JavaScript is disabled in your browser. Please enable JavaScript to view this website.
AB239883

Anti-E Cadherin (phospho S838 + S840) antibody [EP913(2)Y] - BSA and Azide free

Be the first to review this product! Submit a review

|

(2 Publications)

Rabbit Recombinant Monoclonal E Cadherin phospho S838 + S840 antibody. Carrier free. Suitable for WB, IHC-P and reacts with Human, Rat, Mouse samples. Cited in 2 publications.

View Alternative Names

CD324, CDHE, UVO, CDH1, Cadherin-1, CAM 120/80, Epithelial cadherin, Uvomorulin, E-cadherin

6 Images
Immunohistochemistry (Formalin/PFA-fixed paraffin-embedded sections) - Anti-E Cadherin (phospho S838 + S840) antibody [EP913(2)Y] - BSA and Azide free (AB239883)
  • IHC-P

Lab

Immunohistochemistry (Formalin/PFA-fixed paraffin-embedded sections) - Anti-E Cadherin (phospho S838 + S840) antibody [EP913(2)Y] - BSA and Azide free (AB239883)

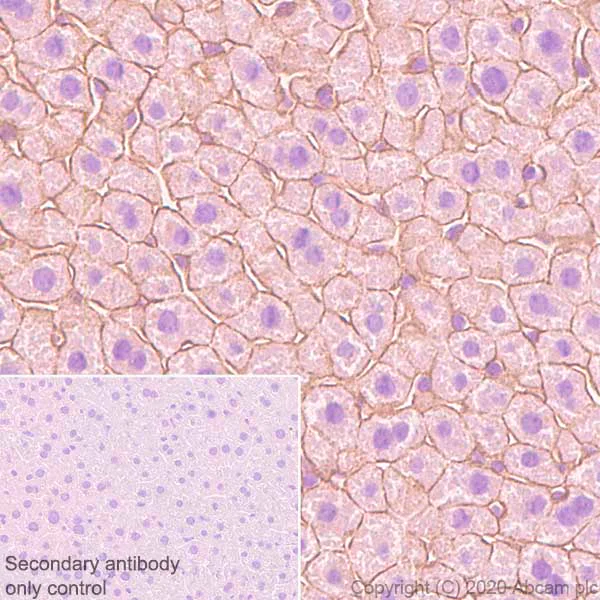
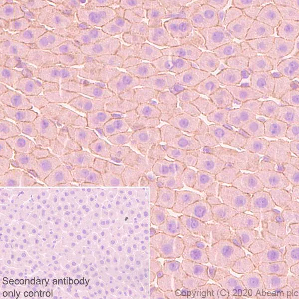
This data was developed using ab76319 the same antibody clone in a different buffer formulation.
Immunohistochemistry (Formalin/PFA-fixed paraffin-embedded sections) analysis of rat liver tissue sections labeling E Cadherin with Purified ab76319 at 1 : 80000 dilution (0.009 µg/ml). Heat mediated antigen retrieval using Bond™ Epitope Retrieval Solution 2 (pH 9.0). Rabbit specific IHC polymer detection kit HRP/DAB (ab209101) was used as the secondary antibody. Negative control : PBS instead of the primary antibody. Hematoxylin was used as a counterstain.

Western blot - Anti-E Cadherin (phospho S838 + S840) antibody [EP913(2)Y] - BSA and Azide free (AB239883)
  • WB

Unknown

Western blot - Anti-E Cadherin (phospho S838 + S840) antibody [EP913(2)Y] - BSA and Azide free (AB239883)

This data was developed using ab76319, the same antibody clone in a different buffer formulation.

Blocking buffer : 5% NFDM/TBST

All lanes:

Western blot - Anti-E Cadherin (phospho S838 + S840) antibody [EP913(2)Y] (<a href='/en-us/products/primary-antibodies/e-cadherin-phospho-s838-s840-antibody-ep9132y-ab76319'>ab76319</a>) at 1/10000 dilution

All lanes:

Mouse brain lysate at 15 µg

Secondary

All lanes:

Western blot - Goat Anti-Rabbit IgG H&L (HRP) (<a href='/en-us/products/secondary-antibodies/goat-rabbit-igg-h-l-hrp-ab97051'>ab97051</a>) at 1/20000 dilution

Predicted band size: 97 kDa

Observed band size: 145 kDa

false

Immunohistochemistry (Formalin/PFA-fixed paraffin-embedded sections) - Anti-E Cadherin (phospho S838 + S840) antibody [EP913(2)Y] - BSA and Azide free (AB239883)
  • IHC-P

AbReview44796****

Immunohistochemistry (Formalin/PFA-fixed paraffin-embedded sections) - Anti-E Cadherin (phospho S838 + S840) antibody [EP913(2)Y] - BSA and Azide free (AB239883)

Unpurified ab76319 staining E Cadherin in mouse skin (pilosebaceous untis) tissue sections by Immunohistochemistry (IHC-P - paraformaldehyde-fixed, paraffin-embedded sections). Tissue was fixed with paraformaldehyde, permeabilized with Tween-20 and blocked with 10% normal donkey serum + 1% serum for 40 minutes at room temperature; antigen retrieval was by heat mediation in a citrate buffer, pH 6. Samples were incubated with primary antibody (1/400 in 1% BSA) for 16 hours at 4°C. An Alexa Fluor® 488-conjugated donkey anti-rabbit IgG polyclonal (1/400) was used as the secondary antibody.

This data was developed using the same antibody clone in a different buffer formulation containing PBS, BSA, glycerol, and sodium azide (ab76319).

This image is courtesy of an anonymous Abreview.

Immunohistochemistry (Formalin/PFA-fixed paraffin-embedded sections) - Anti-E Cadherin (phospho S838 + S840) antibody [EP913(2)Y] - BSA and Azide free (AB239883)
  • IHC-P

Lab

Immunohistochemistry (Formalin/PFA-fixed paraffin-embedded sections) - Anti-E Cadherin (phospho S838 + S840) antibody [EP913(2)Y] - BSA and Azide free (AB239883)

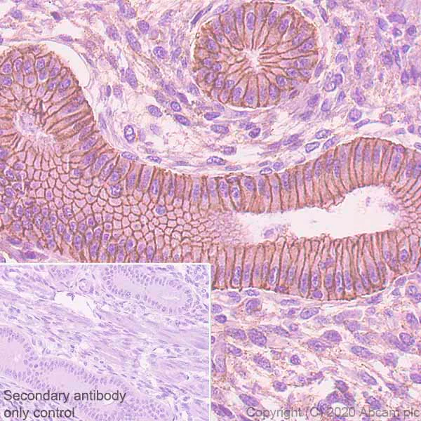
This data was developed using ab76319 the same antibody clone in a different buffer formulation.
Immunohistochemistry (Formalin/PFA-fixed paraffin-embedded sections) analysis of mouse liver tissue sections labeling E Cadherin with Purified ab76319 at 1 : 80000 dilution (0.009 µg/ml). Heat mediated antigen retrieval using Bond™ Epitope Retrieval Solution 2 (pH 9.0). Rabbit specific IHC polymer detection kit HRP/DAB (ab209101) was used as the secondary antibody. Negative control : PBS instead of the primary antibody. Hematoxylin was used as a counterstain.

Immunohistochemistry (Formalin/PFA-fixed paraffin-embedded sections) - Anti-E Cadherin (phospho S838 + S840) antibody [EP913(2)Y] - BSA and Azide free (AB239883)
  • IHC-P

Lab

Immunohistochemistry (Formalin/PFA-fixed paraffin-embedded sections) - Anti-E Cadherin (phospho S838 + S840) antibody [EP913(2)Y] - BSA and Azide free (AB239883)

This data was developed using ab76319 the same antibody clone in a different buffer formulation.
Immunohistochemistry (Formalin/PFA-fixed paraffin-embedded sections) analysis of human endometrium tissue sections labeling E Cadherin with Purified ab76319 at 1 : 80000 dilution (0.009 µg/ml). Heat mediated antigen retrieval using Bond™ Epitope Retrieval Solution 2 (pH 9.0). Rabbit specific IHC polymer detection kit HRP/DAB (ab209101) was used as the secondary antibody. Negative control : PBS instead of the primary antibody. Hematoxylin was used as a counterstain.

Western blot - Anti-E Cadherin (phospho S838 + S840) antibody [EP913(2)Y] - BSA and Azide free (AB239883)
  • WB

Unknown

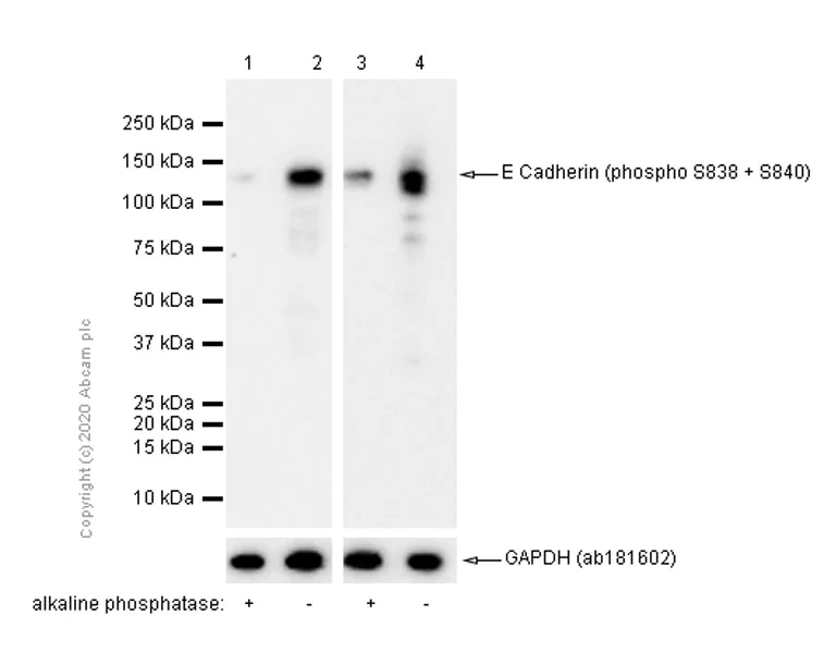
Western blot - Anti-E Cadherin (phospho S838 + S840) antibody [EP913(2)Y] - BSA and Azide free (AB239883)

This data was developed using ab76319, the same antibody clone in a different buffer formulation.

Blocking buffer : 5% NFDM/TBST

All lanes:

Western blot - Anti-E Cadherin (phospho S838 + S840) antibody [EP913(2)Y] (<a href='/en-us/products/primary-antibodies/e-cadherin-phospho-s838-s840-antibody-ep9132y-ab76319'>ab76319</a>) at 1/500000 dilution

Lane 1:

Human brain lysate, membrane treated with Alkaline Phosphatase for 1 hour at 15 µg

Lane 2:

Human brain lysate at 15 µg

Lane 3:

Rat brain lysate, membrane treated with Alkaline Phosphatase for 1 hour at 15 µg

Lane 4:

Rat brain lysate at 15 µg

Secondary

All lanes:

Western blot - Goat Anti-Rabbit IgG H&L (HRP) (<a href='/en-us/products/secondary-antibodies/goat-rabbit-igg-h-l-hrp-ab97051'>ab97051</a>) at 1/20000 dilution

Predicted band size: 97 kDa

Observed band size: 145 kDa

false

  • Unconjugated

    Anti-E Cadherin (phospho S838 + S840) antibody [EP913(2)Y]

  • 665 Alexa Fluor® 647

    Alexa Fluor® 647 Anti-E Cadherin (phospho S838 + S840) antibody [EP913(2)Y]

  • 565 Alexa Fluor® 555

    Alexa Fluor® 555 Anti-E Cadherin (phospho S838 + S840)antibody [EP913(2)Y]

  • 617 Alexa Fluor® 594

    Alexa Fluor® 594 Anti-E Cadherin (phospho S838 + S840) antibody [EP913(2)Y]

Key facts

Host species

Rabbit

Clonality

Monoclonal

Clone number

EP913(2)Y

Isotype

IgG

Carrier free

Yes

Reacts with

Mouse, Rat, Human

Applications

WB, IHC-P

applications

Immunogen

The exact immunogen used to generate this antibody is proprietary information.

Reactivity data

{ "title": "Reactivity Data", "filters": { "stats": ["", "Species", "Dilution Info", "Notes"], "tabs": { "all-applications": {"fullname" : "All Applications", "shortname": "All Applications"}, "ICCIF" : {"fullname" : "Immunocytochemistry/ Immunofluorescence", "shortname":"ICC/IF"}, "IP" : {"fullname" : "Immunoprecipitation", "shortname":"IP"}, "FlowCyt" : {"fullname" : "Flow Cytometry", "shortname":"Flow Cyt"}, "WB" : {"fullname" : "Western blot", "shortname":"WB"}, "IHCP" : {"fullname" : "Immunohistochemistry (Formalin/PFA-fixed paraffin-embedded sections)", "shortname":"IHC-P"} }, "product-promise": { "all": "all", "testedAndGuaranteed": "tested", "guaranteed": "expected", "predicted": "predicted", "notRecommended": "not-recommended" } }, "values": { "Human": { "ICCIF-species-checked": "notRecommended", "ICCIF-species-dilution-info": "", "ICCIF-species-notes": "<p></p>", "IP-species-checked": "notRecommended", "IP-species-dilution-info": "", "IP-species-notes": "<p></p>", "FlowCyt-species-checked": "notRecommended", "FlowCyt-species-dilution-info": "", "FlowCyt-species-notes": "<p><a href='/en-us/products/primary-antibodies/rabbit-igg-monoclonal-epr25a-isotype-control-low-endotoxin-azide-free-ab199376'>ab199376</a> - Rabbit monoclonal IgG, is suitable for use as an isotype control with this antibody.</p>", "WB-species-checked": "testedAndGuaranteed", "WB-species-dilution-info": "", "WB-species-notes": "<p></p>", "IHCP-species-checked": "testedAndGuaranteed", "IHCP-species-dilution-info": "", "IHCP-species-notes": "<p></p> Perform heat-mediated antigen retrieval before commencing with IHC staining protocol." }, "Mouse": { "ICCIF-species-checked": "notRecommended", "ICCIF-species-dilution-info": "", "ICCIF-species-notes": "<p></p>", "IP-species-checked": "notRecommended", "IP-species-dilution-info": "", "IP-species-notes": "<p></p>", "FlowCyt-species-checked": "notRecommended", "FlowCyt-species-dilution-info": "", "FlowCyt-species-notes": "<p><a href='/en-us/products/primary-antibodies/rabbit-igg-monoclonal-epr25a-isotype-control-low-endotoxin-azide-free-ab199376'>ab199376</a> - Rabbit monoclonal IgG, is suitable for use as an isotype control with this antibody.</p>", "WB-species-checked": "guaranteed", "WB-species-dilution-info": "", "WB-species-notes": "", "IHCP-species-checked": "testedAndGuaranteed", "IHCP-species-dilution-info": "", "IHCP-species-notes": "<p></p> Perform heat-mediated antigen retrieval before commencing with IHC staining protocol." }, "Rat": { "ICCIF-species-checked": "notRecommended", "ICCIF-species-dilution-info": "", "ICCIF-species-notes": "<p></p>", "IP-species-checked": "notRecommended", "IP-species-dilution-info": "", "IP-species-notes": "<p></p>", "FlowCyt-species-checked": "notRecommended", "FlowCyt-species-dilution-info": "", "FlowCyt-species-notes": "<p><a href='/en-us/products/primary-antibodies/rabbit-igg-monoclonal-epr25a-isotype-control-low-endotoxin-azide-free-ab199376'>ab199376</a> - Rabbit monoclonal IgG, is suitable for use as an isotype control with this antibody.</p>", "WB-species-checked": "testedAndGuaranteed", "WB-species-dilution-info": "", "WB-species-notes": "<p></p>", "IHCP-species-checked": "testedAndGuaranteed", "IHCP-species-dilution-info": "", "IHCP-species-notes": "<p></p> Perform heat-mediated antigen retrieval before commencing with IHC staining protocol." } } }

Product details

ab239883 is the carrier-free version of ab76319.

Patented technology
Our RabMAb® technology is a patented hybridoma-based technology for making rabbit monoclonal antibodies. For details on our patents, please refer to RabMAb® patents.

What are the advantages of a recombinant monoclonal antibody?
This product is a recombinant monoclonal antibody, which offers several advantages including:

  • - High batch-to-batch consistency and reproducibility
  • - Improved sensitivity and specificity
  • - Long-term security of supply
  • - Animal-free batch production

For more information, read more on recombinant antibodies.

Conjugation ready
Our carrier-free antibodies are typically supplied in a PBS-only formulation, purified and free of BSA, sodium azide and glycerol. This conjugation-ready format is designed for use with fluorochromes, metal isotopes, oligonucleotides, and enzymes, which makes them ideal for antibody labelling, functional and cell-based assays, flow-based assays (e.g. mass cytometry) and Multiplex Imaging applications.

Use our conjugation kits for antibody conjugates that are ready-to-use in as little as 20 minutes with 1 minute hands-on-time and 100% antibody recovery: available for fluorescent dyes, HRP, biotin and gold.

Compatibility
This product is compatible with the Maxpar® Antibody Labeling Kit from Fluidigm, without the need for antibody preparation. Maxpar® is a trademark of Fluidigm Canada Inc.

Properties and storage information

Form
Liquid
Purification technique
Affinity purification Protein A
Storage buffer
pH: 7.2 - 7.4 Constituents: PBS
Shipped at conditions
Blue Ice
Appropriate short-term storage conditions
+4°C
Appropriate long-term storage conditions
+4°C
Storage information
Do Not Freeze

Supplementary information

This supplementary information is collated from multiple sources and compiled automatically.

E-Cadherin sometimes called CDH1 or Cadherin-1 is a protein that plays a role in cell-to-cell adhesion. This transmembrane protein has a molecular weight of approximately 120 kDa. E-Cadherin is mainly expressed in epithelial tissues of various organs including the skin and gut. Its adhesive function is made possible by its extracellular domain that facilitates homophilic binding between cells contributing to the maintenance of tissue architecture and cellular integrity.
Biological function summary

E-Cadherin participates in establishing and maintaining adherens junctions which are vital for tissue structure. E-Cadherin operates as a core component of the cadherin-catenin complex which links the protein to the actin cytoskeleton. Through this linkage E-Cadherin plays an important role in signaling pathways that influence cellular growth and differentiation. The protein's ability to mediate intercellular connections also regulates cellular motility and supports basic aspects of cell behavior in epithelial tissues.

Pathways

E-Cadherin influences both the Wnt signaling pathway and the epithelial-to-mesenchymal transition (EMT). Within the Wnt signaling pathway E-Cadherin partners with β-catenin a significant player in transcription regulation and cell signaling. Disruption in E-Cadherin's adhesive functionality can lead to increased β-catenin availability affecting downstream transcriptional control. In the EMT process E-Cadherin loss characterizes an important step in which cells gain migratory and invasive properties typically seen during metastasis in cancer progression.

E-Cadherin's role is prominent in cancer particularly in the context of gastric and breast cancers. Mutations or altered expression of E-Cadherin lead to diminished cell adhesion promoting tumorigenesis and metastatic spread. In gastric cancer for instance mutated E-Cadherin often associates with loss of epithelial function facilitating cancer cell dissemination. Additionally its loss or dysfunction may correlate with proteins such as β-catenin further impacting cancer progression and pathology.

Product protocols

For this product, it's our understanding that no specific protocols are required. You can visit:

Target data

CDH1 encodes a protein that is a calcium-dependent cell adhesion molecule, playing a role in cell-cell adhesion, mobility, and proliferation in epithelial cells. It acts as a potent invasive suppressor and serves as a ligand for integrin alpha-E/beta-7. The protein contributes to the sorting of heterogeneous cell types due to its homophilic interactions. E-Cad/CTF2, a product of CDH1, promotes the non-amyloidogenic degradation of Abeta precursors and strongly inhibits the production of APP C99 and C83. Additionally, in the context of microbial infection, it functions as a receptor for Listeria monocytogenes, with internalin A binding to it to promote bacterial uptake. This supplementary information is collated from multiple sources and compiled automatically.
See full target information CDH1 phospho S838 + S840

Publications (2)

Recent publications for all applications. Explore the full list and refine your search

Medical science monitor : international medical jo 26:e920270 PubMed32077446

2020

LOC101060264 Silencing Suppresses Invasion and Metastasis of Human Colon Cancer.

Applications

Unspecified application

Species

Unspecified reactive species

Weihua Yu,Yunxia Wang,Lan Liu,Shuai Li,Kongxi Zhu

The American journal of pathology 189:2469-2486 PubMed31476285

2019

Down-Regulation of Circular RNA_000926 Attenuates Renal Cell Carcinoma Progression through miRNA-411-Dependent CDH2 Inhibition.

Applications

Unspecified application

Species

Unspecified reactive species

Dong Zhang,Xiao-Jie Yang,Qi-Dong Luo,De-Lai Fu,Zhao-Lun Li,Peng Zhang,Tie Chong
View all publications

Product promise

We are committed to supporting your work with high-quality reagents, and we're here for you every step of the way. In the unlikely event that one of our products does not perform as expected, you're protected by our Product Promise.
For full details, please see our Terms & Conditions

Please note: All products are 'FOR RESEARCH USE ONLY. NOT FOR USE IN DIAGNOSTIC OR THERAPEUTIC PROCEDURES'.

For licensing inquiries, please contact partnerships@abcam.com