JavaScript is disabled in your browser. Please enable JavaScript to view this website.
AB181036

Anti-EAAT1 antibody [EPR12686]

5

(3 Reviews)

|

(20 Publications)

Anti-EAAT1 antibody [EPR12686] (ab181036) is a rabbit monoclonal antibody detecting EAAT1 in Western Blot, IHC-P, ICC/IF. Suitable for Human, Mouse, Rat.

- Biophysical QC for unrivalled batch-batch consistency

View Alternative Names

EAAT1, GLAST, GLAST1, SLC1A3, Excitatory amino acid transporter 1, Sodium-dependent glutamate/aspartate transporter 1, Solute carrier family 1 member 3, GLAST-1

12 Images
Immunohistochemistry (Formalin/PFA-fixed paraffin-embedded sections) - Anti-EAAT1 antibody [EPR12686] (AB181036)
  • IHC-P

Supplier Data

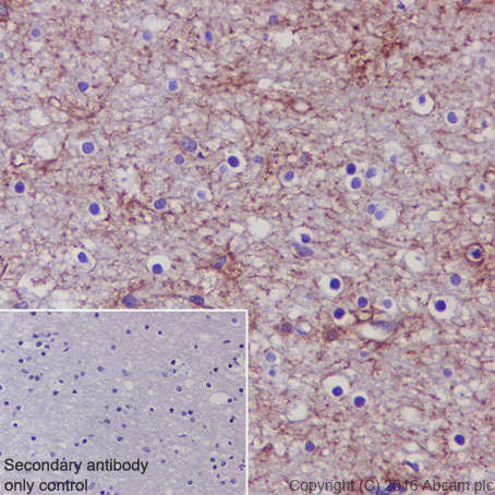
Immunohistochemistry (Formalin/PFA-fixed paraffin-embedded sections) - Anti-EAAT1 antibody [EPR12686] (AB181036)

Immunohistochemical staining of EAAT1 in paraffin-embedded human brain tissue using ab181036 at a 1/50 dilution.

Perform heat mediated antigen retrieval with citrate buffer pH 6 before commencing with IHC staining protocol.

Immunohistochemistry (Formalin/PFA-fixed paraffin-embedded sections) - Anti-EAAT1 antibody [EPR12686] (AB181036)
  • IHC-P

Lab

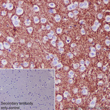
Immunohistochemistry (Formalin/PFA-fixed paraffin-embedded sections) - Anti-EAAT1 antibody [EPR12686] (AB181036)

ab181036 staining EAAT1 in human glioma tissue sections by Immunohistochemistry (IHC-P - paraformaldehyde-fixed, paraffin-embedded sections). Tissue was fixed with paraformaldehyde and antigen retrieval was by heat mediation in a EDTA buffer. Samples were incubated with primary antibody at a dilution of 1/1000. A goat anti-rabbit IgG H&L (HRP) ab97051 was used as the secondary antibody at 1/500.

Negative control 1 : PBS in place of primary antibody.

Immunohistochemistry (Formalin/PFA-fixed paraffin-embedded sections) - Anti-EAAT1 antibody [EPR12686] (AB181036)
  • IHC-P

Lab

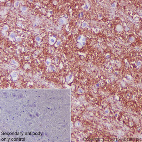
Immunohistochemistry (Formalin/PFA-fixed paraffin-embedded sections) - Anti-EAAT1 antibody [EPR12686] (AB181036)

ab181036 staining EAAT1 in human cerebral cortex tissue sections by Immunohistochemistry (IHC-P - paraformaldehyde-fixed, paraffin-embedded sections). Tissue was fixed with paraformaldehyde and antigen retrieval was by heat mediation in a EDTA buffer. Samples were incubated with primary antibody at a dilution of 1/1000. A goat anti-rabbit IgG H&L (HRP) ab97051 was used as the secondary antibody at 1/500.

Negative control 1 : PBS in place of primary antibody.

Immunocytochemistry/ Immunofluorescence - Anti-EAAT1 antibody [EPR12686] (AB181036)
  • ICC/IF

Lab

Immunocytochemistry/ Immunofluorescence - Anti-EAAT1 antibody [EPR12686] (AB181036)

Immunofluorescent analysis of 4% Paraformaldehyde-fixed, 0.1% TritonX-100 permeabilized rat primary neural / glia cells labelling EAAT1 with ab181036 at 1/50 dilution, followed by ab150077 Goat Anti-Rabbit IgG H&L (Alexa Fluor® 488) antibody at 1/1000 2 ug/ml dilution (Green). Confocal image showing positive staining in rat primary glia cell. Confocal scanning Z step was set as 0.3 μm followed by image processing with maximum Z projection. ab195889 Anti-alpha Tubulin mouse monoclonal antibody - Microtubule Marker (Alexa Fluor® 594) was used to counterstain tubulin at 1/200 2.5 dilution (Red). The Nuclear counterstain was DAPI (Blue).

Secondary antibody only control : Secondary antibody is ab150077 Goat Anti-Rabbit IgG H&L (Alexa Fluor® 488) at 1000 2 ug/ml dilution.

Immunohistochemistry (Formalin/PFA-fixed paraffin-embedded sections) - Anti-EAAT1 antibody [EPR12686] (AB181036)
  • IHC-P

Lab

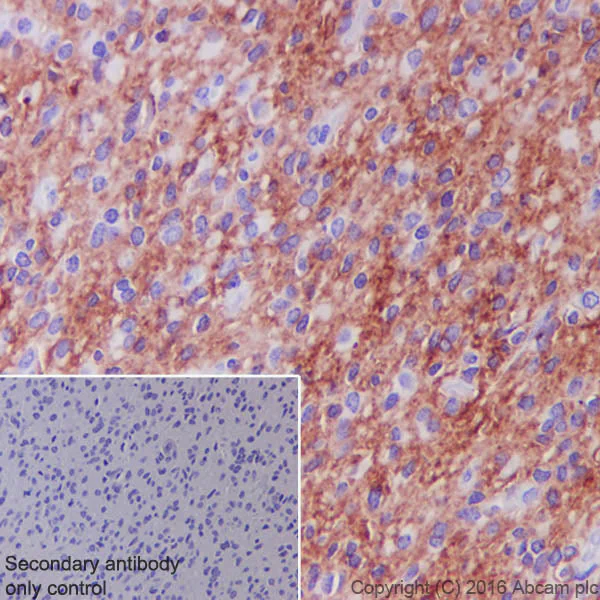
Immunohistochemistry (Formalin/PFA-fixed paraffin-embedded sections) - Anti-EAAT1 antibody [EPR12686] (AB181036)

ab181036 staining EAAT1 in rat cerebral cortex tissue sections by Immunohistochemistry (IHC-P - paraformaldehyde-fixed, paraffin-embedded sections). Tissue was fixed with paraformaldehyde and antigen retrieval was by heat mediation in a EDTA buffer. Samples were incubated with primary antibody at a dilution of 1/1000. A goat anti-rabbit IgG H&L (HRP) ab97051 was used as the secondary antibody at 1/500.

Immunohistochemistry (Formalin/PFA-fixed paraffin-embedded sections) - Anti-EAAT1 antibody [EPR12686] (AB181036)
  • IHC-P

Lab

Immunohistochemistry (Formalin/PFA-fixed paraffin-embedded sections) - Anti-EAAT1 antibody [EPR12686] (AB181036)

ab181036 staining EAAT1 in mouse cerebral cortex tissue sections by Immunohistochemistry (IHC-P - paraformaldehyde-fixed, paraffin-embedded sections). Tissue was fixed with paraformaldehyde and antigen retrieval was by heat mediation in a EDTA buffer. Samples were incubated with primary antibody at a dilution of 1/1000. A goat anti-rabbit IgG H&L (HRP) ab97051 was used as the secondary antibody at 1/500.

Negative control 1 : PBS in place of primary antibody.

Immunocytochemistry/ Immunofluorescence - Anti-EAAT1 antibody [EPR12686] (AB181036)
  • ICC/IF

Lab

Immunocytochemistry/ Immunofluorescence - Anti-EAAT1 antibody [EPR12686] (AB181036)

Immunofluorescent analysis of 4% Paraformaldehyde-fixed, 0.1% TritonX-100 permeabilized mouse primary neural / glia cells labelling EAAT1 with ab181036 at 1/50 dilution, followed by ab150077 Goat Anti-Rabbit IgG H&L (Alexa Fluor® 488) antibody at 1/1000 2 ug/ml dilution (Green). Confocal image showing positive staining in mouse primary neural / glia cell. Confocal scanning Z step was set as 0.3 μm followed by image processing with maximum Z projection. Anti-Glial Fibrillary Acidic Protein (GFAP) mouse monoclonal antibody was used to counterstain tubulin at 1/100 dilution (Red). The Nuclear counterstain was DAPI (Blue).

Secondary antibody only control : Secondary antibody is ab150077 Goat Anti-Rabbit IgG H&L (Alexa Fluor® 488) at 1/1000 2 ug/ml dilution.

Immunocytochemistry/ Immunofluorescence - Anti-EAAT1 antibody [EPR12686] (AB181036)
  • ICC/IF

Lab

Immunocytochemistry/ Immunofluorescence - Anti-EAAT1 antibody [EPR12686] (AB181036)

Immunofluorescent analysis of 4% Paraformaldehyde-fixed, 0.1% TritonX-100 permeabilized mouse primary neural / glia cells labelling EAAT1 with ab181036 at 1/50 dilution, followed by ab150077 Goat Anti-Rabbit IgG H&L (Alexa Fluor® 488) antibody at 1/1000 2 ug/ml dilution (Green). Confocal image showing positive staining in mouse primary glia cell. Confocal scanning Z step was set as 0.3 μm followed by image processing with maximum Z projection. ab195889 Anti-alpha Tubulin mouse monoclonal antibody - Microtubule Marker (Alexa Fluor® 594) was used to counterstain tubulin at 1/200 2.5 dilution (Red). The Nuclear counterstain was DAPI (Blue).

Secondary antibody only control : Secondary antibody is ab150077 Goat Anti-Rabbit IgG H&L (Alexa Fluor® 488) at 1000 2 ug/ml dilution.

Western blot - Anti-EAAT1 antibody [EPR12686] (AB181036)
  • WB

Lab

Western blot - Anti-EAAT1 antibody [EPR12686] (AB181036)

Blocking and diluting buffer : 5% NFDM/TBST

The band above (100KDa) is dimer

All lanes:

Western blot - Anti-EAAT1 antibody [EPR12686] (ab181036) at 1/5000 dilution

All lanes:

Human cerebellum at 20 µg

Secondary

All lanes:

Anti-Rabbit IgG (HRP), specific to the non-reduced form of IgG at 1/2000 dilution

Predicted band size: 143 kDa,26 kDa,59 kDa

Observed band size: 150 kDa,59 kDa

false

Western blot - Anti-EAAT1 antibody [EPR12686] (AB181036)
  • WB

Supplier Data

Western blot - Anti-EAAT1 antibody [EPR12686] (AB181036)

All lanes:

Western blot - Anti-EAAT1 antibody [EPR12686] (ab181036) at 1/1000 dilution

Lane 1:

Mouse brain lysate at 10 µg

Lane 2:

Rat brain lysate at 10 µg

Lane 3:

Human cerebellum lysate at 10 µg

Predicted band size: 59 kDa

false

Western blot - Anti-EAAT1 antibody [EPR12686] (AB181036)
  • WB

Lab

Western blot - Anti-EAAT1 antibody [EPR12686] (AB181036)

Blocking and diluting buffer and concentration : 5% NFDM/TBST.

We recommend not to boil the samples after lysis to get desired WB results.

All lanes:

Western blot - Anti-EAAT1 antibody [EPR12686] (ab181036) at 1/5000 dilution

Lane 1:

Mouse brain lysate boiled at 15 µg

Lane 2:

Mouse brain lysate unboiled at 15 µg

Secondary

All lanes:

Western blot - Goat Anti-Rabbit IgG H&L (HRP) (<a href='/en-us/products/secondary-antibodies/goat-rabbit-igg-h-l-hrp-ab97051'>ab97051</a>) at 1/20000 dilution

Predicted band size: 59 kDa

false

Exposure time: 10s

Western blot - Anti-EAAT1 antibody [EPR12686] (AB181036)
  • WB

Lab

Western blot - Anti-EAAT1 antibody [EPR12686] (AB181036)

All lanes:

Western blot - Anti-EAAT1 antibody [EPR12686] (ab181036) at 1/5000 dilution

Lane 1:

Mouse brain at 20 µg

Lane 2:

Mouse hippocampus at 20 µg

Lane 3:

Rat hippocampus at 20 µg

Lane 4:

Rat brain at 20 µg

Secondary

All lanes:

Anti-Rabbit IgG (HRP), specific to the non-reduced form of IgG at 1/2000 dilution

Predicted band size: 59 kDa

Observed band size: 59 kDa

false

Key facts

Host species

Rabbit

Clonality

Monoclonal

Clone number

EPR12686

Isotype

IgG

Carrier free

No

Reacts with

Mouse, Rat, Human

Applications

ICC/IF, WB, IHC-P

applications

Immunogen

The exact immunogen used to generate this antibody is proprietary information.

Specificity

Unsuitable for human ICC/IF.

Reactivity data

{ "title": "Reactivity Data", "filters": { "stats": ["", "Species", "Dilution Info", "Notes"], "tabs": { "all-applications": {"fullname" : "All Applications", "shortname": "All Applications"}, "IHCP" : {"fullname" : "Immunohistochemistry (Formalin/PFA-fixed paraffin-embedded sections)", "shortname":"IHC-P"}, "ICCIF" : {"fullname" : "Immunocytochemistry/ Immunofluorescence", "shortname":"ICC/IF"}, "WB" : {"fullname" : "Western blot", "shortname":"WB"} }, "product-promise": { "all": "all", "testedAndGuaranteed": "tested", "guaranteed": "expected", "predicted": "predicted", "notRecommended": "not-recommended" } }, "values": { "Human": { "IHCP-species-checked": "testedAndGuaranteed", "IHCP-species-dilution-info": "1/50 - 1/1000", "IHCP-species-notes": "<p></p> Perform heat-mediated antigen retrieval with citrate buffer pH 6 before commencing with IHC staining protocol.", "ICCIF-species-checked": "notRecommended", "ICCIF-species-dilution-info": "1/50", "ICCIF-species-notes": "<p></p>", "WB-species-checked": "testedAndGuaranteed", "WB-species-dilution-info": "1/1000 - 1/10000", "WB-species-notes": "<p></p>" }, "Mouse": { "IHCP-species-checked": "testedAndGuaranteed", "IHCP-species-dilution-info": "1/50 - 1/1000", "IHCP-species-notes": "<p></p> Perform heat-mediated antigen retrieval with citrate buffer pH 6 before commencing with IHC staining protocol.", "ICCIF-species-checked": "testedAndGuaranteed", "ICCIF-species-dilution-info": "1/50", "ICCIF-species-notes": "<p></p>", "WB-species-checked": "testedAndGuaranteed", "WB-species-dilution-info": "1/1000 - 1/10000", "WB-species-notes": "<p></p>" }, "Rat": { "IHCP-species-checked": "testedAndGuaranteed", "IHCP-species-dilution-info": "1/50 - 1/1000", "IHCP-species-notes": "<p></p> Perform heat-mediated antigen retrieval with citrate buffer pH 6 before commencing with IHC staining protocol.", "ICCIF-species-checked": "testedAndGuaranteed", "ICCIF-species-dilution-info": "1/50", "ICCIF-species-notes": "<p></p>", "WB-species-checked": "guaranteed", "WB-species-dilution-info": "", "WB-species-notes": "" }, "Monkey": { "IHCP-species-checked": "predicted", "IHCP-species-dilution-info": "", "IHCP-species-notes": "", "ICCIF-species-checked": "notRecommended", "ICCIF-species-dilution-info": "", "ICCIF-species-notes": "", "WB-species-checked": "predicted", "WB-species-dilution-info": "", "WB-species-notes": "" } } }

Product details

What is this antibody validated in?
Anti-EAAT1 antibody [EPR12686] (ab181036) is a rabbit recombinant monoclonal antibody and is validated for use in Western Blot (WB), Immunohistochemistry (IHC-P), Immunocytochemistry/immunofluorescence (ICC/IF) in Human, Mouse, Rat samples.

What is the molecular weight of EAAT1?
Anti-EAAT1 [EPR12686] (ab181036) specifically detects a band for EAAT1 (UniProt: P43003) at a molecular weight of 59kDa.

Trusted by the scientific community
Anti-EAAT1 [EPR12686] (ab181036) was first used in a scientific publication in 2013 and has been cited over 10 times in peer-reviewed journals.

Trial sizes available!
Test your antibody or perform pre-screening before committing to a larger quantity. Sold in 10µl. Discover our selection of trial-size antibodies.

Other related products
We have a range of other formats of antibody clone [EPR12686] also available for your convenience: ab181036, Carrier free - ab240235, Alexa Fluor® 488 - ab311003, Alexa Fluor® 647 - ab311128, Alexa Fluor® 594 - ab311761, Alexa Fluor® 568 - ab313041, Alexa Fluor® 555 - ab313242, Alexa Fluor® 750 - ab321242

Patented technology
Our RabMAb® technology is a patented hybridoma-based technology for making rabbit monoclonal antibodies. For details on our patents, please refer to RabMAb® patents.

What are the advantages of a recombinant monoclonal antibody?
This product is a recombinant monoclonal antibody, which offers several advantages including:

  • - High batch-to-batch consistency and reproducibility
  • - Improved sensitivity and specificity
  • - Long-term security of supply
  • - Animal-free batch production

For more information, read more on recombinant antibodies.

Properties and storage information

Form
Liquid
Purification technique
Affinity purification Protein A
Storage buffer
Preservative: 0.01% Sodium azide Constituents: PBS, 40% Glycerol (glycerin, glycerine), 0.05% BSA
Shipped at conditions
Blue Ice
Appropriate short-term storage duration
1-2 weeks
Appropriate short-term storage conditions
+4°C
Appropriate long-term storage conditions
-20°C
Aliquoting information
Upon delivery aliquot
Storage information
Avoid freeze / thaw cycle

Supplementary information

This supplementary information is collated from multiple sources and compiled automatically.

EAAT1 also known as Excitatory Amino Acid Transporter 1 or anti-GLAST plays a critical role in mediating the uptake of glutamate from the synaptic cleft into glial cells. This transporter helps maintain the delicate balance of excitatory neurotransmission in the central nervous system. EAAT1 has a molecular mass of approximately 57 kDa. You will find EAAT1 expressed predominantly in astrocytes within the brain and retina where it facilitates the regulation of extracellular concentrations of glutamate preventing excitotoxicity.
Biological function summary

EAAT1 is instrumental in maintaining low levels of extracellular glutamate acting as a protective mechanism against neurotoxicity. This transporter does not operate as part of a larger protein complex instead functioning independently to efficiently clear synaptic glutamate. By ensuring rapid uptake of glutamate EAAT1 helps maintain normal synaptic transmission and neuronal communication. The action of EAAT1 is important for preventing excessive activation of glutamate receptors which can lead to cellular damage.

Pathways

EAAT1 is heavily involved in the glutamatergic neurotransmission pathway which is essential for various brain functions including learning and memory. EAAT1 acts in coordination with other proteins like EAAT2 to manage glutamate levels within the synaptic cleft. Another pathway where EAAT1 plays a role is the glutamate-glutamine cycle where it works alongside proteins such as glutamine synthetase to recycle glutamate and sustain neurotransmitter balance. This interplay supports neuronal health and protects against glutamate excitotoxicity.

EAAT1 has been implicated in neurological conditions such as epilepsy and Alzheimer's disease. The dysfunction or altered expression of EAAT1 can lead to insufficient glutamate clearance contributing to the pathophysiology of these disorders. In epilepsy the decreased function of EAAT1 may result in abnormally high levels of synaptic glutamate enhancing the risk of seizures. Similarly in Alzheimer's altered EAAT1 activity can exacerbate neurodegenerative processes. EAAT1's role is tightly linked with proteins like NMDA receptors and EAAT2 which further influence disease progression by affecting glutamate dynamics.

Product protocols

For this product, it's our understanding that no specific protocols are required. You can visit:

Target data

Sodium-dependent, high-affinity amino acid transporter that mediates the uptake of L-glutamate and also L-aspartate and D-aspartate (PubMed : 20477940, PubMed : 26690923, PubMed : 28032905, PubMed : 28424515, PubMed : 7521911, PubMed : 8123008). Functions as a symporter that transports one amino acid molecule together with two or three Na(+) ions and one proton, in parallel with the counter-transport of one K(+) ion (PubMed : 20477940). Mediates Cl(-) flux that is not coupled to amino acid transport; this avoids the accumulation of negative charges due to aspartate and Na(+) symport (PubMed : 20477940). Plays a redundant role in the rapid removal of released glutamate from the synaptic cleft, which is essential for terminating the postsynaptic action of glutamate (By similarity).
See full target information SLC1A3

Publications (20)

Recent publications for all applications. Explore the full list and refine your search

Translational psychiatry 15:391 PubMed41073431

2025

Developmental arrest of astrocyte lineage in Snai2 deletion mice: implication for the intellectual disability in patients with Waardenburg syndrome.

Applications

Unspecified application

Species

Unspecified reactive species

Chaobiao Xue,Haiyun Xu,Xiuyuan Huang,Miaotong Su,Lifang He,Guangping Zhang,Zhexuan Lin,Hui Li,Xiaohong Hong,Shaoxian Chen,Zhuozhi Dai,Tongtong Cai,Can Chen,Yun Lin,Guohong Zhang,Wenhong Luo

Alzheimer's & dementia : the journal of the Alzheimer's Association 21:e70458 PubMed40631443

2025

The Alzheimer's disease-associated complement receptor 1 variant confers risk by impacting glial phagocytosis.

Applications

Unspecified application

Species

Unspecified reactive species

Nikoleta Daskoulidou,Bethany Shaw,Wioleta Milena Zelek,Bryan Paul Morgan

Investigative ophthalmology & visual science 66:62 PubMed39873651

2025

SIRT4 Protects Retina Against Excitotoxic Injury by Promoting OPA1-Mediated Müller Glial Cell Mitochondrial Fusion and GLAST Expression.

Applications

Unspecified application

Species

Unspecified reactive species

Qian Ying,Hongdou Luo,Zhi Xie,Yi Huang,Haijian Hu,Ming Jin,Ke Xu,Yulian Pang,Yuning Song,Xu Zhang

Neurochemical research 50:74 PubMed39754645

2025

Regulation of Glutamate Transporter Type 1 by TSA and the Antiepileptic Mechanism of TSA.

Applications

Unspecified application

Species

Unspecified reactive species

Jin Wang,Qinqin Chen,Shihai Jiang,Sisi Liu,Zhengyi Xie,Xiaochen Zhang,Haixin Huang,Suiqiang Zhu

Nature communications 15:8639 PubMed39366972

2024

Astrocytic neuroligin 3 regulates social memory and synaptic plasticity through adenosine signaling in male mice.

Applications

Unspecified application

Species

Unspecified reactive species

Rui Dang,An Liu,Yu Zhou,Xingcan Li,Miao Wu,Kun Cao,Yanghong Meng,Haiwang Zhang,Guangming Gan,Wei Xie,Zhengping Jia

Nature communications 15:6744 PubMed39112447

2024

Multisensory gamma stimulation mitigates the effects of demyelination induced by cuprizone in male mice.

Applications

Unspecified application

Species

Unspecified reactive species

Daniela Rodrigues-Amorim,P Lorenzo Bozzelli,TaeHyun Kim,Liwang Liu,Oliver Gibson,Cheng-Yi Yang,Mitchell H Murdock,Fabiola Galiana-Melendez,Brooke Schatz,Alexis Davison,Md Rezaul Islam,Dong Shin Park,Ravikiran M Raju,Fatema Abdurrob,Alissa J Nelson,Jian Min Ren,Vicky Yang,Matthew P Stokes,Li-Huei Tsai

Neuron 112:1978-1996.e6 PubMed38599212

2024

Glutamatergic neuronal activity regulates angiogenesis and blood-retinal barrier maturation via Norrin/β-catenin signaling.

Applications

Unspecified application

Species

Unspecified reactive species

Saptarshi Biswas,Sanjid Shahriar,Galina Bachay,Panos Arvanitis,Danny Jamoul,William J Brunken,Dritan Agalliu

Pharmaceuticals (Basel, Switzerland) 17: PubMed38543179

2024

Investigation of the Effects of a Novel NOX2 Inhibitor, GLX7013170, against Glutamate Excitotoxicity and Diabetes Insults in the Retina.

Applications

Unspecified application

Species

Unspecified reactive species

Stavroula Dionysopoulou,Per Wikstrom,Erik Walum,Spiros Georgakis,Kyriaki Thermos

Aging and disease 14:1853-1869 PubMed37196127

2023

CNTN1 Aggravates Neuroinflammation and Triggers Cognitive Deficits in Male Mice by Boosting Crosstalk between Microglia and Astrocytes.

Applications

Unspecified application

Species

Unspecified reactive species

Song-Ji Li,Min-Hui Ma,Jun-Mei Li,Xiao-Yu Lu,Cheng-Biao Lu,Shi-Fen Zhou,Lin-Xuan Zhang,Meng-Qing Li,Tong-Ze Shao,Su-Ping Bai,Xiao-Xin Yan,Fang Li,Chang-Qi Li

Genes & diseases 11:1009-1021 PubMed37692510

2023

Vitamin D-binding protein in plasma microglia-derived extracellular vesicles as a potential biomarker for major depressive disorder.

Applications

Unspecified application

Species

Unspecified reactive species

Gaojia Zhang,Ling Li,Yan Kong,Dandan Xu,Yu Bao,Zhiting Zhang,Zhixiang Liao,Jiao Jiao,Dandan Fan,Xiaojing Long,Ji Dai,Chunming Xie,Zhiqiang Meng,Zhijun Zhang
View all publications

Product promise

We are committed to supporting your work with high-quality reagents, and we're here for you every step of the way. In the unlikely event that one of our products does not perform as expected, you're protected by our Product Promise.
For full details, please see our Terms & Conditions

Please note: All products are 'FOR RESEARCH USE ONLY. NOT FOR USE IN DIAGNOSTIC OR THERAPEUTIC PROCEDURES'.

For licensing inquiries, please contact partnerships@abcam.com