JavaScript is disabled in your browser. Please enable JavaScript to view this website.
AB205247

Anti-EAAT2 antibody [EPR19794]

Be the first to review this product! Submit a review

|

(4 Publications)

Rabbit Recombinant Monoclonal EAAT2 antibody. Suitable for IP, WB, IHC-P and reacts with Rat, Mouse samples. Cited in 4 publications.

View Alternative Names

Eaat2, Glt1, Slc1a2, Excitatory amino acid transporter 2, GLT-1, Sodium-dependent glutamate/aspartate transporter 2, Solute carrier family 1 member 2

5 Images
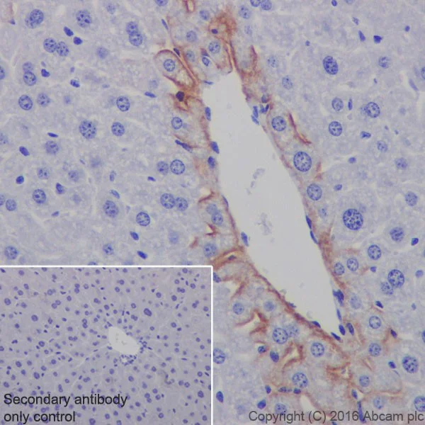
Immunohistochemistry (Formalin/PFA-fixed paraffin-embedded sections) - Anti-EAAT2 antibody [EPR19794] (AB205247)
  • IHC-P

Supplier Data

Immunohistochemistry (Formalin/PFA-fixed paraffin-embedded sections) - Anti-EAAT2 antibody [EPR19794] (AB205247)

Immunohistochemical analysis of paraffin-embedded Mouse liver tissue labeling EAAT2 with ab205247 at 1/1000 dilution followed by Goat Anti-Rabbit IgG H&L (HRP) (ab97051) at 1/500 dilution.

Membrane staining on neurons of mouse liver is observed [PMID : 19718708].

Counter stained with Hematoxylin.

Secondary antibody only control : Used PBS instead of primary antibody secondary antibody is ab97051 at 1/500 dilution

Perform heat mediated antigen retrieval with Tris/EDTA buffer pH 9.0 before commencing with IHC staining protocol.

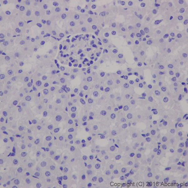
Immunohistochemistry (Formalin/PFA-fixed paraffin-embedded sections) - Anti-EAAT2 antibody [EPR19794] (AB205247)
  • IHC-P

Supplier Data

Immunohistochemistry (Formalin/PFA-fixed paraffin-embedded sections) - Anti-EAAT2 antibody [EPR19794] (AB205247)

Immunohistochemical analysis of paraffin-embedded Mouse kidney tissue labeling EAAT2 with ab205247 at 1/1000 dilution followed by Goat Anti-Rabbit IgG H&L (HRP) (ab97051) at 1/500 dilution.

Negative staining on mouse kidney.

Counter stained with Hematoxylin.

Perform heat mediated antigen retrieval with Tris/EDTA buffer pH 9.0 before commencing with IHC staining protocol.

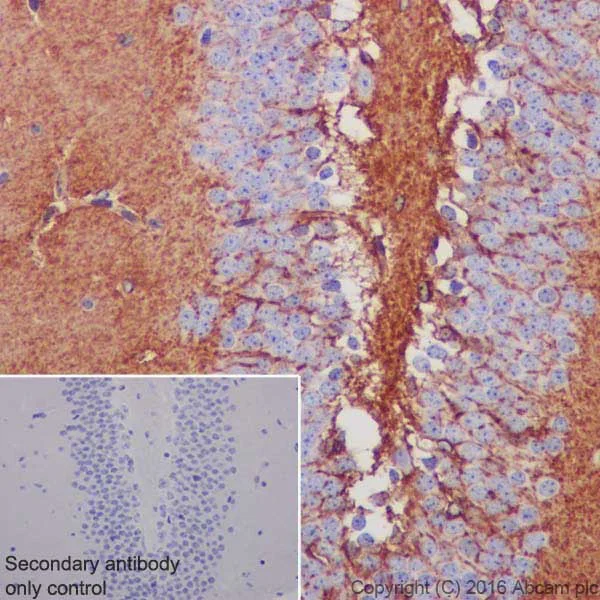
Immunohistochemistry (Formalin/PFA-fixed paraffin-embedded sections) - Anti-EAAT2 antibody [EPR19794] (AB205247)
  • IHC-P

Supplier Data

Immunohistochemistry (Formalin/PFA-fixed paraffin-embedded sections) - Anti-EAAT2 antibody [EPR19794] (AB205247)

Immunohistochemical analysis of paraffin-embedded Mouse hippocampus tissue labeling EAAT2 with ab205247 at 1/1000 dilution followed by Goat Anti-Rabbit IgG H&L (HRP) (ab97051) at 1/500 dilution.

Membrane staining on neurons of mouse hippocampus is observed [PMID : 25391854].

Counter stained with Hematoxylin.

Secondary antibody only control : Used PBS instead of primary antibody secondary antibody is ab97051 at 1/500 dilution.

Perform heat mediated antigen retrieval with Tris/EDTA buffer pH 9.0 before commencing with IHC staining protocol.

Immunoprecipitation - Anti-EAAT2 antibody [EPR19794] (AB205247)
  • IP

Supplier Data

Immunoprecipitation - Anti-EAAT2 antibody [EPR19794] (AB205247)

EAAT2 was immunoprecipitated from 0.35 mg of Rat brain lysate with ab205247 at 1/40 dilution.

Western blot was performed from the immunoprecipitate using ab205247 at 1/2000 dilution.

VeriBlot for IP Detection Reagent (HRP) (ab131366), was used for detection at 1/10000 dilution.

Lane 1 : Rat brain lysate, 10μg (Input).

Lane 2 : ab205247 IP in Rat brain lysate.

Lane 3 : Rabbit IgG,monoclonal [EPR25A]-Isotype Control (ab172730) instead of ab205247 in Rat brain lysate.

Blocking and dilution buffer and concentration : 5% NFDM/TBST.

Exposure time : 1 second.

All lanes:

Immunoprecipitation - Anti-EAAT2 antibody [EPR19794] (ab205247)

Predicted band size: 62 kDa

false

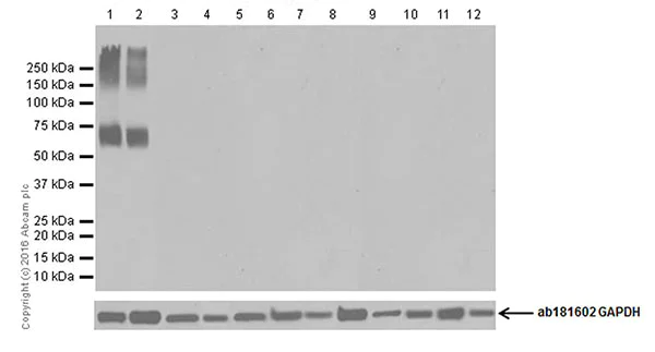
Western blot - Anti-EAAT2 antibody [EPR19794] (AB205247)
  • WB

Supplier Data

Western blot - Anti-EAAT2 antibody [EPR19794] (AB205247)

Blocking/Dilution buffer : 5% NFDM/TBST.

EAAT2 is a multi-pass membrane protein, the main transporter that clears the excitatory neurotransmitter glutamate in the central nervous system. The bands around 180KD are multimers of EAAT2, which is consistent with what have been described in the literatures (PMID : 24569372 and 20193040).

All lanes:

Western blot - Anti-EAAT2 antibody [EPR19794] (ab205247) at 1/2000 dilution

Lane 1:

Mouse brain tissue lysate at 20 µg

Lane 2:

Rat brain tissue lysate at 20 µg

Lane 3:

Mouse liver tissue lysate at 20 µg

Lane 4:

Mouse spleen tissue lysate at 20 µg

Lane 5:

Rat liver tissue lysate at 20 µg

Lane 6:

Rat kidney tissue lysate at 20 µg

Lane 7:

Rat spleen tissue lysate at 20 µg

Lane 8:

C6 (Rat glial tumor cell line) whole cell lysate at 20 µg

Lane 9:

Neuro-2a (Mouse neuroblastoma cell line) whole cell lysate at 20 µg

Lane 10:

RAW 264.7 (Mouse macrophage cell line transformed with Abelson murine leukemia virus) whole cell lysate at 20 µg

Lane 11:

PC-12 (Rat adrenal gland pheochromocytoma cell line) whole cell lysate at 20 µg

Lane 12:

NIH/3T3 (Mouse embryonic fibroblast cell line) whole cell lysate at 20 µg

Secondary

All lanes:

Western blot - Goat Anti-Rabbit IgG H&L (HRP) (<a href='/en-us/products/secondary-antibodies/goat-rabbit-igg-h-l-hrp-ab97051'>ab97051</a>) at 1/100000 dilution

Predicted band size: 62 kDa

Observed band size: 180 kDa,65 kDa

false

Exposure time: 5s

  • Carrier free

    Anti-EAAT2 antibody [EPR19794] - BSA and Azide free

Key facts

Host species

Rabbit

Clonality

Monoclonal

Clone number

EPR19794

Isotype

IgG

Carrier free

No

Reacts with

Mouse, Rat

Applications

IP, IHC-P, WB

applications

Immunogen

The exact immunogen used to generate this antibody is proprietary information.

Reactivity data

{ "title": "Reactivity Data", "filters": { "stats": ["", "Species", "Dilution Info", "Notes"], "tabs": { "all-applications": {"fullname" : "All Applications", "shortname": "All Applications"}, "IP" : {"fullname" : "Immunoprecipitation", "shortname":"IP"}, "WB" : {"fullname" : "Western blot", "shortname":"WB"}, "IHCP" : {"fullname" : "Immunohistochemistry (Formalin/PFA-fixed paraffin-embedded sections)", "shortname":"IHC-P"} }, "product-promise": { "all": "all", "testedAndGuaranteed": "tested", "guaranteed": "expected", "predicted": "predicted", "notRecommended": "not-recommended" } }, "values": { "Mouse": { "IP-species-checked": "guaranteed", "IP-species-dilution-info": "", "IP-species-notes": "", "WB-species-checked": "testedAndGuaranteed", "WB-species-dilution-info": "1/1000", "WB-species-notes": "<p></p>", "IHCP-species-checked": "testedAndGuaranteed", "IHCP-species-dilution-info": "1/1000", "IHCP-species-notes": "<p>IHC is recommended for mouse only</p>" }, "Rat": { "IP-species-checked": "testedAndGuaranteed", "IP-species-dilution-info": "1/40", "IP-species-notes": "<p></p>", "WB-species-checked": "testedAndGuaranteed", "WB-species-dilution-info": "1/1000", "WB-species-notes": "<p></p>", "IHCP-species-checked": "guaranteed", "IHCP-species-dilution-info": "", "IHCP-species-notes": "" } } }

Product details

Patented technology
Our RabMAb® technology is a patented hybridoma-based technology for making rabbit monoclonal antibodies. For details on our patents, please refer to RabMAb® patents.

What are the advantages of a recombinant monoclonal antibody?
This product is a recombinant monoclonal antibody, which offers several advantages including:

  • - High batch-to-batch consistency and reproducibility
  • - Improved sensitivity and specificity
  • - Long-term security of supply
  • - Animal-free batch production

For more information, read more on recombinant antibodies.

Properties and storage information

Form
Liquid
Purification technique
Affinity purification Protein A
Storage buffer
pH: 7.2 - 7.4 Preservative: 0.01% Sodium azide Constituents: PBS, 40% Glycerol (glycerin, glycerine), 0.05% BSA
Shipped at conditions
Blue Ice
Appropriate short-term storage duration
1-2 weeks
Appropriate short-term storage conditions
+4°C
Appropriate long-term storage conditions
-20°C
Aliquoting information
Upon delivery aliquot
Storage information
Avoid freeze / thaw cycle

Supplementary information

This supplementary information is collated from multiple sources and compiled automatically.

EAAT2 also known as excitatory amino acid transporter 2 or GLT-1 is a protein responsible for reuptake of glutamate from the synaptic cleft into glial cells preventing excitotoxicity. The protein has a mass of approximately 73 kDa and prominently expresses in the central nervous system particularly in astrocytes. By regulating extracellular glutamate levels EAAT2 helps maintain neurotransmitter balance critical for healthy neuron function.
Biological function summary

EAAT2 plays an important role in maintaining synaptic transmission and preventing overexcitation that can lead to neuronal damage. It is part of a transporter complex responsible for the movement of glutamate across the cell membrane working together with ions like sodium and potassium. Due to its significant role in the regulation of neurotransmitter levels in the brain EAAT2 is considered an important player in neural communication processes.

Pathways

EAAT2 is integral to the glutamatergic signaling pathway where its activity supports glutamate recycling and homeostasis. This pathway is important for normal cognitive functions such as learning and memory. EAAT2 works closely with other proteins such as EAAT1 in efforts to regulate glutamate concentrations in the extracellular space impacting synaptic strength and plasticity in the nervous system.

Malfunctions of EAAT2 are associated with conditions like amyotrophic lateral sclerosis (ALS) and Alzheimer's disease. In ALS EAAT2 dysfunction leads to accumulation of neurotoxic levels of glutamate causing motor neuron death. Similarly in Alzheimer’s disease impaired regulation of EAAT2 contributes to neurodegeneration through a related increase in neuronal excitotoxicity. Both conditions emphasize the critical importance of EAAT2 in neuroprotection and maintenance of normal brain function.

Product protocols

For this product, it's our understanding that no specific protocols are required. You can visit:

Target data

Sodium-dependent, high-affinity amino acid transporter that mediates the uptake of L-glutamate and also L-aspartate and D-aspartate (PubMed : 7557442, PubMed : 7698742, PubMed : 9373176). Functions as a symporter that transports one amino acid molecule together with two or three Na(+) ions and one proton, in parallel with the counter-transport of one K(+) ion. Mediates Cl(-) flux that is not coupled to amino acid transport; this avoids the accumulation of negative charges due to aspartate and Na(+) symport (By similarity). Essential for the rapid removal of released glutamate from the synaptic cleft, and for terminating the postsynaptic action of glutamate (PubMed : 9180080).
See full target information Slc1a2

Publications (4)

Recent publications for all applications. Explore the full list and refine your search

Nature communications 15:4347 PubMed38773146

2024

Astrocytic ALKBH5 in stress response contributes to depressive-like behaviors in mice.

Applications

Unspecified application

Species

Unspecified reactive species

Fang Guo,Jun Fan,Jin-Ming Liu,Peng-Li Kong,Jing Ren,Jia-Wen Mo,Cheng-Lin Lu,Qiu-Ling Zhong,Liang-Yu Chen,Hao-Tian Jiang,Canyuan Zhang,You-Lu Wen,Ting-Ting Gu,Shu-Ji Li,Ying-Ying Fang,Bing-Xing Pan,Tian-Ming Gao,Xiong Cao

Frontiers in pharmacology 13:1047236 PubMed36699078

2023

Acetylsalicylic acid reduces cigarette smoke withdrawal-induced anxiety in rats modulating the expression of NFĸB, GLT-1, and xCT.

Applications

Unspecified application

Species

Unspecified reactive species

Alaa M Hammad,Lujain F Alzaghari,Malek Alfaraj,Walid Al-Qerem,Wamidh H Talib,Fawaz Alasmari,Haneen Amawi,F Scott Hall

Molecular metabolism :101180 PubMed33556642

2021

GLP-1 improves the supportive ability of astrocytes to neurons by promoting aerobic glycolysis in Alzheimer's disease.

Applications

Unspecified application

Species

Unspecified reactive species

Jiaping Zheng,Yunzhen Xie,Lingjia Ren,Liqin Qi,Li Wu,Xiaodong Pan,Jianxing Zhou,Zhou Chen,Libin Liu

The Journal of experimental medicine 214:547-563 PubMed28028152

2016

Pharmacologic inhibition of Hsp90 to prevent GLT-1 degradation as an effective therapy for epilepsy.

Applications

Unspecified application

Species

Unspecified reactive species

Longze Sha,Xueqin Wang,Jing Li,Xinze Shi,Liwen Wu,Yan Shen,Qi Xu
View all publications

Product promise

We are committed to supporting your work with high-quality reagents, and we're here for you every step of the way. In the unlikely event that one of our products does not perform as expected, you're protected by our Product Promise.
For full details, please see our Terms & Conditions

Please note: All products are 'FOR RESEARCH USE ONLY. NOT FOR USE IN DIAGNOSTIC OR THERAPEUTIC PROCEDURES'.

For licensing inquiries, please contact partnerships@abcam.com