JavaScript is disabled in your browser. Please enable JavaScript to view this website.
AB264182

Anti-E1 Ubiquitin Activating Enzyme 1/UBA1 antibody

Be the first to review this product! Submit a review

|

(0 Publication)

Rabbit Polyclonal E1 Ubiquitin Activating Enzyme 1/UBA1 antibody. Suitable for WB, IHC-P and reacts with Mouse, Human samples. Immunogen corresponding to Synthetic Peptide within Human UBA1 aa 1000 to C-terminus.

View Alternative Names

A1S9T, UBE1, UBA1, Ubiquitin-like modifier-activating enzyme 1, Protein A1S9, Ubiquitin-activating enzyme E1

2 Images
Immunohistochemistry (Formalin/PFA-fixed paraffin-embedded sections) - Anti-E1 Ubiquitin Activating Enzyme 1/UBA1 antibody (AB264182)
  • IHC-P

Unknown

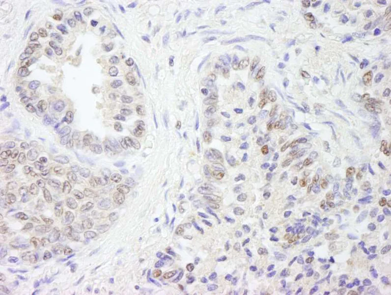
Immunohistochemistry (Formalin/PFA-fixed paraffin-embedded sections) - Anti-E1 Ubiquitin Activating Enzyme 1/UBA1 antibody (AB264182)

Immunohistochemical analysis of formalin/PFA-fixed, paraffin-embedded human prostate carcinoma tissue staining E1 Ubiquitin Activating Enzyme 1/UBA1 with ab264182 at 1/200 dilution. Detection : DAB.

Western blot - Anti-E1 Ubiquitin Activating Enzyme 1/UBA1 antibody (AB264182)
  • WB

Supplier Data

Western blot - Anti-E1 Ubiquitin Activating Enzyme 1/UBA1 antibody (AB264182)

4-8% SDS-PAGE.

All lanes:

Western blot - Anti-E1 Ubiquitin Activating Enzyme 1/UBA1 antibody (ab264182) at 0.04 µg/mL

Lane 1:

HeLa whole cell lysate at 50 µg

Lane 2:

HeLa whole cell lysate at 15 µg

Lane 3:

HeLa whole cell lysate at 5 µg

Lane 4:

HEK-293T whole cell lysate at 50 µg

Lane 5:

NIH/3T3 whole cell lysate at 50 µg

Predicted band size: 118 kDa

false

Exposure time: 10s

Key facts

Host species

Rabbit

Clonality

Polyclonal

Isotype

IgG

Carrier free

No

Reacts with

Mouse, Human

Applications

WB, IHC-P

applications

Immunogen

Synthetic Peptide within Human UBA1 aa 1000 to C-terminus. The exact immunogen used to generate this antibody is proprietary information.

P22314

Reactivity data

{ "title": "Reactivity Data", "filters": { "stats": ["", "Species", "Dilution Info", "Notes"], "tabs": { "all-applications": {"fullname" : "All Applications", "shortname": "All Applications"}, "WB" : {"fullname" : "Western blot", "shortname":"WB"}, "IHCP" : {"fullname" : "Immunohistochemistry (Formalin/PFA-fixed paraffin-embedded sections)", "shortname":"IHC-P"} }, "product-promise": { "all": "all", "testedAndGuaranteed": "tested", "guaranteed": "expected", "predicted": "predicted", "notRecommended": "not-recommended" } }, "values": { "Human": { "WB-species-checked": "testedAndGuaranteed", "WB-species-dilution-info": "1/2000 - 1/10000", "WB-species-notes": "<p></p>", "IHCP-species-checked": "testedAndGuaranteed", "IHCP-species-dilution-info": "1/100 - 1/500", "IHCP-species-notes": "<p></p>" }, "Mouse": { "WB-species-checked": "testedAndGuaranteed", "WB-species-dilution-info": "1/2000 - 1/10000", "WB-species-notes": "<p></p>", "IHCP-species-checked": "guaranteed", "IHCP-species-dilution-info": "", "IHCP-species-notes": "" }, "Rat": { "WB-species-checked": "predicted", "WB-species-dilution-info": "", "WB-species-notes": "", "IHCP-species-checked": "predicted", "IHCP-species-dilution-info": "", "IHCP-species-notes": "" }, "Cow": { "WB-species-checked": "predicted", "WB-species-dilution-info": "", "WB-species-notes": "", "IHCP-species-checked": "predicted", "IHCP-species-dilution-info": "", "IHCP-species-notes": "" }, "Rabbit": { "WB-species-checked": "predicted", "WB-species-dilution-info": "", "WB-species-notes": "", "IHCP-species-checked": "predicted", "IHCP-species-dilution-info": "", "IHCP-species-notes": "" } } }

Properties and storage information

Form
Liquid
Purification technique
Affinity purification Immunogen
Storage buffer
pH: 6.8 - 7.4 Preservative: 0.09% Sodium azide Constituents: Tris buffered saline, 0.1% BSA
Shipped at conditions
Blue Ice
Appropriate short-term storage duration
1-2 weeks
Appropriate short-term storage conditions
+4°C
Appropriate long-term storage conditions
-20°C
Aliquoting information
Upon delivery aliquot
Storage information
Avoid freeze / thaw cycle

Supplementary information

This supplementary information is collated from multiple sources and compiled automatically.

The E1 Ubiquitin Activating Enzyme 1 also known as UBA1 performs the initial step in the ubiquitination process. This enzyme activates ubiquitin a small protein that tags other proteins for degradation by the proteasome. UBA1 binds to ubiquitin in an ATP-dependent manner facilitating its transfer to E2 ubiquitin-conjugating enzymes. UBA1 has a molecular mass of approximately 117 kDa and shows expression in various tissues particularly in actively dividing cells.
Biological function summary

The enzyme plays an essential role in protein homeostasis by initiating the ubiquitin-proteasome system. UBA1 actively contributes to cellular regulation by targeting damaged or misfolded proteins for degradation thereby maintaining protein quality control. The enzyme is part of a complex alongside other proteins involved in the ubiquitination pathway which include E2 enzymes and E3 ubiquitin ligases that work together to achieve selective protein ubiquitination.

Pathways

E1 Ubiquitin Activating Enzyme 1 functions centrally in the ubiquitin-proteasome pathway a major mechanism governing protein turnover. It cooperates with other enzymes such as E2 and E3 to form a cascade that ensures substrate specificity and timely degradation. The enzyme also connects to the NF-kB signaling pathway where it regulates the stability of inhibitor kB proteins influencing immune responses and inflammation processes.

Mutations or dysregulation of UBA1 contribute to spinal muscular atrophy (SMA) and X-linked spinal muscular atrophy (XL-SMA). These conditions involve motor neuron degeneration linked to the impaired ubiquitin-proteasome function. Additionally alterations in UBA1 activity can impact B-cell-activation through the NF-kB pathway possibly leading to autoimmune disorders. Understanding the interactions of UBA1 with associated proteins provides insight into potential therapeutic targets for treating these diseases.

Product protocols

For this product, it's our understanding that no specific protocols are required. You can visit:

Target data

Catalyzes the first step in ubiquitin conjugation to mark cellular proteins for degradation through the ubiquitin-proteasome system (PubMed : 1447181, PubMed : 1606621, PubMed : 33108101). Activates ubiquitin by first adenylating its C-terminal glycine residue with ATP, and thereafter linking this residue to the side chain of a cysteine residue in E1, yielding a ubiquitin-E1 thioester and free AMP (PubMed : 1447181). Essential for the formation of radiation-induced foci, timely DNA repair and for response to replication stress. Promotes the recruitment of TP53BP1 and BRCA1 at DNA damage sites (PubMed : 22456334).
See full target information UBA1

Product promise

We are committed to supporting your work with high-quality reagents, and we're here for you every step of the way. In the unlikely event that one of our products does not perform as expected, you're protected by our Product Promise.
For full details, please see our Terms & Conditions

Please note: All products are 'FOR RESEARCH USE ONLY. NOT FOR USE IN DIAGNOSTIC OR THERAPEUTIC PROCEDURES'.

For licensing inquiries, please contact partnerships@abcam.com