JavaScript is disabled in your browser. Please enable JavaScript to view this website.
AB250441

Anti-E1 Ubiquitin Activating Enzyme 1/UBA1 antibody [EPR14204(B)] - BSA and Azide free

Be the first to review this product! Submit a review

|

(1 Publication)

Rabbit Recombinant Monoclonal E1 Ubiquitin Activating Enzyme 1/UBA1 antibody. Carrier free. Suitable for ICC/IF, WB, Flow Cyt (Intra), IHC-P and reacts with Human, Rat, Mouse samples. Cited in 1 publication.

View Alternative Names

A1S9T, UBE1, UBA1, Ubiquitin-like modifier-activating enzyme 1, Protein A1S9, Ubiquitin-activating enzyme E1

5 Images
Immunocytochemistry/ Immunofluorescence - Anti-E1 Ubiquitin Activating Enzyme 1/UBA1 antibody [EPR14204(B)] - BSA and Azide free (AB250441)
  • ICC/IF

Supplier Data

Immunocytochemistry/ Immunofluorescence - Anti-E1 Ubiquitin Activating Enzyme 1/UBA1 antibody [EPR14204(B)] - BSA and Azide free (AB250441)

This data was developed using ab181225, the same antibody clone in a different buffer formulation.

Immunofluorescent analysis of acetone-fixed HeLa cells labeling E1 Ubiquitin Activating Enzyme with ab181225 at 1/250 dilution, followed by Goat anti rabbit IgG (Alexa Fluor® 555) secondary antibody at 1/200 dilution (red). Counter stained with Dapi (blue).

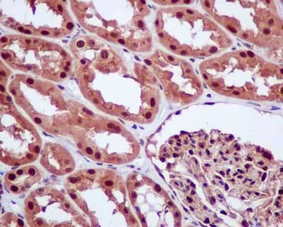
Immunohistochemistry (Formalin/PFA-fixed paraffin-embedded sections) - Anti-E1 Ubiquitin Activating Enzyme 1/UBA1 antibody [EPR14204(B)] - BSA and Azide free (AB250441)
  • IHC-P

Supplier Data

Immunohistochemistry (Formalin/PFA-fixed paraffin-embedded sections) - Anti-E1 Ubiquitin Activating Enzyme 1/UBA1 antibody [EPR14204(B)] - BSA and Azide free (AB250441)

This data was developed using ab181225, the same antibody clone in a different buffer formulation.

Immunohistochemical analysis of paraffin-embedded Human kidney tissue labeling E1 Ubiquitin Activating Enzyme with ab181225 at 1/100 dilution followed by prediluted HRP Polymer for Rabbit IgG. Counter stained with Hematoxylin.

Perform heat mediated antigen retrieval with EDTA buffer pH 9 before commencing with IHC staining protocol.

Flow Cytometry (Intracellular) - Anti-E1 Ubiquitin Activating Enzyme 1/UBA1 antibody [EPR14204(B)] - BSA and Azide free (AB250441)
  • Flow Cyt (Intra)

Supplier Data

Flow Cytometry (Intracellular) - Anti-E1 Ubiquitin Activating Enzyme 1/UBA1 antibody [EPR14204(B)] - BSA and Azide free (AB250441)

This data was developed using ab181225, the same antibody clone in a different buffer formulation.

Intracellular flow cytometric analysis of 2% paraformaldehyde-fixed K562 cells labeling E1 Ubiquitin Activating Enzyme with ab181225 at 1/10 dilution (red) compared to a Rabbit monoclonal IgG isotype control (green), followed by Goat anti rabbit IgG (FITC) secondary antibody at 1/150 dilution.

Western blot - Anti-E1 Ubiquitin Activating Enzyme 1/UBA1 antibody [EPR14204(B)] - BSA and Azide free (AB250441)
  • WB

Supplier Data

Western blot - Anti-E1 Ubiquitin Activating Enzyme 1/UBA1 antibody [EPR14204(B)] - BSA and Azide free (AB250441)

This data was developed using ab181225, the same antibody clone in a different buffer formulation.

All lanes:

Western blot - Anti-E1 Ubiquitin Activating Enzyme 1/UBA1 antibody [EPR14204(B)] (<a href='/en-us/products/primary-antibodies/e1-ubiquitin-activating-enzyme-1-uba1-antibody-epr14204b-ab181225'>ab181225</a>) at 1/10000 dilution

Lane 1:

Human fetal brain tissue lysate at 20 µg

Lane 2:

K562 cell lysate at 20 µg

Lane 3:

HeLa cell lysate at 20 µg

Lane 4:

Jurkat cell lysate at 20 µg

Secondary

All lanes:

Goat Anti-Rabbit IgG, (H+L), Peroxidase conjugated at 1/1000 dilution

Predicted band size: 118 kDa

Observed band size: 118 kDa

false

Western blot - Anti-E1 Ubiquitin Activating Enzyme 1/UBA1 antibody [EPR14204(B)] - BSA and Azide free (AB250441)
  • WB

Supplier Data

Western blot - Anti-E1 Ubiquitin Activating Enzyme 1/UBA1 antibody [EPR14204(B)] - BSA and Azide free (AB250441)

This data was developed using ab181225, the same antibody clone in a different buffer formulation.

Diluting and blocking buffer : 5% NFDM/TBST 5% NFDM/TBST.

The lysates were freshly made and used for Western Blotting immediately to minimize protein degradation.

All lanes:

Western blot - Anti-E1 Ubiquitin Activating Enzyme 1/UBA1 antibody [EPR14204(B)] (<a href='/en-us/products/primary-antibodies/e1-ubiquitin-activating-enzyme-1-uba1-antibody-epr14204b-ab181225'>ab181225</a>) at 1/1000 dilution

Lane 1:

HeLa (human cervical adenocarcinoma epithelial cell) whole cell lysate at 20 µg

Lane 2:

293T (human embryonic kidney epithelial cell) whole cell lysate at 20 µg

Lane 3:

NIH/3T3 (mouse embryonic fibroblast) whole cell lysate at 20 µg

Lane 4:

PC-12 (rat adrenal gland pheochromocytoma cell) whole cell lysate at 20 µg

Secondary

All lanes:

Western blot - Goat Anti-Rabbit IgG H&L (HRP) (<a href='/en-us/products/secondary-antibodies/goat-rabbit-igg-h-l-hrp-ab97051'>ab97051</a>) at 1/20000 dilution

Predicted band size: 118 kDa,117 kDa

Observed band size: 117 kDa,118 kDa

false

Exposure time: 8s

  • Unconjugated

    Anti-E1 Ubiquitin Activating Enzyme 1/UBA1 antibody [EPR14204(B)]

Key facts

Host species

Rabbit

Clonality

Monoclonal

Clone number

EPR14204(B)

Isotype

IgG

Carrier free

Yes

Reacts with

Rat, Human, Mouse

Applications

Flow Cyt (Intra), ICC/IF, WB, IHC-P

applications

Immunogen

The exact immunogen used to generate this antibody is proprietary information.

Reactivity data

{ "title": "Reactivity Data", "filters": { "stats": ["", "Species", "Dilution Info", "Notes"], "tabs": { "all-applications": {"fullname" : "All Applications", "shortname": "All Applications"}, "ICCIF" : {"fullname" : "Immunocytochemistry/ Immunofluorescence", "shortname":"ICC/IF"}, "WB" : {"fullname" : "Western blot", "shortname":"WB"}, "FlowCytIntra" : {"fullname" : "Flow Cytometry (Intracellular)", "shortname":"Flow Cyt (Intra)"}, "IHCP" : {"fullname" : "Immunohistochemistry (Formalin/PFA-fixed paraffin-embedded sections)", "shortname":"IHC-P"} }, "product-promise": { "all": "all", "testedAndGuaranteed": "tested", "guaranteed": "expected", "predicted": "predicted", "notRecommended": "not-recommended" } }, "values": { "Human": { "ICCIF-species-checked": "testedAndGuaranteed", "ICCIF-species-dilution-info": "", "ICCIF-species-notes": "<p></p>", "WB-species-checked": "testedAndGuaranteed", "WB-species-dilution-info": "", "WB-species-notes": "<p></p>", "FlowCytIntra-species-checked": "testedAndGuaranteed", "FlowCytIntra-species-dilution-info": "", "FlowCytIntra-species-notes": "<p></p>", "IHCP-species-checked": "testedAndGuaranteed", "IHCP-species-dilution-info": "", "IHCP-species-notes": "<p></p>" }, "Mouse": { "ICCIF-species-checked": "guaranteed", "ICCIF-species-dilution-info": "", "ICCIF-species-notes": "", "WB-species-checked": "testedAndGuaranteed", "WB-species-dilution-info": "", "WB-species-notes": "<p></p>", "FlowCytIntra-species-checked": "guaranteed", "FlowCytIntra-species-dilution-info": "", "FlowCytIntra-species-notes": "", "IHCP-species-checked": "guaranteed", "IHCP-species-dilution-info": "", "IHCP-species-notes": "" }, "Rat": { "ICCIF-species-checked": "guaranteed", "ICCIF-species-dilution-info": "", "ICCIF-species-notes": "", "WB-species-checked": "testedAndGuaranteed", "WB-species-dilution-info": "", "WB-species-notes": "<p></p>", "FlowCytIntra-species-checked": "guaranteed", "FlowCytIntra-species-dilution-info": "", "FlowCytIntra-species-notes": "", "IHCP-species-checked": "guaranteed", "IHCP-species-dilution-info": "", "IHCP-species-notes": "" } } }

Product details

ab250441 is the carrier-free version of ab181225.

Patented technology
Our RabMAb® technology is a patented hybridoma-based technology for making rabbit monoclonal antibodies. For details on our patents, please refer to RabMAb® patents.

What are the advantages of a recombinant monoclonal antibody?
This product is a recombinant monoclonal antibody, which offers several advantages including:

  • - High batch-to-batch consistency and reproducibility
  • - Improved sensitivity and specificity
  • - Long-term security of supply
  • - Animal-free batch production

For more information, read more on recombinant antibodies.

Conjugation ready
Our carrier-free antibodies are typically supplied in a PBS-only formulation, purified and free of BSA, sodium azide and glycerol. This conjugation-ready format is designed for use with fluorochromes, metal isotopes, oligonucleotides, and enzymes, which makes them ideal for antibody labelling, functional and cell-based assays, flow-based assays (e.g. mass cytometry) and Multiplex Imaging applications.

Use our conjugation kits for antibody conjugates that are ready-to-use in as little as 20 minutes with 1 minute hands-on-time and 100% antibody recovery: available for fluorescent dyes, HRP, biotin and gold.

Compatibility
This product is compatible with the Maxpar® Antibody Labeling Kit from Fluidigm, without the need for antibody preparation. Maxpar® is a trademark of Fluidigm Canada Inc.

Properties and storage information

Form
Liquid
Purification technique
Affinity purification Protein A
Storage buffer
pH: 7.2 - 7.4 Constituents: PBS
Shipped at conditions
Blue Ice
Appropriate short-term storage conditions
+4°C
Appropriate long-term storage conditions
+4°C
Storage information
Do Not Freeze

Supplementary information

This supplementary information is collated from multiple sources and compiled automatically.

The E1 Ubiquitin Activating Enzyme 1 also known as UBA1 performs the initial step in the ubiquitination process. This enzyme activates ubiquitin a small protein that tags other proteins for degradation by the proteasome. UBA1 binds to ubiquitin in an ATP-dependent manner facilitating its transfer to E2 ubiquitin-conjugating enzymes. UBA1 has a molecular mass of approximately 117 kDa and shows expression in various tissues particularly in actively dividing cells.
Biological function summary

The enzyme plays an essential role in protein homeostasis by initiating the ubiquitin-proteasome system. UBA1 actively contributes to cellular regulation by targeting damaged or misfolded proteins for degradation thereby maintaining protein quality control. The enzyme is part of a complex alongside other proteins involved in the ubiquitination pathway which include E2 enzymes and E3 ubiquitin ligases that work together to achieve selective protein ubiquitination.

Pathways

E1 Ubiquitin Activating Enzyme 1 functions centrally in the ubiquitin-proteasome pathway a major mechanism governing protein turnover. It cooperates with other enzymes such as E2 and E3 to form a cascade that ensures substrate specificity and timely degradation. The enzyme also connects to the NF-kB signaling pathway where it regulates the stability of inhibitor kB proteins influencing immune responses and inflammation processes.

Mutations or dysregulation of UBA1 contribute to spinal muscular atrophy (SMA) and X-linked spinal muscular atrophy (XL-SMA). These conditions involve motor neuron degeneration linked to the impaired ubiquitin-proteasome function. Additionally alterations in UBA1 activity can impact B-cell-activation through the NF-kB pathway possibly leading to autoimmune disorders. Understanding the interactions of UBA1 with associated proteins provides insight into potential therapeutic targets for treating these diseases.

Product protocols

For this product, it's our understanding that no specific protocols are required. You can visit:

Target data

Catalyzes the first step in ubiquitin conjugation to mark cellular proteins for degradation through the ubiquitin-proteasome system (PubMed : 1447181, PubMed : 1606621, PubMed : 33108101). Activates ubiquitin by first adenylating its C-terminal glycine residue with ATP, and thereafter linking this residue to the side chain of a cysteine residue in E1, yielding a ubiquitin-E1 thioester and free AMP (PubMed : 1447181). Essential for the formation of radiation-induced foci, timely DNA repair and for response to replication stress. Promotes the recruitment of TP53BP1 and BRCA1 at DNA damage sites (PubMed : 22456334).
See full target information UBA1

Publications (1)

Recent publications for all applications. Explore the full list and refine your search

Evidence-based complementary and alternative medicine : eCAM 2022:7757833 PubMed36091585

2022

Esculentoside A Alleviates Intestinal Dysmotility in Ulcerative Colitis by Regulating HS/CSE and NO/nNOS Systems.

Applications

Unspecified application

Species

Unspecified reactive species

Ying Liu,Wenhua Wei,Shiwei Liang,Haicheng Fang,Jie Cao
View all publications

Product promise

We are committed to supporting your work with high-quality reagents, and we're here for you every step of the way. In the unlikely event that one of our products does not perform as expected, you're protected by our Product Promise.
For full details, please see our Terms & Conditions

Please note: All products are 'FOR RESEARCH USE ONLY. NOT FOR USE IN DIAGNOSTIC OR THERAPEUTIC PROCEDURES'.

For licensing inquiries, please contact partnerships@abcam.com