JavaScript is disabled in your browser. Please enable JavaScript to view this website.
AB416

Anti-EAAT1 antibody

4

(13 Reviews)

|

(181 Publications)

Anti-EAAT1 antibody (ab416) is a rabbit polyclonal antibody detecting EAAT1 in Western Blot, IHC-P. Suitable for Human, Rat.

- Over 140 publications
- Trusted since 1999

View Alternative Names

EAAT1, GLAST, GLAST1, SLC1A3, Excitatory amino acid transporter 1, Sodium-dependent glutamate/aspartate transporter 1, Solute carrier family 1 member 3, GLAST-1

2 Images
Western blot - Anti-EAAT1 antibody (AB416)
  • WB

Unknown

Western blot - Anti-EAAT1 antibody (AB416)

All lanes:

Western blot - Anti-EAAT1 antibody (ab416)

All lanes:

Rat brain cortex

Predicted band size: 59 kDa

Observed band size: 150 kDa,60 kDa

false

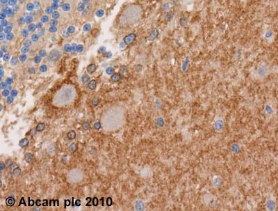
Immunohistochemistry (Formalin/PFA-fixed paraffin-embedded sections) - Anti-EAAT1 antibody (AB416)
  • IHC-P

Unknown

Immunohistochemistry (Formalin/PFA-fixed paraffin-embedded sections) - Anti-EAAT1 antibody (AB416)

ab416 (1 : 500) staining EAAT1 in human cerebellum using an automated system (DAKO Autostainer Plus). Using this protocol there is strong staining of membrane cells in the purkinje glial region .
Sections were rehydrated and antigen retrieved with the Dako 3 in 1 AR buffer EDTA pH 9.0 in a DAKO PT link. Slides were peroxidase blocked in 3% H2O2 in methanol for 10 mins. They were then blocked with Dako Protein block for 10 minutes (containing casein 0.25% in PBS) then incubated with primary antibody for 20 min and detected with Dako envision flex amplification kit for 30 minutes. Colorimetric detection was completed with Diaminobenzidine for 5 minutes. Slides were counterstained with Haematoxylin and coverslipped under DePeX. Please note that, for manual staining, optimization of primary antibody concentration and incubation time is recommended. Signal amplification may be required.

Key facts

Host species

Rabbit

Clonality

Polyclonal

Isotype

IgG

Carrier free

No

Reacts with

Rat, Human

Applications

WB, IHC-P

applications

Immunogen

Synthetic Peptide within Rat Slc1a3. The exact immunogen used to generate this antibody is proprietary information.

P24942

Reactivity data

{ "title": "Reactivity Data", "filters": { "stats": ["", "Species", "Dilution Info", "Notes"], "tabs": { "all-applications": {"fullname" : "All Applications", "shortname": "All Applications"}, "WB" : {"fullname" : "Western blot", "shortname":"WB"}, "IHCP" : {"fullname" : "Immunohistochemistry (Formalin/PFA-fixed paraffin-embedded sections)", "shortname":"IHC-P"} }, "product-promise": { "all": "all", "testedAndGuaranteed": "tested", "guaranteed": "expected", "predicted": "predicted", "notRecommended": "not-recommended" } }, "values": { "Human": { "WB-species-checked": "guaranteed", "WB-species-dilution-info": "", "WB-species-notes": "", "IHCP-species-checked": "testedAndGuaranteed", "IHCP-species-dilution-info": "1/50 - 1/500", "IHCP-species-notes": "<p></p>" }, "Rat": { "WB-species-checked": "testedAndGuaranteed", "WB-species-dilution-info": "1/200 - 1/5000", "WB-species-notes": "<p></p>", "IHCP-species-checked": "guaranteed", "IHCP-species-dilution-info": "", "IHCP-species-notes": "" } } }

Product details

Product Specifications

Anti-EAAT1 antibody (ab416) is a rabbit polyclonal antibody and is validated for use in IHC-P, WB in human, rat samples.
Anti-EAAT1 antibody (ab416) specifically detects EAAT1 (UniProt ID: P24942; Molecular weight: 60kDa) and is sold in 100 µg selling sizes.

Quality and Validation

Abcam's high quality validation processes ensure Anti-EAAT1 antibody (ab416) has high sensitivity and specificity.
Anti-EAAT1 antibody (ab416) has been cited over 148 times in peer reviewed journals and is trusted by the scientific community.
Anti-EAAT1 antibody (ab416) has 13 independent reviews from customers.

Glutamate-aspartate transporter is also known as GLAST.

We are constantly working hard to ensure we provide our customers with best in class antibodies. As a result, we are pleased to offer this antibody in a purified format as of 23rd June 2017. The following lots are still unpurified and still in stock as of 23rd June 2017 - GR3178513-1,GR3173220-1, GR3173220-2, GR293270-1, GR320843-2, GR320843-3, GR313192-1, GR320843-1. Lot numbers other than GR3178513-1,GR3173220-1, GR3173220-2, GR293270-1, GR320843-2, GR320843-3, GR313192-1, GR320843-1 will be purified. Please note that the dilutions may need to be adjusted accordingly. Purified antibodies have the advantage of being enriched for the fraction of immunoglobulin that specifically reacts with the target antigen and for having a reduction of serum proteins.

Properties and storage information

Form
Liquid
Purification technique
Affinity purification Protein A
Storage buffer
Constituents: 2% Sucrose, 1.21% Tris, 0.75% Glycine
Shipped at conditions
Blue Ice
Appropriate short-term storage duration
1-2 weeks
Appropriate short-term storage conditions
+4°C
Appropriate long-term storage conditions
-20°C
Aliquoting information
Upon delivery aliquot
Storage information
Avoid freeze / thaw cycle

Supplementary information

This supplementary information is collated from multiple sources and compiled automatically.

EAAT1 also known as Excitatory Amino Acid Transporter 1 or anti-GLAST plays a critical role in mediating the uptake of glutamate from the synaptic cleft into glial cells. This transporter helps maintain the delicate balance of excitatory neurotransmission in the central nervous system. EAAT1 has a molecular mass of approximately 57 kDa. You will find EAAT1 expressed predominantly in astrocytes within the brain and retina where it facilitates the regulation of extracellular concentrations of glutamate preventing excitotoxicity.
Biological function summary

EAAT1 is instrumental in maintaining low levels of extracellular glutamate acting as a protective mechanism against neurotoxicity. This transporter does not operate as part of a larger protein complex instead functioning independently to efficiently clear synaptic glutamate. By ensuring rapid uptake of glutamate EAAT1 helps maintain normal synaptic transmission and neuronal communication. The action of EAAT1 is important for preventing excessive activation of glutamate receptors which can lead to cellular damage.

Pathways

EAAT1 is heavily involved in the glutamatergic neurotransmission pathway which is essential for various brain functions including learning and memory. EAAT1 acts in coordination with other proteins like EAAT2 to manage glutamate levels within the synaptic cleft. Another pathway where EAAT1 plays a role is the glutamate-glutamine cycle where it works alongside proteins such as glutamine synthetase to recycle glutamate and sustain neurotransmitter balance. This interplay supports neuronal health and protects against glutamate excitotoxicity.

EAAT1 has been implicated in neurological conditions such as epilepsy and Alzheimer's disease. The dysfunction or altered expression of EAAT1 can lead to insufficient glutamate clearance contributing to the pathophysiology of these disorders. In epilepsy the decreased function of EAAT1 may result in abnormally high levels of synaptic glutamate enhancing the risk of seizures. Similarly in Alzheimer's altered EAAT1 activity can exacerbate neurodegenerative processes. EAAT1's role is tightly linked with proteins like NMDA receptors and EAAT2 which further influence disease progression by affecting glutamate dynamics.

Product protocols

For this product, it's our understanding that no specific protocols are required. You can visit:

Target data

Sodium-dependent, high-affinity amino acid transporter that mediates the uptake of L-glutamate and also L-aspartate and D-aspartate (PubMed : 20477940, PubMed : 26690923, PubMed : 28032905, PubMed : 28424515, PubMed : 7521911, PubMed : 8123008). Functions as a symporter that transports one amino acid molecule together with two or three Na(+) ions and one proton, in parallel with the counter-transport of one K(+) ion (PubMed : 20477940). Mediates Cl(-) flux that is not coupled to amino acid transport; this avoids the accumulation of negative charges due to aspartate and Na(+) symport (PubMed : 20477940). Plays a redundant role in the rapid removal of released glutamate from the synaptic cleft, which is essential for terminating the postsynaptic action of glutamate (By similarity).
See full target information SLC1A3

Publications (181)

Recent publications for all applications. Explore the full list and refine your search

Cell communication and signaling : CCS 23:341 PubMed40671084

2025

Mitochondria from huntington´s disease striatal astrocytes are hypermetabolic and compromise neuronal branching.

Applications

Unspecified application

Species

Unspecified reactive species

Laura López-Molina,Alba Pereda-Velarde,Nadia di Franco,Imme Aerts,Elisa Sebastià,Laura Valls-Roca,Mariona Guitart-Mampel,Gloria Garrabou,Silvia Gines

Nature communications 16:5448 PubMed40593535

2025

Epitenon-derived progenitors drive fibrosis and regeneration after flexor tendon injury in a spatially-dependent manner.

Applications

Unspecified application

Species

Unspecified reactive species

Anne E C Nichols,Lauren Benoodt,Emmanuella Adjei-Sowah,Kyle Jerreld,Alexander Kollar,Constantinos Ketonis,Alayna E Loiselle

Biomolecules 15: PubMed40427641

2025

Neuronal Plasticity-Dependent Paradigm and Young Plasma Treatment Prevent Synaptic and Motor Deficit in a Rett Syndrome Mouse Model.

Applications

Unspecified application

Species

Unspecified reactive species

Sofía Espinoza,Camila Navia,Rodrigo F Torres,Nuria Llontop,Verónica Valladares,Cristina Silva,Ariel Vivero,Exequiel Novoa-Padilla,Jessica Soto-Covasich,Jessica Mella,Ricardo Kouro,Sharin Valdivia,Marco Pérez-Bustamante,Patricia Ojeda-Provoste,Nancy Pineda,Sonja Buvinic,Dasfne Lee-Liu,Juan Pablo Henríquez,Bredford Kerr

Frontiers in cellular neuroscience 19:1538985 PubMed40083633

2025

Loss of Bmal1 impairs the glutamatergic light input to the SCN in mice.

Applications

Unspecified application

Species

Unspecified reactive species

Hüseyin Korkmaz,Max Anstötz,Tim Wellinghof,Benedetta Fazari,Angelika Hallenberger,Ann Kathrin Bergmann,Elena Niggetiedt,Fatma Delâl Güven,Federica Tundo-Lavalle,Fathima Faiba A Purath,Kevin Bochinsky,Lothar Gremer,Dieter Willbold,Charlotte von Gall,Amira A H Ali

Cell reports. Medicine 6:101986 PubMed40023165

2025

Outer radial glia promotes white matter regeneration after neonatal brain injury.

Applications

Unspecified application

Species

Unspecified reactive species

Hideo Jinnou,Lauren M Rosko,Satoshi Yamashita,Soichiro Henmi,Jaya Prasad,Van K Lam,Artur Agaronyan,Tsang-Wei Tu,Yuka Imamura,Kazuya Kuboyama,Kazunobu Sawamoto,Kazue Hashimoto-Torii,Nobuyuki Ishibashi,Vittorio Gallo

Journal of cellular physiology 240:e31482 PubMed39605294

2024

Spontaneously Immortalised Nonhuman Primate Müller Glia Cell Lines as Source to Explore Retinal Reprogramming Mechanisms for Cell Therapies.

Applications

Unspecified application

Species

Unspecified reactive species

Ahmed Salman,Arantxa Bolinches-Amorós,Tina Storm,Daniela Moralli,Paulina Bryika,Angela J Russell,Stephen G Davies,Alun R Barnard,Robert E MacLaren

iScience 27:110954 PubMed39381753

2024

The prion protein is required for normal responses to light stimuli by photoreceptors and bipolar cells.

Applications

Unspecified application

Species

Unspecified reactive species

James F Striebel,James A Carroll,Brent Race,Jacqueline M Leung,Cindi Schwartz,Emily D Reese,Catherine Bowes Rickman,Bruce Chesebro,Mikael Klingeborn

Stem cell research 80:103511 PubMed39098170

2024

Generation of induced pluripotent stem cell line (UCSFi001-A-77) carrying a biallelic frameshift variant in exon 4 of SGIP1 through CRISPR/Cas9.

Applications

Unspecified application

Species

Unspecified reactive species

Neelam Fatima,Lieke Dillen,Marina P Hommersom,Ece Çepni,Fareeha Fatima,Ellen van Beusekom,Silvia Albert,Asma Ali Khan,Arjan P M de Brouwer,Hans van Bokhoven

Journal of extracellular biology 3:e155 PubMed38947879

2024

P2RX7 plays a critical role in extracellular vesicle-mediated secretion of pathogenic molecules from microglia and astrocytes.

Applications

Unspecified application

Species

Unspecified reactive species

Mohammad Abdullah,Zhi Ruan,Seiko Ikezu,Tsuneya Ikezu

Cell death & disease 15:343 PubMed38760361

2024

Ventricular Netrin-1 deficiency leads to defective pyramidal decussation and mirror movement in mice.

Applications

Unspecified application

Species

Unspecified reactive species

Ling Hu,Xi-Yue Liu,Li Zhao,Zhi-Bin Hu,Ze-Xuan Li,Wei-Tang Liu,Ning-Ning Song,Yun-Qing Hu,Luo-Peng Jiang,Lei Zhang,Yun-Chao Tao,Qiong Zhang,Jia-Yin Chen,Bing Lang,Yu-Bing Wang,Lei Yue,Yu-Qiang Ding
View all publications

Product promise

We are committed to supporting your work with high-quality reagents, and we're here for you every step of the way. In the unlikely event that one of our products does not perform as expected, you're protected by our Product Promise.
For full details, please see our Terms & Conditions

Please note: All products are 'FOR RESEARCH USE ONLY. NOT FOR USE IN DIAGNOSTIC OR THERAPEUTIC PROCEDURES'.

For licensing inquiries, please contact partnerships@abcam.com