JavaScript is disabled in your browser. Please enable JavaScript to view this website.
AB76319

Anti-E Cadherin (phospho S838 + S840) antibody [EP913(2)Y]

  • BOND RX™ Validated
  • RabMAb
  • Recombinant
  • Lab Essentials
  • 20ul selling size
  • What is this?

5

(2 Reviews)

|

(70 Publications)

Rabbit Recombinant Monoclonal E Cadherin phospho S838 + S840 antibody. Suitable for WB, IHC-P and reacts with Mouse, Rat, Human samples. Cited in 70 publications.

View Alternative Names

CD324, CDHE, UVO, CDH1, Cadherin-1, CAM 120/80, Epithelial cadherin, Uvomorulin, E-cadherin

6 Images
Immunohistochemistry (Formalin/PFA-fixed paraffin-embedded sections) - Anti-E Cadherin (phospho S838 + S840) antibody [EP913(2)Y] (AB76319)
  • IHC-P

Lab

Immunohistochemistry (Formalin/PFA-fixed paraffin-embedded sections) - Anti-E Cadherin (phospho S838 + S840) antibody [EP913(2)Y] (AB76319)

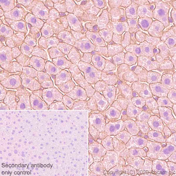
Immunohistochemistry (Formalin/PFA-fixed paraffin-embedded sections) analysis of rat liver tissue sections labeling E Cadherin with Purified ab76319 at 1 : 80000 dilution (0.009 µg/ml). Heat mediated antigen retrieval using Bond™ Epitope Retrieval Solution 2 (pH 9.0). Rabbit specific IHC polymer detection kit HRP/DAB (ab209101) was used as the secondary antibody. Negative control : PBS instead of the primary antibody. Hematoxylin was used as a counterstain.

Western blot - Anti-E Cadherin (phospho S838 + S840) antibody [EP913(2)Y] (AB76319)
  • WB

Unknown

Western blot - Anti-E Cadherin (phospho S838 + S840) antibody [EP913(2)Y] (AB76319)

Blocking buffer : 5% NFDM/TBST

All lanes:

Western blot - Anti-E Cadherin (phospho S838 + S840) antibody [EP913(2)Y] (ab76319) at 1/10000 dilution

All lanes:

Mouse brain lysate at 15 µg

Secondary

All lanes:

Western blot - Goat Anti-Rabbit IgG H&L (HRP) (<a href='/en-us/products/secondary-antibodies/goat-rabbit-igg-h-l-hrp-ab97051'>ab97051</a>) at 1/20000 dilution

Predicted band size: 97 kDa

Observed band size: 145 kDa

false

Immunohistochemistry (Formalin/PFA-fixed paraffin-embedded sections) - Anti-E Cadherin (phospho S838 + S840) antibody [EP913(2)Y] (AB76319)
  • IHC-P

AbReview44796****

Immunohistochemistry (Formalin/PFA-fixed paraffin-embedded sections) - Anti-E Cadherin (phospho S838 + S840) antibody [EP913(2)Y] (AB76319)

Unpurified ab76319 staining E Cadherin in mouse skin (pilosebaceous untis) tissue sections by Immunohistochemistry (IHC-P - paraformaldehyde-fixed, paraffin-embedded sections). Tissue was fixed with paraformaldehyde, permeabilized with Tween-20 and blocked with 10% normal donkey serum + 1% serum for 40 minutes at room temperature; antigen retrieval was by heat mediation in a citrate buffer, pH 6. Samples were incubated with primary antibody (1/400 in 1% BSA) for 16 hours at 4°C. An Alexa Fluor® 488-conjugated donkey anti-rabbit IgG polyclonal (1/400) was used as the secondary antibody.

This image is courtesy of an anonymous Abreview.

Immunohistochemistry (Formalin/PFA-fixed paraffin-embedded sections) - Anti-E Cadherin (phospho S838 + S840) antibody [EP913(2)Y] (AB76319)
  • IHC-P

Lab

Immunohistochemistry (Formalin/PFA-fixed paraffin-embedded sections) - Anti-E Cadherin (phospho S838 + S840) antibody [EP913(2)Y] (AB76319)

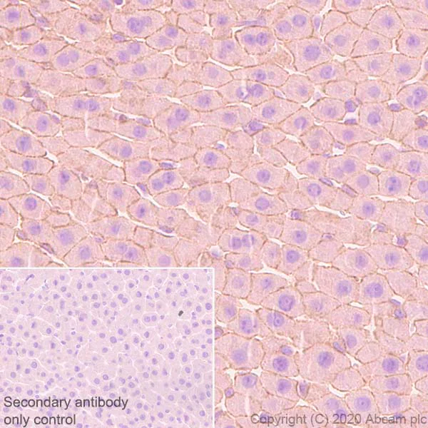
Immunohistochemistry (Formalin/PFA-fixed paraffin-embedded sections) analysis of mouse liver tissue sections labeling E Cadherin with Purified ab76319 at 1 : 80000 dilution (0.009 µg/ml). Heat mediated antigen retrieval using Bond™ Epitope Retrieval Solution 2 (pH 9.0). Rabbit specific IHC polymer detection kit HRP/DAB (ab209101) was used as the secondary antibody. Negative control : PBS instead of the primary antibody. Hematoxylin was used as a counterstain.

Immunohistochemistry (Formalin/PFA-fixed paraffin-embedded sections) - Anti-E Cadherin (phospho S838 + S840) antibody [EP913(2)Y] (AB76319)
  • IHC-P

Lab

Immunohistochemistry (Formalin/PFA-fixed paraffin-embedded sections) - Anti-E Cadherin (phospho S838 + S840) antibody [EP913(2)Y] (AB76319)

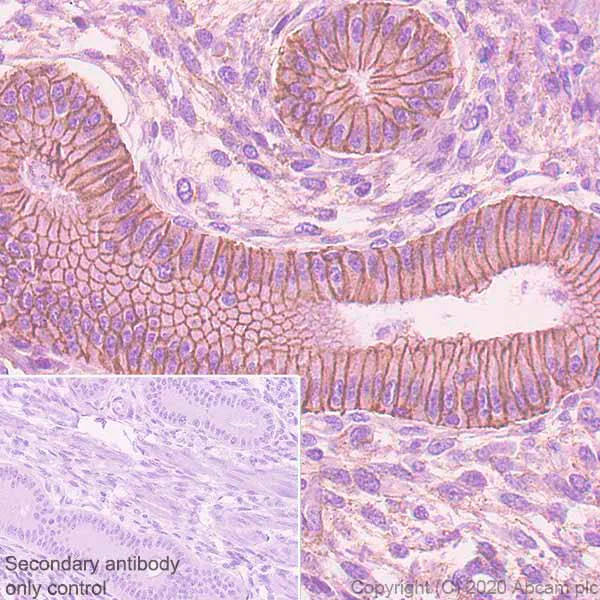
Immunohistochemistry (Formalin/PFA-fixed paraffin-embedded sections) analysis of human endometrium tissue sections labeling E Cadherin with Purified ab76319 at 1 : 80000 dilution (0.009 µg/ml). Heat mediated antigen retrieval using Bond™ Epitope Retrieval Solution 2 (pH 9.0). Rabbit specific IHC polymer detection kit HRP/DAB (ab209101) was used as the secondary antibody. Negative control : PBS instead of the primary antibody. Hematoxylin was used as a counterstain.

Western blot - Anti-E Cadherin (phospho S838 + S840) antibody [EP913(2)Y] (AB76319)
  • WB

Unknown

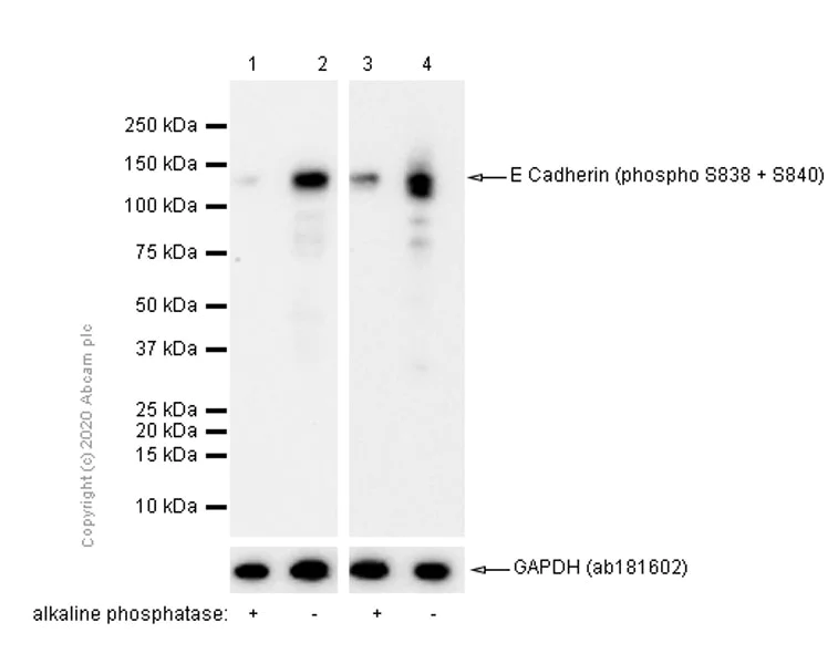
Western blot - Anti-E Cadherin (phospho S838 + S840) antibody [EP913(2)Y] (AB76319)

Blocking buffer : 5% NFDM/TBST

All lanes:

Western blot - Anti-E Cadherin (phospho S838 + S840) antibody [EP913(2)Y] (ab76319) at 1/500000 dilution

Lane 1:

Human brain lysate, membrane treated with Alkaline Phosphatase for 1 hour at 15 µg

Lane 2:

Human brain lysate at 15 µg

Lane 3:

Rat brain lysate, membrane treated with Alkaline Phosphatase for 1 hour at 15 µg

Lane 4:

Rat brain lysate at 15 µg

Secondary

All lanes:

Western blot - Goat Anti-Rabbit IgG H&L (HRP) (<a href='/en-us/products/secondary-antibodies/goat-rabbit-igg-h-l-hrp-ab97051'>ab97051</a>) at 1/20000 dilution

Predicted band size: 97 kDa

Observed band size: 145 kDa

false

  • Carrier free

    Anti-E Cadherin (phospho S838 + S840) antibody [EP913(2)Y] - BSA and Azide free

  • 665 Alexa Fluor® 647

    Alexa Fluor® 647 Anti-E Cadherin (phospho S838 + S840) antibody [EP913(2)Y]

  • 565 Alexa Fluor® 555

    Alexa Fluor® 555 Anti-E Cadherin (phospho S838 + S840)antibody [EP913(2)Y]

  • 617 Alexa Fluor® 594

    Alexa Fluor® 594 Anti-E Cadherin (phospho S838 + S840) antibody [EP913(2)Y]

Key facts

Host species

Rabbit

Clonality

Monoclonal

Clone number

EP913(2)Y

Isotype

IgG

Carrier free

No

Reacts with

Mouse, Rat, Human

Applications

WB, IHC-P

applications

Immunogen

The exact immunogen used to generate this antibody is proprietary information.

Reactivity data

{ "title": "Reactivity Data", "filters": { "stats": ["", "Species", "Dilution Info", "Notes"], "tabs": { "all-applications": {"fullname" : "All Applications", "shortname": "All Applications"}, "ICCIF" : {"fullname" : "Immunocytochemistry/ Immunofluorescence", "shortname":"ICC/IF"}, "IP" : {"fullname" : "Immunoprecipitation", "shortname":"IP"}, "FlowCyt" : {"fullname" : "Flow Cytometry", "shortname":"Flow Cyt"}, "WB" : {"fullname" : "Western blot", "shortname":"WB"}, "IHCP" : {"fullname" : "Immunohistochemistry (Formalin/PFA-fixed paraffin-embedded sections)", "shortname":"IHC-P"} }, "product-promise": { "all": "all", "testedAndGuaranteed": "tested", "guaranteed": "expected", "predicted": "predicted", "notRecommended": "not-recommended" } }, "values": { "Human": { "ICCIF-species-checked": "notRecommended", "ICCIF-species-dilution-info": "", "ICCIF-species-notes": "<p></p>", "IP-species-checked": "notRecommended", "IP-species-dilution-info": "", "IP-species-notes": "<p></p>", "FlowCyt-species-checked": "notRecommended", "FlowCyt-species-dilution-info": "", "FlowCyt-species-notes": "<p><a href='/en-us/products/primary-antibodies/rabbit-igg-monoclonal-epr25a-isotype-control-ab172730'>ab172730</a> - Rabbit monoclonal IgG, is suitable for use as an isotype control with this antibody.</p>", "WB-species-checked": "testedAndGuaranteed", "WB-species-dilution-info": "1/10000", "WB-species-notes": "<p><strong>For unpurified use at 1/500000.</strong></p>", "IHCP-species-checked": "testedAndGuaranteed", "IHCP-species-dilution-info": "1/80000", "IHCP-species-notes": "<p><strong>For unpurified use at 1/100.</strong></p> Perform heat-mediated antigen retrieval before commencing with IHC staining protocol." }, "Mouse": { "ICCIF-species-checked": "notRecommended", "ICCIF-species-dilution-info": "", "ICCIF-species-notes": "<p></p>", "IP-species-checked": "notRecommended", "IP-species-dilution-info": "", "IP-species-notes": "<p></p>", "FlowCyt-species-checked": "notRecommended", "FlowCyt-species-dilution-info": "", "FlowCyt-species-notes": "<p><a href='/en-us/products/primary-antibodies/rabbit-igg-monoclonal-epr25a-isotype-control-ab172730'>ab172730</a> - Rabbit monoclonal IgG, is suitable for use as an isotype control with this antibody.</p>", "WB-species-checked": "testedAndGuaranteed", "WB-species-dilution-info": "1/10000", "WB-species-notes": "<p><strong>For unpurified use at 1/500000.</strong></p>", "IHCP-species-checked": "testedAndGuaranteed", "IHCP-species-dilution-info": "1/80000", "IHCP-species-notes": "<p><strong>For unpurified use at 1/100.</strong></p> Perform heat-mediated antigen retrieval before commencing with IHC staining protocol." }, "Rat": { "ICCIF-species-checked": "notRecommended", "ICCIF-species-dilution-info": "", "ICCIF-species-notes": "<p></p>", "IP-species-checked": "notRecommended", "IP-species-dilution-info": "", "IP-species-notes": "<p></p>", "FlowCyt-species-checked": "notRecommended", "FlowCyt-species-dilution-info": "", "FlowCyt-species-notes": "<p><a href='/en-us/products/primary-antibodies/rabbit-igg-monoclonal-epr25a-isotype-control-ab172730'>ab172730</a> - Rabbit monoclonal IgG, is suitable for use as an isotype control with this antibody.</p>", "WB-species-checked": "testedAndGuaranteed", "WB-species-dilution-info": "1/10000", "WB-species-notes": "<p><strong>For unpurified use at 1/500000.</strong></p>", "IHCP-species-checked": "testedAndGuaranteed", "IHCP-species-dilution-info": "1/80000", "IHCP-species-notes": "<p><strong>For unpurified use at 1/100.</strong></p> Perform heat-mediated antigen retrieval before commencing with IHC staining protocol." } } }

Product details

Patented technology
Our RabMAb® technology is a patented hybridoma-based technology for making rabbit monoclonal antibodies. For details on our patents, please refer to RabMAb® patents.

What are the advantages of a recombinant monoclonal antibody?
This product is a recombinant monoclonal antibody, which offers several advantages including:

  • - High batch-to-batch consistency and reproducibility
  • - Improved sensitivity and specificity
  • - Long-term security of supply
  • - Animal-free batch production

For more information, read more on recombinant antibodies.

Properties and storage information

Form
Liquid
Purification technique
Affinity purification Protein A
Storage buffer
pH: 7.2 - 7.4 Preservative: 0.01% Sodium azide Constituents: 59% PBS, 40% Glycerol (glycerin, glycerine), 0.05% BSA
Shipped at conditions
Blue Ice
Appropriate short-term storage duration
1-2 weeks
Appropriate short-term storage conditions
+4°C
Appropriate long-term storage conditions
-20°C
Aliquoting information
Upon delivery aliquot
Storage information
Avoid freeze / thaw cycle

Supplementary information

This supplementary information is collated from multiple sources and compiled automatically.

E-Cadherin sometimes called CDH1 or Cadherin-1 is a protein that plays a role in cell-to-cell adhesion. This transmembrane protein has a molecular weight of approximately 120 kDa. E-Cadherin is mainly expressed in epithelial tissues of various organs including the skin and gut. Its adhesive function is made possible by its extracellular domain that facilitates homophilic binding between cells contributing to the maintenance of tissue architecture and cellular integrity.
Biological function summary

E-Cadherin participates in establishing and maintaining adherens junctions which are vital for tissue structure. E-Cadherin operates as a core component of the cadherin-catenin complex which links the protein to the actin cytoskeleton. Through this linkage E-Cadherin plays an important role in signaling pathways that influence cellular growth and differentiation. The protein's ability to mediate intercellular connections also regulates cellular motility and supports basic aspects of cell behavior in epithelial tissues.

Pathways

E-Cadherin influences both the Wnt signaling pathway and the epithelial-to-mesenchymal transition (EMT). Within the Wnt signaling pathway E-Cadherin partners with β-catenin a significant player in transcription regulation and cell signaling. Disruption in E-Cadherin's adhesive functionality can lead to increased β-catenin availability affecting downstream transcriptional control. In the EMT process E-Cadherin loss characterizes an important step in which cells gain migratory and invasive properties typically seen during metastasis in cancer progression.

E-Cadherin's role is prominent in cancer particularly in the context of gastric and breast cancers. Mutations or altered expression of E-Cadherin lead to diminished cell adhesion promoting tumorigenesis and metastatic spread. In gastric cancer for instance mutated E-Cadherin often associates with loss of epithelial function facilitating cancer cell dissemination. Additionally its loss or dysfunction may correlate with proteins such as β-catenin further impacting cancer progression and pathology.

Product protocols

For this product, it's our understanding that no specific protocols are required. You can visit:

Target data

CDH1 encodes a protein that is a calcium-dependent cell adhesion molecule, playing a role in cell-cell adhesion, mobility, and proliferation in epithelial cells. It acts as a potent invasive suppressor and serves as a ligand for integrin alpha-E/beta-7. The protein contributes to the sorting of heterogeneous cell types due to its homophilic interactions. E-Cad/CTF2, a product of CDH1, promotes the non-amyloidogenic degradation of Abeta precursors and strongly inhibits the production of APP C99 and C83. Additionally, in the context of microbial infection, it functions as a receptor for Listeria monocytogenes, with internalin A binding to it to promote bacterial uptake. This supplementary information is collated from multiple sources and compiled automatically.
See full target information CDH1 phospho S838 + S840

Publications (70)

Recent publications for all applications. Explore the full list and refine your search

Heliyon 10:e36340 PubMed39253270

2024

M1 macrophages as promising agents for cell therapy of endometriosis.

Applications

Unspecified application

Species

Unspecified reactive species

Daria Artemova,Polina Vishnyakova,Andrey Elchaninov,Elena Gantsova,Gennady Sukhikh,Timur Fatkhudinov

BMC cancer 23:1021 PubMed37872487

2023

Identification of a basement membrane-related genes signature with immune correlation in bladder urothelial carcinoma and verification in vitro.

Applications

Unspecified application

Species

Unspecified reactive species

Yanze Li,Kai Xu,Ye Zhang,Hu Mao,Qiangmin Qiu,Zhiwei Yan,Xiuheng Liu,Yang Du,Zhiyuan Chen

eLife 12: PubMed37728612

2023

An unexpected role of neutrophils in clearing apoptotic hepatocytes in vivo.

Applications

Unspecified application

Species

Unspecified reactive species

Luyang Cao,Lixiang Ma,Juan Zhao,Xiangyu Wang,Xinzou Fang,Wei Li,Yawen Qi,Yingkui Tang,Jieya Liu,Shengxian Peng,Li Yang,Liangxue Zhou,Li Li,Xiaobo Hu,Yuan Ji,Yingyong Hou,Yi Zhao,Xianming Zhang,You-Yang Zhao,Yong Zhao,Yuquan Wei,Asrar B Malik,Hexige Saiyin,Jingsong Xu

American journal of translational research 15:5047-5070 PubMed37692966

2023

Matrine improves the hepatic microenvironment and reverses epithelial-mesenchymal transition in hepatocellular carcinoma by inhibiting the Wnt-1/β-catenin signaling pathway.

Applications

Unspecified application

Species

Unspecified reactive species

Jianfei Shi,Hua Zhang,Guangjie Han,Jinfeng Wang,Xin Han,Man Zhao,Xiaoling Duan,Lili Mi,Ning Li,Xiaolei Yin,Cuizhen Li,Fei Yin

International journal of molecular sciences 24: PubMed37628777

2023

TRIM14 Overexpression Induces Chemoresistance and Malignant Behaviors of Hepatocellular Carcinoma Cells by Activating the STAT3/HIF-1α Pathway.

Applications

Unspecified application

Species

Unspecified reactive species

Weiqi Xu,Lihong Zhuang,Hongxu Zhu,Anrong Mao,Jiamin Zhou,Lu Wang

Allergologia et immunopathologia 51:31-39 PubMed37422777

2023

CTRP3 regulates NF-κB and TGFβ1/Smad3 pathways to alleviate airway inflammation and remodeling in asthmatic mice induced by OVA.

Applications

Unspecified application

Species

Unspecified reactive species

Hai Lin,Jinrong Yi

Genome integrity 14:2 PubMed38025522

2023

Therapeutic Fractional Doses of Ionizing Radiation Promote Epithelial-Mesenchymal Transition, Enhanced Invasiveness, and Altered Glycosylation in MCF-7 Breast Cancer Cells.

Applications

Unspecified application

Species

Unspecified reactive species

Raheem Al-Abedi,Seda Tuncay Cagatay,Ammar Mayah,Susan A Brooks,Munira Kadhim

BMC biology 21:101 PubMed37143038

2023

Insights into the formation and diversification of a novel chiropteran wing membrane from embryonic development.

Applications

Unspecified application

Species

Unspecified reactive species

Neal Anthwal,Daniel J Urban,Alexa Sadier,Risa Takenaka,Simon Spiro,Nancy Simmons,Richard R Behringer,Chris J Cretekos,John J Rasweiler,Karen E Sears

Histology and histopathology 39:117-130 PubMed37129345

2023

KRT80 expression works as a biomarker and a target for differentiation in gastric cancer.

Applications

Unspecified application

Species

Unspecified reactive species

Kai-Hang Shi,Hang Xue,En-Hong Zhao,Li-Jun Xiao,Hong-Zhi Sun,Hua-Chuan Zheng

Immunity, inflammation and disease 11:e816 PubMed36988250

2023

NCR negative group 3 innate lymphoid cell (NCR ILC3) participates in abnormal pathology of lung in cigarette smoking-induced COPD mice.

Applications

Unspecified application

Species

Unspecified reactive species

Shuyuan Chu,Libing Ma,Xia Yang,Bo Xiao,Yaxi Liang,Shaojie Zheng,Linqiao Li
View all publications

Product promise

We are committed to supporting your work with high-quality reagents, and we're here for you every step of the way. In the unlikely event that one of our products does not perform as expected, you're protected by our Product Promise.
For full details, please see our Terms & Conditions

Please note: All products are 'FOR RESEARCH USE ONLY. NOT FOR USE IN DIAGNOSTIC OR THERAPEUTIC PROCEDURES'.

For licensing inquiries, please contact partnerships@abcam.com