JavaScript is disabled in your browser. Please enable JavaScript to view this website.
AB324191

Anti-E Cadherin antibody [EPR30045-525]

  • BOND RX™ Validated
  • RabMAb
  • Recombinant
  • 20ul selling size
  • Advanced Validation
  • What is this?

Be the first to review this product! Submit a review

|

(0 Publication)

Rabbit Recombinant Monoclonal E Cadherin antibody. Suitable for IHC-Fr, ICC/IF, IHC-P, mIHC and reacts with Mouse, Transfected cell line - Mouse samples.

View Alternative Names

CD324, Cadherin-1, ARC-1, Epithelial cadherin, Uvomorulin, E-cadherin, Cdh1

15 Images
Immunocytochemistry/ Immunofluorescence - Anti-E Cadherin antibody [EPR30045-525] (AB324191)
  • ICC/IF

Supplier Data

Immunocytochemistry/ Immunofluorescence - Anti-E Cadherin antibody [EPR30045-525] (AB324191)

Immunofluorescent analysis of 4% Paraformaldehyde-fixed, 0.1% TritonX-100 permeabilized 293T (Human embryonic kidney epithelial cell) transfected with a mouse CDH1 expression vector containing a myc-His-tag® cells labelling E Cadherin with ab324191 at 1/100 (5.22 ug/ml) dilution, followed by ab150081 Goat Anti-Rabbit IgG H&L (Alexa Fluor® 488) preadsorbed antibody at 1/1000 dilution (Green).

Confocal image showing positive staining in 293T cell line transfected with a mouse CDH1 expression vector containing a myc-His-tag® (shown in green). The counterstain was observed in magenta. Nuclear DNA was labelled with DAPI (shown in blue).Image was taken with a confocal microscope (Leica-Microsystems, TCS SP8).

Myc-Tag Mouse mAb (Alexa Fluor® 647) was used to counterstain tubulin at 1/100 dilution (Magenta). The Nuclear counterstain was DAPI (Blue).

Secondary antibody only control : Secondary antibody is ab150081 Goat Anti-Rabbit IgG H&L (Alexa Fluor® 488) preadsorbed at 1/1000 dilution.

Multiplex immunohistochemistry - Anti-E Cadherin antibody [EPR30045-525] (AB324191)
  • mIHC

Lab

Multiplex immunohistochemistry - Anti-E Cadherin antibody [EPR30045-525] (AB324191)

Multiplex immunohistochemistry analysis of formalin/PFA-fixed paraffin-embedded mouse breast tissue staining PNPLA3 with ab324436 at a 1/200 dilution, ab324191 anti-E Cadherin used at 1/500 dilution and ab180862 anti-SOX10 used at a 1/4000 dilution.

Panel A : anti-PNPLA3 (green; Opal™520), anti-E Cadherin (magenta; Opal™690) and anti-SOX10 (gray; Opal™570) on mouse breast.

Panel B : anti-PNPLA3 staining white adipose tissue in mouse breast.

Panel C : anti-E Cadherin staining membrane of epithelium in mouse breast.

Panel D : anti-SOX10 staining nucleus of epithelium in mouse breast.

Nuclear DNA was labeled with DAPI (shown in blue).

The section was incubated in three rounds of staining : in the order of ab324436, ab324191 and ab180862 for 30 mins at room temperature. Each round was followed by a separate fluorescent tyramide signal amplification system.

The immunostaining was performed on a Leica Biosystems BOND® RX instrument with an Opal™ 4-color kit. Image acquisition was performed with Leica SP8 confocal microscope.

Heat mediated antigen retrieval was performed with Tris-EDTA buffer (pH 9.0, Epitope Retrieval Solution2) for 20 mins.

Multiplex immunohistochemistry - Anti-E Cadherin antibody [EPR30045-525] (AB324191)
  • mIHC

Lab

Multiplex immunohistochemistry - Anti-E Cadherin antibody [EPR30045-525] (AB324191)

Multiplex immunohistochemistry analysis of formalin/PFA-fixed paraffin-embedded mouse breast tissue staining Heparan Sulfate Proteoglycan 2/Perlecan with ab315029 at a 1/100 dilution, ab324191 anti-E Cadherin used at 1/500 dilution and ab316115 anti-Perilipin-1 used at a 1/2000 dilution.

Panel A : merged staining of anti-Perlecan (green; Opal™520), anti-E Cadherin (magenta; Opal™690) and anti-Perilipin-1 (gray; Opal™570) on mouse breast.

Panel B : anti-Perlecan staining endothelium and basement membrane in mouse breast.

Panel C : anti-E Cadherin staining epithelium in mouse breast.

Panel D : anti-Perilipin-1 staining adipocytes in mouse breast.

Nuclear DNA was labeled with DAPI (shown in blue).

The section was incubated in three rounds of staining : in the order of ab325029, ab324191 and ab316115 for 30 mins at room temperature. Each round was followed by a separate fluorescent tyramide signal amplification system.

The immunostaining was performed on a Leica Biosystems BOND® RX instrument with an Opal™ 4-color kit. Image acquisition was performed with Leica SP8 confocal microscope.

Heat mediated antigen retrieval was performed with Tris-EDTA buffer (pH 9.0, Epitope Retrieval Solution2) for 20 mins.

Immunohistochemistry (Formalin/PFA-fixed paraffin-embedded sections) - Anti-E Cadherin antibody [EPR30045-525] (AB324191)
  • IHC-P

Supplier Data

Immunohistochemistry (Formalin/PFA-fixed paraffin-embedded sections) - Anti-E Cadherin antibody [EPR30045-525] (AB324191)

Immunohistochemical analysis of paraffin-embedded Mouse cerebrum tissue labeling E Cadherin with ab324191 at 1/500 (2.088 ug/ml) dilution, followed by a ready to use LeicaDS9800 (Bond™ Polymer Refine Detection).

Negative control : no staining on mouse cerebrum. The primary antibody was incubated for 30 mins at room temperature.
The immunostaining was performed on a Leica Biosystems BOND® RX instrument

Counterstained with Hematoxylin.

Secondary antibody only control : Secondary antibody is a ready to use LeicaDS9800 (Bond™ Polymer Refine Detection).

Heat mediated antigen retrieval was performed with Tris-EDTA buffer (pH 9.0, Epitope Retrieval Solution2) for 20 mins

Multiplex immunohistochemistry - Anti-E Cadherin antibody [EPR30045-525] (AB324191)
  • mIHC

Lab

Multiplex immunohistochemistry - Anti-E Cadherin antibody [EPR30045-525] (AB324191)

Immunohistochemistry analysis of Formalin/PFA-fixed paraffin-embedded sections Mouse Prostate tissue labelling E Cadherin with ab324191 at 1 : 500 dilution (B), Cytokeratin 5 with ab236216 at 1 : 1500 dilution (C) and Collagen VI with ab271938 at 1 : 2000 dilution (D). Opal Polymer HRP Ms + Rb was used as a secondary antibody, and DAPI was used for a nuclear counter stain. Heat mediated antigen retrieval with Tris-EDTA buffer (pH 9.0, epitope retrieval solution2) for 20 mins.

Panel A : merged staining of anti-E Cadherin (green; Opal™690), anti-Cytokeratin 5 (magenta; Opal™520) and anti-Collagen VI (gray; Opal™570) on mouse prostate.

Panel B : anti-E Cadherin staining epithelium in mouse prostate.

Panel C : ant-Cytokeratin 5 staining basal cells in mouse prostate.

Panel D : ant-Collagen VI staining stoma in mouse prostate.

Nuclear DNA was labelled with DAPI (shown in blue).

The section was incubated in three rounds of staining : in the order of ab324191, ab236216 and ab271938 for 30 mins at room temperature. Each round was followed by a separate fluorescent tyramide signal amplification system.

The immunostaining was performed on a Leica Biosystems BOND® RX instrument with an Opal™ 4-color kit. Image acquisition was performed with Leica SP8 confocal microscope.

Multiplex immunohistochemistry - Anti-E Cadherin antibody [EPR30045-525] (AB324191)
  • mIHC

Lab

Multiplex immunohistochemistry - Anti-E Cadherin antibody [EPR30045-525] (AB324191)

Immunohistochemistry analysis of Formalin/PFA-fixed paraffin-embedded sections Mouse Prostate tissue labelling E Cadherin with ab324191 at 1 : 500 dilution (B), Cytokeratin 5 with ab236216 at 1 : 1500 dilution (C) and smooth muscle Myosin heavy chain 11 with ab240983 at 1 : 4000 dilution (D). Opal Polymer HRP Ms + Rb was used as a secondary antibody, and DAPI was used for a nuclear counter stain. Heat mediated antigen retrieval with Tris-EDTA buffer (pH 9.0, epitope retrieval solution2) for 20 mins.

Panel A : merged staining of anti-E Cadherin (green; Opal™690), anti-Cytokeratin 5 (magenta; Opal™520) and anti-smooth muscle Myosin heavy chain 11 (gray; Opal™570) on mouse prostate.

Panel B : anti-E Cadherin staining epithelium in mouse prostate.

Panel C : ant-Cytokeratin 5 staining basal cells in mouse prostate.

Panel D : ant-smooth muscle Myosin heavy chain 11 staining smooth muscle in mouse prostate.

Nuclear DNA was labeled with DAPI (shown in blue).

The section was incubated in three rounds of staining : in the order of ab324191, ab236216 and ab240983 for 30 mins at room temperature. Each round was followed by a separate fluorescent tyramide signal amplification system.

The immunostaining was performed on a Leica Biosystems BOND® RX instrument with an Opal™ 4-color kit. Image acquisition was performed with Leica SP8 confocal microscope.

Multiplex immunohistochemistry - Anti-E Cadherin antibody [EPR30045-525] (AB324191)
  • mIHC

Lab

Multiplex immunohistochemistry - Anti-E Cadherin antibody [EPR30045-525] (AB324191)

Multiplex immunohistochemistry analysis of formalin/PFA-fixed paraffin-embedded mouse breast tissue staining CD34 with ab316277 at a 1 : 10000 (0.05 ug/ml) dilution, ab324191 E Cadherin used at 1 : 500 (0.228 ug/ml) dilution and ab316115 Perilipin-1 used at 1 : 2000 (0.251 μg/ml) dilution.

Panel A : merged staining of anti-CD34 (green; Opal™570), anti-E Cadherin (magenta; Opal™690) and anti-Perilipin-1 (gray; Opal™570) on mouse breast.

Panel B : anti-CD34 staining endothelium in mouse breast.

Panel C : ant-E Cadherin staining epithelium in mouse breast.

Panel D : ant-Perilipin-1 staining adipocytes in mouse breast.

Nuclear DNA was labeled with DAPI (shown in blue).

The section was incubated in three rounds of staining : in the order of ab316277, ab324191 and ab316115 for 30 mins at room temperature. Each round was followed by a separate fluorescent tyramide signal amplification system.

The immunostaining was performed on a Leica Biosystems BOND® RX instrument with an Opal™ 4-color kit. Image acquisition was performed with Leica SP8 confocal microscope.

Heat mediated antigen retrieval was performed with Tris-EDTA buffer (pH 9.0, Epitope Retrieval Solution2) for 20 mins.

Immunohistochemistry (Formalin/PFA-fixed paraffin-embedded sections) - Anti-E Cadherin antibody [EPR30045-525] (AB324191)
  • IHC-P

Supplier Data

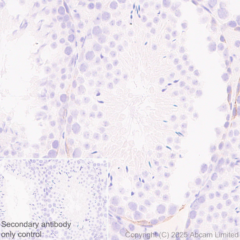
Immunohistochemistry (Formalin/PFA-fixed paraffin-embedded sections) - Anti-E Cadherin antibody [EPR30045-525] (AB324191)

Immunohistochemical analysis of paraffin-embedded Mouse testis tissue labeling E Cadherin with ab324191 at 1/500 (2.088 ug/ml) dilution, followed by a ready to use LeicaDS9800 (Bond™ Polymer Refine Detection).

Low expression : weak staining on mouse testis. The primary antibody was incubated for 30 mins at room temperature.
The immunostaining was performed on a Leica Biosystems BOND® RX instrument

Counterstained with Hematoxylin.

Secondary antibody only control : Secondary antibody is a ready to use LeicaDS9800 (Bond™ Polymer Refine Detection).

Heat mediated antigen retrieval was performed with Tris-EDTA buffer (pH 9.0, Epitope Retrieval Solution2) for 20 mins

Immunohistochemistry (Formalin/PFA-fixed paraffin-embedded sections) - Anti-E Cadherin antibody [EPR30045-525] (AB324191)
  • IHC-P

Supplier Data

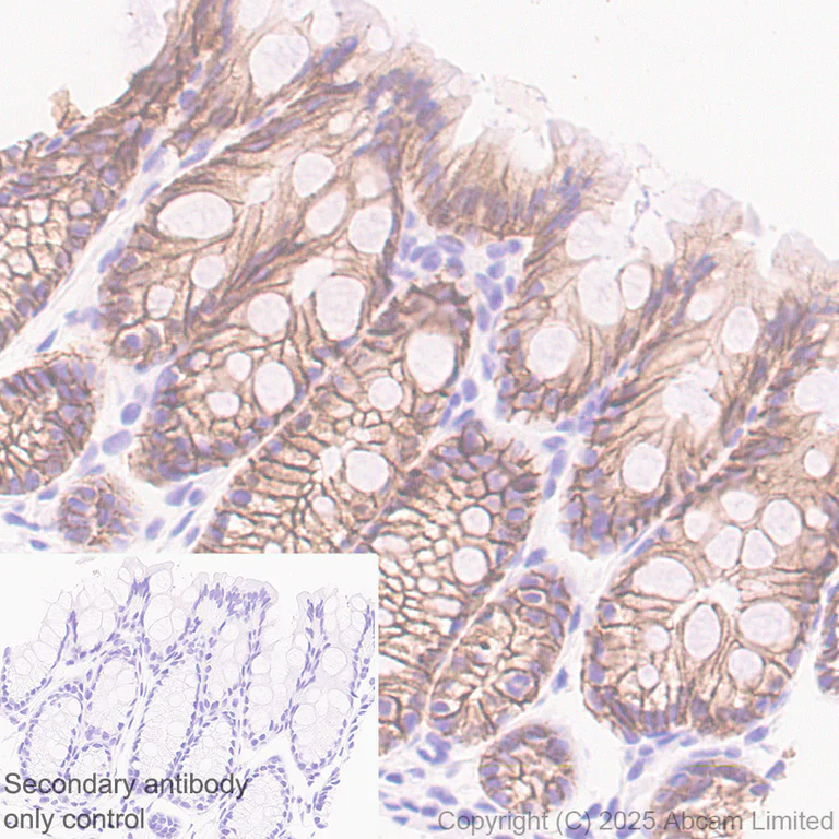
Immunohistochemistry (Formalin/PFA-fixed paraffin-embedded sections) - Anti-E Cadherin antibody [EPR30045-525] (AB324191)

Immunohistochemical analysis of paraffin-embedded Mouse colon tissue labeling E Cadherin with ab324191 at 1/500 (2.088 ug/ml) dilution, followed by a ready to use LeicaDS9800 (Bond™ Polymer Refine Detection).

Positive staining on mouse colon (PMID : 35371360). The primary antibody was incubated for 30 mins at room temperature.
The immunostaining was performed on a Leica Biosystems BOND® RX instrument

Counterstained with Hematoxylin.

Secondary antibody only control : Secondary antibody is a ready to use LeicaDS9800 (Bond™ Polymer Refine Detection).

Heat mediated antigen retrieval was performed with Tris-EDTA buffer (pH 9.0, Epitope Retrieval Solution2) for 20 mins

Immunocytochemistry/ Immunofluorescence - Anti-E Cadherin antibody [EPR30045-525] (AB324191)
  • ICC/IF

Supplier Data

Immunocytochemistry/ Immunofluorescence - Anti-E Cadherin antibody [EPR30045-525] (AB324191)

Immunofluorescent analysis of 4% Paraformaldehyde-fixed, 0.1% TritonX-100 permeabilized HC11 (mouse mammary gland epithelial cell) cells labelling E Cadherin with ab324191 at 1/100 (5.22 ug/ml) dilution, followed by ab150081 Goat Anti-Rabbit IgG H&L (Alexa Fluor® 488) preadsorbed antibody at 1/1000 dilution (Green).

Confocal image showing membranous staining in HC11 cell line and no staining in EL4 cell line (shown in green). The counterstain was observed in magenta. Nuclear DNA was labelled with DAPI (shown in blue).
Negative control : EL4.
Image was taken with a confocal microscope (Leica-Microsystems, TCS SP8).

ab7291 Anti-alpha Tubulin mouse monoclonal antibody was used to counterstain tubulin at 1/1000 dilution (Magenta). The Nuclear counterstain was DAPI (Blue).

-ve control 1 : ab324191 at 1/100 dilution, followed by ab150120 Goat Anti-Mouse IgG H&L (Alexa Fluor® 594) antibody at 1/1000 dilution. -ve control 2 : ab7291 at 1/1000 dilution, followed by ab150081 Goat Anti-Rabbit IgG H&L (Alexa Fluor® 488) antibody at 1/1000 dilution.

Immunohistochemistry (Formalin/PFA-fixed paraffin-embedded sections) - Anti-E Cadherin antibody [EPR30045-525] (AB324191)
  • IHC-P

Supplier Data

Immunohistochemistry (Formalin/PFA-fixed paraffin-embedded sections) - Anti-E Cadherin antibody [EPR30045-525] (AB324191)

Immunohistochemical analysis of paraffin-embedded Mouse breast cancer tissue labeling E Cadherin with ab324191 at 1/500 (2.088 ug/ml) dilution, followed by a ready to use LeicaDS9800 (Bond™ Polymer Refine Detection).

Positive staining on mouse breast cancer. The primary antibody was incubated for 30 mins at room temperature.
The immunostaining was performed on a Leica Biosystems BOND® RX instrument

Counterstained with Hematoxylin.

Secondary antibody only control : Secondary antibody is a ready to use LeicaDS9800 (Bond™ Polymer Refine Detection).

Heat mediated antigen retrieval was performed with Tris-EDTA buffer (pH 9.0, Epitope Retrieval Solution2) for 20 mins

Immunohistochemistry (Frozen sections) - Anti-E Cadherin antibody [EPR30045-525] (AB324191)
  • IHC-Fr

Supplier Data

Immunohistochemistry (Frozen sections) - Anti-E Cadherin antibody [EPR30045-525] (AB324191)

Immunohistochemical analysis of 4% PFA-fixed, 0.2% Triton X-100 permeabilized frozen Mouse colon (fresh frozen) tissue labeling E Cadherin with ab324191 at 1/100 (5.22 ug/ml) dilution followed by ab150081 Goat Anti-Rabbit IgG H&L (Alexa Fluor® 488) preadsorbed at 1/1000 2 ug/mL dilution (Green).

Confocal image showing positive staining on mouse colon. The nuclear counterstain was DAPI (Blue). The section was incubated with the primary antibody for 60 mins at room temperature. The section was then mounted using Fluoromount®.The immunostaining was performed on a Leica Biosystems BOND® RX instrument. Image was taken with a confocal microscope (Leica-Microsystems, TCS SP8).

Secondary antibody control : Secondary antibody is ab150081 Goat Anti-Rabbit IgG H&L (Alexa Fluor® 488) preadsorbedat 1/1000 2 ug/mL dilution.

Immunohistochemistry (Frozen sections) - Anti-E Cadherin antibody [EPR30045-525] (AB324191)
  • IHC-Fr

Supplier Data

Immunohistochemistry (Frozen sections) - Anti-E Cadherin antibody [EPR30045-525] (AB324191)

Immunohistochemical analysis of 4% PFA-fixed, 0.2% Triton X-100 permeabilized frozen Mouse testis (fresh frozen) tissue labeling E Cadherin with ab324191 at 1/100 (5.22 ug/ml) dilution followed by ab150081 Goat Anti-Rabbit IgG H&L (Alexa Fluor® 488) preadsorbed at 1/1000 2 ug/mL dilution (Green).

Low expression : confocal image showing positive staining on mouse testis. The nuclear counterstain was DAPI (Blue). The section was incubated with the primary antibody for 60 mins at room temperature. The section was then mounted using Fluoromount®.The immunostaining was performed on a Leica Biosystems BOND® RX instrument. Image was taken with a confocal microscope (Leica-Microsystems, TCS SP8).

Secondary antibody control : Secondary antibody is ab150081 Goat Anti-Rabbit IgG H&L (Alexa Fluor® 488) preadsorbedat 1/1000 2 ug/mL dilution.

Multiplex immunohistochemistry - Anti-E Cadherin antibody [EPR30045-525] (AB324191)
  • mIHC

Lab

Multiplex immunohistochemistry - Anti-E Cadherin antibody [EPR30045-525] (AB324191)

Multiplex immunohistochemistry analysis of formalin/PFA-fixed paraffin-embedded mouse breast tissue staining Hormone sensitive lipase/HSL with ab325336 at a 1/2000 (0.248 μg/ml) dilution, ab324191 anti-E Cadherin used at a 1/500 (2.088 μg/ml) dilution and ab180862 anti-SOX10 used at a 1/4000 (0.03 μg/ml) dilution.

Panel A : anti-Hormone sensitive lipase/HSL (green; Opal™520), anti-E Cadherin (magenta; Opal™690), anti-SOX10 (gray; Opal™570) on mouse breast.

Panel B : anti-Hormone sensitive lipase/HSL staining adipocytes in mouse breast.

Panel C : anti-E Cadherin staining epithelium in mouse breast.

Panel D : anti-SOX10 staining on nucleus in mouse breast.

Nuclear DNA was labeled with DAPI (shown in blue).

The section was incubated in three rounds of staining : in the order of ab325336, ab324191 and ab180862 for 30 mins at room temperature. Each round was followed by a separate fluorescent tyramide signal amplification system.

The immunostaining was performed on a Leica Biosystems BOND® RX instrument with an Opal™ 4-color kit. Image acquisition was performed with Leica SP8 confocal microscope.

Heat mediated antigen retrieval was performed with Tris-EDTA buffer (pH 9.0, Epitope Retrieval Solution2) for 20 mins.

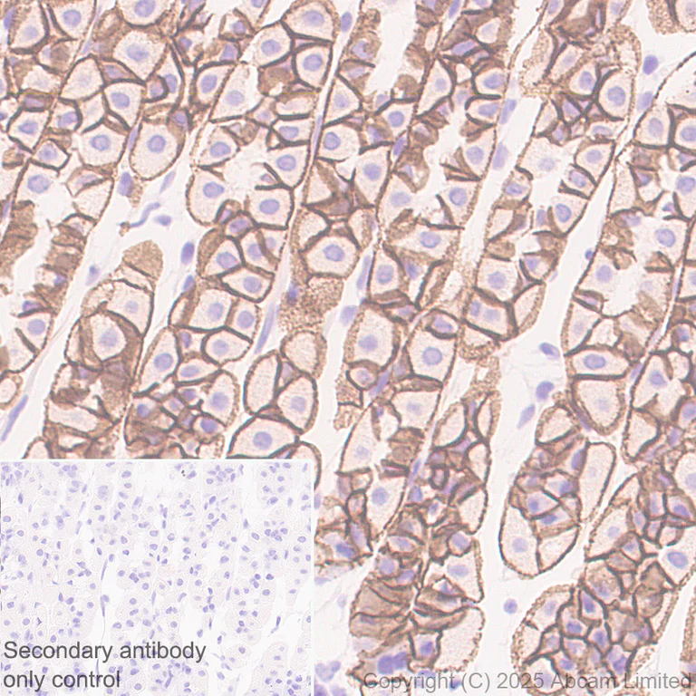
Immunohistochemistry (Formalin/PFA-fixed paraffin-embedded sections) - Anti-E Cadherin antibody [EPR30045-525] (AB324191)
  • IHC-P

Supplier Data

Immunohistochemistry (Formalin/PFA-fixed paraffin-embedded sections) - Anti-E Cadherin antibody [EPR30045-525] (AB324191)

Immunohistochemical analysis of paraffin-embedded Mouse stomach tissue labeling E Cadherin with ab324191 at 1/500 (2.088 ug/ml) dilution, followed by a ready to use LeicaDS9800 (Bond™ Polymer Refine Detection).

Positive staining on mouse stomach. The primary antibody was incubated for 30 mins at room temperature.
The immunostaining was performed on a Leica Biosystems BOND® RX instrument

Counterstained with Hematoxylin.

Secondary antibody only control : Secondary antibody is a ready to use LeicaDS9800 (Bond™ Polymer Refine Detection).

Heat mediated antigen retrieval was performed with Tris-EDTA buffer (pH 9.0, Epitope Retrieval Solution2) for 20 mins

  • Carrier free

    Anti-E Cadherin antibody [EPR30045-525] - BSA and Azide free

Key facts

Host species

Rabbit

Clonality

Monoclonal

Clone number

EPR30045-525

Isotype

IgG

Carrier free

No

Reacts with

Mouse

Applications

mIHC, ICC/IF, IHC-Fr, IHC-P

applications

Immunogen

The exact immunogen used to generate this antibody is proprietary information.

Reactivity data

{ "title": "Reactivity Data", "filters": { "stats": ["", "Species", "Dilution Info", "Notes"], "tabs": { "all-applications": {"fullname" : "All Applications", "shortname": "All Applications"}, "IHCFr" : {"fullname" : "Immunohistochemistry (Frozen sections)", "shortname":"IHC-Fr"}, "ICCIF" : {"fullname" : "Immunocytochemistry/ Immunofluorescence", "shortname":"ICC/IF"}, "IHCP" : {"fullname" : "Immunohistochemistry (Formalin/PFA-fixed paraffin-embedded sections)", "shortname":"IHC-P"}, "mIHC" : {"fullname" : "Multiplex immunohistochemistry", "shortname":"mIHC"} }, "product-promise": { "all": "all", "testedAndGuaranteed": "tested", "guaranteed": "expected", "predicted": "predicted", "notRecommended": "not-recommended" } }, "values": { "Mouse": { "IHCFr-species-checked": "testedAndGuaranteed", "IHCFr-species-dilution-info": "1/100", "IHCFr-species-notes": "<p></p>", "ICCIF-species-checked": "testedAndGuaranteed", "ICCIF-species-dilution-info": "1/100", "ICCIF-species-notes": "<p></p>", "IHCP-species-checked": "testedAndGuaranteed", "IHCP-species-dilution-info": "1/500", "IHCP-species-notes": "<p></p> Perform heat-mediated antigen retrieval with Tris/EDTA buffer pH 9.0 before commencing with IHC staining protocol.", "mIHC-species-checked": "testedAndGuaranteed", "mIHC-species-dilution-info": "1/500", "mIHC-species-notes": "<p></p>" }, "Transfected cell line - Mouse": { "IHCFr-species-checked": "notRecommended", "IHCFr-species-dilution-info": "", "IHCFr-species-notes": "", "ICCIF-species-checked": "testedAndGuaranteed", "ICCIF-species-dilution-info": "1/100", "ICCIF-species-notes": "<p></p>", "IHCP-species-checked": "notRecommended", "IHCP-species-dilution-info": "", "IHCP-species-notes": "", "mIHC-species-checked": "notRecommended", "mIHC-species-dilution-info": "", "mIHC-species-notes": "" } } }

Product details

Patented technology
Our RabMAb® technology is a patented hybridoma-based technology for making rabbit monoclonal antibodies. For details on our patents, please refer to RabMAb® patents.

What are the advantages of a recombinant monoclonal antibody?
This product is a recombinant monoclonal antibody, which offers several advantages including:

  • - High batch-to-batch consistency and reproducibility
  • - Improved sensitivity and specificity
  • - Long-term security of supply
  • - Animal-free batch production

For more information, read more on recombinant antibodies.

Properties and storage information

Form
Liquid
Purification technique
Affinity purification Protein A
Storage buffer
pH: 7.2 - 7.4 Preservative: 0.01% Sodium azide Constituents: PBS, 40% Glycerol (glycerin, glycerine), 0.05% BSA
Shipped at conditions
Blue Ice
Appropriate short-term storage duration
1-2 weeks
Appropriate short-term storage conditions
+4°C
Appropriate long-term storage conditions
-20°C
Aliquoting information
Upon delivery aliquot
Storage information
Avoid freeze / thaw cycle

Product protocols

For this product, it's our understanding that no specific protocols are required. You can visit:

Target data

Cadherins are calcium-dependent cell adhesion proteins (PubMed : 11976333). They preferentially interact with themselves in a homophilic manner in connecting cells; cadherins may thus contribute to the sorting of heterogeneous cell types. CDH1 is involved in mechanisms regulating cell-cell adhesions, mobility and proliferation of epithelial cells (PubMed : 11976333). Promotes organization of radial actin fiber structure and cellular response to contractile forces, via its interaction with AMOTL2 which facilitates anchoring of radial actin fibers to CDH1 junction complexes at the cell membrane (By similarity). Plays a role in the early stages of desmosome cell-cell junction formation via facilitating the recruitment of DSG2 and DSP to desmosome plaques (By similarity). Has a potent invasive suppressor role. It is a ligand for integrin alpha-E/beta-7 (By similarity).. E-Cad/CTF2 promotes non-amyloidogenic degradation of Abeta precursors. Has a strong inhibitory effect on APP C99 and C83 production (By similarity).. (Microbial infection) Does not function as a receptor for L.monocytogenes internalin A (InlA); mutating a single surface-exposed residue confers receptor activity to this protein and promotes uptake of the bacteria.
See full target information Cdh1

Product promise

We are committed to supporting your work with high-quality reagents, and we're here for you every step of the way. In the unlikely event that one of our products does not perform as expected, you're protected by our Product Promise.
For full details, please see our Terms & Conditions

Please note: All products are 'FOR RESEARCH USE ONLY. NOT FOR USE IN DIAGNOSTIC OR THERAPEUTIC PROCEDURES'.

For licensing inquiries, please contact partnerships@abcam.com