JavaScript is disabled in your browser. Please enable JavaScript to view this website.
AB250138

Anti-E1 Ubiquitin Activating Enzyme 1/UBA1 antibody [EPR14203(B)] - BSA and Azide free

Be the first to review this product! Submit a review

|

(0 Publication)

Rabbit Recombinant Monoclonal E1 Ubiquitin Activating Enzyme 1/UBA1 antibody. Carrier free. Suitable for ICC/IF, WB, Flow Cyt (Intra), IHC-P and reacts with Human samples.

View Alternative Names

A1S9T, UBE1, UBA1, Ubiquitin-like modifier-activating enzyme 1, Protein A1S9, Ubiquitin-activating enzyme E1

4 Images
Western blot - Anti-E1 Ubiquitin Activating Enzyme 1/UBA1 antibody [EPR14203(B)] - BSA and Azide free (AB250138)
  • WB

Supplier Data

Western blot - Anti-E1 Ubiquitin Activating Enzyme 1/UBA1 antibody [EPR14203(B)] - BSA and Azide free (AB250138)

This data was developed using ab180125, the same antibody clone in a different buffer formulation.

All lanes:

Western blot - Anti-E1 Ubiquitin Activating Enzyme 1/UBA1 antibody [EPR14203(B)] (<a href='/en-us/products/primary-antibodies/e1-ubiquitin-activating-enzyme-1-uba1-antibody-epr14203b-ab180125'>ab180125</a>) at 1/5000 dilution

Lane 1:

Fetal brain tissue lysate at 20 µg

Lane 2:

K562 cell lysate at 20 µg

Lane 3:

HeLa cell lysate at 20 µg

Lane 4:

Jurkat cell lysate at 20 µg

Secondary

All lanes:

Goat Anti-Rabbit IgG, (H+L), Peroxidase conjugated at 1/1000 dilution

Predicted band size: 118 kDa

Observed band size: 117 kDa

false

Flow Cytometry (Intracellular) - Anti-E1 Ubiquitin Activating Enzyme 1/UBA1 antibody [EPR14203(B)] - BSA and Azide free (AB250138)
  • Flow Cyt (Intra)

Supplier Data

Flow Cytometry (Intracellular) - Anti-E1 Ubiquitin Activating Enzyme 1/UBA1 antibody [EPR14203(B)] - BSA and Azide free (AB250138)

This data was developed using ab180125, the same antibody clone in a different buffer formulation.

Intracellular flow cytometric analysis of 2% paraformaldehyde-fixed K562 cells labeling E1 Ubiquitin Activating Enzyme with ab180125 at 1/70 dilution (red) compared to a rabbit IgG control (green), followed by Goat anti rabbit IgG (FITC) secondary antibody at 1/75 dilution.

Immunocytochemistry/ Immunofluorescence - Anti-E1 Ubiquitin Activating Enzyme 1/UBA1 antibody [EPR14203(B)] - BSA and Azide free (AB250138)
  • ICC/IF

Supplier Data

Immunocytochemistry/ Immunofluorescence - Anti-E1 Ubiquitin Activating Enzyme 1/UBA1 antibody [EPR14203(B)] - BSA and Azide free (AB250138)

This data was developed using ab180125, the same antibody clone in a different buffer formulation.

Immunofluorescent analysis of acetone-fixed Jurkat cells labeling E1 Ubiquitin Activating Enzyme with ab180125 at 1/100 dilution, followed by Goat anti rabbit IgG (Dylight 488) at 1/250 dilution. Counter stained with DAPI (blue).

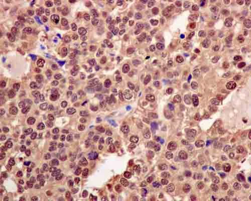
Immunohistochemistry (Formalin/PFA-fixed paraffin-embedded sections) - Anti-E1 Ubiquitin Activating Enzyme 1/UBA1 antibody [EPR14203(B)] - BSA and Azide free (AB250138)
  • IHC-P

Supplier Data

Immunohistochemistry (Formalin/PFA-fixed paraffin-embedded sections) - Anti-E1 Ubiquitin Activating Enzyme 1/UBA1 antibody [EPR14203(B)] - BSA and Azide free (AB250138)

This data was developed using ab180125, the same antibody clone in a different buffer formulation.

Immunohistochemical analysis of paraffin-embedded Human ovarian carcinoma tissue labeling E1 Ubiquitin Activating Enzyme with ab180125 at 1/250 dilution, followed by prediluted HRP Polymer for Rabbit IgG. Counter stained with Hematoxylin.

Perform heat mediated antigen retrieval with EDTA buffer pH 9 before commencing with IHC staining protocol.

  • Unconjugated

    Anti-E1 Ubiquitin Activating Enzyme 1/UBA1 antibody [EPR14203(B)]

Key facts

Host species

Rabbit

Clonality

Monoclonal

Clone number

EPR14203(B)

Isotype

IgG

Carrier free

Yes

Reacts with

Human

Applications

ICC/IF, WB, Flow Cyt (Intra), IHC-P

applications

Immunogen

The exact immunogen used to generate this antibody is proprietary information.

Reactivity data

{ "title": "Reactivity Data", "filters": { "stats": ["", "Species", "Dilution Info", "Notes"], "tabs": { "all-applications": {"fullname" : "All Applications", "shortname": "All Applications"}, "ICCIF" : {"fullname" : "Immunocytochemistry/ Immunofluorescence", "shortname":"ICC/IF"}, "WB" : {"fullname" : "Western blot", "shortname":"WB"}, "FlowCytIntra" : {"fullname" : "Flow Cytometry (Intracellular)", "shortname":"Flow Cyt (Intra)"}, "IHCP" : {"fullname" : "Immunohistochemistry (Formalin/PFA-fixed paraffin-embedded sections)", "shortname":"IHC-P"} }, "product-promise": { "all": "all", "testedAndGuaranteed": "tested", "guaranteed": "expected", "predicted": "predicted", "notRecommended": "not-recommended" } }, "values": { "Human": { "ICCIF-species-checked": "testedAndGuaranteed", "ICCIF-species-dilution-info": "", "ICCIF-species-notes": "<p></p> Perform heat-mediated antigen retrieval with Tris/EDTA buffer pH 9.0 before commencing with IHC staining protocol.", "WB-species-checked": "testedAndGuaranteed", "WB-species-dilution-info": "", "WB-species-notes": "<p></p>", "FlowCytIntra-species-checked": "testedAndGuaranteed", "FlowCytIntra-species-dilution-info": "", "FlowCytIntra-species-notes": "<p></p>", "IHCP-species-checked": "testedAndGuaranteed", "IHCP-species-dilution-info": "", "IHCP-species-notes": "<p></p> Perform heat-mediated antigen retrieval with Tris/EDTA buffer pH 9.0 before commencing with IHC staining protocol." }, "Mouse": { "ICCIF-species-checked": "predicted", "ICCIF-species-dilution-info": "", "ICCIF-species-notes": "", "WB-species-checked": "predicted", "WB-species-dilution-info": "", "WB-species-notes": "", "FlowCytIntra-species-checked": "predicted", "FlowCytIntra-species-dilution-info": "", "FlowCytIntra-species-notes": "", "IHCP-species-checked": "predicted", "IHCP-species-dilution-info": "", "IHCP-species-notes": "" }, "Rat": { "ICCIF-species-checked": "predicted", "ICCIF-species-dilution-info": "", "ICCIF-species-notes": "", "WB-species-checked": "predicted", "WB-species-dilution-info": "", "WB-species-notes": "", "FlowCytIntra-species-checked": "predicted", "FlowCytIntra-species-dilution-info": "", "FlowCytIntra-species-notes": "", "IHCP-species-checked": "predicted", "IHCP-species-dilution-info": "", "IHCP-species-notes": "" } } }

Product details

ab250138 is the carrier-free version of ab180125.

Conjugation ready
Our carrier-free antibodies are typically supplied in a PBS-only formulation, purified and free of BSA, sodium azide and glycerol. This conjugation-ready format is designed for use with fluorochromes, metal isotopes, oligonucleotides, and enzymes, which makes them ideal for antibody labelling, functional and cell-based assays, flow-based assays (e.g. mass cytometry) and Multiplex Imaging applications.

Use our conjugation kits for antibody conjugates that are ready-to-use in as little as 20 minutes with 1 minute hands-on-time and 100% antibody recovery: available for fluorescent dyes, HRP, biotin and gold.

Compatibility
This product is compatible with the Maxpar® Antibody Labeling Kit from Fluidigm, without the need for antibody preparation. Maxpar® is a trademark of Fluidigm Canada Inc.

Properties and storage information

Form
Liquid
Purification technique
Affinity purification Protein A
Storage buffer
pH: 7.2 - 7.4 Constituents: PBS
Shipped at conditions
Blue Ice
Appropriate short-term storage conditions
+4°C
Appropriate long-term storage conditions
+4°C
Storage information
Do Not Freeze

Supplementary information

This supplementary information is collated from multiple sources and compiled automatically.

The E1 Ubiquitin Activating Enzyme 1 also known as UBA1 performs the initial step in the ubiquitination process. This enzyme activates ubiquitin a small protein that tags other proteins for degradation by the proteasome. UBA1 binds to ubiquitin in an ATP-dependent manner facilitating its transfer to E2 ubiquitin-conjugating enzymes. UBA1 has a molecular mass of approximately 117 kDa and shows expression in various tissues particularly in actively dividing cells.
Biological function summary

The enzyme plays an essential role in protein homeostasis by initiating the ubiquitin-proteasome system. UBA1 actively contributes to cellular regulation by targeting damaged or misfolded proteins for degradation thereby maintaining protein quality control. The enzyme is part of a complex alongside other proteins involved in the ubiquitination pathway which include E2 enzymes and E3 ubiquitin ligases that work together to achieve selective protein ubiquitination.

Pathways

E1 Ubiquitin Activating Enzyme 1 functions centrally in the ubiquitin-proteasome pathway a major mechanism governing protein turnover. It cooperates with other enzymes such as E2 and E3 to form a cascade that ensures substrate specificity and timely degradation. The enzyme also connects to the NF-kB signaling pathway where it regulates the stability of inhibitor kB proteins influencing immune responses and inflammation processes.

Mutations or dysregulation of UBA1 contribute to spinal muscular atrophy (SMA) and X-linked spinal muscular atrophy (XL-SMA). These conditions involve motor neuron degeneration linked to the impaired ubiquitin-proteasome function. Additionally alterations in UBA1 activity can impact B-cell-activation through the NF-kB pathway possibly leading to autoimmune disorders. Understanding the interactions of UBA1 with associated proteins provides insight into potential therapeutic targets for treating these diseases.

Product protocols

For this product, it's our understanding that no specific protocols are required. You can visit:

Target data

Catalyzes the first step in ubiquitin conjugation to mark cellular proteins for degradation through the ubiquitin-proteasome system (PubMed : 1447181, PubMed : 1606621, PubMed : 33108101). Activates ubiquitin by first adenylating its C-terminal glycine residue with ATP, and thereafter linking this residue to the side chain of a cysteine residue in E1, yielding a ubiquitin-E1 thioester and free AMP (PubMed : 1447181). Essential for the formation of radiation-induced foci, timely DNA repair and for response to replication stress. Promotes the recruitment of TP53BP1 and BRCA1 at DNA damage sites (PubMed : 22456334).
See full target information UBA1

Product promise

We are committed to supporting your work with high-quality reagents, and we're here for you every step of the way. In the unlikely event that one of our products does not perform as expected, you're protected by our Product Promise.
For full details, please see our Terms & Conditions

Associated Products

Select an associated product type
Alternative Product
Primary Antibodies

AB264179

Anti-E1 Ubiquitin Activating Enzyme 1/UBA1 antibody

primary-antibodies

e1-ubiquitin-activating-enzyme-1-uba1-antibody-ab264179

0

(0 reviews)

Alternative Product
Primary Antibodies

AB264182

Anti-E1 Ubiquitin Activating Enzyme 1/UBA1 antibody

primary-antibodies

e1-ubiquitin-activating-enzyme-1-uba1-antibody-ab264182

0

(0 reviews)

Please note: All products are 'FOR RESEARCH USE ONLY. NOT FOR USE IN DIAGNOSTIC OR THERAPEUTIC PROCEDURES'.

For licensing inquiries, please contact partnerships@abcam.com