JavaScript is disabled in your browser. Please enable JavaScript to view this website.
AB324021

Anti-EAAT2 antibody [EPR29552-528] - BSA and Azide free

Be the first to review this product! Submit a review

|

(0 Publication)

Rabbit Recombinant Monoclonal EAAT2 antibody. Carrier free. Suitable for Dot, IHC-P, WB, ICC/IF and reacts with Transfected cell lysate - Human, Human, Mouse, Rat samples.

View Alternative Names

EAAT2, GLT1, SLC1A2, Excitatory amino acid transporter 2, Glutamate/aspartate transporter II, Sodium-dependent glutamate/aspartate transporter 2, Solute carrier family 1 member 2

11 Images
Immunohistochemistry (Formalin/PFA-fixed paraffin-embedded sections) - Anti-EAAT2 antibody [EPR29552-528] - BSA and Azide free (AB324021)
  • IHC-P

Supplier Data

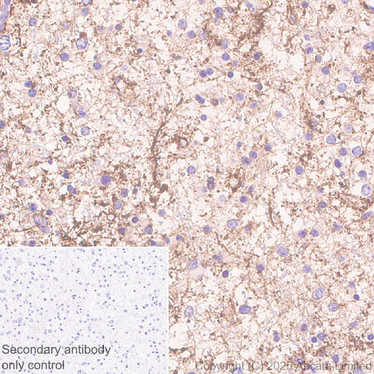
Immunohistochemistry (Formalin/PFA-fixed paraffin-embedded sections) - Anti-EAAT2 antibody [EPR29552-528] - BSA and Azide free (AB324021)

This data was developed using ab323867, the same antibody clone in a different buffer formulation.

Immunohistochemical analysis of paraffin-embedded human astrocytoma tissue labeling EAAT2 with ab323867 at 1/2000 (0.263 ug/ml) dilution, followed by a ready to use LeicaDS9800 (Bond™ Polymer Refine Detection).

Positive staining on human astrocytoma. The primary antibody was incubated for 30 mins at room temperature.
The immunostaining was performed on a Leica Biosystems BOND® RX instrument

Counterstained with Hematoxylin.

Secondary antibody only control : Secondary antibody is a ready to use LeicaDS9800 (Bond™ Polymer Refine Detection).

Heat mediated antigen retrieval was performed with Tris-EDTA buffer (pH 9.0, Epitope Retrieval Solution2) for 20 mins

Immunohistochemistry (Formalin/PFA-fixed paraffin-embedded sections) - Anti-EAAT2 antibody [EPR29552-528] - BSA and Azide free (AB324021)
  • IHC-P

Supplier Data

Immunohistochemistry (Formalin/PFA-fixed paraffin-embedded sections) - Anti-EAAT2 antibody [EPR29552-528] - BSA and Azide free (AB324021)

This data was developed using ab323867, the same antibody clone in a different buffer formulation.

Immunohistochemical analysis of paraffin-embedded human cardiac muscle tissue labeling EAAT2 with ab323867 at 1/2000 (0.263 ug/ml) dilution, followed by a ready to use LeicaDS9800 (Bond™ Polymer Refine Detection).

Negative control : no staining on human cardiac muscle. The primary antibody was incubated for 30 mins at room temperature.
The immunostaining was performed on a Leica Biosystems BOND® RX instrument

Counterstained with Hematoxylin.

Secondary antibody only control : Secondary antibody is a ready to use LeicaDS9800 (Bond™ Polymer Refine Detection).

Heat mediated antigen retrieval was performed with Tris-EDTA buffer (pH 9.0, Epitope Retrieval Solution2) for 20 mins

Immunohistochemistry (Formalin/PFA-fixed paraffin-embedded sections) - Anti-EAAT2 antibody [EPR29552-528] - BSA and Azide free (AB324021)
  • IHC-P

Supplier Data

Immunohistochemistry (Formalin/PFA-fixed paraffin-embedded sections) - Anti-EAAT2 antibody [EPR29552-528] - BSA and Azide free (AB324021)

This data was developed using ab323867, the same antibody clone in a different buffer formulation.

Immunohistochemical analysis of paraffin-embedded human cerebrum tissue labeling EAAT2 with ab323867 at 1/2000 (0.263 ug/ml) dilution, followed by a ready to use LeicaDS9800 (Bond™ Polymer Refine Detection).

Positive staining on human cerebrum (PMID : 25391854). The primary antibody was incubated for 30 mins at room temperature.
The immunostaining was performed on a Leica Biosystems BOND® RX instrument

Counterstained with Hematoxylin.

Secondary antibody only control : Secondary antibody is a ready to use LeicaDS9800 (Bond™ Polymer Refine Detection).

Heat mediated antigen retrieval was performed with Tris-EDTA buffer (pH 9.0, Epitope Retrieval Solution2) for 20 mins

Immunohistochemistry (Formalin/PFA-fixed paraffin-embedded sections) - Anti-EAAT2 antibody [EPR29552-528] - BSA and Azide free (AB324021)
  • IHC-P

Supplier Data

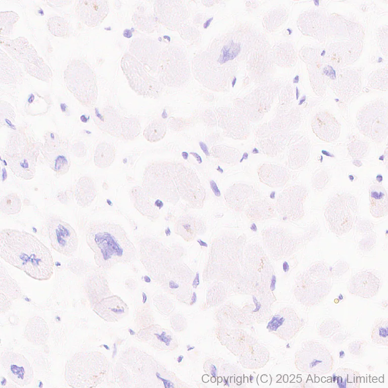
Immunohistochemistry (Formalin/PFA-fixed paraffin-embedded sections) - Anti-EAAT2 antibody [EPR29552-528] - BSA and Azide free (AB324021)

This data was developed using ab323867, the same antibody clone in a different buffer formulation.

Immunohistochemical analysis of paraffin-embedded human spleen tissue labeling EAAT2 with ab323867 at 1/2000 (0.263 ug/ml) dilution, followed by a ready to use LeicaDS9800 (Bond™ Polymer Refine Detection).

Negative control : no staining on human spleen. The primary antibody was incubated for 30 mins at room temperature.
The immunostaining was performed on a Leica Biosystems BOND® RX instrument

Counterstained with Hematoxylin.

Secondary antibody only control : Secondary antibody is a ready to use LeicaDS9800 (Bond™ Polymer Refine Detection).

Heat mediated antigen retrieval was performed with Tris-EDTA buffer (pH 9.0, Epitope Retrieval Solution2) for 20 mins

Immunocytochemistry/ Immunofluorescence - Anti-EAAT2 antibody [EPR29552-528] - BSA and Azide free (AB324021)
  • ICC/IF

Supplier Data

Immunocytochemistry/ Immunofluorescence - Anti-EAAT2 antibody [EPR29552-528] - BSA and Azide free (AB324021)

This data was developed using ab323867, the same antibody clone in a different buffer formulation.

Immunofluorescent analysis of 4% Paraformaldehyde-fixed, 0.1% TritonX-100 permeabilized mouse primary neural/glia cells labelling EAAT2 with ab323867 at 1/100 dilution (5.26 ug/ml), followed by ab150081 Goat Anti-Rabbit IgG H&L (Alexa Fluor® 488) preadsorbed antibody at 1/1000 dilution (2 ug/ml) (Green).

Confocal image showing positive staining in mouse primary glia cells (shown in green). The counterstain was observed in magenta. Nuclear DNA was labelled with DAPI (shown in blue). Image was taken with a confocal microscope (Leica-Microsystems, TCS SP8).

Anti-GFAP mouse monoclonal antibody was used to counterstain tubulin at 1/50 dilution (10 ug/ml), followed by ab150120 Goat Anti-Mouse IgG H&L (Alexa Fluor® 594) at 1/1000 dilution (2 ug/ml) (Magenta).

-ve control 1 : ab323867 at a 1/100 dilution followed by ab150120 at a 1/1000 dilution.

-ve control 2 : Anti-GFAP mouse monoclonal antibody at a 1/50 dilution followed by ab150081 at a 1/1000 dilution.

Immunocytochemistry/ Immunofluorescence - Anti-EAAT2 antibody [EPR29552-528] - BSA and Azide free (AB324021)
  • ICC/IF

Supplier Data

Immunocytochemistry/ Immunofluorescence - Anti-EAAT2 antibody [EPR29552-528] - BSA and Azide free (AB324021)

This data was developed using ab323867, the same antibody clone in a different buffer formulation.

Immunofluorescent analysis of 4% Paraformaldehyde-fixed, 0.1% TritonX-100 permeabilized rat primary neural/glia cells labelling EAAT2 with ab323867 at 1/100 dilution (5.26 ug/ml), followed by ab150081 Goat Anti-Rabbit IgG H&L (Alexa Fluor® 488) preadsorbed antibody at 1/1000 dilution (2 ug/ml) (Green).

Confocal image showing positive staining in rat primary glia cells (shown in green). The counterstain was observed in magenta. Nuclear DNA was labelled with DAPI (shown in blue). Image was taken with a confocal microscope (Leica-Microsystems, TCS SP8).

ab10062 Anti-GFAP mouse monoclonal antibody was used to counterstain tubulin at 1/50 dilution (10 ug/ml), followed by ab150120 Goat Anti-Mouse IgG H&L (Alexa Fluor® 594) at 1/1000 dilution (2 ug/ml) (Magenta).

-ve control 1 : ab323867 at a 1/100 dilution followed by ab150120 at a 1/1000 dilution.

-ve control 2 : ab10062 at a 1/50 dilution followed by ab150081 at a 1/1000 dilution.

Immunocytochemistry/ Immunofluorescence - Anti-EAAT2 antibody [EPR29552-528] - BSA and Azide free (AB324021)
  • ICC/IF

Supplier Data

Immunocytochemistry/ Immunofluorescence - Anti-EAAT2 antibody [EPR29552-528] - BSA and Azide free (AB324021)

This data was developed using ab323867, the same antibody clone in a different buffer formulation.

Immunofluorescent analysis of 4% Paraformaldehyde-fixed, 0.1% TritonX-100 permeabilized mouse splenocytes labelling EAAT2 with ab323867 at 1/100 dilution (5.26 ug/ml), followed by ab150081 Goat Anti-Rabbit IgG H&L (Alexa Fluor® 488) preadsorbed antibody at 1/1000 dilution (2 ug/ml) (Green).

Negative control : Confocal image showing no staining in mouse splenocytes (shown in green). The counterstain was observed in magenta. Nuclear DNA was labelled with DAPI (shown in blue). Image was taken with a confocal microscope (Leica-Microsystems, TCS SP8).

ab195889 Anti-alpha Tubulin mouse monoclonal antibody - Microtubule Marker (Alexa Fluor® 594) was used to counterstain tubulin at 1/200 dilution (2.5 ug/ml) (Magenta).

Secondary antibody only control : Secondary antibody is ab150081 Goat Anti-Rabbit IgG H&L (Alexa Fluor® 488) preadsorbed at 1/1000 dilution (2 ug/ml).

Immunocytochemistry/ Immunofluorescence - Anti-EAAT2 antibody [EPR29552-528] - BSA and Azide free (AB324021)
  • ICC/IF

Supplier Data

Immunocytochemistry/ Immunofluorescence - Anti-EAAT2 antibody [EPR29552-528] - BSA and Azide free (AB324021)

This data was developed using ab323867, the same antibody clone in a different buffer formulation.

Immunofluorescent analysis of 4% Paraformaldehyde-fixed, 0.1% TritonX-100 permeabilized rat splenocytes labelling EAAT2 with ab323867 at 1/100 dilution (5.26 ug/ml), followed by ab150081 Goat Anti-Rabbit IgG H&L (Alexa Fluor® 488) preadsorbed antibody at 1/1000 dilution (2 ug/ml) (Green).

Negative control : Confocal image showing no staining in rat splenocytes (shown in green). The counterstain was observed in magenta. Nuclear DNA was labelled with DAPI (shown in blue). Image was taken with a confocal microscope (Leica-Microsystems, TCS SP8).

ab195889 Anti-alpha Tubulin mouse monoclonal antibody - Microtubule Marker (Alexa Fluor® 594) was used to counterstain tubulin at 1/200 dilution (2.5 ug/ml) (Magenta).

Secondary antibody only control : Secondary antibody is ab150081 Goat Anti-Rabbit IgG H&L (Alexa Fluor® 488) preadsorbed at 1/1000 dilution (2 ug/ml).

Western blot - Anti-EAAT2 antibody [EPR29552-528] - BSA and Azide free (AB324021)
  • WB

Supplier Data

Western blot - Anti-EAAT2 antibody [EPR29552-528] - BSA and Azide free (AB324021)

This data was developed using ab323867, the same antibody clone in a different buffer formulation.

Blocking and diluting buffer and concentration : 5% NFDM/TBST.

Negative control : spleen, testis (PMID : 1448170; PMID : 7698742).

The molecular weight observed is consistent with what has been described in the literature (PMID : 20193040; PMID : 15483603; PMID : 26483543).

Bands above 250KD are likely to be multimer forms of EAAT2 (PMID : 20193040).

Samples are non-boiled as boiling may cause protein aggregation.

In Western blot, Anti-GAPDH antibody [EPR16891] - Loading Control (ab181602) staining at 1/200000 dilution.

All lanes:

Western blot - Anti-EAAT2 antibody [EPR29552-528] (<a href='/en-us/products/primary-antibodies/eaat2-antibody-epr29552-528-ab323867'>ab323867</a>) at 1/1000 dilution

Lane 1:

Human striatum tissue lysate at 20 µg

Lane 2:

Human hypothalamus tissue lysate at 20 µg

Lane 3:

Human spleen tissue lysate at 20 µg

Lane 4:

Human testis tissue lysate at 20 µg

Secondary

All lanes:

Goat Anti-Rabbit IgG (HRP) with minimal cross-reactivity with human IgG at 1/2000 dilution

Observed band size: 65 kDa,180 kDa,36 kDa

false

Exposure time: 180s

Western blot - Anti-EAAT2 antibody [EPR29552-528] - BSA and Azide free (AB324021)
  • WB

Supplier Data

Western blot - Anti-EAAT2 antibody [EPR29552-528] - BSA and Azide free (AB324021)

This data was developed using ab323867, the same antibody clone in a different buffer formulation.

Blocking and diluting buffer and concentration : 5% NFDM/TBST.

Negative control : spleen, testis (PMID : 1448170; PMID : 7698742).

The molecular weight observed is consistent with what has been described in the literature (PMID : 20193040; PMID : 15483603; PMID : 26483543).

Bands above 250KD are likely to be multimer forms of EAAT2 (PMID : 20193040).

Samples are non-boiled as boiling may cause protein aggregation.

In Western blot, Anti-GAPDH antibody [EPR16891] - Loading Control (ab181602) staining at 1/200000 dilution.

All lanes:

Western blot - Anti-EAAT2 antibody [EPR29552-528] (<a href='/en-us/products/primary-antibodies/eaat2-antibody-epr29552-528-ab323867'>ab323867</a>) at 1/1000 dilution

Lane 1:

Mouse striatum tissue lysate at 20 µg

Lane 2:

Mouse hippocampus tissue lysate at 20 µg

Lane 3:

Mouse brain tissue lysate at 20 µg

Lane 4:

Mouse spleen tissue lysate at 20 µg

Lane 5:

Mouse testis tissue lysate at 20 µg

Lane 6:

Rat striatum tissue lysate at 20 µg

Lane 7:

Rat brain tissue lysate at 20 µg

Lane 8:

Rat spleen tissue lysate at 20 µg

Lane 9:

Rat testis tissue lysate at 20 µg

Secondary

All lanes:

Goat Anti-Rabbit IgG (HRP) with minimal cross-reactivity with human IgG at 1/2000 dilution

Observed band size: 65 kDa,180 kDa,36 kDa

false

Exposure time: 3s

Dot Blot - Anti-EAAT2 antibody [EPR29552-528] - BSA and Azide free (AB324021)
  • Dot

Supplier Data

Dot Blot - Anti-EAAT2 antibody [EPR29552-528] - BSA and Azide free (AB324021)

Dot blot analysis of EAAT2 using ab323867 at 1 : 1000 (0.526 ug/ml) followed by a Goat Anti-Rabbit IgG, (H+L), Peroxidase conjugated (ab97051) at 1 : 100,000 dilution.

Blocking and diluting buffer and concentration : 5% NFDM/TBST.

This antibody does not cross-react with human EAAT1 and EAAT3.

In Dot Blot, Anti-6X His tag® antibody [EPR20547] - ChIP Grade (ab213204) staining at 1/5000 dilution.

All lanes:

Dot Blot - Anti-EAAT2 antibody [EPR29552-528] (<a href='/en-us/products/primary-antibodies/eaat2-antibody-epr29552-528-ab323867'>ab323867</a>) at 1/1000 dilution

Lane 1:

293T cells transfected with a human EAAT2 expression vector containing a myc-His-tag®, whole cell lysate

Lane 2:

293T cells transfected with a human EAAT1 expression vector containing a myc-His-tag®, whole cell lysate

Lane 3:

293T cells transfected with a human EAAT3 expression vector containing a myc-His-tag®, whole cell lysate

Secondary

All lanes:

Dot Blot - Goat Anti-Rabbit IgG H&L (HRP) (<a href='/en-us/products/secondary-antibodies/goat-rabbit-igg-h-l-hrp-ab97051'>ab97051</a>) at 1/100000 dilution

false

Exposure time: 180s

Key facts

Host species

Rabbit

Clonality

Monoclonal

Clone number

EPR29552-528

Isotype

IgG

Carrier free

Yes

Reacts with

Human, Mouse, Rat

Applications

WB, Dot, IHC-P, ICC/IF

applications

Immunogen

The exact immunogen used to generate this antibody is proprietary information.

Reactivity data

{ "title": "Reactivity Data", "filters": { "stats": ["", "Species", "Dilution Info", "Notes"], "tabs": { "all-applications": {"fullname" : "All Applications", "shortname": "All Applications"}, "Dot" : {"fullname" : "Dot Blot", "shortname":"Dot"}, "IHCP" : {"fullname" : "Immunohistochemistry (Formalin/PFA-fixed paraffin-embedded sections)", "shortname":"IHC-P"}, "WB" : {"fullname" : "Western blot", "shortname":"WB"}, "ICCIF" : {"fullname" : "Immunocytochemistry/ Immunofluorescence", "shortname":"ICC/IF"} }, "product-promise": { "all": "all", "testedAndGuaranteed": "tested", "guaranteed": "expected", "predicted": "predicted", "notRecommended": "not-recommended" } }, "values": { "Human": { "Dot-species-checked": "guaranteed", "Dot-species-dilution-info": "", "Dot-species-notes": "", "IHCP-species-checked": "testedAndGuaranteed", "IHCP-species-dilution-info": "", "IHCP-species-notes": "<p></p> Perform heat-mediated antigen retrieval with Tris/EDTA buffer pH 9.0 before commencing with IHC staining protocol.", "WB-species-checked": "testedAndGuaranteed", "WB-species-dilution-info": "", "WB-species-notes": "<p></p>", "ICCIF-species-checked": "guaranteed", "ICCIF-species-dilution-info": "", "ICCIF-species-notes": "" }, "Mouse": { "Dot-species-checked": "guaranteed", "Dot-species-dilution-info": "", "Dot-species-notes": "", "IHCP-species-checked": "guaranteed", "IHCP-species-dilution-info": "", "IHCP-species-notes": "", "WB-species-checked": "testedAndGuaranteed", "WB-species-dilution-info": "", "WB-species-notes": "<p></p>", "ICCIF-species-checked": "testedAndGuaranteed", "ICCIF-species-dilution-info": "", "ICCIF-species-notes": "<p></p>" }, "Rat": { "Dot-species-checked": "guaranteed", "Dot-species-dilution-info": "", "Dot-species-notes": "", "IHCP-species-checked": "guaranteed", "IHCP-species-dilution-info": "", "IHCP-species-notes": "", "WB-species-checked": "testedAndGuaranteed", "WB-species-dilution-info": "", "WB-species-notes": "<p></p>", "ICCIF-species-checked": "testedAndGuaranteed", "ICCIF-species-dilution-info": "", "ICCIF-species-notes": "<p></p>" }, "Transfected cell lysate - Human": { "Dot-species-checked": "testedAndGuaranteed", "Dot-species-dilution-info": "", "Dot-species-notes": "<p></p>", "IHCP-species-checked": "notRecommended", "IHCP-species-dilution-info": "", "IHCP-species-notes": "", "WB-species-checked": "notRecommended", "WB-species-dilution-info": "", "WB-species-notes": "", "ICCIF-species-checked": "notRecommended", "ICCIF-species-dilution-info": "", "ICCIF-species-notes": "" } } }

Product details

ab324021 is the carrier-free version of ab323867.

Patented technology
Our RabMAb® technology is a patented hybridoma-based technology for making rabbit monoclonal antibodies. For details on our patents, please refer to RabMAb® patents.

What are the advantages of a recombinant monoclonal antibody?
This product is a recombinant monoclonal antibody, which offers several advantages including:

  • - High batch-to-batch consistency and reproducibility
  • - Improved sensitivity and specificity
  • - Long-term security of supply
  • - Animal-free batch production

For more information, read more on recombinant antibodies.

Conjugation ready
Our carrier-free antibodies are typically supplied in a PBS-only formulation, purified and free of BSA, sodium azide and glycerol. This conjugation-ready format is designed for use with fluorochromes, metal isotopes, oligonucleotides, and enzymes, which makes them ideal for antibody labelling, functional and cell-based assays, flow-based assays (e.g. mass cytometry) and Multiplex Imaging applications.

Use our conjugation kits for antibody conjugates that are ready-to-use in as little as 20 minutes with 1 minute hands-on-time and 100% antibody recovery: available for fluorescent dyes, HRP, biotin and gold.

Compatibility
This product is compatible with the Maxpar® Antibody Labeling Kit from Fluidigm, without the need for antibody preparation. Maxpar® is a trademark of Fluidigm Canada Inc.

Properties and storage information

Form
Liquid
Purification technique
Affinity purification Protein A
Storage buffer
pH: 7.2 - 7.4 Constituents: PBS
Shipped at conditions
Blue Ice
Appropriate short-term storage conditions
+4°C
Appropriate long-term storage conditions
+4°C

Product protocols

For this product, it's our understanding that no specific protocols are required. You can visit:

Target data

Sodium-dependent, high-affinity amino acid transporter that mediates the uptake of L-glutamate and also L-aspartate and D-aspartate (PubMed : 14506254, PubMed : 15265858, PubMed : 26690923, PubMed : 7521911). Functions as a symporter that transports one amino acid molecule together with two or three Na(+) ions and one proton, in parallel with the counter-transport of one K(+) ion (PubMed : 14506254). Mediates Cl(-) flux that is not coupled to amino acid transport; this avoids the accumulation of negative charges due to aspartate and Na(+) symport (PubMed : 14506254). Essential for the rapid removal of released glutamate from the synaptic cleft, and for terminating the postsynaptic action of glutamate (By similarity).
See full target information SLC1A2

Additional targets

Slc1a2,Slc1a2

Product promise

We are committed to supporting your work with high-quality reagents, and we're here for you every step of the way. In the unlikely event that one of our products does not perform as expected, you're protected by our Product Promise.
For full details, please see our Terms & Conditions

Please note: All products are 'FOR RESEARCH USE ONLY. NOT FOR USE IN DIAGNOSTIC OR THERAPEUTIC PROCEDURES'.

For licensing inquiries, please contact partnerships@abcam.com