JavaScript is disabled in your browser. Please enable JavaScript to view this website.
AB256580

Anti-E Cadherin antibody [EP700Y] - BSA and Azide free

  • BOND RX™ Validated
  • RabMAb
  • Advanced Validation
  • Recombinant
  • KO Validated
  • What is this?

Be the first to review this product! Submit a review

|

(3 Publications)

Anti-E Cadherin antibody [EP700Y] - BSA and Azide free (ab256580) is a rabbit recombinant monoclonal antibody provided in a PBS only buffer for easy conjugation detecting E Cadherin in Western Blot, Flow Cytometry, IHC-P, ICC/IF, mIHC for Human.

- KO validated for confirmed specificity
- BSA, sodium azide, and glycerol-free for easy conjugation
- Multiplex IHC validated on the Leica BOND® MAX using Opal reagents
- Biophysical QC for unrivalled batch-batch consistency

View Alternative Names

CD324, CDHE, UVO, CDH1, Cadherin-1, CAM 120/80, Epithelial cadherin, Uvomorulin, E-cadherin

21 Images
Immunohistochemistry (Formalin/PFA-fixed paraffin-embedded sections) - Anti-E Cadherin antibody [EP700Y] - BSA and Azide free (AB256580)
  • IHC-P

Unknown

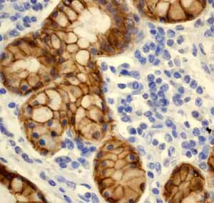
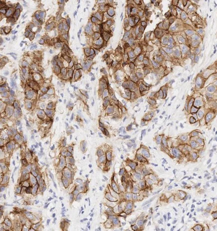
Immunohistochemistry (Formalin/PFA-fixed paraffin-embedded sections) - Anti-E Cadherin antibody [EP700Y] - BSA and Azide free (AB256580)

Formalin/PFA-fixed paraffin-embedded human colonic adenocarcinoma tissue stained for E Cadherin with unpurified ab40772 at a 1/500 dilution in immunohistochemical analysis.

This data was developed using the same antibody clone in a different buffer formulation containing PBS, BSA, glycerol, and sodium azide (ab40772).

Immunocytochemistry/ Immunofluorescence - Anti-E Cadherin antibody [EP700Y] - BSA and Azide free (AB256580)
  • ICC/IF

Unknown

Immunocytochemistry/ Immunofluorescence - Anti-E Cadherin antibody [EP700Y] - BSA and Azide free (AB256580)

ab40772 staining E Cadherin in HT-29 (Human colorectal adenocarcinoma) cells by ICC/IF (Immunocytochemistry/Immunofluorescence). Cells were fixed with 4% paraformaldehyde and permeabilized with 0.1% tritonX-100. Samples were incubated with primary antibody at 1/500 dilution. An Alexa Fluor® 488 Goat anti-Rabbit (ab150077) was used as the secondary antibody at 1/1000 dilution. Anti-alpha Tubulin antibody [DM1A] - Microtubule Marker (Alexa Fluor® 594) (ab195889) at 1/200 dilution was used as a counterstain. DAPI was used as a nuclear counterstain. This is a confocal image showing membranous staining on HT-29 cell line.

This data was developed using the same antibody clone in a different buffer formulation containing PBS, BSA, glycerol, and sodium azide (ab40772).

Immunohistochemistry (Formalin/PFA-fixed paraffin-embedded sections) - Anti-E Cadherin antibody [EP700Y] - BSA and Azide free (AB256580)
  • IHC-P

Unknown

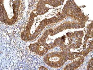
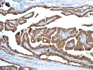
Immunohistochemistry (Formalin/PFA-fixed paraffin-embedded sections) - Anti-E Cadherin antibody [EP700Y] - BSA and Azide free (AB256580)

Formalin-fixed, paraffin-embedded human lung adenocarcinoma tissue stained for E Cadherin with unpurified ab40772 at a 1/500 dilution in immunohistochemical analysis.

This data was developed using the same antibody clone in a different buffer formulation containing PBS, BSA, glycerol, and sodium azide (ab40772).

Flow Cytometry (Intracellular) - Anti-E Cadherin antibody [EP700Y] - BSA and Azide free (AB256580)
  • Flow Cyt (Intra)

Unknown

Flow Cytometry (Intracellular) - Anti-E Cadherin antibody [EP700Y] - BSA and Azide free (AB256580)

Overlay histogram showing A431 (Human epidermoid carcinoma cell line) cells stained with unpurified ab40772 (red line). The cells were fixed with 80% methanol (5 minutes) and incubated in 1x PBS / 10% normal goat serum / 0.3M glycine to block non-specific protein-protein interactions. The cells were then incubated with the antibody (ab40772, 1/1000 dilution) for 30 minute at 22°C. The secondary antibody used was DyLight® 488 goat anti-rabbit IgG (H+L) (ab96899) at 1/500 dilution for 30 minutes at 22°C. Isotype control antibody (black line) was rabbit IgG (monoclonal) (0.1 μg/1x106 cells) used under the same conditions. Unlabeled sample (blue line) was also used as a control. Acquisition of >5,000 events were collected using a 20mW Argon ion laser (488nm) and 525/30 bandpass filter.

This data was developed using the same antibody clone in a different buffer formulation containing PBS, BSA, glycerol, and sodium azide (ab40772).

Immunohistochemistry (Formalin/PFA-fixed paraffin-embedded sections) - Anti-E Cadherin antibody [EP700Y] - BSA and Azide free (AB256580)
  • IHC-P

Unknown

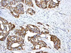
Immunohistochemistry (Formalin/PFA-fixed paraffin-embedded sections) - Anti-E Cadherin antibody [EP700Y] - BSA and Azide free (AB256580)

Formalin-fixed, paraffin-embedded human papillary carcinoma of thyroid gland tissue stained for E Cadherin with unpurified ab40772 at a 1/500 dilution in immunohistochemical analysis.

This data was developed using the same antibody clone in a different buffer formulation containing PBS, BSA, glycerol, and sodium azide (ab40772).

Immunohistochemistry (Formalin/PFA-fixed paraffin-embedded sections) - Anti-E Cadherin antibody [EP700Y] - BSA and Azide free (AB256580)
  • IHC-P

Unknown

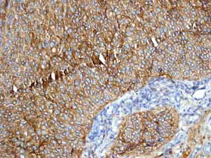
Immunohistochemistry (Formalin/PFA-fixed paraffin-embedded sections) - Anti-E Cadherin antibody [EP700Y] - BSA and Azide free (AB256580)

Formalin-fixed, paraffin-embedded human transitional cell carcinoma of kidney tissue stained for E Cadherin with unpurified ab40772 at a 1/500 dilution in immunohistochemical analysis.

This data was developed using the same antibody clone in a different buffer formulation containing PBS, BSA, glycerol, and sodium azide (ab40772).

Flow Cytometry (Intracellular) - Anti-E Cadherin antibody [EP700Y] - BSA and Azide free (AB256580)
  • Flow Cyt (Intra)

Unknown

Flow Cytometry (Intracellular) - Anti-E Cadherin antibody [EP700Y] - BSA and Azide free (AB256580)

Intracellular Flow Cytometry analysis of MCF7 (Human breast adenocarcinoma epithelial cell) cells labeling E Cadherin with purified ab40772 at 1/30 dilution (10μg/ml) (red). Cells were fixed with 4% Paraformaldehyde. A Goat anti rabbit IgG (Alexa Fluor® 488) secondary antibody was used at 1/2000 dilution. Isotype control - Rabbit monoclonal IgG (Black). Unlabeled control - Cell without incubation with primary antibody and secondary antibody (Blue).

This data was developed using the same antibody clone in a different buffer formulation containing PBS, BSA, glycerol, and sodium azide (ab40772).

Immunohistochemistry (Formalin/PFA-fixed paraffin-embedded sections) - Anti-E Cadherin antibody [EP700Y] - BSA and Azide free (AB256580)
  • IHC-P

Unknown

Immunohistochemistry (Formalin/PFA-fixed paraffin-embedded sections) - Anti-E Cadherin antibody [EP700Y] - BSA and Azide free (AB256580)

Formalin-fixed, paraffin-embedded human breast carcinoma tissue stained for E Cadherin with unpurified ab40772 at a 1/500 dilution in immunohistochemical analysis.

This data was developed using the same antibody clone in a different buffer formulation containing PBS, BSA, glycerol, and sodium azide (ab40772).

Immunohistochemistry (Formalin/PFA-fixed paraffin-embedded sections) - Anti-E Cadherin antibody [EP700Y] - BSA and Azide free (AB256580)
  • IHC-P

Unknown

Immunohistochemistry (Formalin/PFA-fixed paraffin-embedded sections) - Anti-E Cadherin antibody [EP700Y] - BSA and Azide free (AB256580)

This IHC data was generated using the same anti-E Cadherin antibody clone, EP700Y, in a different buffer formulation (ab40772).

Fluorescent immunohistochemical analysis of paraffin-embedded human breast carcinoma tissue using ab40772. Green-E-Cadherin red-PI.

Immunocytochemistry/ Immunofluorescence - Anti-E Cadherin antibody [EP700Y] - BSA and Azide free (AB256580)
  • ICC/IF

Unknown

Immunocytochemistry/ Immunofluorescence - Anti-E Cadherin antibody [EP700Y] - BSA and Azide free (AB256580)

Immunocytochemistry/Immunofluorescence analysis of MCF7 (human breast adenocarcinoma epithelial) cells labeling E Cadherin with ab40772. Cells were fixed with 4% paraformaldehyde and permeabilized with 0.1% tritonX-100. Samples were then incubated with the primary antibody at a 1/500 dilution, followed by Goat anti-rabbit IgG (Alexa Fluor® 488) (ab150077) secondary antibody at a 1/1000 dilution (green). The nuclear counter stain is DAPI (blue). Counterstained with ab195889 anti-alpha Tubulin antibody [DM1A] - Microtubule Marker (Alexa Fluor® 594) at a 1/200 dilution (red).

Confocal image shows membranous staining on MCF7 cell line.

This data was developed using the same antibody clone in a different buffer formulation containing PBS, BSA, glycerol, and sodium azide (ab40772).

Immunocytochemistry/ Immunofluorescence - Anti-E Cadherin antibody [EP700Y] - BSA and Azide free (AB256580)
  • ICC/IF

Supplier Data

Immunocytochemistry/ Immunofluorescence - Anti-E Cadherin antibody [EP700Y] - BSA and Azide free (AB256580)

Immunofluorescence staining of E-Cadherin using ab40772 in wild-type A431 cells (top panel) and CDH1 knockout A431 cells (bottom panel). The cells were fixed with 100% methanol (5 min), permeabilized with 0.1% Triton-X-100 for 5 minutes and then blocked with 1% BSA/10% normal goat serum/0.3M glycine in 0.1% PBS-Tween for 1h. The cells were then incubated with ab40772 at 0.2 µg/mL and ab7291 at 1 µg/mL overnight at +4°C, followed by a further incubation at room temperature for 1h with Goat Anti-Rabbit IgG H&L (Alexa Fluor® 488) preadsorbed (ab150081) (shown in green) and Goat Anti-Mouse IgG H&L (Alexa Fluor® 594) preadsorbed (ab150120) (shown in red), both at 1/1000. Nuclear DNA was labelled with DAPI (shown in blue). Image was acquired with a high-content analyser (Operetta CLS, Perkin Elmer) and a confocal section is shown. This data was developed using the same antibody clone in a different buffer formulation containing PBS, BSA, glycerol, and sodium azide (ab40772).

Multiplex immunohistochemistry - Anti-E Cadherin antibody [EP700Y] - BSA and Azide free (AB256580)
  • mIHC

Supplier Data

Multiplex immunohistochemistry - Anti-E Cadherin antibody [EP700Y] - BSA and Azide free (AB256580)

Fluorescence multiplex immunohistochemical analysis of the human endometrium (Formalin/PFA-fixed paraffin-embedded sections). Panel A : merged staining of anti-E Cadherin (ab256580, red; Opal™690), anti-SLC34A2 (ab238793, green; Opal™520) and anti-CD10 (ab255609, cyan; Opal™570) on human endometrium. Panel B : anti-CD10 stained on stromal cells. Panel C : anti-E Cadherin stained on glandular cells. Panel D : anti-SLC34A2 stained on apical membrane of glandular cells. Opal Polymer HRP Ms + Rb was used as a secondary antibody. The section was incubated in three rounds of staining : in the order of ab256580 at 1/3000 dilution  (0.324 μg/ml) for 30mins, ab238793 at 1/1000 dilution (2.26 μg/ml) for 10mins and ab255609 at 1/1000 dilution (0.615 μg/ml) for 30 mins at room temperature. Each round was followed by a separate fluorescent tyramide signal amplification system. The immunostaining was performed on a Leica Biosystems BOND® RX instrument with an Opal™ 4-color kit. Image acquisition was performed with Leica SP8 confocal microscope. Heat mediated antigen retrieval with Tris-EDTA buffer (pH 9.0, epitope retrieval solution2) for 20 mins. DAPI (blue) was used as a nuclear counter stain.

Immunocytochemistry/ Immunofluorescence - Anti-E Cadherin antibody [EP700Y] - BSA and Azide free (AB256580)
  • ICC/IF

Supplier Data

Immunocytochemistry/ Immunofluorescence - Anti-E Cadherin antibody [EP700Y] - BSA and Azide free (AB256580)

Immunofluorescence staining of E-Cadherin using ab40772 in wild-type A431 cells (top panel) and CDH1 knockout A431 cells (bottom panel). The cells were fixed with 4% formaldehyde (10 min), permeabilized with 0.1% Triton-X-100 for 5 minutes and then blocked with 1% BSA/10% normal goat serum/0.3M glycine in 0.1% PBS-Tween for 1h. The cells were then incubated with ab40772 at 1 µg/mL and ab7291 at 1 µg/mL overnight at +4°C, followed by a further incubation at room temperature for 1h with Goat Anti-Rabbit IgG H&L (Alexa Fluor® 488) preadsorbed (ab150081) (shown in green) and Goat Anti-Mouse IgG H&L (Alexa Fluor® 594) preadsorbed (ab150120) (shown in red), both at 1/1000. Nuclear DNA was labelled with DAPI (shown in blue). Image was acquired with a high-content analyser (Operetta CLS, Perkin Elmer) and a confocal section is shown. This data was developed using the same antibody clone in a different buffer formulation containing PBS, BSA, glycerol, and sodium azide (ab40772).

Flow Cytometry - Anti-E Cadherin antibody [EP700Y] - BSA and Azide free (AB256580)
  • Flow Cyt

Lab

Flow Cytometry - Anti-E Cadherin antibody [EP700Y] - BSA and Azide free (AB256580)

This data was developed using the same antibody clone in a different buffer formulation containing PBS, BSA, glycerol, and sodium azide (ab40772).

Flow cytometry overlay histogram showing MCF7 positive cells (left) and negative MDA-MB-231 cells (right) stained with ab40772 (red line). The cells were incubated in 1x PBS containing 10% normal goat serum to block non-specific protein-protein interaction, followed by the antibody ab40772 (1x 106 in 100μl at 5 μg/ml (1/400)) for 30min on ice.

The secondary antibody Goat Anti-Rabbit IgG H&L (Alexa Fluor® 488) preadsorbed was incubated at 1/4000 for 30min on ice

Isotype control antibody (black line) was Recombinant Rabbit IgG, monoclonal [EPR25A] - Isotype Control used at the same concentration and conditions as the primary antibody. Unlabelled sample (blue line) was also used as a control.

Acquisition of >5000 events were collected using a 50 mW Blue laser (488nm) and 525/40 bandpass filter.

Western blot - Anti-E Cadherin antibody [EP700Y] - BSA and Azide free (AB256580)
  • WB

Lab

Western blot - Anti-E Cadherin antibody [EP700Y] - BSA and Azide free (AB256580)

This data was developed using the same antibody clone in a different buffer formulation (ab40772). False colour image of Western blot : Anti-E Cadherin antibody [EP700Y] - Intercellular Junction Marker staining at 1/10000 dilution, shown in green; Mouse anti-GAPDH antibody [6C5] (ab8245) loading control staining at 1/20000 dilution, shown in red. In Western blot, ab40772 was shown to bind specifically to E Cadherin. A band was observed at 105/130 kDa in wild-type Raji cell lysates with no signal observed at this size in CDH1 knockout cell line ab273747 (knockout cell lysate ab273781). To generate this image, wild-type and CDH1 knockout Raji cell lysates were analysed. First, samples were run on an SDS-PAGE gel then transferred onto a nitrocellulose membrane. Membranes were blocked in 3 % milk in TBS-0.1 % Tween® 20 (TBS-T) before incubation with primary antibodies overnight at 4 °C. Blots were washed four times in TBS-T, incubated with secondary antibodies for 1 h at room temperature, washed again four times then imaged. Secondary antibodies used were Goat anti-Rabbit IgG H&L 800CW and Goat anti-Mouse IgG H&L 680RD at 1/20000 dilution.

Lanes 1 - 4:

Western blot - Anti-E Cadherin antibody [EP700Y] - Intercellular Junction Marker (<a href='/en-us/products/primary-antibodies/e-cadherin-antibody-ep700y-intercellular-junction-marker-ab40772'>ab40772</a>) at 1/10000 dilution

Lanes 1 - 4:

Western blot - Anti-E Cadherin antibody [EP700Y] - Low endotoxin, Azide free (<a href='/en-us/products/primary-antibodies/e-cadherin-antibody-ep700y-low-endotoxin-azide-free-ab201499'>ab201499</a>) at 1/10000 dilution

Lanes 1 - 4:

Western blot - Anti-E Cadherin antibody [EP700Y] - BSA and Azide free (ab256580) at 1/10000 dilution

Lane 1:

Wild-type Raji cell lysate at 20 µg

Lane 2:

Western blot - Human CDH1 (E Cadherin) knockout A-431 cell line (<a href='/en-us/products/cell-lines/human-cdh1-e-cadherin-knockout-a-431-cell-line-ab273747'>ab273747</a>)

Lane 2:

Western blot - Human CDH1 (E Cadherin) knockout A-431 cell lysate (ab273781)

Lane 2:

CDH1 knockout Raji cell lysate at 20 µg

Lane 3:

MCF7 cell lysate at 20 µg

Lane 4:

MDA-MB-231 cell lysate at 20 µg

Secondary

All lanes:

Goat anti-Rabbit IgG H&L 800CW and Goat anti-Mouse IgG H&L 680RD at 1/20000 dilution

Observed band size: 105 kDa,130 kDa

false

Western blot - Anti-E Cadherin antibody [EP700Y] - BSA and Azide free (AB256580)
  • WB

Lab

Western blot - Anti-E Cadherin antibody [EP700Y] - BSA and Azide free (AB256580)

This data was developed using the same antibody clone in a different buffer formulation containing PBS, BSA, glycerol, and sodium azide (ab40772). Western blot : Anti-CDH1 antibody [EP700Y] (ab40772) staining at 1/1000 dilution, shown in green; Mouse anti-GAPDH antibody [6C5] (ab8245) loading control staining at 1/20000 dilution, shown in red. In Western blot, ab40772 was shown to bind specifically to CDH1. A band was observed at 130, 110, 80, 55, 40 kDa in wild-type A431 cell lysates with no signal observed at this size in CDH1 knockout cell line ab273747 (knockout cell lysate ab273781). To generate this image, wild-type and CDH1 knockout A431 cell lysates were analysed. First, samples were run on an SDS-PAGE gel then transferred onto a nitrocellulose membrane. Membranes were blocked in 3 % milk in TBS-0.1 % Tween® 20 (TBS-T) before incubation with primary antibodies overnight at 4 °C. Blots were washed four times in TBS-T, incubated with secondary antibodies for 1 h at room temperature, washed again four times then imaged. Secondary antibodies used were Goat anti-Rabbit IgG H&L 800CW and Goat anti-Mouse IgG H&L 680RD at 1/20000 dilution.

All lanes:

Western blot - Anti-E Cadherin antibody [EP700Y] - Intercellular Junction Marker (<a href='/en-us/products/primary-antibodies/e-cadherin-antibody-ep700y-intercellular-junction-marker-ab40772'>ab40772</a>) at 1/1000 dilution

Lane 1:

Wild-type A431 cell lysate at 20 µg

Lane 2:

Western blot - Human CDH1 (E Cadherin) knockout A-431 cell lysate (ab273781)

Lane 2:

Western blot - Human CDH1 (E Cadherin) knockout A-431 cell line (<a href='/en-us/products/cell-lines/human-cdh1-e-cadherin-knockout-a-431-cell-line-ab273747'>ab273747</a>)

Lane 2:

CDH1 knockout A431 cell lysate at 20 µg

Lane 3:

Caco-2 cell lysate at 20 µg

Secondary

All lanes:

Goat anti-Rabbit IgG H&L 800CW and Goat anti-Mouse IgG H&L 680RD at 1/20000 dilution

Predicted band size: 97 kDa

false

Western blot - Anti-E Cadherin antibody [EP700Y] - BSA and Azide free (AB256580)
  • WB

Lab

Western blot - Anti-E Cadherin antibody [EP700Y] - BSA and Azide free (AB256580)

Exposure time : 3.25 seconds. Blocking and diluting buffer : 5% NFDM/TBST. Full-length E Cadherin has a molecular weight of approximately 125 kDa. Other molecular weights between 80-100 kDa could also be observed depending on cell types or cell conditions. PMID : 27274359, PMID : 26983597, PMID : 18478055, PMID : 22375065. This data was developed using the same antibody clone in a different buffer formulation containing PBS, BSA, glycerol, and sodium azide (ab40772).

All lanes:

Western blot - Anti-E Cadherin antibody [EP700Y] - Intercellular Junction Marker (<a href='/en-us/products/primary-antibodies/e-cadherin-antibody-ep700y-intercellular-junction-marker-ab40772'>ab40772</a>) at 1/1000 dilution

All lanes:

MCF7 (Human breast adenocarcinoma epithelial cell) whole cell lysate at 20 µg

Secondary

All lanes:

Western blot - Goat Anti-Rabbit IgG H&L (HRP) (<a href='/en-us/products/secondary-antibodies/goat-rabbit-igg-h-l-hrp-ab97051'>ab97051</a>) at 1/20000 dilution

Predicted band size: 97 kDa

Observed band size: 80-125 kDa

false

Western blot - Anti-E Cadherin antibody [EP700Y] - BSA and Azide free (AB256580)
  • WB

Lab

Western blot - Anti-E Cadherin antibody [EP700Y] - BSA and Azide free (AB256580)

This data was developed using the same antibody clone in a different buffer formulation containing PBS, BSA, glycerol, and sodium azide (ab40772). Blocking and diluting buffer and concentration : 5% NFDM/TBST. ab181602 was as GAPDH loading control. Exposure time : Lane1 : 3 seconds; Lane 2-5 : 40 seconds. A375, HeLa and HT-1080 were reported as negative or express low level of E cadherin (PMID : 30393081, PMID : 16980628, PMID : 34715746), PMID : 25411788).

All lanes:

Western blot - Anti-E Cadherin antibody [EP700Y] - Intercellular Junction Marker (<a href='/en-us/products/primary-antibodies/e-cadherin-antibody-ep700y-intercellular-junction-marker-ab40772'>ab40772</a>) at 1/1000 dilution

Lane 1:

MCF7 (Human breast adenocarcinoma epithelial cell) whole cell lysate at 20 µg

Lane 2:

HepG2 (Human hepatocellular carcinoma epithelial cell) whole cell lysate at 20 µg

Lane 3:

A375 (Human malignant melanoma epithelial cell) whole cell lysate at 20 µg

Lane 4:

HeLa (Human cervix adenocarcinoma epithelial cell) whole cell lysate at 20 µg

Lane 5:

HT-1080 (Human fibrosarcoma epithelial cell) whole cell lysate at 20 µg

Secondary

All lanes:

Western blot - Goat Anti-Rabbit IgG H&L (HRP) (<a href='/en-us/products/secondary-antibodies/goat-rabbit-igg-h-l-hrp-ab97051'>ab97051</a>) at 1/20000 dilution

Predicted band size: 97 kDa

false

Immunohistochemistry (Formalin/PFA-fixed paraffin-embedded sections) - Anti-E Cadherin antibody [EP700Y] - BSA and Azide free (AB256580)
  • IHC-P

Supplier Data

Immunohistochemistry (Formalin/PFA-fixed paraffin-embedded sections) - Anti-E Cadherin antibody [EP700Y] - BSA and Azide free (AB256580)

This data was developed using the same antibody clone in a different buffer formulation containing PBS, BSA, glycerol, and sodium azide (ab40772). Tissue Microarrays stained for Anti-E Cadherin antibody [EP700Y] - Intercellular Junction Marker using ab40772 in immunohistochemical analysis. This table provides a detailed overview of positive (tick mark) and negaive (cross mark) staining per sample type tested. The section was incubated with ab40772 for 30 mins at room temperature followed by a ready to use Rabbit specific IHC polymer detection kit HRP/DAB (ab209101). The immunostaining was performed on a Leica Biosystems BOND® RX instrument. Heat mediated antigen retrieval was performed with Tris-EDTA buffer (pH 9.0, Epitope Retrieval Solution2) for 20 mins.

Immunohistochemistry (Formalin/PFA-fixed paraffin-embedded sections) - Anti-E Cadherin antibody [EP700Y] - BSA and Azide free (AB256580)
  • IHC-P

Unknown

Immunohistochemistry (Formalin/PFA-fixed paraffin-embedded sections) - Anti-E Cadherin antibody [EP700Y] - BSA and Azide free (AB256580)

Immunohistochemistry of breast carcinoma staining E Cadherin with ab40772 at 1μg/ml.

Perform heat mediated antigen retrieval with citrate buffer pH 6 before commencing with IHC staining protocol.

This data was developed using the same antibody clone in a different buffer formulation containing PBS, BSA, glycerol, and sodium azide (ab40772).

OI-RD Scanning - Anti-E Cadherin antibody [EP700Y] - BSA and Azide free (AB256580)
  • OI-RD Scanning

Unknown

OI-RD Scanning - Anti-E Cadherin antibody [EP700Y] - BSA and Azide free (AB256580)

We have systematically measured KD (the equilibrium dissociation constant between the antibody and its antigen), of more than 840 recombinant antibodies to assess not only their individual KD values but also to see the average affinity of antibody. Based on the comparison with published literature values for mouse monoclonal antibodies, Recombinant antibodies appear to be on average 1-2 order of magnitude higher affinity.

  • Unconjugated

    Anti-E Cadherin antibody [EP700Y] - Intercellular Junction Marker

  • 578 PE

    PE Anti-E Cadherin antibody [EP700Y]

  • 660 APC

    APC Anti-E Cadherin antibody [EP700Y] - Intercellular Junction Marker

  • 519 Alexa Fluor® 488

    Alexa Fluor® 488 Anti-E Cadherin antibody [EP700Y] - Intercellular Junction Marker

  • 617 Alexa Fluor® 594

    Alexa Fluor® 594 Anti-E Cadherin antibody [EP700Y] - Intercellular Junction Marker

  • Carrier free

    Anti-E Cadherin antibody [EP700Y] - Low endotoxin, Azide free

  • 665 Alexa Fluor® 647

    Alexa Fluor® 647 Anti-E Cadherin antibody [EP700Y] - Intercellular Junction Marker

  • 565 Alexa Fluor® 555

    Alexa Fluor® 555 Anti-E Cadherin antibody [EP700Y] - Intercellular Junction Marker

Key facts

Host species

Rabbit

Clonality

Monoclonal

Clone number

EP700Y

Isotype

IgG

Carrier free

Yes

Reacts with

Human

Applications

mIHC, IHC-P, ICC/IF, Flow Cyt (Intra), WB, Flow Cyt

applications

Immunogen

The exact immunogen used to generate this antibody is proprietary information.

Reactivity data

{ "title": "Reactivity Data", "filters": { "stats": ["", "Species", "Dilution Info", "Notes"], "tabs": { "all-applications": {"fullname" : "All Applications", "shortname": "All Applications"}, "FlowCyt" : {"fullname" : "Flow Cytometry", "shortname":"Flow Cyt"}, "mIHC" : {"fullname" : "Multiplex immunohistochemistry", "shortname":"mIHC"}, "WB" : {"fullname" : "Western blot", "shortname":"WB"}, "IHCP" : {"fullname" : "Immunohistochemistry (Formalin/PFA-fixed paraffin-embedded sections)", "shortname":"IHC-P"}, "ICCIF" : {"fullname" : "Immunocytochemistry/ Immunofluorescence", "shortname":"ICC/IF"}, "FlowCytIntra" : {"fullname" : "Flow Cytometry (Intracellular)", "shortname":"Flow Cyt (Intra)"} }, "product-promise": { "all": "all", "testedAndGuaranteed": "tested", "guaranteed": "expected", "predicted": "predicted", "notRecommended": "not-recommended" } }, "values": { "Human": { "FlowCyt-species-checked": "testedAndGuaranteed", "FlowCyt-species-dilution-info": "", "FlowCyt-species-notes": "<p></p>", "mIHC-species-checked": "testedAndGuaranteed", "mIHC-species-dilution-info": "1/3000", "mIHC-species-notes": "<p></p>", "WB-species-checked": "testedAndGuaranteed", "WB-species-dilution-info": "", "WB-species-notes": "<p></p>", "IHCP-species-checked": "testedAndGuaranteed", "IHCP-species-dilution-info": "", "IHCP-species-notes": "<p></p>", "ICCIF-species-checked": "testedAndGuaranteed", "ICCIF-species-dilution-info": "", "ICCIF-species-notes": "<p></p>", "FlowCytIntra-species-checked": "testedAndGuaranteed", "FlowCytIntra-species-dilution-info": "", "FlowCytIntra-species-notes": "<p></p>" } } }

Product details

What is this antibody validated in?
Anti-E Cadherin antibody [EP700Y] - BSA and Azide free (ab256580) is a rabbit recombinant monoclonal antibody and is validated for use in Western Blot (WB), Flow Cytometry (Intra), Flow Cytometry (Flow Cyt), Immunohistochemistry (IHC-P), Immunocytochemistry/immunofluorescence (ICC/IF), Multiplex IHC (mIHC) in Human samples.

What is the molecular weight of E Cadherin?
Anti-E Cadherin [EP700Y] - BSA and Azide free (ab256580) specifically detects a band for E Cadherin (UniProt: P12830) at a molecular weight of 97kDa.

Specificity confirmed
The specificity of Anti-E Cadherin antibody [EP700Y] - BSA and Azide free (ab256580) has been confirmed by Immunocytochemistry/ Immunofluorescence testing in CDH1 Knockout A431 cell line.

Other related products
We have a range of other formats of antibody clone [EP700Y] also available for your convenience: ab40772, Alexa Fluor® 488 - ab185013, Alexa Fluor® 647 - ab194982, Carrier free - ab201499, Alexa Fluor® 555 - ab206878, Alexa Fluor® 594 - ab206880, PE - ab224959, APC - ab224960, Carrier free - ab256580

Species reactivity
Mouse, Rat: We have preliminary internal testing data to indicate this antibody may not react with these species.
Please contact us for more information.

Patented technology
Our RabMAb® technology is a patented hybridoma-based technology for making rabbit monoclonal antibodies. For details on our patents, please refer to RabMAb® patents.

What are the advantages of a recombinant monoclonal antibody?
This product is a recombinant monoclonal antibody, which offers several advantages including:

  • - High batch-to-batch consistency and reproducibility
  • - Improved sensitivity and specificity
  • - Long-term security of supply
  • - Animal-free batch production

For more information, read more on recombinant antibodies.

Conjugation ready
Our carrier-free antibodies are typically supplied in a PBS-only formulation, purified and free of BSA, sodium azide and glycerol. This conjugation-ready format is designed for use with fluorochromes, metal isotopes, oligonucleotides, and enzymes, which makes them ideal for antibody labelling, functional and cell-based assays, flow-based assays (e.g. mass cytometry) and Multiplex Imaging applications.

Use our conjugation kits for antibody conjugates that are ready-to-use in as little as 20 minutes with 1 minute hands-on-time and 100% antibody recovery: available for fluorescent dyes, HRP, biotin and gold.

Compatibility
This product is compatible with the Maxpar® Antibody Labeling Kit from Fluidigm, without the need for antibody preparation. Maxpar® is a trademark of Fluidigm Canada Inc.

Properties and storage information

Form
Liquid
Purification technique
Affinity purification Protein A
Storage buffer
pH: 7.2 - 7.4 Constituents: PBS
Shipped at conditions
Blue Ice
Appropriate short-term storage conditions
+4°C
Appropriate long-term storage conditions
+4°C
Storage information
Do Not Freeze

Supplementary information

This supplementary information is collated from multiple sources and compiled automatically.

E-Cadherin sometimes called CDH1 or Cadherin-1 is a protein that plays a role in cell-to-cell adhesion. This transmembrane protein has a molecular weight of approximately 120 kDa. E-Cadherin is mainly expressed in epithelial tissues of various organs including the skin and gut. Its adhesive function is made possible by its extracellular domain that facilitates homophilic binding between cells contributing to the maintenance of tissue architecture and cellular integrity.
Biological function summary

E-Cadherin participates in establishing and maintaining adherens junctions which are vital for tissue structure. E-Cadherin operates as a core component of the cadherin-catenin complex which links the protein to the actin cytoskeleton. Through this linkage E-Cadherin plays an important role in signaling pathways that influence cellular growth and differentiation. The protein's ability to mediate intercellular connections also regulates cellular motility and supports basic aspects of cell behavior in epithelial tissues.

Pathways

E-Cadherin influences both the Wnt signaling pathway and the epithelial-to-mesenchymal transition (EMT). Within the Wnt signaling pathway E-Cadherin partners with Β-catenin a significant player in transcription regulation and cell signaling. Disruption in E-Cadherin's adhesive functionality can lead to increased Β-catenin availability affecting downstream transcriptional control. In the EMT process E-Cadherin loss characterizes an important step in which cells gain migratory and invasive properties typically seen during metastasis in cancer progression.

E-Cadherin's role is prominent in cancer particularly in the context of gastric and breast cancers. Mutations or altered expression of E-Cadherin lead to diminished cell adhesion promoting tumorigenesis and metastatic spread. In gastric cancer for instance mutated E-Cadherin often associates with loss of epithelial function facilitating cancer cell dissemination. Additionally its loss or dysfunction may correlate with proteins such as Β-catenin further impacting cancer progression and pathology.

Product protocols

For this product, it's our understanding that no specific protocols are required. You can visit:

Target data

CDH1 encodes a protein that is a calcium-dependent cell adhesion molecule, playing a role in cell-cell adhesion, mobility, and proliferation in epithelial cells. It acts as a potent invasive suppressor and serves as a ligand for integrin alpha-E/beta-7. The protein contributes to the sorting of heterogeneous cell types due to its homophilic interactions. E-Cad/CTF2, a product of CDH1, promotes the non-amyloidogenic degradation of Abeta precursors and strongly inhibits the production of APP C99 and C83. Additionally, in the context of microbial infection, it functions as a receptor for Listeria monocytogenes, with internalin A binding to it to promote bacterial uptake. This supplementary information is collated from multiple sources and compiled automatically.
See full target information CDH1

Publications (3)

Recent publications for all applications. Explore the full list and refine your search

Frontiers in cell and developmental biology 13:1629770 PubMed40894922

2025

Efficacy of bleomycin and sirolimus in inhibiting CD31 endothelial cell proliferation in noninvoluting congenital hemangiomas.

Applications

Unspecified application

Species

Unspecified reactive species

Yanan Li,Chuan Wang,Yi Li,Xinglong Zhu,Ji Bao,Yi Ji

Biochemical and biophysical research communications 566:164-169 PubMed34126347

2021

PEA prevented early BBB disruption after cerebral ischaemic/reperfusion (I/R) injury through regulation of ROCK/MLC signaling.

Applications

Unspecified application

Species

Unspecified reactive species

Dequan Kong,Baoying Xie,Yuhang Li,Yaping Xu

Experimental and therapeutic medicine 21:218 PubMed33500705

2021

miR-155 promotes proliferation and epithelial-mesenchymal transition of MCF-7 cells.

Applications

Unspecified application

Species

Unspecified reactive species

Xiaoyan Liu,Yongjun Li,Zhuo Li,Tian Hou
View all publications

Product promise

We are committed to supporting your work with high-quality reagents, and we're here for you every step of the way. In the unlikely event that one of our products does not perform as expected, you're protected by our Product Promise.
For full details, please see our Terms & Conditions

Please note: All products are 'FOR RESEARCH USE ONLY. NOT FOR USE IN DIAGNOSTIC OR THERAPEUTIC PROCEDURES'.

For licensing inquiries, please contact partnerships@abcam.com