JavaScript is disabled in your browser. Please enable JavaScript to view this website.
AB226779

Anti-E Cadherin (phospho S838 + S840) antibody

Be the first to review this product! Submit a review

|

(2 Publications)

Rabbit Polyclonal E Cadherin phospho S838 + S840 antibody. Suitable for IP, WB and reacts with Human, Rat, Mouse samples. Cited in 2 publications. Immunogen corresponding to Synthetic Peptide within Human CDH1 phospho S838 + S840.

View Alternative Names

CD324, CDHE, UVO, CDH1, Cadherin-1, CAM 120/80, Epithelial cadherin, Uvomorulin, E-cadherin

6 Images
Immunoprecipitation - Anti-E Cadherin (phospho S838 + S840) antibody (AB226779)
  • IP

Supplier Data

Immunoprecipitation - Anti-E Cadherin (phospho S838 + S840) antibody (AB226779)

E Cadherin (phospho S838 + S840) was immunoprecipitated from MCF7 (human breast adenocarcinoma cell line) whole cell extract with 5 μg ab226779. Western blot was performed from the immunoprecipitate using ab226779.

Lane 1 : MCF7 whole cell extract.

Lane 2 : Control IgG IP in MCF7 whole cell extract.

Lane 3 : ab226779 IP in MCF7 whole cell extract.

All lanes:

Immunoprecipitation - Anti-E Cadherin (phospho S838 + S840) antibody (ab226779)

Predicted band size: 97 kDa

false

Western blot - Anti-E Cadherin (phospho S838 + S840) antibody (AB226779)
  • WB

Supplier Data

Western blot - Anti-E Cadherin (phospho S838 + S840) antibody (AB226779)

5% SDS-PAGE gel.

All lanes:

Western blot - Anti-E Cadherin (phospho S838 + S840) antibody (ab226779) at 1/10000 dilution

Lane 1:

MCF7 (human breast adenocarcinoma cell line) whole cell extract at 30 µg

Lane 2:

MCF7 (human breast adenocarcinoma cell line) treated with CIP (calf-intestinal alkaline phosphatase), whole cell extract at 30 µg

Lane 3:

MCF7 (human breast adenocarcinoma cell line) treated with pervanadate, whole cell extract at 30 µg

Predicted band size: 97 kDa

false

Western blot - Anti-E Cadherin (phospho S838 + S840) antibody (AB226779)
  • WB

Supplier Data

Western blot - Anti-E Cadherin (phospho S838 + S840) antibody (AB226779)

Samples were separated by 7.5% SDS PAGE.

All lanes:

Western blot - Anti-E Cadherin (phospho S838 + S840) antibody (ab226779) at 1/1000 dilution

Lane 1:

Untreated A431 cell lysates at 30 µg

Lane 2:

A431 cell lysates treated with CIP at 30 µg

Secondary

All lanes:

HRP-conjugated anti-rabbit IgG antibody

Predicted band size: 97 kDa

false

Western blot - Anti-E Cadherin (phospho S838 + S840) antibody (AB226779)
  • WB

Supplier Data

Western blot - Anti-E Cadherin (phospho S838 + S840) antibody (AB226779)

7.5% SDS-PAGE gel.

All lanes:

Western blot - Anti-E Cadherin (phospho S838 + S840) antibody (ab226779) at 1/10000 dilution

All lanes:

Rat brain tissue extract at 50 µg

Predicted band size: 97 kDa

false

Western blot - Anti-E Cadherin (phospho S838 + S840) antibody (AB226779)
  • WB

Supplier Data

Western blot - Anti-E Cadherin (phospho S838 + S840) antibody (AB226779)

Samples were separated by 7.5% SDS PAGE.

All lanes:

Western blot - Anti-E Cadherin (phospho S838 + S840) antibody (ab226779) at 1/10000 dilution

Lane 1:

Untreated mouse colon tissue lysates at 50 µg

Lane 2:

Mouse colon tissue lysates treated with CIP at 50 µg

Secondary

All lanes:

HRP-conjugated anti-rabbit IgG antibody

Predicted band size: 97 kDa

false

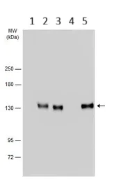
Western blot - Anti-E Cadherin (phospho S838 + S840) antibody (AB226779)
  • WB

Supplier Data

Western blot - Anti-E Cadherin (phospho S838 + S840) antibody (AB226779)

Samples were separated by 5% SDS PAGE.

All lanes:

Western blot - Anti-E Cadherin (phospho S838 + S840) antibody (ab226779) at 1/1000 dilution

Lane 1:

Neuro2a whole cell extracts at 30 µg

Lane 2:

C8D30 whole cell extracts at 30 µg

Lane 3:

NIH-3T3 whole cell extracts at 30 µg

Lane 4:

Raw264.7 whole cell extracts at 30 µg

Lane 5:

C2C12 whole cell extracts at 30 µg

Secondary

All lanes:

HRP-conjugated anti-rabbit IgG antibody

Predicted band size: 97 kDa

false

Key facts

Host species

Rabbit

Clonality

Polyclonal

Isotype

IgG

Carrier free

No

Reacts with

Rat, Human, Mouse

Applications

IP, WB

applications

Immunogen

Synthetic Peptide within Human CDH1 phospho S838 + S840. The exact immunogen used to generate this antibody is proprietary information.

P12830

Reactivity data

{ "title": "Reactivity Data", "filters": { "stats": ["", "Species", "Dilution Info", "Notes"], "tabs": { "all-applications": {"fullname" : "All Applications", "shortname": "All Applications"}, "IP" : {"fullname" : "Immunoprecipitation", "shortname":"IP"}, "WB" : {"fullname" : "Western blot", "shortname":"WB"} }, "product-promise": { "all": "all", "testedAndGuaranteed": "tested", "guaranteed": "expected", "predicted": "predicted", "notRecommended": "not-recommended" } }, "values": { "Human": { "IP-species-checked": "testedAndGuaranteed", "IP-species-dilution-info": "1/72 - 1/500", "IP-species-notes": "<p></p>", "WB-species-checked": "testedAndGuaranteed", "WB-species-dilution-info": "1/500 - 1/3000", "WB-species-notes": "<p></p>" }, "Mouse": { "IP-species-checked": "guaranteed", "IP-species-dilution-info": "", "IP-species-notes": "", "WB-species-checked": "testedAndGuaranteed", "WB-species-dilution-info": "1/500 - 1/3000", "WB-species-notes": "<p></p>" }, "Rat": { "IP-species-checked": "guaranteed", "IP-species-dilution-info": "", "IP-species-notes": "", "WB-species-checked": "testedAndGuaranteed", "WB-species-dilution-info": "1/500 - 1/3000", "WB-species-notes": "<p></p>" }, "Dog": { "IP-species-checked": "predicted", "IP-species-dilution-info": "", "IP-species-notes": "", "WB-species-checked": "predicted", "WB-species-dilution-info": "", "WB-species-notes": "" }, "Pig": { "IP-species-checked": "predicted", "IP-species-dilution-info": "", "IP-species-notes": "", "WB-species-checked": "predicted", "WB-species-dilution-info": "", "WB-species-notes": "" }, "Xenopus laevis": { "IP-species-checked": "predicted", "IP-species-dilution-info": "", "IP-species-notes": "", "WB-species-checked": "predicted", "WB-species-dilution-info": "", "WB-species-notes": "" } } }

Properties and storage information

Form
Liquid
Purification technique
Affinity purification Immunogen
Storage buffer
pH: 7 Preservative: 0.025% Proclin 300 Constituents: PBS, 20% Glycerol (glycerin, glycerine), 1% BSA
Shipped at conditions
Blue Ice
Appropriate short-term storage duration
1-2 weeks
Appropriate short-term storage conditions
+4°C
Appropriate long-term storage conditions
-20°C
Aliquoting information
Upon delivery aliquot
Storage information
Avoid freeze / thaw cycle

Supplementary information

This supplementary information is collated from multiple sources and compiled automatically.

E-Cadherin sometimes called CDH1 or Cadherin-1 is a protein that plays a role in cell-to-cell adhesion. This transmembrane protein has a molecular weight of approximately 120 kDa. E-Cadherin is mainly expressed in epithelial tissues of various organs including the skin and gut. Its adhesive function is made possible by its extracellular domain that facilitates homophilic binding between cells contributing to the maintenance of tissue architecture and cellular integrity.
Biological function summary

E-Cadherin participates in establishing and maintaining adherens junctions which are vital for tissue structure. E-Cadherin operates as a core component of the cadherin-catenin complex which links the protein to the actin cytoskeleton. Through this linkage E-Cadherin plays an important role in signaling pathways that influence cellular growth and differentiation. The protein's ability to mediate intercellular connections also regulates cellular motility and supports basic aspects of cell behavior in epithelial tissues.

Pathways

E-Cadherin influences both the Wnt signaling pathway and the epithelial-to-mesenchymal transition (EMT). Within the Wnt signaling pathway E-Cadherin partners with β-catenin a significant player in transcription regulation and cell signaling. Disruption in E-Cadherin's adhesive functionality can lead to increased β-catenin availability affecting downstream transcriptional control. In the EMT process E-Cadherin loss characterizes an important step in which cells gain migratory and invasive properties typically seen during metastasis in cancer progression.

E-Cadherin's role is prominent in cancer particularly in the context of gastric and breast cancers. Mutations or altered expression of E-Cadherin lead to diminished cell adhesion promoting tumorigenesis and metastatic spread. In gastric cancer for instance mutated E-Cadherin often associates with loss of epithelial function facilitating cancer cell dissemination. Additionally its loss or dysfunction may correlate with proteins such as β-catenin further impacting cancer progression and pathology.

Product protocols

For this product, it's our understanding that no specific protocols are required. You can visit:

Target data

CDH1 encodes a protein that is a calcium-dependent cell adhesion molecule, playing a role in cell-cell adhesion, mobility, and proliferation in epithelial cells. It acts as a potent invasive suppressor and serves as a ligand for integrin alpha-E/beta-7. The protein contributes to the sorting of heterogeneous cell types due to its homophilic interactions. E-Cad/CTF2, a product of CDH1, promotes the non-amyloidogenic degradation of Abeta precursors and strongly inhibits the production of APP C99 and C83. Additionally, in the context of microbial infection, it functions as a receptor for Listeria monocytogenes, with internalin A binding to it to promote bacterial uptake. This supplementary information is collated from multiple sources and compiled automatically.
See full target information CDH1 phospho S838 + S840

Publications (2)

Recent publications for all applications. Explore the full list and refine your search

Signal transduction and targeted therapy 10:280 PubMed40887473

2025

Focal adhesion kinase/Src family kinase axis-mediated tyrosine phosphorylation of metabolic enzymes facilitates tumor metastasis.

Applications

Unspecified application

Species

Unspecified reactive species

Jie Chen,Jing Zhang,Yuheng Zhu,Yanmeng Zhu,Jingyuan Pang,Qingnan Wu,Yan Wang,Qimin Zhan

iScience 28:111989 PubMed40083715

2025

TAF7 directly targets SAA1 to enhance triple-negative breast cancer metastasis via phosphorylating E-cadherin and N-cadherin.

Applications

Unspecified application

Species

Unspecified reactive species

Wanjun Zhang,Jun Wang,Hanning Li,Xue Zhang,Dunjie Yao,Huimin Zhang,Xinhong Zhou,Jiaqi Nie,Tongxing Lai,Haichuan Zhu,Yiping Gong,Yoshimasa Tanaka,Xingrui Li,Xinghua Liao,Li Su
View all publications

Product promise

We are committed to supporting your work with high-quality reagents, and we're here for you every step of the way. In the unlikely event that one of our products does not perform as expected, you're protected by our Product Promise.
For full details, please see our Terms & Conditions

Please note: All products are 'FOR RESEARCH USE ONLY. NOT FOR USE IN DIAGNOSTIC OR THERAPEUTIC PROCEDURES'.

For licensing inquiries, please contact partnerships@abcam.com