed with Leica SP8 confocal microscope. Heat mediated antigen retrieval with Tris-EDTA buffer (pH 9.0, epitope retrieval solution2) for 20 mins.

Immunohistochemistry (Formalin/PFA-fixed paraffin-embedded sections) - Anti-Dystrophin antibody [EPR23336-129] (AB275391)
  • IHC-P

Lab

Immunohistochemistry (Formalin/PFA-fixed paraffin-embedded sections) - Anti-Dystrophin antibody [EPR23336-129] (AB275391)

Immunohistochemical analysis of formalin fixed paraffin embedded human skeletal muscle labelling dystrophin with ab275391 at a concentration of 2µg/ml. The immunostaining was performed on a Ventana DISCOVERY ULTRA (Roche Tissue Diagnostics) instrument with a OptiView DAB IHC Detection Kit. Heat mediated antigen retrieval was performed with DISCOVERY cell conditioning solution (CC1) 100°C, pH8.5 for 32mins. ab275391 anti-Dystrophin antibody [EPR23336-129] was incubated for 16mins at 37°C. Sections were counterstained with Hematoxylin II. Image inset shows absence of staining in secondary antibody only control.

Customers are encouraged to optimise antigen retrieval conditions, antibody concentration, incubation times and temperature for best results in their own IHC assay workflow (automated and manual).

Immunohistochemistry (Formalin/PFA-fixed paraffin-embedded sections) - Anti-Dystrophin antibody [EPR23336-129] (AB275391)
  • IHC-P

Unknown

Immunohistochemistry (Formalin/PFA-fixed paraffin-embedded sections) - Anti-Dystrophin antibody [EPR23336-129] (AB275391)

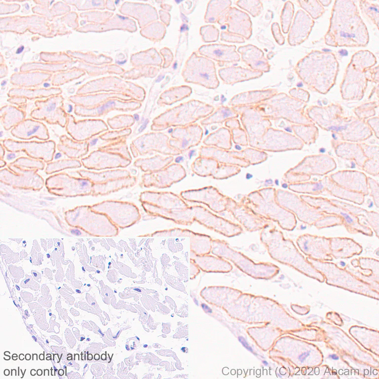
Immunohistochemical analysis of paraffin-embedded mouse cardiac muscle tissue labeling Dystrophin with ab275391 at 1/500 dilution followed by a ready to use LeicaDS9800 (Bond™ Polymer Refine Detection) was used. Positive staining on mouse cardiac muscle (PMID : 24793134). The section was incubated with ab275391 for 30 mins at room temperature. The immunostaining was performed on a Leica Biosystems BOND® RX instrument. Counterstained with Hematoxylin.

Secondary antibody only control : Secondary antibody is a ready to use LeicaDS9800 (Bond™ Polymer Refine Detection).

Heat mediated antigen retrieval with Tris-EDTA buffer (pH 9.0, epitope retrieval solution2) for 20 mins.

Immunohistochemistry (Formalin/PFA-fixed paraffin-embedded sections) - Anti-Dystrophin antibody [EPR23336-129] (AB275391)
  • IHC-P

Unknown

Immunohistochemistry (Formalin/PFA-fixed paraffin-embedded sections) - Anti-Dystrophin antibody [EPR23336-129] (AB275391)

Immunohistochemical analysis of paraffin-embedded rat skeletal muscle tissue labeling Dystrophin with ab275391 at 1/500 dilution followed by a ready to use LeicaDS9800 (Bond™ Polymer Refine Detection) was used. Membranous staining on rat skeletal muscle (PMID : 24793134). The section was incubated with ab275391 for 30 mins at room temperature. The immunostaining was performed on a Leica Biosystems BOND® RX instrument. Counterstained with Hematoxylin.

Secondary antibody only control : Secondary antibody is a ready to use LeicaDS9800 (Bond™ Polymer Refine Detection) was used.

Heat mediated antigen retrieval with Tris-EDTA buffer (pH 9.0, epitope retrieval solution2) for 20 mins.

Immunohistochemistry (Frozen sections) - Anti-Dystrophin antibody [EPR23336-129] (AB275391)
  • IHC-Fr

Unknown

Immunohistochemistry (Frozen sections) - Anti-Dystrophin antibody [EPR23336-129] (AB275391)

Immunohistochemical analysis of 4% PFA-fixed, 0.2% Triton X-100 permeabilized frozen rat retina tissue labeling Dystrophin with ab275391 at 1/100 dilution followed by ab150077 Goat Anti-Rabbit IgG H&L (Alexa Fluor® 488) at 1/1000 dilution (Green). Positive staining on rat retina. The nuclear counterstain was DAPI (Blue).

Secondary antibody control : Secondary antibody is ab150077 Goat Anti-Rabbit IgG H&L (Alexa Fluor®488)at 1/1000 dilution.

Heat mediated antigen retrieval using sodium citrate buffer (10mM citrate pH 6.0 + 0.05% Tween-20).

Immunohistochemistry (Formalin/PFA-fixed paraffin-embedded sections) - Anti-Dystrophin antibody [EPR23336-129] (AB275391)
  • IHC-P

Unknown

Immunohistochemistry (Formalin/PFA-fixed paraffin-embedded sections) - Anti-Dystrophin antibody [EPR23336-129] (AB275391)

Immunohistochemical analysis of paraffin-embedded mouse skeletal muscle tissue labeling Dystrophin with ab275391 at 1/500 dilution followed by a ready to use LeicaDS9800 (Bond™ Polymer Refine Detection) was used. Membranous staining on mouse skeletal muscle (PMID : 24793134). The section was incubated with ab275391 for 30 mins at room temperature. The immunostaining was performed on a Leica Biosystems BOND® RX. instrument Counterstained with Hematoxylin.

Secondary antibody only control : Secondary antibody is a ready to use LeicaDS9800 (Bond™Polymer Refine Detection) was used.

Heat mediated antigen retrieval with Tris-EDTA buffer (pH 9.0, epitope retrieval solution2) for 20 mins.

Immunohistochemistry (Frozen sections) - Anti-Dystrophin antibody [EPR23336-129] (AB275391)
  • IHC-Fr

Unknown

Immunohistochemistry (Frozen sections) - Anti-Dystrophin antibody [EPR23336-129] (AB275391)

Immunohistochemical analysis of 4% PFA-fixed, 0.2% Triton X-100 permeabilized frozen mouse retina tissue labeling Dystrophin with ab275391 at 1/100 (5.61 ug/ml) dilution followed by ab150077 Goat Anti-Rabbit IgG H&L (Alexa Fluor®488) at 1/1000 dilution (Green). Positive staining on mouse retina. The nuclear counterstain was DAPI (Blue).

Secondary antibody control : Secondary antibody is ab150077 Goat Anti-Rabbit IgG H&L (Alexa Fluor®488)at 1/1000 dilution.

Heat mediated antigen retrieval using sodium citrate buffer (10mM citrate pH 6.0 + 0.05% Tween-20).

  • 665 Alexa Fluor® 647

    Alexa Fluor® 647 Anti-Dystrophin antibody [EPR23336-129]

  • Carrier free

    Anti-Dystrophin antibody [EPR23336-129] - BSA and Azide free

Key facts

Host species

Rabbit

Clonality

Monoclonal

Clone number

EPR23336-129

Isotype

IgG

Carrier free

No

Reacts with

Mouse, Rat, Human

Applications

IHC-Fr, mIHC, IHC-P

applications

Immunogen

The exact immunogen used to generate this antibody is proprietary information.

Reactivity data

{ "title": "Reactivity Data", "filters": { "stats": ["", "Species", "Dilution Info", "Notes"], "tabs": { "all-applications": {"fullname" : "All Applications", "shortname": "All Applications"}, "mIHC" : {"fullname" : "Multiplex immunohistochemistry", "shortname":"mIHC"}, "ICCIF" : {"fullname" : "Immunocytochemistry/ Immunofluorescence", "shortname":"ICC/IF"}, "IP" : {"fullname" : "Immunoprecipitation", "shortname":"IP"}, "WB" : {"fullname" : "Western blot", "shortname":"WB"}, "IHCFr" : {"fullname" : "Immunohistochemistry (Frozen sections)", "shortname":"IHC-Fr"}, "IHCP" : {"fullname" : "Immunohistochemistry (Formalin/PFA-fixed paraffin-embedded sections)", "shortname":"IHC-P"} }, "product-promise": { "all": "all", "testedAndGuaranteed": "tested", "guaranteed": "expected", "predicted": "predicted", "notRecommended": "not-recommended" } }, "values": { "Human": { "mIHC-species-checked": "testedAndGuaranteed", "mIHC-species-dilution-info": "2.08 µg/mL", "mIHC-species-notes": "<p></p> Perform heat-mediated antigen retrieval with Tris/EDTA buffer pH 9.0 before commencing with IHC staining protocol.", "ICCIF-species-checked": "notRecommended", "ICCIF-species-dilution-info": "", "ICCIF-species-notes": "<p></p>", "IP-species-checked": "notRecommended", "IP-species-dilution-info": "", "IP-species-notes": "<p></p>", "WB-species-checked": "notRecommended", "WB-species-dilution-info": "", "WB-species-notes": "<p></p>", "IHCFr-species-checked": "guaranteed", "IHCFr-species-dilution-info": "", "IHCFr-species-notes": "", "IHCP-species-checked": "testedAndGuaranteed", "IHCP-species-dilution-info": "1/500", "IHCP-species-notes": "<p></p> Perform heat-mediated antigen retrieval with Tris/EDTA buffer pH 9.0 before commencing with IHC staining protocol." }, "Mouse": { "mIHC-species-checked": "guaranteed", "mIHC-species-dilution-info": "", "mIHC-species-notes": "", "ICCIF-species-checked": "notRecommended", "ICCIF-species-dilution-info": "", "ICCIF-species-notes": "<p></p>", "IP-species-checked": "notRecommended", "IP-species-dilution-info": "", "IP-species-notes": "<p></p>", "WB-species-checked": "notRecommended", "WB-species-dilution-info": "", "WB-species-notes": "<p></p>", "IHCFr-species-checked": "testedAndGuaranteed", "IHCFr-species-dilution-info": "1/100", "IHCFr-species-notes": "<p>Heat mediated antigen retrieval using sodium citrate buffer (10mM citrate pH 6.0 + 0.05% Tween-20).</p>", "IHCP-species-checked": "testedAndGuaranteed", "IHCP-species-dilution-info": "1/500", "IHCP-species-notes": "<p></p> Perform heat-mediated antigen retrieval with Tris/EDTA buffer pH 9.0 before commencing with IHC staining protocol." }, "Rat": { "mIHC-species-checked": "guaranteed", "mIHC-species-dilution-info": "", "mIHC-species-notes": "", "ICCIF-species-checked": "notRecommended", "ICCIF-species-dilution-info": "", "ICCIF-species-notes": "<p></p>", "IP-species-checked": "notRecommended", "IP-species-dilution-info": "", "IP-species-notes": "<p></p>", "WB-species-checked": "notRecommended", "WB-species-dilution-info": "", "WB-species-notes": "<p></p>", "IHCFr-species-checked": "testedAndGuaranteed", "IHCFr-species-dilution-info": "1/100", "IHCFr-species-notes": "<p>Heat mediated antigen retrieval using sodium citrate buffer (10mM citrate pH 6.0 + 0.05% Tween-20).</p>", "IHCP-species-checked": "testedAndGuaranteed", "IHCP-species-dilution-info": "1/500", "IHCP-species-notes": "<p></p> Perform heat-mediated antigen retrieval with Tris/EDTA buffer pH 9.0 before commencing with IHC staining protocol." } } }

Product details

Product Specifications
Anti-Dystrophin antibody [EPR23336-129] (ab275391) is a rabbit recombinant monoclonal antibody and is validated for use in IHC-Fr, IHC-P, mIHC in human, mouse and rat samples.
Anti-Dystrophin antibody [EPR23336-129] (ab275391) specifically detects Dystrophin (UniProt ID: P11532; Molecular weight: 427kDa) and is sold in a convenient trial size to enable initial testing (20µL) and larger sizes for subsequent scaling up experiments (100 µL and 1 mL).

Quality and Validation
Abcam's high quality manufacturing and validation processes ensure Anti-Dystrophin antibody [EPR23336-129] (ab275391) has high sensitivity and specificity alongside high lot-to-lot consistency and reproducibility.

Related Products
Conjugation-ready, carrier free format available for antibody clone EPR23336-129 - ab275395.
Antibody clone EPR23336-129 is also available pre-conjugated to a variety of labels for your convenience - Alexa Fluor® 647 (ab282171).

Patented technology
Our RabMAb® technology is a patented hybridoma-based technology for making rabbit monoclonal antibodies. For details on our patents, please refer to RabMAb® patents.

What are the advantages of a recombinant monoclonal antibody?
This product is a recombinant monoclonal antibody, which offers several advantages including:

  • - High batch-to-batch consistency and reproducibility
  • - Improved sensitivity and specificity
  • - Long-term security of supply
  • - Animal-free batch production

For more information, read more on recombinant antibodies.

Properties and storage information

Form
Liquid
Purification technique
Affinity purification Protein A
Storage buffer
Preservative: 0.01% Sodium azide Constituents: 59.94% PBS, 40% Glycerol (glycerin, glycerine), 0.05% BSA
Shipped at conditions
Blue Ice
Appropriate short-term storage duration
1-2 weeks
Appropriate short-term storage conditions
+4°C
Appropriate long-term storage conditions
-20°C
Aliquoting information
Upon delivery aliquot
Storage information
Avoid freeze / thaw cycle

Supplementary information

This supplementary information is collated from multiple sources and compiled automatically.

Dystrophin also known as the DMD protein plays a mechanical role in muscle fibers by connecting the cytoskeleton of a muscle fiber to the surrounding extracellular matrix through the cell membrane. This structural connection helps reinforce the muscle fiber during contraction and mechanical stress. The protein has a molecular weight of approximately 427 kDa. It is expressed mainly in skeletal and cardiac muscles where it is important for maintaining muscle integrity.
Biological function summary

Dystrophin acts as an important component of the dystrophin-glycoprotein complex. This complex stabilizes the muscle cell membrane by linking actin filaments within the cytoskeleton to proteins in the extracellular matrix. The absence or malfunctioning of dystrophin disrupts this connection leading to increased susceptibility to damage during muscle contraction. This is especially evident in tissues where the protein is abundantly present.

Pathways

Dystrophin is integral to the structural integrity pathway in muscle cells. It works alongside proteins like dystroglycan and sarcoglycan forming a multiprotein complex that ensures cell membrane stability during muscle contractions. The proper functioning of the dystrophin complex is also linked to calcium signaling pathways highlighting its role in cellular signaling mechanisms.

Dystrophin's malfunction is directly associated with Duchenne Muscular Dystrophy (DMD) and Becker Muscular Dystrophy (BMD). Mutations in the DMD gene which encodes the dystrophin protein result in the absence or reduced functionality of the protein leading to progressive muscle degeneration observed in DMD and BMD. These disorders frequently involve the protein utrophin which sometimes compensates for the lack of functional dystrophin albeit insufficiently to alleviate the symptoms.

Product protocols

For this product, it's our understanding that no specific protocols are required. You can visit:

Target data

Anchors the extracellular matrix to the cytoskeleton via F-actin. Ligand for dystroglycan. Component of the dystrophin-associated glycoprotein complex which accumulates at the neuromuscular junction (NMJ) and at a variety of synapses in the peripheral and central nervous systems and has a structural function in stabilizing the sarcolemma. Also implicated in signaling events and synaptic transmission.
See full target information DMD

Publications (9)

Recent publications for all applications. Explore the full list and refine your search

Communications biology 8:1435 PubMed41057641

2025

Hippocampal CaMKII-α β-hydroxybutyrylation induces memory deficits in mice with type 1 diabetes mellitus.

Applications

Unspecified application

Species

Unspecified reactive species

Hongchun Li,Rong Chen,Hongbo Wang,Jingwei Tian,Yinglan Zhao,Xiaobo Cen

Cells 14: PubMed40072107

2025

Regulates Muscle Growth and Development by Targeting .

Applications

Unspecified application

Species

Unspecified reactive species

Yuting Wu,Xiao Liu,Yonghui Fan,Hao Zuo,Xiaoyu Niu,Bo Zuo,Zaiyan Xu

Molecular biomedicine 5:31 PubMed39117956

2024

Inhibition of Sesn2 has negative regulatory effects on the myogenic differentiation of C2C12 myoblasts.

Applications

Unspecified application

Species

Unspecified reactive species

Zubiao Song,Qing Lin,Jiahui Liang,Weixi Zhang

Experimental and therapeutic medicine 27:97 PubMed38356676

2024

Identification and functional characterization of a novel heterozygous splice‑site mutation in the calpain 3 gene causes rare autosomal dominant limb‑girdle muscular dystrophy.

Applications

Unspecified application

Species

Unspecified reactive species

Bin Mao,Jie Yang,Xiaodong Zhao,Xueling Jia,Xin Shi,Lihui Zhao,Santasree Banerjee,Lili Zhang,Xiaoling Ma

MedComm 5:e423 PubMed38188603

2024

Duchenne muscular dystrophy treatment with lentiviral vector containing mini-dystrophin gene in vivo.

Applications

Unspecified application

Species

Unspecified reactive species

Xiaoyu Wang,Yanghui Zhu,Taiqing Liu,Lingyan Zhou,Yunhai Fu,Jinhua Zhao,Yinqi Li,Yeteng Zheng,Xiaodong Yang,Xiangjie Di,Yang Yang,Zhiyao He

Scientific reports 13:22201 PubMed38097709

2023

A non-invasive mouse model that recapitulates disuse-induced muscle atrophy in immobilized patients.

Applications

Unspecified application

Species

Unspecified reactive species

Kun-Chang Wu,Hsiang-Wen Lin,Po-Chen Chu,Chia-Ing Li,Hsiang-Han Kao,Chih-Hsueh Lin,Yu-Jung Cheng

Cellular and molecular life sciences : CMLS 80:27 PubMed36602641

2023

FHL3 promotes the formation of fast glycolytic muscle fibers by interacting with YY1 and muscle glycolytic metabolism.

Applications

Unspecified application

Species

Unspecified reactive species

Wei Bai,Yunxia Zhang,Jun Ma,Mengmeng Du,Haiyang Xu,Jian Wang,Lu Zhang,Wentao Li,Yunqing Hou,Xiaomeng Liu,Xinyue Zhang,Yaxin Peng,Jianan Li,Xizhen Zhan,Wei Jiang,Shengsi Liu,Xiao Liu,Qinying Li,Yang Miao,Mengru Sui,Yuhan Yang,Shenghao Zhang,Zaiyan Xu,Bo Zuo

Foods (Basel, Switzerland) 11: PubMed35954013

2022

Shrinkage Properties and Their Relationship with Degradation of Proteins Linking the Endomysium and Myofibril in Lamb Meat Submitted to Heating or Air Drying.

Applications

Unspecified application

Species

Unspecified reactive species

Weili Rao,Zhenxiao Shi,Sijia Liu,Ying Shu,Xiaoyu Chai,Zhisheng Zhang

Journal of cachexia, sarcopenia and muscle 13:2073-2087 PubMed35718751

2022

Development of a traditional Chinese medicine-based agent for the treatment of cancer cachexia.

Applications

Unspecified application

Species

Unspecified reactive species

Kun-Chang Wu,Po-Chen Chu,Yu-Jung Cheng,Chia-Ing Li,Jingkui Tian,Hsing-Yu Wu,Szu-Hsien Wu,Yi-Chun Lai,Hsiang-Han Kao,Ao-Lin Hsu,Hsiang-Wen Lin,Chih-Hsueh Lin
View all publications

Product promise

We are committed to supporting your work with high-quality reagents, and we're here for you every step of the way. In the unlikely event that one of our products does not perform as expected, you're protected by our Product Promise.
For full details, please see our Terms & Conditions

Please note: All products are 'FOR RESEARCH USE ONLY. NOT FOR USE IN DIAGNOSTIC OR THERAPEUTIC PROCEDURES'.

For licensing inquiries, please contact partnerships@abcam.com