JavaScript is disabled in your browser. Please enable JavaScript to view this website.
AB251503

Anti-E3 ubiquitin-protein ligase MUL1 antibody [EPR20241] - BSA and Azide free

Be the first to review this product! Submit a review

|

(0 Publication)

Rabbit Recombinant Monoclonal E3 ubiquitin-protein ligase MUL1 antibody. Carrier free. Suitable for IP, WB and reacts with Human samples.

View Alternative Names

C1orf166, GIDE, MAPL, MULAN, RNF218, MUL1, Mitochondrial ubiquitin ligase activator of NFKB 1, E3 SUMO-protein ligase MUL1, E3 ubiquitin-protein ligase MUL1, Growth inhibition and death E3 ligase, Mitochondrial-anchored protein ligase, Protein Hades, Putative NF-kappa-B-activating protein 266, RING finger protein 218, RING-type E3 ubiquitin transferase NFKB 1

3 Images
Immunoprecipitation - Anti-E3 ubiquitin-protein ligase MUL1 antibody [EPR20241] - BSA and Azide free (AB251503)
  • IP

Supplier Data

Immunoprecipitation - Anti-E3 ubiquitin-protein ligase MUL1 antibody [EPR20241] - BSA and Azide free (AB251503)

This data was developed using ab209263, the same antibody clone in a different buffer formulation.

E3 ubiquitin-protein ligase MUL1 was immunoprecipitated from 0.35 mg of HeLa (Human epithelial cell line from cervix adenocarcinoma) whole cell lysate with ab209263 at 1/30 dilution.

Western blot was performed from the immunoprecipitate using ab209263 at 1/1000 dilution.

VeriBlot for IP Detection Reagent (HRP) (ab131366), was used for detection at 1/10000 dilution.

Lane 1 : HeLa whole cell lysate, 10 μg (Input).

Lane 2 : ab209263 IP in HeLa whole cell lysate.

Lane 3 : Rabbit monoclonal IgG (ab172730) instead of ab209263 in HeLa whole cell lysate.

Blocking and dilution buffer : 5% NFDM/TBST.

Exposure time : 3 minutes.

All lanes:

Immunoprecipitation - Anti-E3 ubiquitin-protein ligase MUL1 antibody [EPR20241] (<a href='/en-us/products/primary-antibodies/e3-ubiquitin-protein-ligase-mul1-antibody-epr20241-ab209263'>ab209263</a>)

Predicted band size: 40 kDa

Observed band size: 39 kDa

false

Western blot - Anti-E3 ubiquitin-protein ligase MUL1 antibody [EPR20241] - BSA and Azide free (AB251503)
  • WB

Supplier Data

Western blot - Anti-E3 ubiquitin-protein ligase MUL1 antibody [EPR20241] - BSA and Azide free (AB251503)

This data was developed using ab209263, the same antibody clone in a different buffer formulation.

Blocking and dilution buffer : 5% NFDM/TBST.

Negative control : Human thymus (PMID : 18591963)

All lanes:

Western blot - Anti-E3 ubiquitin-protein ligase MUL1 antibody [EPR20241] (<a href='/en-us/products/primary-antibodies/e3-ubiquitin-protein-ligase-mul1-antibody-epr20241-ab209263'>ab209263</a>) at 1/1000 dilution

Lane 1:

HEK-293 (Human epithelial cell line from embryonic kidney) whole cell lysate at 20 µg

Lane 2:

HeLa (Human epithelial cell line from cervix adenocarcinoma) whole cell lysate at 20 µg

Lane 3:

PC-3 (Human prostate adenocarcinoma cell line) whole cell lysate at 20 µg

Lane 4:

Human fetal heart tissue lysate at 20 µg

Lane 5:

Human thymus tissue lysate at 20 µg

Secondary

All lanes:

Western blot - Goat Anti-Rabbit IgG H&L (HRP) (<a href='/en-us/products/secondary-antibodies/goat-rabbit-igg-h-l-hrp-ab97051'>ab97051</a>) at 1/100000 dilution

Predicted band size: 40 kDa

Observed band size: 39 kDa

false

Exposure time: 15min

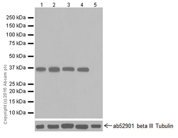
Western blot - Anti-E3 ubiquitin-protein ligase MUL1 antibody [EPR20241] - BSA and Azide free (AB251503)
  • WB

Supplier Data

Western blot - Anti-E3 ubiquitin-protein ligase MUL1 antibody [EPR20241] - BSA and Azide free (AB251503)

This data was developed using ab209263, the same antibody clone in a different buffer formulation.

Blocking and dilution buffer : 5% NFDM/TBST.

All lanes:

Western blot - Anti-E3 ubiquitin-protein ligase MUL1 antibody [EPR20241] (<a href='/en-us/products/primary-antibodies/e3-ubiquitin-protein-ligase-mul1-antibody-epr20241-ab209263'>ab209263</a>) at 1/1000 dilution

All lanes:

A431 (Human epidermoid carcinoma cell line) whole cell lysate at 20 µg

Secondary

All lanes:

Western blot - Goat Anti-Rabbit IgG H&L (HRP) (<a href='/en-us/products/secondary-antibodies/goat-rabbit-igg-h-l-hrp-ab97051'>ab97051</a>) at 1/100000 dilution

Predicted band size: 40 kDa

Observed band size: 39 kDa

false

Exposure time: 15s

Key facts

Host species

Rabbit

Clonality

Monoclonal

Clone number

EPR20241

Isotype

IgG

Carrier free

Yes

Reacts with

Human

Applications

IP, WB

applications

Immunogen

The exact immunogen used to generate this antibody is proprietary information.

Reactivity data

{ "title": "Reactivity Data", "filters": { "stats": ["", "Species", "Dilution Info", "Notes"], "tabs": { "all-applications": {"fullname" : "All Applications", "shortname": "All Applications"}, "IP" : {"fullname" : "Immunoprecipitation", "shortname":"IP"}, "WB" : {"fullname" : "Western blot", "shortname":"WB"} }, "product-promise": { "all": "all", "testedAndGuaranteed": "tested", "guaranteed": "expected", "predicted": "predicted", "notRecommended": "not-recommended" } }, "values": { "Human": { "IP-species-checked": "testedAndGuaranteed", "IP-species-dilution-info": "", "IP-species-notes": "<p></p>", "WB-species-checked": "testedAndGuaranteed", "WB-species-dilution-info": "", "WB-species-notes": "<p></p>" } } }

Product details

ab251503 is the carrier-free version of ab209263.

Patented technology
Our RabMAb® technology is a patented hybridoma-based technology for making rabbit monoclonal antibodies. For details on our patents, please refer to RabMAb® patents.

What are the advantages of a recombinant monoclonal antibody?
This product is a recombinant monoclonal antibody, which offers several advantages including:

  • - High batch-to-batch consistency and reproducibility
  • - Improved sensitivity and specificity
  • - Long-term security of supply
  • - Animal-free batch production

For more information, read more on recombinant antibodies.

Conjugation ready
Our carrier-free antibodies are typically supplied in a PBS-only formulation, purified and free of BSA, sodium azide and glycerol. This conjugation-ready format is designed for use with fluorochromes, metal isotopes, oligonucleotides, and enzymes, which makes them ideal for antibody labelling, functional and cell-based assays, flow-based assays (e.g. mass cytometry) and Multiplex Imaging applications.

Use our conjugation kits for antibody conjugates that are ready-to-use in as little as 20 minutes with 1 minute hands-on-time and 100% antibody recovery: available for fluorescent dyes, HRP, biotin and gold.

Compatibility
This product is compatible with the Maxpar® Antibody Labeling Kit from Fluidigm, without the need for antibody preparation. Maxpar® is a trademark of Fluidigm Canada Inc.

Properties and storage information

Form
Liquid
Storage buffer
pH: 7.2 - 7.4 Constituents: PBS
Shipped at conditions
Blue Ice
Appropriate short-term storage conditions
+4°C
Appropriate long-term storage conditions
+4°C
Storage information
Do Not Freeze

Supplementary information

This supplementary information is collated from multiple sources and compiled automatically.

E3 ubiquitin-protein ligase MUL1 also known as MULAN or MAPL is an important enzyme in cellular processes. It possesses a mass of approximately 45 kDa and functions as an E3 ligase which facilitates the transfer of ubiquitin to specific substrate proteins. This tagging mechanism plays a critical role in directing proteins for degradation through the proteasome pathway. MUL1 is expressed in various tissues including the heart brain and skeletal muscle highlighting its broad biological relevance. As a mitochondrial membrane protein MUL1 helps maintain mitochondrial integrity by targeting specific proteins for ubiquitination.
Biological function summary

MUL1 regulates numerous cellular processes such as apoptosis mitophagy and the mitochondrial dynamics by modulating the stability of target proteins. MUL1 operates independently and does not require a specific E2 enzyme for its function. Additionally it participates in cellular homeostasis by mediating the degradation of proteins that impact mitochondrial fusion and fission events. Since MUL1 forms part of the regulatory mechanisms governing cellular adaptation and survival its levels and activity are finely controlled within the cell.

Pathways

MUL1 is actively involved in the mitophagy and DNA damage response pathways. Its role in the mitophagy pathway links MUL1 to PINK1 and PARKIN proteins that are critical for the removal of damaged mitochondria. In the context of the DNA damage response MUL1 functions to reprogram metabolic pathways yielding protection against cellular stress. This activity associates it with proteins like p53 a well-known tumor suppressor anchoring its presence in mechanisms of cellular defense.

MUL1 presents potential connections to neurodegenerative diseases and cancer. In Parkinson's disease dysfunction in MUL1 activity can disrupt mitochondrial quality control especially when interacting with PINK1 and PARKIN aggravating neuronal damage. Moreover alterations in MUL1 expression can influence cancer progression by impacting the p53 pathway therefore affecting cell cycle and apoptosis regulation. These associations reveal the importance of MUL1's activity for cellular health and its potential as a therapeutic target for disease intervention.

Product protocols

For this product, it's our understanding that no specific protocols are required. You can visit:

Target data

Exhibits weak E3 ubiquitin-protein ligase activity (PubMed : 18591963, PubMed : 19407830, PubMed : 22410793). E3 ubiquitin ligases accept ubiquitin from an E2 ubiquitin-conjugating enzyme in the form of a thioester and then directly transfer the ubiquitin to targeted substrates (PubMed : 18591963, PubMed : 19407830, PubMed : 22410793). Can ubiquitinate AKT1 preferentially at 'Lys-284' involving 'Lys-48'-linked polyubiquitination and seems to be involved in regulation of Akt signaling by targeting phosphorylated Akt to proteasomal degradation (PubMed : 22410793). Mediates polyubiquitination of cytoplasmic TP53 at 'Lys-24' which targets TP53 for proteasomal degradation, thus reducing TP53 levels in the cytoplasm and mitochondrion (PubMed : 21597459). Proposed to preferentially act as a SUMO E3 ligase at physiological concentrations (PubMed : 19407830). Plays a role in the control of mitochondrial morphology by promoting mitochondrial fragmentation, and influences mitochondrial localization (PubMed : 18207745, PubMed : 18213395, PubMed : 19407830). Likely to promote mitochondrial fission through negatively regulating the mitochondrial fusion proteins MFN1 and MFN2, acting in a pathway that is parallel to the PRKN/PINK1 regulatory pathway (PubMed : 24898855). May also be involved in the sumoylation of the membrane fission protein DNM1L (PubMed : 18207745, PubMed : 19407830). Inhibits cell growth (PubMed : 18591963, PubMed : 22410793). When overexpressed, activates JNK through MAP3K7/TAK1 and induces caspase-dependent apoptosis (PubMed : 23399697). Involved in the modulation of innate immune defense against viruses by inhibiting RIGI-dependent antiviral response (PubMed : 23399697). Can mediate RIGI sumoylation and disrupt its polyubiquitination (PubMed : 23399697).
See full target information MUL1

Product promise

We are committed to supporting your work with high-quality reagents, and we're here for you every step of the way. In the unlikely event that one of our products does not perform as expected, you're protected by our Product Promise.
For full details, please see our Terms & Conditions

Please note: All products are 'FOR RESEARCH USE ONLY. NOT FOR USE IN DIAGNOSTIC OR THERAPEUTIC PROCEDURES'.

For licensing inquiries, please contact partnerships@abcam.com