JavaScript is disabled in your browser. Please enable JavaScript to view this website.
AB118470

Anti-e-LOX-3 antibody

Be the first to review this product! Submit a review

|

(6 Publications)

Rabbit Polyclonal e-LOX-3 antibody. Suitable for WB, IHC-P and reacts with Human samples. Cited in 6 publications. Immunogen corresponding to Recombinant Fragment Protein within Human Hydroperoxide isomerase ALOXE3.

View Alternative Names

Hydroperoxide isomerase ALOXE3, Epidermis-type lipoxygenase 3, Hydroperoxy dehydratase ALOXE3, Hydroperoxy icosatetraenoate dehydratase, Hydroperoxy icosatetraenoate isomerase, Epidermal LOX-3, e-LOX-3, eLOX-3, ALOXE3

2 Images
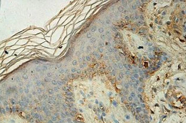
Immunohistochemistry (Formalin/PFA-fixed paraffin-embedded sections) - Anti-e-LOX-3 antibody (AB118470)
  • IHC-P

Unknown

Immunohistochemistry (Formalin/PFA-fixed paraffin-embedded sections) - Anti-e-LOX-3 antibody (AB118470)

Staining of Human e-LOX-3 in a Formalin/PFA-fixed paraffin-embedded section of Human fetal skin using ab118470 at a dilution of 1/100.

Western blot - Anti-e-LOX-3 antibody (AB118470)
  • WB

Unknown

Western blot - Anti-e-LOX-3 antibody (AB118470)

All lanes:

Western blot - Anti-e-LOX-3 antibody (ab118470) at 1/500 dilution

All lanes:

Human fetal lung lysate

Predicted band size: 81 kDa

false

Key facts

Host species

Rabbit

Clonality

Polyclonal

Isotype

IgG

Carrier free

No

Reacts with

Human

Applications

WB, IHC-P

applications

Immunogen

Recombinant Fragment Protein within Human Hydroperoxide isomerase ALOXE3. The exact immunogen used to generate this antibody is proprietary information.

Q9BYJ1

Reactivity data

{ "title": "Reactivity Data", "filters": { "stats": ["", "Species", "Dilution Info", "Notes"], "tabs": { "all-applications": {"fullname" : "All Applications", "shortname": "All Applications"}, "WB" : {"fullname" : "Western blot", "shortname":"WB"}, "IHCP" : {"fullname" : "Immunohistochemistry (Formalin/PFA-fixed paraffin-embedded sections)", "shortname":"IHC-P"} }, "product-promise": { "all": "all", "testedAndGuaranteed": "tested", "guaranteed": "expected", "predicted": "predicted", "notRecommended": "not-recommended" } }, "values": { "Human": { "WB-species-checked": "testedAndGuaranteed", "WB-species-dilution-info": "1/500 - 1/1000", "WB-species-notes": "<p></p>", "IHCP-species-checked": "testedAndGuaranteed", "IHCP-species-dilution-info": "1/100 - 1/500", "IHCP-species-notes": "<p></p>" }, "Mouse": { "WB-species-checked": "predicted", "WB-species-dilution-info": "", "WB-species-notes": "", "IHCP-species-checked": "predicted", "IHCP-species-dilution-info": "", "IHCP-species-notes": "" }, "Rat": { "WB-species-checked": "predicted", "WB-species-dilution-info": "", "WB-species-notes": "", "IHCP-species-checked": "predicted", "IHCP-species-dilution-info": "", "IHCP-species-notes": "" } } }

Properties and storage information

Form
Lyophilized
Reconstitution
Reconstitute in 200 µL of water
Purification technique
Affinity purification Immunogen
Storage buffer
pH: 7.2 Preservative: 0.02% Sodium azide Constituents: 1% BSA
Shipped at conditions
Blue Ice
Appropriate short-term storage conditions
+4°C
Appropriate long-term storage conditions
-20°C
Aliquoting information
Upon delivery aliquot
Storage information
Avoid freeze / thaw cycle

Supplementary information

This supplementary information is collated from multiple sources and compiled automatically.

The e-LOX-3 also known as Epidermis-type Lipoxygenase 3 is an enzyme that plays a role in the lipoxygenase family. It has an estimated mass of approximately 75 kDa. Researchers find e-LOX-3 expressed in human skin playing a role in the epidermal layer. This enzyme participates in the process of oxidation of polyunsaturated fatty acids. It influences the formation of certain signaling molecules and lipid peroxidation products in the body.
Biological function summary

Mutations affecting e-LOX-3 disrupt important epidermal barrier functions. e-LOX-3 acts as a component of the complex lipoxygenase pathway involved in metabolizing fatty acids into oxygenated products. This pathway is important for maintaining skin health and homeostasis by contributing to the development and maintenance of the epidermal lipid barrier. e-LOX-3 helps create metabolites that act as signaling molecules in skin differentiation and function.

Pathways

E-LOX-3 is an important element in the arachidonic acid pathway and the related lipoxygenase pathway. Lipoxygenase enzymes such as 12-LOX and 15-LOX interact with e-LOX-3 in producing bioactive lipids essential for skin health. The enzyme plays a role in converting polyunsaturated fatty acids into hydroxy fatty acids or hydroperoxy derivatives which serve critical functions in inflammation and repair processes within the skin.

Alterations in e-LOX-3 function link to ichthyosis and psoriasis. e-LOX-3 mutations can cause non-bullous congenital ichthyosiform erythroderma (NCIE) characterized by scaly skin due to disrupted lipid metabolism. Its activity impacts other proteins like transglutaminase 1 which is critical in maintaining skin barrier function. Understanding the role of e-LOX-3 in skin conditions provides potential therapeutic targets for treatment strategies.

Product protocols

For this product, it's our understanding that no specific protocols are required. You can visit:

Target data

Non-heme iron-containing lipoxygenase which is atypical in that it displays a prominent hydroperoxide isomerase activity and a reduced lipoxygenases activity (PubMed : 12881489, PubMed : 17045234, PubMed : 20921226, PubMed : 20923767). The hydroperoxide isomerase activity catalyzes the isomerization of hydroperoxides, derived from arachidonic and linoleic acid by ALOX12B, into hepoxilin-type epoxyalcohols and ketones (PubMed : 12881489, PubMed : 17045234, PubMed : 20923767). In presence of oxygen, oxygenates polyunsaturated fatty acids, including arachidonic acid, to produce fatty acid hydroperoxides (PubMed : 20921226). In the skin, acts downstream of ALOX12B on the linoleate moiety of esterified omega-hydroxyacyl-sphingosine (EOS) ceramides to produce an epoxy-ketone derivative, a crucial step in the conjugation of omega-hydroxyceramide to membrane proteins (PubMed : 21558561). Therefore plays a crucial role in the synthesis of corneocytes lipid envelope and the establishment of the skin barrier to water loss (PubMed : 21558561). In parallel, it may have a signaling function in barrier formation through the production of hepoxilins metabolites (PubMed : 21558561). Also plays a role in adipocyte differentiation through hepoxilin A3 and hepoxilin B3 production which in turn activate PPARG (By similarity). Through the production of hepoxilins in the spinal cord, it may regulate inflammatory tactile allodynia (By similarity).
See full target information Hydroperoxide isomerase ALOXE3

Publications (6)

Recent publications for all applications. Explore the full list and refine your search

Cell death discovery 11:139 PubMed40180904

2025

Integrative insights into the role of CAV1 in ketogenic diet and ferroptosis in pancreatic cancer.

Applications

Unspecified application

Species

Unspecified reactive species

Xue Liang,Ruofei Tian,Ting Li,Hao Wang,Yifei Qin,Meirui Qian,Jing Fan,Dan Wang,Hong-Yong Cui,Jianli Jiang

Frontiers in cell and developmental biology 9:751593 PubMed34977009

2021

Oncogenic Activation of YAP Signaling Sensitizes Ferroptosis of Hepatocellular Carcinoma ALOXE3-Mediated Lipid Peroxidation Accumulation.

Applications

Unspecified application

Species

Unspecified reactive species

Yifei Qin,Zhuo Pei,Zhuan Feng,Peng Lin,Shijie Wang,Yong Li,Fei Huo,Quancheng Wang,Zhiping Wang,Zhi-Nan Chen,Jiao Wu,Yi-Fei Wang

Scientific reports 11:23491 PubMed34873223

2021

A 1-minute blood test detects decreased immune function and increased clinical risk in COVID-19 patients.

Applications

Unspecified application

Species

Unspecified reactive species

Chirajyoti Deb,Allan N Salinas,Tianyu Zheng,Aurea Middleton,Katelyn Kern,Daleen Penoyer,Rahul Borsadia,Charles Hunley,Bassam Abomoelak,Vijay Mehta,Laura Irastorza,Devendra I Mehta,Qun Huo

Brain research bulletin 170:81-89 PubMed33581311

2021

The ALOXE3 gene variants from patients with Dravet syndrome decrease gene expression and enzyme activity.

Applications

Unspecified application

Species

Unspecified reactive species

Mei-Mei Gao,Hao-Ying Huang,Si-Yu Chen,Hui-Ling Tang,Na He,Wen-Cai Feng,Ping Lu,Fei Hu,Hua-Juan Yan,Yue-Sheng Long

Cell death & disease 11:988 PubMed33203867

2020

Discovery of a novel ferroptosis inducer-talaroconvolutin A-killing colorectal cancer cells in vitro and in vivo.

Applications

Unspecified application

Species

Unspecified reactive species

Yong Xia,Shuzhi Liu,Changlin Li,Zhiying Ai,Wenzhi Shen,Wenqi Ren,Xiaolong Yang

Cellular and molecular neurobiology : PubMed33058074

2020

Expression Pattern of ALOXE3 in Mouse Brain Suggests Its Relationship with Seizure Susceptibility.

Applications

Unspecified application

Species

Unspecified reactive species

Hui-Ling Tang,Si-Yu Chen,Huan Zhang,Ping Lu,Wei-Wen Sun,Mei-Mei Gao,Xiang-Da Zeng,Tao Su,Yue-Sheng Long
View all publications

Product promise

We are committed to supporting your work with high-quality reagents, and we're here for you every step of the way. In the unlikely event that one of our products does not perform as expected, you're protected by our Product Promise.
For full details, please see our Terms & Conditions

Please note: All products are 'FOR RESEARCH USE ONLY. NOT FOR USE IN DIAGNOSTIC OR THERAPEUTIC PROCEDURES'.

For licensing inquiries, please contact partnerships@abcam.com