JavaScript is disabled in your browser. Please enable JavaScript to view this website.
AB288369

Anti-E2F1 antibody [1D12]

Be the first to review this product! Submit a review

|

(13 Publications)

Rabbit Recombinant Monoclonal E2F1 antibody. Suitable for ICC, Flow Cyt, WB, IHC-P and reacts with Human, Rat samples. Cited in 13 publications. Immunogen corresponding to Synthetic Peptide within Human E2F1.

View Alternative Names

RBBP3, E2F1, Transcription factor E2F1, E2F-1, PBR3, Retinoblastoma-associated protein 1, Retinoblastoma-binding protein 3, pRB-binding protein E2F-1, RBAP-1, RBBP-3

5 Images
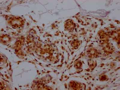
Immunohistochemistry (Formalin/PFA-fixed paraffin-embedded sections) - Anti-E2F1 antibody [1D12] (AB288369)
  • IHC-P

Supplier Data

Immunohistochemistry (Formalin/PFA-fixed paraffin-embedded sections) - Anti-E2F1 antibody [1D12] (AB288369)

IHC image of ab288369 diluted at 1 : 100 and staining in paraffin-embedded human breast cancer performed on a Leica Bond™ system. After dewaxing and hydration, antigen retrieval was mediated by high pressure in a citrate buffer (pH 6.0). Section was blocked with 10% normal goat serum 30 min at RT. Then primary antibody (1% BSA) was incubated at 4°C overnight. The primary is detected by a Goat anti-rabbit IgG polymer labeled by HRP and visualized using 0.05% DAB.

Immunocytochemistry - Anti-E2F1 antibody [1D12] (AB288369)
  • ICC

Supplier Data

Immunocytochemistry - Anti-E2F1 antibody [1D12] (AB288369)

Immunofluorescence staining of HeLa cells with ab288369 at 1 : 50, counter-stained with DAPI. The cells were fixed in 4% formaldehyde, permeated by 0.2% Triton X-100, and blocked in 10% normal Goat Serum. The cells were then incubated with the antibody overnight at 4°C. Nuclear DNA was labeled in blue with DAPI. The secondary antibody was FITC-conjugated AffiniPure Goat Anti-Rabbit IgG (H+L).

Flow Cytometry - Anti-E2F1 antibody [1D12] (AB288369)
  • Flow Cyt

Supplier Data

Flow Cytometry - Anti-E2F1 antibody [1D12] (AB288369)

Overlay histogram showing HeLa cells stained with ab288369 (red line) at 1 : 50. The cells were fixed with 70% Ethylalcohol (18h) and then incubated in 10% normal goat serum to block non-specific protein-protein interactions followedby the antibody (1μg/1 x 106cells) for 1 h at 4°C.The secondary antibody used was FITC-conjugated goat anti-rabbit IgG (H+L) at 1/200 dilution for 30 min at 4°C. Control antibody (green line) was Rabbit IgG (1μg/1 x 106cells) used under the same conditions. Acquisition of >10,000 events was performed.

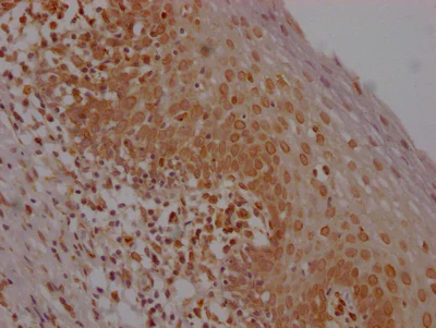
Immunohistochemistry (Formalin/PFA-fixed paraffin-embedded sections) - Anti-E2F1 antibody [1D12] (AB288369)
  • IHC-P

Supplier Data

Immunohistochemistry (Formalin/PFA-fixed paraffin-embedded sections) - Anti-E2F1 antibody [1D12] (AB288369)

IHC image of ab288369 diluted at 1 : 100 and staining in paraffin-embedded human tonsil tissue performed on a Leica Bond™ system. After dewaxing and hydration, antigen retrieval was mediated by high pressure in a citrate buffer (pH 6.0). Section was blocked with 10% normal goat serum 30 min at RT. Then primary antibody (1% BSA) was incubated at 4°C overnight. The primary is detected by a Goat anti-rabbit IgG polymer labeled by HRP and visualized using 0.05% DAB.

Western blot - Anti-E2F1 antibody [1D12] (AB288369)
  • WB

Supplier Data

Western blot - Anti-E2F1 antibody [1D12] (AB288369)

All lanes:

Western blot - Anti-E2F1 antibody [1D12] (ab288369) at 1/2000 dilution

Lane 1:

Jurkat (Human T cell leukemia cell line from peripheral blood) whole cell lysate

Lane 2:

PC-3 (Human prostate adenocarcinoma cell line) whole cell lysate

Lane 3:

Rat heart tissue

Secondary

All lanes:

Goat polyclonal to rabbit IgG at 1/50000 dilution

Predicted band size: 47 kDa

Observed band size: 60 kDa

false

Key facts

Host species

Rabbit

Clonality

Monoclonal

Clone number

1D12

Isotype

IgG

Carrier free

No

Reacts with

Human, Rat

Applications

ICC, IHC-P, WB, Flow Cyt

applications

Immunogen

Synthetic Peptide within Human E2F1. The exact immunogen used to generate this antibody is proprietary information.

Q01094

Reactivity data

{ "title": "Reactivity Data", "filters": { "stats": ["", "Species", "Dilution Info", "Notes"], "tabs": { "all-applications": {"fullname" : "All Applications", "shortname": "All Applications"}, "ICC" : {"fullname" : "Immunocytochemistry", "shortname":"ICC"}, "FlowCyt" : {"fullname" : "Flow Cytometry", "shortname":"Flow Cyt"}, "WB" : {"fullname" : "Western blot", "shortname":"WB"}, "IHCP" : {"fullname" : "Immunohistochemistry (Formalin/PFA-fixed paraffin-embedded sections)", "shortname":"IHC-P"} }, "product-promise": { "all": "all", "testedAndGuaranteed": "tested", "guaranteed": "expected", "predicted": "predicted", "notRecommended": "not-recommended" } }, "values": { "Human": { "ICC-species-checked": "testedAndGuaranteed", "ICC-species-dilution-info": "1/20 - 1/200", "ICC-species-notes": "<p></p>", "FlowCyt-species-checked": "testedAndGuaranteed", "FlowCyt-species-dilution-info": "1/20 - 1/200", "FlowCyt-species-notes": "<p></p>", "WB-species-checked": "testedAndGuaranteed", "WB-species-dilution-info": "1/500 - 1/5000", "WB-species-notes": "<p></p>", "IHCP-species-checked": "testedAndGuaranteed", "IHCP-species-dilution-info": "1/50 - 1/200", "IHCP-species-notes": "<p></p>" }, "Rat": { "ICC-species-checked": "guaranteed", "ICC-species-dilution-info": "", "ICC-species-notes": "", "FlowCyt-species-checked": "guaranteed", "FlowCyt-species-dilution-info": "", "FlowCyt-species-notes": "", "WB-species-checked": "testedAndGuaranteed", "WB-species-dilution-info": "1/500 - 1/5000", "WB-species-notes": "<p></p>", "IHCP-species-checked": "guaranteed", "IHCP-species-dilution-info": "", "IHCP-species-notes": "" } } }

Properties and storage information

Form
Liquid
Purification technique
Affinity purification
Storage buffer
pH: 7.4 Preservative: 0.02% Sodium azide Constituents: PBS, 50% Glycerol (glycerin, glycerine), 0.87% Sodium chloride
Shipped at conditions
Blue Ice
Appropriate short-term storage duration
1-2 weeks
Appropriate short-term storage conditions
+4°C
Appropriate long-term storage conditions
-20°C
Aliquoting information
Upon delivery aliquot
Storage information
Avoid freeze / thaw cycle

Supplementary information

This supplementary information is collated from multiple sources and compiled automatically.

The E2F1 protein also known as E2F transcription factor 1 is an important regulator of the cell cycle. It has a molecular weight of approximately 47 kDa. E2F1 protein is expressed in many tissues with higher expression levels in proliferating cells. It often acts as a transcription factor by binding to specific DNA sequences controlling the transition of cells from G1 to S phase of the cell cycle. This role is vital for the proper progression of the cycle and cellular proliferation.
Biological function summary

E2F1 plays a significant role in cell growth regulation and apoptosis. E2F1 functions within a complex often forming heterodimers with DP proteins. This combination enhances its ability to bind DNA and activate transcription of genes necessary for DNA replication and cell cycle progression. E2F1 also participates in the control of apoptosis by regulating the expression of pro-apoptotic genes balancing cell proliferation and death.

Pathways

E2F1 is deeply embedded in cell cycle regulatory pathways and the p53 signaling pathway. It closely interacts with proteins like RB (Retinoblastoma protein) and p53. RB protein regulates E2F1 activity by controlling its release while p53 helps in mediating the cell's response to DNA damage potentially leading to either cell cycle arrest or apoptosis. These interactions highlight E2F1's role in maintaining cellular homeostasis.

E2F1 is often linked to cancer and neurodegenerative diseases. Overexpression or dysregulation of E2F1 can lead to uncontrolled cell proliferation contributing to oncogenesis. In the context of neurodegenerative diseases E2F1 influences neuronal apoptosis and may be associated with disorders such as Alzheimer's. E2F1 interacts with other proteins such as p53 in cancer where it affects both cell cycle dynamics and apoptosis illustrating its complex involvement in disease progression.

Product protocols

For this product, it's our understanding that no specific protocols are required. You can visit:

Target data

Transcription activator that binds DNA cooperatively with DP proteins through the E2 recognition site, 5'-TTTC[CG]CGC-3' found in the promoter region of a number of genes whose products are involved in cell cycle regulation or in DNA replication (PubMed : 10675335, PubMed : 12717439, PubMed : 17050006, PubMed : 17704056, PubMed : 18625225, PubMed : 28992046). The DRTF1/E2F complex functions in the control of cell-cycle progression from G1 to S phase (PubMed : 10675335, PubMed : 12717439, PubMed : 17704056). E2F1 binds preferentially RB1 in a cell-cycle dependent manner (PubMed : 10675335, PubMed : 12717439, PubMed : 17704056). It can mediate both cell proliferation and TP53/p53-dependent apoptosis (PubMed : 8170954). Blocks adipocyte differentiation by binding to specific promoters repressing CEBPA binding to its target gene promoters (PubMed : 20176812). Directly activates transcription of PEG10 (PubMed : 17050006, PubMed : 18625225, PubMed : 28992046). Positively regulates transcription of RRP1B (PubMed : 20040599).
See full target information E2F1

Publications (13)

Recent publications for all applications. Explore the full list and refine your search

Journal of cardiothoracic surgery 20:244 PubMed40437556

2025

Transcription factor E2F1 promotes non-small cell lung cancer progression by activating the PI3K/AKT pathway through MCM4.

Applications

Unspecified application

Species

Unspecified reactive species

Yuyin Cai,Xinyan Lu,Tingting Li,Jia Liu,Lifeng Jiang

Oncology research 33:123-132 PubMed39735672

2024

enhances the development of lung adenocarcinoma by regulating the glycolysis pathway.

Applications

Unspecified application

Species

Unspecified reactive species

Lei Wang,Xianjin Xie

Cell reports. Medicine 5:101381 PubMed38244540

2024

UCHL1 is a potential molecular indicator and therapeutic target for neuroendocrine carcinomas.

Applications

Unspecified application

Species

Unspecified reactive species

Shiqin Liu,Timothy Chai,Fernando Garcia-Marques,Qingqing Yin,En-Chi Hsu,Michelle Shen,Angus Martin Shaw Toland,Abel Bermudez,Alifiani B Hartono,Christopher F Massey,Chung S Lee,Liwei Zheng,Maya Baron,Caden J Denning,Merve Aslan,Holly M Nguyen,Rosalie Nolley,Amina Zoubeidi,Millie Das,Christian A Kunder,Brooke E Howitt,H Tom Soh,Irving L Weissman,Michael A Liss,Arnold I Chin,James D Brooks,Eva Corey,Sharon J Pitteri,Jiaoti Huang,Tanya Stoyanova

World journal of gastrointestinal oncology 15:1974-1987 PubMed38077646

2023

Long non-coding RNA CDKN2B-AS1 promotes hepatocellular carcinoma progression E2F transcription factor 1/G protein subunit alpha Z axis.

Applications

Unspecified application

Species

Unspecified reactive species

Zhi-Gang Tao,Yu-Xiao Yuan,Guo-Wei Wang

Experimental and therapeutic medicine 26:389 PubMed37456160

2023

E2F1‑mediated RAB34 upregulation accelerates the proliferation and inhibits the cell cycle arrest and apoptosis of acute myeloid leukemia cells.

Applications

Unspecified application

Species

Unspecified reactive species

Xiaojie Xiong,Gang Jian

International journal of analytical chemistry 2023:8210685 PubMed37128280

2023

Transcription Factor E2F1 Regulates the Expression of ADRB2.

Applications

Unspecified application

Species

Unspecified reactive species

Juan Du,Feifei Rui,Zhongfen Hao,Yun Hang,Jin Shu

The International journal of developmental biology 67:9-17 PubMed37078361

2023

Circ-JA760602 promotes the apoptosis of hypoxia-induced cardiomyocytes by transcriptionally suppressing BCL2.

Applications

Unspecified application

Species

Unspecified reactive species

Chao Li,Jingwen Wang,Jun Feng,Gaoliang Zhou,Yongjin Jiang,Chunmiao Luo,Ziping Cheng,Jiehua Li

Molecular medicine reports 27: PubMed37052240

2023

CDC25A inhibition suppresses cell proliferation and induces G/S‑phase cell cycle arrest in nasopharyngeal carcinoma.

Applications

Unspecified application

Species

Unspecified reactive species

Bin Wang,Qiaohong Gong,Fuhai Chen

The Journal of international medical research 51:3000605231163780 PubMed36994850

2023

hMSH2 coordinated with the expression of E2F1 promotes platinum response in epithelial ovarian cancer.

Applications

Unspecified application

Species

Unspecified reactive species

Xiao-Qian Hu,Bao-Ying Zhang,Tian Hua

International journal of biological sciences 19:593-609 PubMed36632449

2023

Inhibition of IGF2BP1 attenuates renal injury and inflammation by alleviating m6A modifications and E2F1/MIF pathway.

Applications

Unspecified application

Species

Unspecified reactive species

Yan Mao,Feng Jiang,Xue-Jiao Xu,Lan-Bo Zhou,Rui Jin,Li-Li Zhuang,Chen-Xia Juan,Guo-Ping Zhou
View all publications

Product promise

We are committed to supporting your work with high-quality reagents, and we're here for you every step of the way. In the unlikely event that one of our products does not perform as expected, you're protected by our Product Promise.
For full details, please see our Terms & Conditions

Please note: All products are 'FOR RESEARCH USE ONLY. NOT FOR USE IN DIAGNOSTIC OR THERAPEUTIC PROCEDURES'.

For licensing inquiries, please contact partnerships@abcam.com