JavaScript is disabled in your browser. Please enable JavaScript to view this website.
AB315103

Anti-Dystrophin antibody [RM1069] - BSA and Azide free

Be the first to review this product! Submit a review

|

(0 Publication)

Rabbit Recombinant Multiclonal Dystrophin antibody. Carrier free. Suitable for WB, IP, IHC-P, IHC-Fr and reacts with Mouse, Rat, Human samples.

View Alternative Names

Dystrophin, DMD

12 Images
Immunohistochemistry (Formalin/PFA-fixed paraffin-embedded sections) - Anti-Dystrophin antibody [RM1069] - BSA and Azide free (AB315103)
  • IHC-P

Supplier Data

Immunohistochemistry (Formalin/PFA-fixed paraffin-embedded sections) - Anti-Dystrophin antibody [RM1069] - BSA and Azide free (AB315103)

This data was developed using ab315102, the same antibody clone in a different buffer formulation.

Immunohistochemical analysis of paraffin-embedded Human cardiac muscle tissue labeling Dystrophin with ab315102 at 1/200 (2.52 ug/ml) dilution, followed by a ready to use LeicaDS9800 (Bond™ Polymer Refine Detection).

Membrane staining on human cardiac muscle. The section was incubated with ab315102 for 30 mins at room temperature. The immunostaining was performed on a Leica Biosystems BOND® RX instrument Counterstained with Hematoxylin.

Secondary antibody only control : Secondary antibody is a ready to use LeicaDS9800 (Bond™ Polymer Refine Detection).

Heat mediated antigen retrieval was performed with Citrate buffer (pH 6.0, Epitope Retrieval Solution 1) for 20 mins

Immunohistochemistry (Frozen sections) - Anti-Dystrophin antibody [RM1069] - BSA and Azide free (AB315103)
  • IHC-Fr

Supplier Data

Immunohistochemistry (Frozen sections) - Anti-Dystrophin antibody [RM1069] - BSA and Azide free (AB315103)

This data was developed using ab315102, the same antibody clone in a different buffer formulation.

Immunohistochemical analysis of 4% PFA-fixed, 0.2% Triton X-100 permeabilized frozen Rat liver (fresh) tissue labeling Dystrophin with ab315102 at 1/100 (5.04 ug/ml) dilution followed by ab150081 Goat Anti-Rabbit IgG H&L (Alexa Fluor® 488) preadsorbed at 1/1000 (2 ug/ml) dilution (Green).

Low expression : confocal image showing no staining on rat liver (PMID : 9419360). The nuclear counterstain was DAPI (Blue). The section was incubated with ab315102 for 60 mins at room temperature. The section was then mounted using Fluoromount®.The immunostaining was performed on a Leica Biosystems BOND® RX instrument. Image was taken with a confocal microscope (Leica-Microsystems, TCS SP8).The nuclear counterstain was DAPI (Blue).

Secondary antibody control : Secondary antibody is ab150081 Goat Anti-Rabbit IgG H&L (Alexa Fluor® 488) preadsorbed at 1/1000 (2 ug/ml) dilution.

Immunohistochemistry (Formalin/PFA-fixed paraffin-embedded sections) - Anti-Dystrophin antibody [RM1069] - BSA and Azide free (AB315103)
  • IHC-P

Supplier Data

Immunohistochemistry (Formalin/PFA-fixed paraffin-embedded sections) - Anti-Dystrophin antibody [RM1069] - BSA and Azide free (AB315103)

This data was developed using ab315102, the same antibody clone in a different buffer formulation.

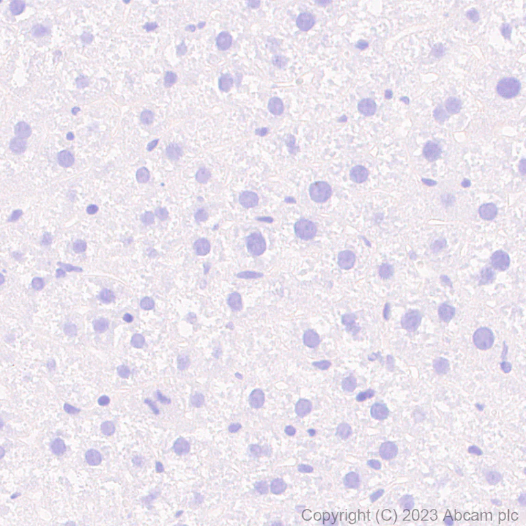
Immunohistochemical analysis of paraffin-embedded Mouse liver tissue labeling Dystrophin with ab315102 at 1/5000 (0.101 ug/ml) dilution, followed by a ready to use LeicaDS9800 (Bond™ Polymer Refine Detection).

Negative control : no staining on mouse liver. The section was incubated with ab315102 for 30 mins at room temperature. The immunostaining was performed on a Leica Biosystems BOND® RX instrument Counterstained with Hematoxylin.

Secondary antibody only control : Secondary antibody is a ready to use LeicaDS9800 (Bond™ Polymer Refine Detection).

Heat mediated antigen retrieval was performed with Citrate buffer (pH 6.0, Epitope Retrieval Solution 1) for 20 mins

Immunohistochemistry (Formalin/PFA-fixed paraffin-embedded sections) - Anti-Dystrophin antibody [RM1069] - BSA and Azide free (AB315103)
  • IHC-P

Supplier Data

Immunohistochemistry (Formalin/PFA-fixed paraffin-embedded sections) - Anti-Dystrophin antibody [RM1069] - BSA and Azide free (AB315103)

This data was developed using ab315102, the same antibody clone in a different buffer formulation.

Immunohistochemical analysis of paraffin-embedded Mouse cardiac muscle tissue labeling Dystrophin with ab315102 at 1/5000 (0.101 ug/ml) dilution, followed by a ready to use LeicaDS9800 (Bond™ Polymer Refine Detection).

Membrane staining on mouse cardiac muscle. The section was incubated with ab315102 for 30 mins at room temperature. The immunostaining was performed on a Leica Biosystems BOND® RX instrument Counterstained with Hematoxylin.

Secondary antibody only control : Secondary antibody is a ready to use LeicaDS9800 (Bond™ Polymer Refine Detection).

Heat mediated antigen retrieval was performed with Citrate buffer (pH 6.0, Epitope Retrieval Solution 1) for 20 mins

Immunohistochemistry (Formalin/PFA-fixed paraffin-embedded sections) - Anti-Dystrophin antibody [RM1069] - BSA and Azide free (AB315103)
  • IHC-P

Supplier Data

Immunohistochemistry (Formalin/PFA-fixed paraffin-embedded sections) - Anti-Dystrophin antibody [RM1069] - BSA and Azide free (AB315103)

This data was developed using ab315102, the same antibody clone in a different buffer formulation.

Immunohistochemical analysis of paraffin-embedded Rat cardiac muscle tissue labeling Dystrophin with ab315102 at 1/5000 (0.101 ug/ml) dilution, followed by a ready to use LeicaDS9800 (Bond™ Polymer Refine Detection).

Membrane staining on rat cardiac muscle. The section was incubated with ab315102 for 30 mins at room temperature. The immunostaining was performed on a Leica Biosystems BOND® RX instrument Counterstained with Hematoxylin.

Secondary antibody only control : Secondary antibody is a ready to use LeicaDS9800 (Bond™ Polymer Refine Detection).

Heat mediated antigen retrieval was performed with Citrate buffer (pH 6.0, Epitope Retrieval Solution 1) for 20 mins

Immunohistochemistry (Frozen sections) - Anti-Dystrophin antibody [RM1069] - BSA and Azide free (AB315103)
  • IHC-Fr

Supplier Data

Immunohistochemistry (Frozen sections) - Anti-Dystrophin antibody [RM1069] - BSA and Azide free (AB315103)

This data was developed using ab315102, the same antibody clone in a different buffer formulation.

Immunohistochemical analysis of 4% PFA-fixed, 0.2% Triton X-100 permeabilized frozen Rat cardiac muscle (fresh) tissue labeling Dystrophin with ab315102 at 1/100 (5.04 ug/ml) dilution followed by ab150081 Goat Anti-Rabbit IgG H&L (Alexa Fluor® 488) preadsorbed at 1/1000 (2 ug/ml) dilution (Green).

Confocal image showing positive staining on rat cardiac muscle. The nuclear counterstain was DAPI (Blue). The section was incubated with ab315102 for 60 mins at room temperature. The section was then mounted using Fluoromount®.The immunostaining was performed on a Leica Biosystems BOND® RX instrument. Image was taken with a confocal microscope (Leica-Microsystems, TCS SP8).The nuclear counterstain was DAPI (Blue).

Secondary antibody control : Secondary antibody is ab150081 Goat Anti-Rabbit IgG H&L (Alexa Fluor® 488) preadsorbed at 1/1000 (2 ug/ml) dilution.

Immunohistochemistry (Frozen sections) - Anti-Dystrophin antibody [RM1069] - BSA and Azide free (AB315103)
  • IHC-Fr

Supplier Data

Immunohistochemistry (Frozen sections) - Anti-Dystrophin antibody [RM1069] - BSA and Azide free (AB315103)

This data was developed using ab315102, the same antibody clone in a different buffer formulation.

Immunohistochemical analysis of 4% PFA-fixed, 0.2% Triton X-100 permeabilized frozen Mouse cardiac muscle (fresh) tissue labeling Dystrophin with ab315102 at 1/100 (5.04 ug/ml) dilution followed by ab150081 Goat Anti-Rabbit IgG H&L (Alexa Fluor® 488) preadsorbed at 1/1000 (2 ug/ml) dilution (Green).

Confocal image showing positive staining on mouse cardiac muscle. The nuclear counterstain was DAPI (Blue). The section was incubated with ab315102 for 60 mins at room temperature. The section was then mounted using Fluoromount®.The immunostaining was performed on a Leica Biosystems BOND® RX instrument. Image was taken with a confocal microscope (Leica-Microsystems, TCS SP8).The nuclear counterstain was DAPI (Blue).

Secondary antibody control : Secondary antibody is ab150081 Goat Anti-Rabbit IgG H&L (Alexa Fluor® 488) preadsorbed at 1/1000 (2 ug/ml) dilution.

Immunohistochemistry (Frozen sections) - Anti-Dystrophin antibody [RM1069] - BSA and Azide free (AB315103)
  • IHC-Fr

Supplier Data

Immunohistochemistry (Frozen sections) - Anti-Dystrophin antibody [RM1069] - BSA and Azide free (AB315103)

This data was developed using ab315102, the same antibody clone in a different buffer formulation.

Immunohistochemical analysis of 4% PFA-fixed, 0.2% Triton X-100 permeabilized frozen Mouse liver (fresh) tissue labeling Dystrophin with ab315102 at 1/100 (5.04 ug/ml) dilution followed by ab150081 Goat Anti-Rabbit IgG H&L (Alexa Fluor® 488) preadsorbed at 1/1000 (2 ug/ml) dilution (Green).

Low expression : confocal image showing no staining on mouse liver (PMID : 9419360). The nuclear counterstain was DAPI (Blue). The section was incubated with ab315102 for 60 mins at room temperature. The section was then mounted using Fluoromount®.The immunostaining was performed on a Leica Biosystems BOND® RX instrument. Image was taken with a confocal microscope (Leica-Microsystems, TCS SP8).The nuclear counterstain was DAPI (Blue).

Secondary antibody control : Secondary antibody is ab150081 Goat Anti-Rabbit IgG H&L (Alexa Fluor® 488) preadsorbed at 1/1000 (2 ug/ml) dilution.

Immunoprecipitation - Anti-Dystrophin antibody [RM1069] - BSA and Azide free (AB315103)
  • IP

Supplier Data

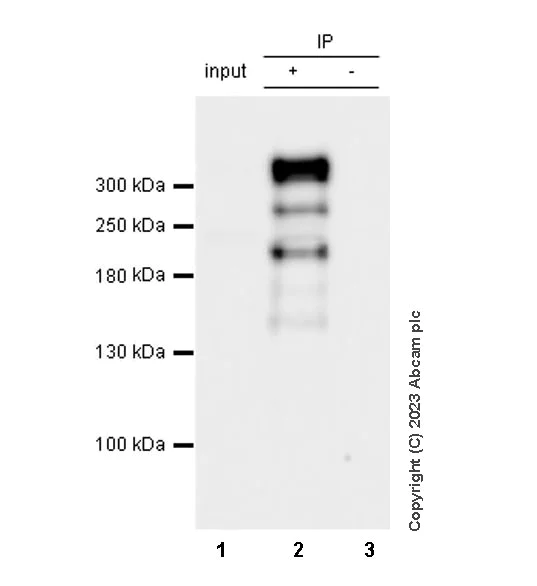
Immunoprecipitation - Anti-Dystrophin antibody [RM1069] - BSA and Azide free (AB315103)

This data was developed using ab315102, the same antibody clone in a different buffer formulation.

Dystrophin was immunoprecipitated from 0.35 mg Rat skeletal muscle tissue lysate with ab315102 at 1/30 dilution (2ug in 0.35mg lysates). Western blot was performed on the immunoprecipitate using ab315102 at 1/1000 dilution. VeriBlot for IP secondary antibody(HRP)(ab131366) was used at 1/5000 dilution.

Lane 1 : Rat skeletal muscle tissue lysate

Lane 2 : ab315102 IP in Rat skeletal muscle tissue lysate

Lane 3 : Rabbit monoclonal IgG (ab172730) instead of ab315102 in rat skeletal muscle tissue lysate

Blocking and dilution buffer and concentration : 5% NFDM/TBST.

All lanes:

Immunoprecipitation - Anti-Dystrophin antibody [RM1069] (<a href='/en-us/products/primary-antibodies/dystrophin-antibody-rm1069-ab315102'>ab315102</a>) at 1/30 dilution

All lanes:

Rat skeletal muscle tissue lysate

Secondary

All lanes:

Immunoprecipitation - VeriBlot for IP Detection Reagent (HRP) (<a href='/en-us/products/reagents/veriblot-for-ip-detection-reagent-hrp-ab131366'>ab131366</a>) at 1/5000 dilution

false

Exposure time: 15s

Immunoprecipitation - Anti-Dystrophin antibody [RM1069] - BSA and Azide free (AB315103)
  • IP

Supplier Data

Immunoprecipitation - Anti-Dystrophin antibody [RM1069] - BSA and Azide free (AB315103)

This data was developed using ab315102, the same antibody clone in a different buffer formulation.

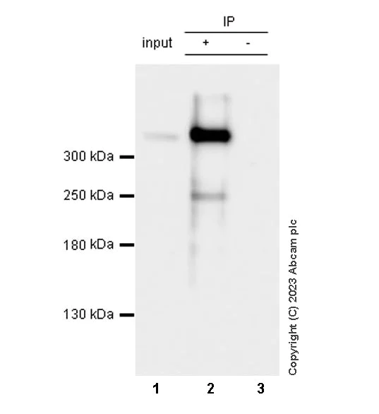
Dystrophin was immunoprecipitated from 0.35 mg Mouse heart tissue lysate with ab315102 at 1/30 dilution (2ug in 0.35mg lysates). Western blot was performed on the immunoprecipitate using ab315102 at 1/1000 dilution. VeriBlot for IP secondary antibody(HRP)(ab131366) was used at 1/5000 dilution.

Lane 1 : Mouse heart tissue lysate

Lane 2 : ab315102 IP in Mouse heart tissue lysate

Lane 3 : Rabbit monoclonal IgG (ab172730) instead of ab315102 in mouse heart tissue lysate

Blocking and dilution buffer and concentration : 5% NFDM/TBST.

All lanes:

Immunoprecipitation - Anti-Dystrophin antibody [RM1069] (<a href='/en-us/products/primary-antibodies/dystrophin-antibody-rm1069-ab315102'>ab315102</a>) at 1/30 dilution

All lanes:

Mouse heart tissue lysate

Secondary

All lanes:

Immunoprecipitation - VeriBlot for IP Detection Reagent (HRP) (<a href='/en-us/products/reagents/veriblot-for-ip-detection-reagent-hrp-ab131366'>ab131366</a>) at 1/5000 dilution

false

Exposure time: 15s

Western blot - Anti-Dystrophin antibody [RM1069] - BSA and Azide free (AB315103)
  • WB

Supplier Data

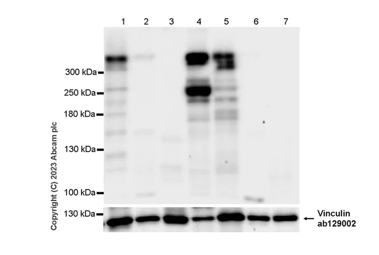
Western blot - Anti-Dystrophin antibody [RM1069] - BSA and Azide free (AB315103)

This data was developed using ab315102, the same antibody clone in a different buffer formulation.

Blocking and diluting buffer and concentration : 5% NFDM/TBST.

Low expression : liver (PMID : 1319059).

The molecular weight observed is consistent with what have been described in literature (PMID : 7633443, 9224291, 10675908).

Other weak immunoreactive bands may indicate degradation products (PMID : 9224291).

Samples are non-boiled as boiling may cause protein aggregation.

In Western blot, Anti-Vinculin antibody [EPR8185] (ab129002) staining at 1/10000 dilution.

All lanes:

Western blot - Anti-Dystrophin antibody [RM1069] (<a href='/en-us/products/primary-antibodies/dystrophin-antibody-rm1069-ab315102'>ab315102</a>) at 1/1000 dilution

Lane 1:

Human skeletal muscle tissue lysate at 20 µg

Lane 2:

Human liver tissue lysate at 20 µg

Secondary

All lanes:

Western blot - Goat Anti-Rabbit IgG H&L (HRP) (<a href='/en-us/products/secondary-antibodies/goat-rabbit-igg-h-l-hrp-ab97051'>ab97051</a>) at 1/100000 dilution

Observed band size: 260 kDa,420 kDa,124 kDa

true

Exposure time: 70s

Western blot - Anti-Dystrophin antibody [RM1069] - BSA and Azide free (AB315103)
  • WB

Supplier Data

Western blot - Anti-Dystrophin antibody [RM1069] - BSA and Azide free (AB315103)

This data was developed using ab315102, the same antibody clone in a different buffer formulation.

Blocking and diluting buffer and concentration : 5% NFDM/TBST.

Low expression : liver and kidney (PMID : 1319059).

The molecular weight observed is consistent with what have been described in literature (PMID : 7633443, 9224291, 10675908).

Other weak immunoreactive bands may indicate degradation products (PMID : 9224291).

Samples are non-boiled as boiling may cause protein aggregation.

In Western blot, Anti-Vinculin antibody [EPR8185] (ab129002) staining at 1/10000 dilution.

All lanes:

Western blot - Anti-Dystrophin antibody [RM1069] (<a href='/en-us/products/primary-antibodies/dystrophin-antibody-rm1069-ab315102'>ab315102</a>) at 1/1000 dilution

Lane 1:

Mouse skeletal muscle tissue lysate at 20 µg

Lane 2:

Mouse liver tissue lysate at 20 µg

Lane 3:

Mouse kidney tissue lysate at 20 µg

Lane 4:

Rat skeletal muscle tissue lysate at 20 µg

Lane 5:

Rat heart tissue lysate at 20 µg

Lane 6:

Rat liver tissue lysate at 20 µg

Lane 7:

Rat kidney tissue lysate at 20 µg

Secondary

All lanes:

Western blot - Goat Anti-Rabbit IgG H&L (HRP) (<a href='/en-us/products/secondary-antibodies/goat-rabbit-igg-h-l-hrp-ab97051'>ab97051</a>) at 1/100000 dilution

Observed band size: 420 kDa,260 kDa,124 kDa

true

Exposure time: 15s

Key facts

Host species

Rabbit

Clonality

Multiclonal

Clone number

RM1069

Isotype

IgG

Carrier free

Yes

Reacts with

Mouse, Rat, Human

Applications

IHC-P, WB, IP, IHC-Fr

applications

Immunogen

The exact immunogen used to generate this antibody is proprietary information.

Reactivity data

{ "title": "Reactivity Data", "filters": { "stats": ["", "Species", "Dilution Info", "Notes"], "tabs": { "all-applications": {"fullname" : "All Applications", "shortname": "All Applications"}, "WB" : {"fullname" : "Western blot", "shortname":"WB"}, "IP" : {"fullname" : "Immunoprecipitation", "shortname":"IP"}, "IHCP" : {"fullname" : "Immunohistochemistry (Formalin/PFA-fixed paraffin-embedded sections)", "shortname":"IHC-P"}, "IHCFr" : {"fullname" : "Immunohistochemistry (Frozen sections)", "shortname":"IHC-Fr"}, "ICCIF" : {"fullname" : "Immunocytochemistry/ Immunofluorescence", "shortname":"ICC/IF"} }, "product-promise": { "all": "all", "testedAndGuaranteed": "tested", "guaranteed": "expected", "predicted": "predicted", "notRecommended": "not-recommended" } }, "values": { "Human": { "WB-species-checked": "testedAndGuaranteed", "WB-species-dilution-info": "", "WB-species-notes": "<p></p>", "IP-species-checked": "guaranteed", "IP-species-dilution-info": "", "IP-species-notes": "", "IHCP-species-checked": "testedAndGuaranteed", "IHCP-species-dilution-info": "", "IHCP-species-notes": "<p></p>", "IHCFr-species-checked": "guaranteed", "IHCFr-species-dilution-info": "", "IHCFr-species-notes": "", "ICCIF-species-checked": "notRecommended", "ICCIF-species-dilution-info": "", "ICCIF-species-notes": "<p></p>" }, "Mouse": { "WB-species-checked": "testedAndGuaranteed", "WB-species-dilution-info": "", "WB-species-notes": "<p></p>", "IP-species-checked": "testedAndGuaranteed", "IP-species-dilution-info": "", "IP-species-notes": "<p></p>", "IHCP-species-checked": "testedAndGuaranteed", "IHCP-species-dilution-info": "", "IHCP-species-notes": "<p></p>", "IHCFr-species-checked": "testedAndGuaranteed", "IHCFr-species-dilution-info": "", "IHCFr-species-notes": "<p></p>", "ICCIF-species-checked": "notRecommended", "ICCIF-species-dilution-info": "", "ICCIF-species-notes": "<p></p>" }, "Rat": { "WB-species-checked": "testedAndGuaranteed", "WB-species-dilution-info": "", "WB-species-notes": "<p></p>", "IP-species-checked": "testedAndGuaranteed", "IP-species-dilution-info": "", "IP-species-notes": "<p></p>", "IHCP-species-checked": "testedAndGuaranteed", "IHCP-species-dilution-info": "", "IHCP-species-notes": "<p></p>", "IHCFr-species-checked": "testedAndGuaranteed", "IHCFr-species-dilution-info": "", "IHCFr-species-notes": "<p></p>", "ICCIF-species-checked": "notRecommended", "ICCIF-species-dilution-info": "", "ICCIF-species-notes": "" } } }

Product details

ab315103 is the carrier-free version of ab315102.

What are recombinant multiclonals?
Recombinant multiclonals are a mixture of recombinant antibodies co-expressed from a library of heavy and light chains. They offer several advantages including:

  • - The sensitivity of polyclonal antibodies by recognising multiple epitopes
  • - High batch-to-batch consistency and reproducibility
  • - Improved sensitivity and specificity
  • - Long-term security of supply
  • - Animal-free batch production

View our range of recombinant multiclonal antibodies.

Patented technology
Our RabMAb® technology is a patented hybridoma-based technology for making rabbit monoclonal antibodies. For details on our patents, please refer to RabMAb® patents.

Conjugation ready
Our carrier-free antibodies are typically supplied in a PBS-only formulation, purified and free of BSA, sodium azide and glycerol. This conjugation-ready format is designed for use with fluorochromes, metal isotopes, oligonucleotides, and enzymes, which makes them ideal for antibody labelling, functional and cell-based assays, flow-based assays (e.g. mass cytometry) and Multiplex Imaging applications.

Use our conjugation kits for antibody conjugates that are ready-to-use in as little as 20 minutes with 1 minute hands-on-time and 100% antibody recovery: available for fluorescent dyes, HRP, biotin and gold.

Compatibility
This product is compatible with the Maxpar® Antibody Labeling Kit from Fluidigm, without the need for antibody preparation. Maxpar® is a trademark of Fluidigm Canada Inc.

Properties and storage information

Form
Liquid
Purification technique
Affinity purification Protein A
Storage buffer
pH: 7.2 - 7.4 Constituents: PBS
Shipped at conditions
Blue Ice
Appropriate short-term storage conditions
+4°C
Appropriate long-term storage conditions
+4°C

Supplementary information

This supplementary information is collated from multiple sources and compiled automatically.

Dystrophin also known as the DMD protein plays a mechanical role in muscle fibers by connecting the cytoskeleton of a muscle fiber to the surrounding extracellular matrix through the cell membrane. This structural connection helps reinforce the muscle fiber during contraction and mechanical stress. The protein has a molecular weight of approximately 427 kDa. It is expressed mainly in skeletal and cardiac muscles where it is important for maintaining muscle integrity.
Biological function summary

Dystrophin acts as an important component of the dystrophin-glycoprotein complex. This complex stabilizes the muscle cell membrane by linking actin filaments within the cytoskeleton to proteins in the extracellular matrix. The absence or malfunctioning of dystrophin disrupts this connection leading to increased susceptibility to damage during muscle contraction. This is especially evident in tissues where the protein is abundantly present.

Pathways

Dystrophin is integral to the structural integrity pathway in muscle cells. It works alongside proteins like dystroglycan and sarcoglycan forming a multiprotein complex that ensures cell membrane stability during muscle contractions. The proper functioning of the dystrophin complex is also linked to calcium signaling pathways highlighting its role in cellular signaling mechanisms.

Dystrophin's malfunction is directly associated with Duchenne Muscular Dystrophy (DMD) and Becker Muscular Dystrophy (BMD). Mutations in the DMD gene which encodes the dystrophin protein result in the absence or reduced functionality of the protein leading to progressive muscle degeneration observed in DMD and BMD. These disorders frequently involve the protein utrophin which sometimes compensates for the lack of functional dystrophin albeit insufficiently to alleviate the symptoms.

Product protocols

For this product, it's our understanding that no specific protocols are required. You can visit:

Target data

Anchors the extracellular matrix to the cytoskeleton via F-actin. Ligand for dystroglycan. Component of the dystrophin-associated glycoprotein complex which accumulates at the neuromuscular junction (NMJ) and at a variety of synapses in the peripheral and central nervous systems and has a structural function in stabilizing the sarcolemma. Also implicated in signaling events and synaptic transmission.
See full target information DMD

Additional targets

Dmd

Product promise

We are committed to supporting your work with high-quality reagents, and we're here for you every step of the way. In the unlikely event that one of our products does not perform as expected, you're protected by our Product Promise.
For full details, please see our Terms & Conditions

Please note: All products are 'FOR RESEARCH USE ONLY. NOT FOR USE IN DIAGNOSTIC OR THERAPEUTIC PROCEDURES'.

For licensing inquiries, please contact partnerships@abcam.com