JavaScript is disabled in your browser. Please enable JavaScript to view this website.
AB240118

Anti-E2F4 antibody [EPR8259] - BSA and Azide free

Be the first to review this product! Submit a review

|

(0 Publication)

Rabbit Recombinant Monoclonal E2F4 antibody. Carrier free. Suitable for IHC-P, WB and reacts with Human samples.

View Alternative Names

Transcription factor E2F4, E2F-4, E2F4

7 Images
Immunohistochemistry (Formalin/PFA-fixed paraffin-embedded sections) - Anti-E2F4 antibody [EPR8259] - BSA and Azide free (AB240118)
  • IHC-P

Unknown

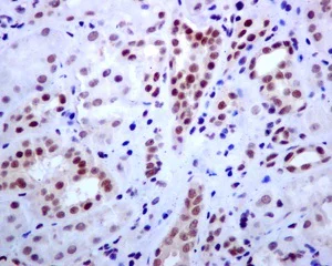
Immunohistochemistry (Formalin/PFA-fixed paraffin-embedded sections) - Anti-E2F4 antibody [EPR8259] - BSA and Azide free (AB240118)

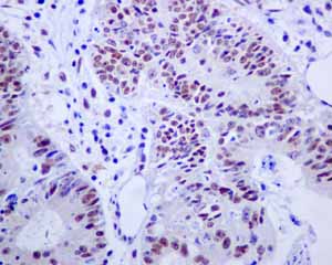
Immunohistochemical analysis of paraffin embedded Human Thyroid gland papillary carcinoma tissue using ab150360 showing +ve staining.

This data was developed using the same antibody clone in a different buffer formulation containing PBS, BSA, glycerol, and sodium azide (ab150360).

Immunohistochemistry (Formalin/PFA-fixed paraffin-embedded sections) - Anti-E2F4 antibody [EPR8259] - BSA and Azide free (AB240118)
  • IHC-P

Supplier Data

Immunohistochemistry (Formalin/PFA-fixed paraffin-embedded sections) - Anti-E2F4 antibody [EPR8259] - BSA and Azide free (AB240118)

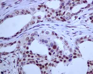
Immunohistochemical analysis of paraffin embedded Human kidney tissue labelling E2F4 with ab150360 antibody at a dilution of 1/250.

This data was developed using the same antibody clone in a different buffer formulation containing PBS, BSA, glycerol, and sodium azide (ab150360).

Immunohistochemistry (Formalin/PFA-fixed paraffin-embedded sections) - Anti-E2F4 antibody [EPR8259] - BSA and Azide free (AB240118)
  • IHC-P

Unknown

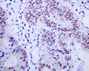
Immunohistochemistry (Formalin/PFA-fixed paraffin-embedded sections) - Anti-E2F4 antibody [EPR8259] - BSA and Azide free (AB240118)

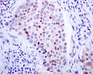
Immunohistochemical analysis of paraffin embedded Human Breast carcinoma tissue using ab150360 showing +ve staining.

This data was developed using the same antibody clone in a different buffer formulation containing PBS, BSA, glycerol, and sodium azide (ab150360).

Immunohistochemistry (Formalin/PFA-fixed paraffin-embedded sections) - Anti-E2F4 antibody [EPR8259] - BSA and Azide free (AB240118)
  • IHC-P

Unknown

Immunohistochemistry (Formalin/PFA-fixed paraffin-embedded sections) - Anti-E2F4 antibody [EPR8259] - BSA and Azide free (AB240118)

Immunohistochemical analysis of paraffin embedded Human Colonic adenocarcinoma tissue using ab150360 showing +ve staining.

This data was developed using the same antibody clone in a different buffer formulation containing PBS, BSA, glycerol, and sodium azide (ab150360).

Immunohistochemistry (Formalin/PFA-fixed paraffin-embedded sections) - Anti-E2F4 antibody [EPR8259] - BSA and Azide free (AB240118)
  • IHC-P

Unknown

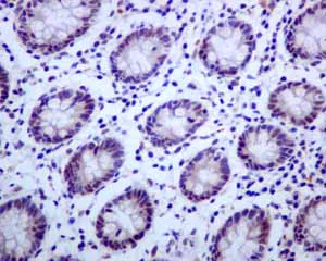
Immunohistochemistry (Formalin/PFA-fixed paraffin-embedded sections) - Anti-E2F4 antibody [EPR8259] - BSA and Azide free (AB240118)

Immunohistochemical analysis of paraffin embedded Normal Human Colon tissue using ab150360 showing +ve staining.

This data was developed using the same antibody clone in a different buffer formulation containing PBS, BSA, glycerol, and sodium azide (ab150360).

Immunohistochemistry (Formalin/PFA-fixed paraffin-embedded sections) - Anti-E2F4 antibody [EPR8259] - BSA and Azide free (AB240118)
  • IHC-P

Supplier Data

Immunohistochemistry (Formalin/PFA-fixed paraffin-embedded sections) - Anti-E2F4 antibody [EPR8259] - BSA and Azide free (AB240118)

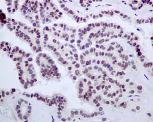
Immunohistochemical analysis of paraffin embedded Human lung adenocarcinoma tissue labelling E2F4 with ab150360 antibody at a dilution of 1/250.

This data was developed using the same antibody clone in a different buffer formulation containing PBS, BSA, glycerol, and sodium azide (ab150360).

Western blot - Anti-E2F4 antibody [EPR8259] - BSA and Azide free (AB240118)
  • WB

Lab

Western blot - Anti-E2F4 antibody [EPR8259] - BSA and Azide free (AB240118)

This data was developed using the same antibody clone in a different buffer formulation (ab150360).

Lanes 1-4 : Merged signal (red and green). Green - ab150360 observed at 60 kDa. Red - loading control ab8245 observed at 36 kDa.

ab150360 Anti-E2F4 antibody [EPR8259] was shown to specifically react with E2F4 in wild-type HEK293T cells. Loss of signal was observed when knockout cell line ab266119 (knockout cell lysate ab257932) was used. Wild-type and E2F4 knockout samples were subjected to SDS-PAGE. ab150360 and Anti-GAPDH antibody [6C5] - Loading Control (ab8245) were incubated at room temperature for 2.5 hours at 1 in 1000 dilution and 1 in 20000 dilution respectively. Blots were developed with Goat anti-Rabbit IgG H&L (IRDye® 800CW) preadsorbed (ab216773) and Goat anti-Mouse IgG H&L (IRDye® 680RD) preadsorbed (ab216776) secondary antibodies at 1 in 20000 dilution for 1 hour at room temperature before imaging.

All lanes:

Western blot - Anti-E2F4 antibody [EPR8259] (<a href='/en-us/products/primary-antibodies/e2f4-antibody-epr8259-ab150360'>ab150360</a>) at 1/1000 dilution

Lane 1:

Wild-type HEK293T cell lysate at 20 µg

Lane 2:

E2F4 knockout HEK293T cell lysate at 20 µg

Lane 2:

Western blot - Human E2F4 knockout HEK-293T cell line (<a href='/en-us/products/cell-lines/human-e2f4-knockout-hek-293t-cell-line-ab266119'>ab266119</a>)

Lane 3:

K-562 cell lysate at 20 µg

Lane 4:

Jurkat cell lysate at 20 µg

Secondary

All lanes:

Western blot - Goat anti-Rabbit IgG H&L (IRDye® 800CW) preadsorbed (<a href='/en-us/products/secondary-antibodies/goat-rabbit-igg-h-l-irdye-800cw-preadsorbed-ab216773'>ab216773</a>) at 1/10000 dilution

Predicted band size: 44 kDa

Observed band size: 60 kDa

false

Key facts

Host species

Rabbit

Clonality

Monoclonal

Clone number

EPR8259

Isotype

IgG

Carrier free

Yes

Reacts with

Human

Applications

IHC-P, WB

applications

Immunogen

The exact immunogen used to generate this antibody is proprietary information.

Reactivity data

{ "title": "Reactivity Data", "filters": { "stats": ["", "Species", "Dilution Info", "Notes"], "tabs": { "all-applications": {"fullname" : "All Applications", "shortname": "All Applications"}, "IHCP" : {"fullname" : "Immunohistochemistry (Formalin/PFA-fixed paraffin-embedded sections)", "shortname":"IHC-P"}, "IP" : {"fullname" : "Immunoprecipitation", "shortname":"IP"}, "FlowCyt" : {"fullname" : "Flow Cytometry", "shortname":"Flow Cyt"}, "WB" : {"fullname" : "Western blot", "shortname":"WB"}, "ICCIF" : {"fullname" : "Immunocytochemistry/ Immunofluorescence", "shortname":"ICC/IF"} }, "product-promise": { "all": "all", "testedAndGuaranteed": "tested", "guaranteed": "expected", "predicted": "predicted", "notRecommended": "not-recommended" } }, "values": { "Human": { "IHCP-species-checked": "testedAndGuaranteed", "IHCP-species-dilution-info": "", "IHCP-species-notes": "<p></p>", "IP-species-checked": "notRecommended", "IP-species-dilution-info": "", "IP-species-notes": "<p></p>", "FlowCyt-species-checked": "notRecommended", "FlowCyt-species-dilution-info": "", "FlowCyt-species-notes": "<p><a href='/en-us/products/primary-antibodies/rabbit-igg-monoclonal-epr25a-isotype-control-low-endotoxin-azide-free-ab199376'>ab199376</a> - Rabbit monoclonal IgG, is suitable for use as an isotype control with this antibody.</p>", "WB-species-checked": "testedAndGuaranteed", "WB-species-dilution-info": "", "WB-species-notes": "<p></p>", "ICCIF-species-checked": "notRecommended", "ICCIF-species-dilution-info": "", "ICCIF-species-notes": "<p></p>" } } }

Product details

ab240118 is the carrier-free version of ab150360.

Patented technology
Our RabMAb® technology is a patented hybridoma-based technology for making rabbit monoclonal antibodies. For details on our patents, please refer to RabMAb® patents.

What are the advantages of a recombinant monoclonal antibody?
This product is a recombinant monoclonal antibody, which offers several advantages including:

  • - High batch-to-batch consistency and reproducibility
  • - Improved sensitivity and specificity
  • - Long-term security of supply
  • - Animal-free batch production

For more information, read more on recombinant antibodies.

Conjugation ready
Our carrier-free antibodies are typically supplied in a PBS-only formulation, purified and free of BSA, sodium azide and glycerol. This conjugation-ready format is designed for use with fluorochromes, metal isotopes, oligonucleotides, and enzymes, which makes them ideal for antibody labelling, functional and cell-based assays, flow-based assays (e.g. mass cytometry) and Multiplex Imaging applications.

Use our conjugation kits for antibody conjugates that are ready-to-use in as little as 20 minutes with 1 minute hands-on-time and 100% antibody recovery: available for fluorescent dyes, HRP, biotin and gold.

Compatibility
This product is compatible with the Maxpar® Antibody Labeling Kit from Fluidigm, without the need for antibody preparation. Maxpar® is a trademark of Fluidigm Canada Inc.

Properties and storage information

Form
Liquid
Purification technique
Affinity purification Protein A
Storage buffer
pH: 7.2 - 7.4 Constituents: PBS
Shipped at conditions
Blue Ice
Appropriate short-term storage conditions
+4°C
Appropriate long-term storage conditions
+4°C
Storage information
Do Not Freeze

Supplementary information

This supplementary information is collated from multiple sources and compiled automatically.

E2F4 sometimes known as E2F-4 is part of the E2F family of transcription factors. It plays a critical role in controlling the cell cycle by regulating the expression of genes necessary for DNA synthesis. E2F4 has a molecular weight of around 45 kDa. These transcription factors are widely expressed in a variety of tissues reflecting their importance in cell biology. E2F4 typically functions by forming complexes with dimerization partner (DP) proteins mainly in the nucleus where it binds to DNA and influences transcription.
Biological function summary

E2F4 functions as a regulator of cell cycle progression. It forms complexes localizing mostly in the nucleus controlling the transition from G1 to S phase by regulating genes associated with cell cycle arrest and DNA replication. Partnering with members of the DP family enhances its DNA binding capacity influencing genes involved in cell cycle arrest and DNA repair processes. E2F4 predominantly acts as a transcriptional repressor in quiescent and differentiating cells maintaining the cell in a non-proliferative state.

Pathways

E2F4 is significant in the regulation of the cell cycle and DNA damage response pathways. It engages with the retinoblastoma protein family (pRB p107 p130) to exert repressive effects on E2F-target genes ensuring proper cell cycle exit and maintaining the G0 phase. The interaction with p130 is instrumental during the G0 state preventing inappropriate cell proliferation and contributing to the maintenance of cellular quiescence.

E2F4's role is noteworthy in cancer and retinoblastoma. Alterations in its regulation or activity can lead to unchecked cell proliferation a hallmark of cancerous growths. The malfunction or suppression of its activity can disrupt cell cycle control contributing to oncogenesis. In instances of retinoblastoma improper interaction between E2F4 and the retinoblastoma protein family can result in disrupted cell cycle checkpoints highlighting its importance in maintaining cellular homeostasis and preventing tumorigenesis.

Product protocols

For this product, it's our understanding that no specific protocols are required. You can visit:

Target data

Transcription activator that binds DNA cooperatively with DP proteins through the E2 recognition site, 5'-TTTC[CG]CGC-3' found in the promoter region of a number of genes whose products are involved in cell cycle regulation or in DNA replication. The DRTF1/E2F complex functions in the control of cell-cycle progression from G1 to S phase. E2F4 binds with high affinity to RBL1 and RBL2. In some instances can also bind RB1. Specifically required for multiciliate cell differentiation : together with MCIDAS and E2F5, binds and activate genes required for centriole biogenesis.
See full target information E2F4

Product promise

We are committed to supporting your work with high-quality reagents, and we're here for you every step of the way. In the unlikely event that one of our products does not perform as expected, you're protected by our Product Promise.
For full details, please see our Terms & Conditions

Please note: All products are 'FOR RESEARCH USE ONLY. NOT FOR USE IN DIAGNOSTIC OR THERAPEUTIC PROCEDURES'.

For licensing inquiries, please contact partnerships@abcam.com