JavaScript is disabled in your browser. Please enable JavaScript to view this website.
AB201199

Anti-DZIP1L antibody

Be the first to review this product! Submit a review

|

(1 Publication)

Rabbit Polyclonal DZIP1L antibody. Suitable for WB, IHC-P and reacts with Human samples. Cited in 1 publication. Immunogen corresponding to Recombinant Fragment Protein within Human DZIP1L aa 50-300.

View Alternative Names

Cilium assembly protein DZIP1L, DAZ-interacting zinc finger protein 1-like, DZIP1L

2 Images
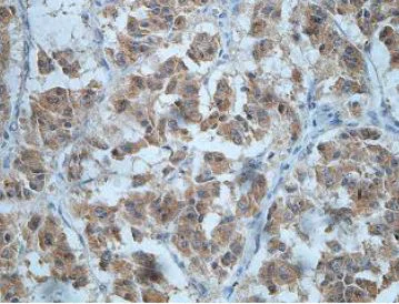
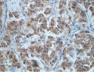
Immunohistochemistry (Formalin/PFA-fixed paraffin-embedded sections) - Anti-DZIP1L antibody (AB201199)
  • IHC-P

Supplier Data

Immunohistochemistry (Formalin/PFA-fixed paraffin-embedded sections) - Anti-DZIP1L antibody (AB201199)

Immunohistochemical analysis of formalin-fixed, paraffin-embedded Human pancreas carcinoma tissue labeling DZIP1L with ab201199 at 1/100 dilution.

Western blot - Anti-DZIP1L antibody (AB201199)
  • WB

Supplier Data

Western blot - Anti-DZIP1L antibody (AB201199)

All lanes:

Western blot - Anti-DZIP1L antibody (ab201199) at 1/500 dilution

Lane 1:

293 cell l ysate

Lane 2:

293T cell lysate

Predicted band size: 87 kDa

false

Key facts

Host species

Rabbit

Clonality

Polyclonal

Isotype

IgG

Carrier free

No

Reacts with

Human

Applications

IHC-P, WB

applications

Immunogen

Recombinant Fragment Protein within Human DZIP1L aa 50-300. The exact immunogen used to generate this antibody is proprietary information.

Q8IYY4

Reactivity data

{ "title": "Reactivity Data", "filters": { "stats": ["", "Species", "Dilution Info", "Notes"], "tabs": { "all-applications": {"fullname" : "All Applications", "shortname": "All Applications"}, "WB" : {"fullname" : "Western blot", "shortname":"WB"}, "IHCP" : {"fullname" : "Immunohistochemistry (Formalin/PFA-fixed paraffin-embedded sections)", "shortname":"IHC-P"} }, "product-promise": { "all": "all", "testedAndGuaranteed": "tested", "guaranteed": "expected", "predicted": "predicted", "notRecommended": "not-recommended" } }, "values": { "Human": { "WB-species-checked": "testedAndGuaranteed", "WB-species-dilution-info": "1/200 - 1/1000", "WB-species-notes": "<p></p>", "IHCP-species-checked": "testedAndGuaranteed", "IHCP-species-dilution-info": "1/100 - 1/500", "IHCP-species-notes": "<p></p>" } } }

Properties and storage information

Form
Lyophilized
Reconstitution
reconstitute with water at 200µL
Purification technique
Affinity purification Immunogen
Storage buffer
pH: 7.2 Preservative: 0.02% Sodium azide Constituents: PBS, 1% BSA
Shipped at conditions
Blue Ice
Appropriate short-term storage duration
1-2 weeks
Appropriate short-term storage conditions
+4°C
Appropriate long-term storage conditions
-20°C
Aliquoting information
Upon delivery aliquot
Storage information
Avoid freeze / thaw cycle

Product protocols

For this product, it's our understanding that no specific protocols are required. You can visit:

Target data

Involved in primary cilium formation (PubMed : 19852954, PubMed : 28530676). Probably acts as a transition zone protein required for localization of PKD1/PC1 and PKD2/PC2 to the ciliary membrane (PubMed : 28530676).
See full target information DZIP1L

Publications (1)

Recent publications for all applications. Explore the full list and refine your search

Journal of translational medicine 22:55 PubMed38218866

2024

Metabolic reprogramming based on RNA sequencing of gemcitabine-resistant cells reveals the FASN gene as a therapeutic for bladder cancer.

Applications

Unspecified application

Species

Unspecified reactive species

Lijie Zhou,Kaixuan Du,Yiheng Dai,Youmiao Zeng,Yongbo Luo,Mengda Ren,Wenbang Pan,Yuanhao Liu,Lailai Zhang,Ronghui Zhu,Dapeng Feng,Fengyan Tian,Chaohui Gu
View all publications

Product promise

We are committed to supporting your work with high-quality reagents, and we're here for you every step of the way. In the unlikely event that one of our products does not perform as expected, you're protected by our Product Promise.
For full details, please see our Terms & Conditions

Please note: All products are 'FOR RESEARCH USE ONLY. NOT FOR USE IN DIAGNOSTIC OR THERAPEUTIC PROCEDURES'.

For licensing inquiries, please contact partnerships@abcam.com