JavaScript is disabled in your browser. Please enable JavaScript to view this website.
AB320731

Anti-E2F3 antibody [EPR28928-50]

  • 20ul selling size
  • KO Validated
  • Recombinant
  • RabMAb
  • What is this?

Be the first to review this product! Submit a review

|

(0 Publication)

Knockout Tested Rabbit Recombinant Monoclonal E2F3 antibody. Suitable for WB and reacts with Human samples.

View Alternative Names

KIAA0075, E2F3, Transcription factor E2F3, E2F-3

2 Images
Western blot - Anti-E2F3 antibody [EPR28928-50] (AB320731)
  • WB

Supplier Data

Western blot - Anti-E2F3 antibody [EPR28928-50] (AB320731)

Blocking and diluting buffer and concentration : 5% NFDM/TBST. The molecular weight observed is consistent with what has been described in the literature (PMID : 14716298, PMID : 36276637). In Western blot, ab320731 was shown to bind specifically to E2F3. Target of interest was observed at 52, 55 kDa in wild-type HeLa cell lysates (lane 1) with no signal observed at this size in E2F3 knockout cell line (lane 2) (lane 2, knockout cell line ab265362 / knockout cell lysate ab257415). In Western blot, Anti-GAPDH antibody [EPR16891] - Loading Control  (ab181602) staining at 1/200000 dilution.

All lanes:

Western blot - Anti-E2F3 antibody [EPR28928-50] (ab320731) at 1/1000 dilution

Lane 1:

Wild-type HeLa (human cervical adenocarcinoma epithelial cell) whole cell lysate at 20 µg

Lane 2:

Western blot - Human E2F3 knockout HeLa cell lysate (<a href='/en-us/products/cell-lysates/human-e2f3-knockout-hela-cell-lysate-ab257415'>ab257415</a>) at 20 µg

Lane 3:

SH-SY5Y (human neuroblastoma epithelial cell) whole cell lysate at 20 µg

Lane 4:

Jurkat (human T cell leukemia T lymphocyte from peripheral blood) whole cell lysate at 20 µg

Secondary

All lanes:

Western blot - Goat Anti-Rabbit IgG H&L (HRP) (<a href='/en-us/products/secondary-antibodies/goat-rabbit-igg-h-l-hrp-ab97051'>ab97051</a>) at 1/20000 dilution

Observed band size: 60 kDa,55 kDa,36 kDa

false

Exposure time: 114s

Western blot - Anti-E2F3 antibody [EPR28928-50] (AB320731)
  • WB

Supplier Data

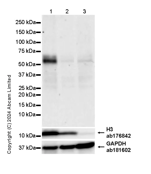
Western blot - Anti-E2F3 antibody [EPR28928-50] (AB320731)

Blocking and diluting buffer and concentration : 5% NFDM/TBST. The molecular weight observed is consistent with what has been described in the literature (PMID : 14716298, PMID : 36276637). In Western blot, Anti-GAPDH antibody [EPR16891] - Loading Control  (ab181602) staining at 1/200000 dilution. In Western blot, Anti-Histone H3 antibody [EPR16987] - Nuclear Marker and ChIP Grade  (ab176842) staining at 1/100000 dilution.

All lanes:

Western blot - Anti-E2F3 antibody [EPR28928-50] (ab320731) at 1/1000 dilution

Lane 1:

SK-OV-3 (human ovarian cancer epithelial cell) nuclear fraction at 20 µg

Lane 2:

SK-OV-3 membrane fraction at 20 µg

Lane 3:

SK-OV- cytoplasmic fraction at 20 µg

Secondary

All lanes:

Western blot - Goat Anti-Rabbit IgG H&L (HRP) (<a href='/en-us/products/secondary-antibodies/goat-rabbit-igg-h-l-hrp-ab97051'>ab97051</a>) at 1/20000 dilution

Observed band size: 60 kDa,55 kDa,36 kDa,15 kDa

false

Exposure time: 180s

  • Carrier free

    Anti-E2F3 antibody [EPR28928-50] - BSA and Azide free

Key facts

Host species

Rabbit

Clonality

Monoclonal

Clone number

EPR28928-50

Isotype

IgG

Carrier free

No

Reacts with

Human

Applications

WB

applications

Immunogen

The exact immunogen used to generate this antibody is proprietary information.

Reactivity data

{ "title": "Reactivity Data", "filters": { "stats": ["", "Species", "Dilution Info", "Notes"], "tabs": { "all-applications": {"fullname" : "All Applications", "shortname": "All Applications"}, "WB" : {"fullname" : "Western blot", "shortname":"WB"}, "ICCIF" : {"fullname" : "Immunocytochemistry/ Immunofluorescence", "shortname":"ICC/IF"}, "IHCP" : {"fullname" : "Immunohistochemistry (Formalin/PFA-fixed paraffin-embedded sections)", "shortname":"IHC-P"} }, "product-promise": { "all": "all", "testedAndGuaranteed": "tested", "guaranteed": "expected", "predicted": "predicted", "notRecommended": "not-recommended" } }, "values": { "Human": { "WB-species-checked": "testedAndGuaranteed", "WB-species-dilution-info": "1/1000", "WB-species-notes": "<p></p>", "ICCIF-species-checked": "notRecommended", "ICCIF-species-dilution-info": "", "ICCIF-species-notes": "<p></p>", "IHCP-species-checked": "notRecommended", "IHCP-species-dilution-info": "", "IHCP-species-notes": "<p></p>" }, "Mouse": { "WB-species-checked": "notRecommended", "WB-species-dilution-info": "", "WB-species-notes": "<p></p>", "ICCIF-species-checked": "notRecommended", "ICCIF-species-dilution-info": "", "ICCIF-species-notes": "<p></p>", "IHCP-species-checked": "notRecommended", "IHCP-species-dilution-info": "", "IHCP-species-notes": "<p></p>" } } }

Product details

Patented technology
Our RabMAb® technology is a patented hybridoma-based technology for making rabbit monoclonal antibodies. For details on our patents, please refer to RabMAb® patents.

What are the advantages of a recombinant monoclonal antibody?
This product is a recombinant monoclonal antibody, which offers several advantages including:

  • - High batch-to-batch consistency and reproducibility
  • - Improved sensitivity and specificity
  • - Long-term security of supply
  • - Animal-free batch production

For more information, read more on recombinant antibodies.

Properties and storage information

Form
Liquid
Purification technique
Affinity purification Protein A
Storage buffer
pH: 7.2 - 7.4 Preservative: 0.01% Sodium azide Constituents: PBS, 40% Glycerol (glycerin, glycerine), 0.05% BSA
Shipped at conditions
Blue Ice
Appropriate short-term storage duration
1-2 weeks
Appropriate short-term storage conditions
+4°C
Appropriate long-term storage conditions
-20°C
Aliquoting information
Upon delivery aliquot
Storage information
Avoid freeze / thaw cycle

Supplementary information

This supplementary information is collated from multiple sources and compiled automatically.

E2F3 also known by its alternate name E2F transcription factor 3 functions as a member of the E2F family of transcription factors which are important for the regulation of the cell cycle. This protein possesses a molecular mass of approximately 55 kDa. E2F3 is expressed in various tissues with significant expression in proliferative cells. It plays a critical role in transcription activation binding with DNA and regulating genes necessary for cell cycle progression especially during the transition from the G1 to the S phase.
Biological function summary

E2F3 forms part of the E2F/DP protein complex which controls cell cycle entry and progression. Its activity facilitates the transcription of genes essential for DNA replication and synthesis. Through its interaction with retinoblastoma proteins specifically pRB and p107 E2F3 modulates cellular proliferation. This regulation is vital for maintaining normal cellular functions and growth ensuring proper cell cycle checkpoints are upheld.

Pathways

E2F3 participates in the RB/E2F signaling pathway a major controller of cell proliferation and apoptosis. This pathway serves a critical function in the decision between cell cycle progression and arrest. E2F3 interacts with cyclins and cyclin-dependent kinases (CDKs) particularly CDK2 highlighting its role in the regulation of cell cycle dynamics. It also works alongside other E2F family members such as E2F1 and E2F2 to maintain the balance between cell growth and death.

E2F3 has implications in cancer most notably in bladder cancer due to its ability to drive uncontrolled cell proliferation when regulatory mechanisms fail. Overexpression of E2F3 often correlates with tumorigenesis serving as a potential biomarker for aggressive forms of cancer. The dysregulation of E2F3 in conjunction with pRB pathway alterations has links to retinoblastoma a rare eye cancer. In these contexts E2F3's activity becomes deregulated contributing to disease progression through its interaction with proteins like pRB and CDKs.

Product protocols

For this product, it's our understanding that no specific protocols are required. You can visit:

Target data

Transcription activator that binds DNA cooperatively with DP proteins through the E2 recognition site, 5'-TTTC[CG]CGC-3' found in the promoter region of a number of genes whose products are involved in cell cycle regulation or in DNA replication. The DRTF1/E2F complex functions in the control of cell-cycle progression from G1 to S phase. E2F3 binds specifically to RB1 in a cell-cycle dependent manner. Inhibits adipogenesis, probably through the repression of CEBPA binding to its target gene promoters (By similarity).
See full target information E2F3

Product promise

We are committed to supporting your work with high-quality reagents, and we're here for you every step of the way. In the unlikely event that one of our products does not perform as expected, you're protected by our Product Promise.
For full details, please see our Terms & Conditions

Please note: All products are 'FOR RESEARCH USE ONLY. NOT FOR USE IN DIAGNOSTIC OR THERAPEUTIC PROCEDURES'.

For licensing inquiries, please contact partnerships@abcam.com