JavaScript is disabled in your browser. Please enable JavaScript to view this website.
AB240235

Anti-EAAT1 antibody [EPR12686] - BSA and Azide free

Be the first to review this product! Submit a review

|

(2 Publications)

Rabbit Recombinant Monoclonal EAAT1 antibody. Carrier free. Suitable for IHC-P, ICC/IF, WB and reacts with Human, Mouse, Rat samples. Cited in 2 publications.

View Alternative Names

EAAT1, GLAST, GLAST1, SLC1A3, Excitatory amino acid transporter 1, Sodium-dependent glutamate/aspartate transporter 1, Solute carrier family 1 member 3, GLAST-1

8 Images
Immunohistochemistry (Formalin/PFA-fixed paraffin-embedded sections) - Anti-EAAT1 antibody [EPR12686] - BSA and Azide free (AB240235)
  • IHC-P

Lab

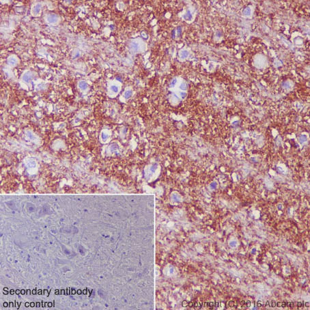
Immunohistochemistry (Formalin/PFA-fixed paraffin-embedded sections) - Anti-EAAT1 antibody [EPR12686] - BSA and Azide free (AB240235)

ab181036 staining EAAT1 in human glioma tissue sections by Immunohistochemistry (IHC-P - paraformaldehyde-fixed, paraffin-embedded sections). Tissue was fixed with paraformaldehyde and antigen retrieval was by heat mediation in a EDTA buffer. Samples were incubated with primary antibody at a dilution of 1/1000. A goat anti-rabbit IgG H&L (HRP) ab97051 was used as the secondary antibody at 1/500.

Negative control 1 : PBS in place of primary antibody.

This data was developed using the same antibody clone in a different buffer formulation containing PBS, BSA, glycerol, and sodium azide (ab181036).

Immunohistochemistry (Formalin/PFA-fixed paraffin-embedded sections) - Anti-EAAT1 antibody [EPR12686] - BSA and Azide free (AB240235)
  • IHC-P

Lab

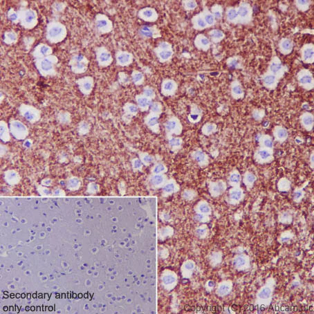
Immunohistochemistry (Formalin/PFA-fixed paraffin-embedded sections) - Anti-EAAT1 antibody [EPR12686] - BSA and Azide free (AB240235)

ab181036 staining EAAT1 in human cerebral cortex tissue sections by Immunohistochemistry (IHC-P - paraformaldehyde-fixed, paraffin-embedded sections). Tissue was fixed with paraformaldehyde and antigen retrieval was by heat mediation in a EDTA buffer. Samples were incubated with primary antibody at a dilution of 1/1000. A goat anti-rabbit IgG H&L (HRP) ab97051 was used as the secondary antibody at 1/500.

Negative control 1 : PBS in place of primary antibody.

This data was developed using the same antibody clone in a different buffer formulation containing PBS, BSA, glycerol, and sodium azide (ab181036).

Immunohistochemistry (Formalin/PFA-fixed paraffin-embedded sections) - Anti-EAAT1 antibody [EPR12686] - BSA and Azide free (AB240235)
  • IHC-P

Supplier Data

Immunohistochemistry (Formalin/PFA-fixed paraffin-embedded sections) - Anti-EAAT1 antibody [EPR12686] - BSA and Azide free (AB240235)

Immunohistochemical staining of EAAT1 in paraffin-embedded human brain tissue using ab181036 at a 1/50 dilution.

This data was developed using the same antibody clone in a different buffer formulation containing PBS, BSA, glycerol, and sodium azide (ab181036).

Heat mediated antigen retrieval was performed with citrate buffer pH 6 before commencing with IHC staining protocol.

Immunocytochemistry/ Immunofluorescence - Anti-EAAT1 antibody [EPR12686] - BSA and Azide free (AB240235)
  • ICC/IF

Lab

Immunocytochemistry/ Immunofluorescence - Anti-EAAT1 antibody [EPR12686] - BSA and Azide free (AB240235)

This data was developed using ab181036, the same antibody clone in a different buffer formulation.

Immunofluorescent analysis of 4% Paraformaldehyde-fixed, 0.1% TritonX-100 permeabilized mouse primary neural / glia cells labelling EAAT1 with ab181036 at 1/50 dilution, followed by ab150077 Goat Anti-Rabbit IgG H&L (Alexa Fluor® 488) antibody at 1/1000 2 ug/ml dilution (Green). Confocal image showing positive staining in mouse primary glia cell. Confocal scanning Z step was set as 0.3 μm followed by image processing with maximum Z projection. ab195889 Anti-alpha Tubulin mouse monoclonal antibody - Microtubule Marker (Alexa Fluor® 594) was used to counterstain tubulin at 1/200 2.5 dilution (Red). The Nuclear counterstain was DAPI (Blue).

Secondary antibody only control : Secondary antibody is ab150077 Goat Anti-Rabbit IgG H&L (Alexa Fluor® 488) at 1000 2 ug/ml dilution.

Immunohistochemistry (Formalin/PFA-fixed paraffin-embedded sections) - Anti-EAAT1 antibody [EPR12686] - BSA and Azide free (AB240235)
  • IHC-P

Lab

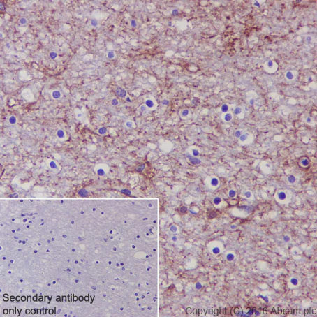
Immunohistochemistry (Formalin/PFA-fixed paraffin-embedded sections) - Anti-EAAT1 antibody [EPR12686] - BSA and Azide free (AB240235)

ab181036 staining EAAT1 in mouse cerebral cortex tissue sections by Immunohistochemistry (IHC-P - paraformaldehyde-fixed, paraffin-embedded sections). Tissue was fixed with paraformaldehyde and antigen retrieval was by heat mediation in a EDTA buffer. Samples were incubated with primary antibody at a dilution of 1/1000. A goat anti-rabbit IgG H&L (HRP) ab97051 was used as the secondary antibody at 1/500.

Negative control 1 : PBS in place of primary antibody.

This data was developed using the same antibody clone in a different buffer formulation containing PBS, BSA, glycerol, and sodium azide (ab181036).

Immunohistochemistry (Formalin/PFA-fixed paraffin-embedded sections) - Anti-EAAT1 antibody [EPR12686] - BSA and Azide free (AB240235)
  • IHC-P

Lab

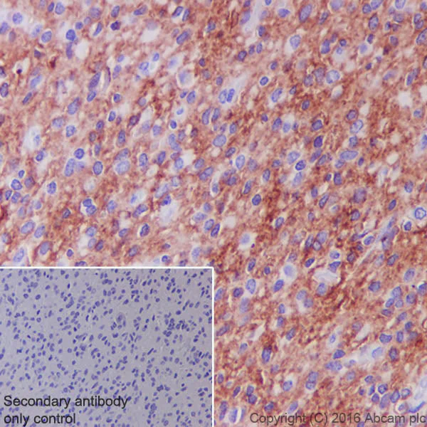
Immunohistochemistry (Formalin/PFA-fixed paraffin-embedded sections) - Anti-EAAT1 antibody [EPR12686] - BSA and Azide free (AB240235)

ab181036 staining EAAT1 in rat cerebral cortex tissue sections by Immunohistochemistry (IHC-P - paraformaldehyde-fixed, paraffin-embedded sections). Tissue was fixed with paraformaldehyde and antigen retrieval was by heat mediation in a EDTA buffer. Samples were incubated with primary antibody at a dilution of 1/1000. A goat anti-rabbit IgG H&L (HRP) ab97051 was used as the secondary antibody at 1/500.

This data was developed using the same antibody clone in a different buffer formulation containing PBS, BSA, glycerol, and sodium azide (ab181036).

Immunocytochemistry/ Immunofluorescence - Anti-EAAT1 antibody [EPR12686] - BSA and Azide free (AB240235)
  • ICC/IF

Lab

Immunocytochemistry/ Immunofluorescence - Anti-EAAT1 antibody [EPR12686] - BSA and Azide free (AB240235)

This data was developed using ab181036, the same antibody clone in a different buffer formulation.

Immunofluorescent analysis of 4% Paraformaldehyde-fixed, 0.1% TritonX-100 permeabilized mouse primary neural / glia cells labelling EAAT1 with ab181036 at 1/50 dilution, followed by ab150077 Goat Anti-Rabbit IgG H&L (Alexa Fluor® 488) antibody at 1/1000 2 ug/ml dilution (Green). Confocal image showing positive staining in mouse primary neural / glia cell. Confocal scanning Z step was set as 0.3 μm followed by image processing with maximum Z projection. Anti-Glial Fibrillary Acidic Protein (GFAP) mouse monoclonal antibody was used to counterstain tubulin at 1/100 dilution (Red). The Nuclear counterstain was DAPI (Blue).

Secondary antibody only control : Secondary antibody is ab150077 Goat Anti-Rabbit IgG H&L (Alexa Fluor® 488) at 1/1000 2 ug/ml dilution.

Immunocytochemistry/ Immunofluorescence - Anti-EAAT1 antibody [EPR12686] - BSA and Azide free (AB240235)
  • ICC/IF

Lab

Immunocytochemistry/ Immunofluorescence - Anti-EAAT1 antibody [EPR12686] - BSA and Azide free (AB240235)

This data was developed using ab181036, the same antibody clone in a different buffer formulation.

Immunofluorescent analysis of 4% Paraformaldehyde-fixed, 0.1% TritonX-100 permeabilized rat primary neural / glia cells labelling EAAT1 with ab181036 at 1/50 dilution, followed by ab150077 Goat Anti-Rabbit IgG H&L (Alexa Fluor® 488) antibody at 1/1000 2 ug/ml dilution (Green). Confocal image showing positive staining in rat primary glia cell. Confocal scanning Z step was set as 0.3 μm followed by image processing with maximum Z projection. ab195889 Anti-alpha Tubulin mouse monoclonal antibody - Microtubule Marker (Alexa Fluor® 594) was used to counterstain tubulin at 1/200 2.5 dilution (Red). The Nuclear counterstain was DAPI (Blue).

Secondary antibody only control : Secondary antibody is ab150077 Goat Anti-Rabbit IgG H&L (Alexa Fluor® 488) at 1000 2 ug/ml dilution.

Key facts

Host species

Rabbit

Clonality

Monoclonal

Clone number

EPR12686

Isotype

IgG

Carrier free

Yes

Reacts with

Mouse, Rat, Human

Applications

WB, ICC/IF, IHC-P

applications

Immunogen

The exact immunogen used to generate this antibody is proprietary information.

Specificity

Unsuitable for human ICC/IF.

Reactivity data

{ "title": "Reactivity Data", "filters": { "stats": ["", "Species", "Dilution Info", "Notes"], "tabs": { "all-applications": {"fullname" : "All Applications", "shortname": "All Applications"}, "IHCP" : {"fullname" : "Immunohistochemistry (Formalin/PFA-fixed paraffin-embedded sections)", "shortname":"IHC-P"}, "ICCIF" : {"fullname" : "Immunocytochemistry/ Immunofluorescence", "shortname":"ICC/IF"}, "WB" : {"fullname" : "Western blot", "shortname":"WB"} }, "product-promise": { "all": "all", "testedAndGuaranteed": "tested", "guaranteed": "expected", "predicted": "predicted", "notRecommended": "not-recommended" } }, "values": { "Human": { "IHCP-species-checked": "testedAndGuaranteed", "IHCP-species-dilution-info": "", "IHCP-species-notes": "<p></p>", "ICCIF-species-checked": "notRecommended", "ICCIF-species-dilution-info": "", "ICCIF-species-notes": "<p></p>", "WB-species-checked": "testedAndGuaranteed", "WB-species-dilution-info": "", "WB-species-notes": "<p></p>" }, "Mouse": { "IHCP-species-checked": "testedAndGuaranteed", "IHCP-species-dilution-info": "", "IHCP-species-notes": "<p></p>", "ICCIF-species-checked": "testedAndGuaranteed", "ICCIF-species-dilution-info": "", "ICCIF-species-notes": "<p></p>", "WB-species-checked": "testedAndGuaranteed", "WB-species-dilution-info": "", "WB-species-notes": "<p></p>" }, "Rat": { "IHCP-species-checked": "testedAndGuaranteed", "IHCP-species-dilution-info": "", "IHCP-species-notes": "<p></p>", "ICCIF-species-checked": "testedAndGuaranteed", "ICCIF-species-dilution-info": "", "ICCIF-species-notes": "<p></p>", "WB-species-checked": "testedAndGuaranteed", "WB-species-dilution-info": "", "WB-species-notes": "<p></p>" }, "Monkey": { "IHCP-species-checked": "predicted", "IHCP-species-dilution-info": "", "IHCP-species-notes": "", "ICCIF-species-checked": "notRecommended", "ICCIF-species-dilution-info": "", "ICCIF-species-notes": "", "WB-species-checked": "predicted", "WB-species-dilution-info": "", "WB-species-notes": "" } } }

Product details

ab240235 is the carrier-free version of ab181036.

Conjugation ready
Our carrier-free antibodies are typically supplied in a PBS-only formulation, purified and free of BSA, sodium azide and glycerol. This conjugation-ready format is designed for use with fluorochromes, metal isotopes, oligonucleotides, and enzymes, which makes them ideal for antibody labelling, functional and cell-based assays, flow-based assays (e.g. mass cytometry) and Multiplex Imaging applications.

Use our conjugation kits for antibody conjugates that are ready-to-use in as little as 20 minutes with 1 minute hands-on-time and 100% antibody recovery: available for fluorescent dyes, HRP, biotin and gold.

Compatibility
This product is compatible with the Maxpar® Antibody Labeling Kit from Fluidigm, without the need for antibody preparation. Maxpar® is a trademark of Fluidigm Canada Inc.

Properties and storage information

Form
Liquid
Purification technique
Affinity purification Protein A
Storage buffer
pH: 7.2 - 7.4 Constituents: PBS
Shipped at conditions
Blue Ice
Appropriate short-term storage conditions
+4°C
Appropriate long-term storage conditions
+4°C
Storage information
Do Not Freeze

Supplementary information

This supplementary information is collated from multiple sources and compiled automatically.

EAAT1 also known as Excitatory Amino Acid Transporter 1 or anti-GLAST plays a critical role in mediating the uptake of glutamate from the synaptic cleft into glial cells. This transporter helps maintain the delicate balance of excitatory neurotransmission in the central nervous system. EAAT1 has a molecular mass of approximately 57 kDa. You will find EAAT1 expressed predominantly in astrocytes within the brain and retina where it facilitates the regulation of extracellular concentrations of glutamate preventing excitotoxicity.
Biological function summary

EAAT1 is instrumental in maintaining low levels of extracellular glutamate acting as a protective mechanism against neurotoxicity. This transporter does not operate as part of a larger protein complex instead functioning independently to efficiently clear synaptic glutamate. By ensuring rapid uptake of glutamate EAAT1 helps maintain normal synaptic transmission and neuronal communication. The action of EAAT1 is important for preventing excessive activation of glutamate receptors which can lead to cellular damage.

Pathways

EAAT1 is heavily involved in the glutamatergic neurotransmission pathway which is essential for various brain functions including learning and memory. EAAT1 acts in coordination with other proteins like EAAT2 to manage glutamate levels within the synaptic cleft. Another pathway where EAAT1 plays a role is the glutamate-glutamine cycle where it works alongside proteins such as glutamine synthetase to recycle glutamate and sustain neurotransmitter balance. This interplay supports neuronal health and protects against glutamate excitotoxicity.

EAAT1 has been implicated in neurological conditions such as epilepsy and Alzheimer's disease. The dysfunction or altered expression of EAAT1 can lead to insufficient glutamate clearance contributing to the pathophysiology of these disorders. In epilepsy the decreased function of EAAT1 may result in abnormally high levels of synaptic glutamate enhancing the risk of seizures. Similarly in Alzheimer's altered EAAT1 activity can exacerbate neurodegenerative processes. EAAT1's role is tightly linked with proteins like NMDA receptors and EAAT2 which further influence disease progression by affecting glutamate dynamics.

Product protocols

For this product, it's our understanding that no specific protocols are required. You can visit:

Target data

Sodium-dependent, high-affinity amino acid transporter that mediates the uptake of L-glutamate and also L-aspartate and D-aspartate (PubMed : 20477940, PubMed : 26690923, PubMed : 28032905, PubMed : 28424515, PubMed : 7521911, PubMed : 8123008). Functions as a symporter that transports one amino acid molecule together with two or three Na(+) ions and one proton, in parallel with the counter-transport of one K(+) ion (PubMed : 20477940). Mediates Cl(-) flux that is not coupled to amino acid transport; this avoids the accumulation of negative charges due to aspartate and Na(+) symport (PubMed : 20477940). Plays a redundant role in the rapid removal of released glutamate from the synaptic cleft, which is essential for terminating the postsynaptic action of glutamate (By similarity).
See full target information SLC1A3

Publications (2)

Recent publications for all applications. Explore the full list and refine your search

Cell reports 43:115008 PubMed39666457

2024

The nucleoporin Nup153 is the anchor for Kif1a during basal nuclear migration in brain progenitor cells.

Applications

Unspecified application

Species

Unspecified reactive species

Aditi Falnikar,Sebastian Quintremil,Hung-Jun Zhao,Haw-Yuan Cheng,Paige Helmer,Jin-Wu Tsai,Richard B Vallee

Biomedicines 12: PubMed39457558

2024

Tetraspanins, GLAST and L1CAM Quantification in Single Extracellular Vesicles from Cerebrospinal Fluid and Serum of People with Multiple Sclerosis.

Applications

Unspecified application

Species

Unspecified reactive species

Rocío Del Carmen Bravo-Miana,Jone Karmele Arizaga-Echebarria,Valeria Sabas-Ortega,Hirune Crespillo-Velasco,Alvaro Prada,Tamara Castillo-Triviño,David Otaegui
View all publications

Product promise

We are committed to supporting your work with high-quality reagents, and we're here for you every step of the way. In the unlikely event that one of our products does not perform as expected, you're protected by our Product Promise.
For full details, please see our Terms & Conditions

Please note: All products are 'FOR RESEARCH USE ONLY. NOT FOR USE IN DIAGNOSTIC OR THERAPEUTIC PROCEDURES'.

For licensing inquiries, please contact partnerships@abcam.com