JavaScript is disabled in your browser. Please enable JavaScript to view this website.
AB288441

Anti-EAAT3 antibody [EPR25149-62]

  • BOND RX™ Validated
  • 20ul selling size
  • RabMAb
  • Recombinant
  • What is this?

Be the first to review this product! Submit a review

|

(2 Publications)

Rabbit Recombinant Monoclonal EAAT3 antibody. Suitable for IP, WB, IHC-P, ICC/IF, IHC-Fr and reacts with Mouse, Rat samples. Cited in 2 publications.

View Alternative Names

Eaac1, Eaat3, Slc1a1, Excitatory amino acid transporter 3, Excitatory amino-acid carrier 1, Sodium-dependent glutamate/aspartate transporter 3, Solute carrier family 1 member 1

16 Images
Immunohistochemistry (Frozen sections) - Anti-EAAT3 antibody [EPR25149-62] (AB288441)
  • IHC-Fr

Supplier Data

Immunohistochemistry (Frozen sections) - Anti-EAAT3 antibody [EPR25149-62] (AB288441)

Immunohistochemical analysis of 4% PFA-fixed, 0.2% Triton X-100 permeabilized frozen Rat kidney (fresh) tissue labeling EAAT3 with ab288441 at 1/500 (0.982 ug/ml) dilution followed by ab150081 Goat Anti-Rabbit IgG H&L (Alexa Fluor® 488) preadsorbed at 1/1000 (2 ug/mL) dilution (Green). Positive staining on the proximal convoluted tubule of rat kidney is observed. The nuclear counterstain was DAPI (Blue).

Secondary antibody control : Secondary antibody is ab150081 Goat Anti-Rabbit IgG H&L (Alexa Fluor® 488) preadsorbed at 1/1000 (2 ug/mL) dilution.

Immunohistochemistry (Frozen sections) - Anti-EAAT3 antibody [EPR25149-62] (AB288441)
  • IHC-Fr

Supplier Data

Immunohistochemistry (Frozen sections) - Anti-EAAT3 antibody [EPR25149-62] (AB288441)

Immunohistochemical analysis of 4% PFA-fixed, 0.2% Triton X-100 permeabilized frozen Rat hippocampus (fresh) tissue labeling EAAT3 with ab288441 at 1/50 (9.82 ug/ml) dilution followed by ab150081 Goat Anti-Rabbit IgG H&L (Alexa Fluor® 488) preadsorbed at 1/1000 (2 ug/mL) dilution (Green). Positive staining on rat hippocampus is observed. The nuclear counterstain was DAPI (Blue).

Secondary antibody control : Secondary antibody is ab150081 Goat Anti-Rabbit IgG H&L (Alexa Fluor® 488) preadsorbed at 1/1000 (2 ug/mL) dilution.

Immunohistochemistry (Formalin/PFA-fixed paraffin-embedded sections) - Anti-EAAT3 antibody [EPR25149-62] (AB288441)
  • IHC-P

Supplier Data

Immunohistochemistry (Formalin/PFA-fixed paraffin-embedded sections) - Anti-EAAT3 antibody [EPR25149-62] (AB288441)

Immunohistochemical analysis of paraffin-embedded Rat cerebrum tissue labelling EAAT3 with ab288441 at 1/1000 (0.491 ug/ml) followed by a ready to use Leica DS9800 (BOND™, Polymer Refine Detection) was used. Cytoplasmic staining on rat cerebrum (PMID : 11242046). The section was incubated with ab288441 for 30 mins at room temperature.The immunostaining was performed on a Leica Biosystems BOND® RX instrument Counterstained with Hematoxylin.

Secondary antibody only control : Secondary antibody is a ready to use Leica DS9800 (BOND™, Polymer Refine Detection) was used.

Heat mediated antigen retrieval with Tris-EDTA buffer (pH 9.0, epitope retrieval solution 2) for 20 mins

Immunohistochemistry (Formalin/PFA-fixed paraffin-embedded sections) - Anti-EAAT3 antibody [EPR25149-62] (AB288441)
  • IHC-P

Supplier Data

Immunohistochemistry (Formalin/PFA-fixed paraffin-embedded sections) - Anti-EAAT3 antibody [EPR25149-62] (AB288441)

Immunohistochemical analysis of paraffin-embedded Mouse kidney tissue labelling EAAT3 with ab288441 at 1/1000 (0.491 ug/ml) followed by a ready to use Leica DS9800 (BOND™, Polymer Refine Detection) was used. Apical staining on proximal convoluted tubules in mouse kidney (PMID : 9435692).The section was incubated with ab288441 for 30 mins at room temperature.The immunostaining was performed on a Leica Biosystems BOND® RX instrument Counterstained with Hematoxylin.

Secondary antibody only control : Secondary antibody is a ready to use Leica DS9800 (BOND™, Polymer Refine Detection) was used.

Heat mediated antigen retrieval with Tris-EDTA buffer (pH 9.0, epitope retrieval solution2) for 20 mins

Immunocytochemistry/ Immunofluorescence - Anti-EAAT3 antibody [EPR25149-62] (AB288441)
  • ICC/IF

Supplier Data

Immunocytochemistry/ Immunofluorescence - Anti-EAAT3 antibody [EPR25149-62] (AB288441)

Immunofluorescent analysis of 4% Paraformaldehyde-fixed, 0.1% TritonX-100 permeabilized mouse primary neuron cells labelling EAAT3 with ab288441 at 1/100 (4.91 ug/ml) dilution, followed by ab150081 Goat Anti-Rabbit IgG H&L (Alexa Fluor® 488) preadsorbed antibody at 1/1000 (2ug/ml) dilution (Green). Confocal image showing cytoplasmic staining in mouse primary neuron cells. Confocal scanning Z step was set as 0.3 um followed by image processing with maximum Z projection. ab11267 Anti-MAP2 mouse monoclonal antibody was used to counterstain neuron-specific cytoskeletal protein at 1/500 (4ug/ml) dilution (Red). The Nuclear counterstain was DAPI (Blue).

Secondary antibody only control : Secondary antibody is ab150081 Goat Anti-Rabbit IgG H&L (Alexa Fluor® 488) preadsorbed at 1/1000 (2ug/ml) dilution.

Immunohistochemistry (Frozen sections) - Anti-EAAT3 antibody [EPR25149-62] (AB288441)
  • IHC-Fr

Supplier Data

Immunohistochemistry (Frozen sections) - Anti-EAAT3 antibody [EPR25149-62] (AB288441)

Immunohistochemical analysis of 4% PFA-fixed, 0.2% Triton X-100 permeabilized frozen Rat liver (fresh) (-) tissue labeling EAAT3 with ab288441 at 1/50 (9.82 ug/ml) dilution followed by ab150081 Goat Anti-Rabbit IgG H&L (Alexa Fluor® 488) preadsorbed at 1/1000 (2 ug/mL) dilution (Green). No staining on rat liver (Negative control : PMID 11242046) is observed. The nuclear counterstain was DAPI (Blue).

Secondary antibody control : Secondary antibody is ab150081 Goat Anti-Rabbit IgG H&L (Alexa Fluor® 488) preadsorbed at 1/1000 (2 ug/mL) dilution.

Immunohistochemistry (Frozen sections) - Anti-EAAT3 antibody [EPR25149-62] (AB288441)
  • IHC-Fr

Supplier Data

Immunohistochemistry (Frozen sections) - Anti-EAAT3 antibody [EPR25149-62] (AB288441)

Immunohistochemical analysis of 4% PFA-fixed, 0.2% Triton X-100 permeabilized frozen Mouse kidney (fresh) tissue labeling EAAT3 with ab288441 at 1/500 (0.982 ug/ml) dilution followed by ab150081 Goat Anti-Rabbit IgG H&L (Alexa Fluor® 488) preadsorbed at 1/1000 (2 ug/mL) dilution (Green). Positive staining on the proximal convoluted tubule of mouse kidney is observed. The nuclear counterstain was DAPI (Blue).

Secondary antibody control : Secondary antibody is ab150081 Goat Anti-Rabbit IgG H&L (Alexa Fluor® 488) preadsorbed at 1/1000 (2 ug/mL) dilution.

Immunohistochemistry (Formalin/PFA-fixed paraffin-embedded sections) - Anti-EAAT3 antibody [EPR25149-62] (AB288441)
  • IHC-P

Supplier Data

Immunohistochemistry (Formalin/PFA-fixed paraffin-embedded sections) - Anti-EAAT3 antibody [EPR25149-62] (AB288441)

Immunohistochemical analysis of paraffin-embedded Rat testis tissue labelling EAAT3 with ab288441 at 1/1000 (0.491 ug/ml) followed by a ready to use Leica DS9800 (BOND™, Polymer Refine Detection) was used. Negative control : no staining on rat testis.The section was incubated with ab288441 for 30 mins at room temperature.The immunostaining was performed on a Leica Biosystems BOND® RX instrument Counterstained with Hematoxylin.

Secondary antibody only control : Secondary antibody is a ready to use Leica DS9800 (BOND™, Polymer Refine Detection) was used.

Heat mediated antigen retrieval with Tris-EDTA buffer (pH 9.0, epitope retrieval solution2) for 20 mins

Immunohistochemistry (Formalin/PFA-fixed paraffin-embedded sections) - Anti-EAAT3 antibody [EPR25149-62] (AB288441)
  • IHC-P

Supplier Data

Immunohistochemistry (Formalin/PFA-fixed paraffin-embedded sections) - Anti-EAAT3 antibody [EPR25149-62] (AB288441)

Immunohistochemical analysis of paraffin-embedded Rat kidney tissue labelling EAAT3 with ab288441 at 1/1000 (0.491 ug/ml) followed by a ready to use Leica DS9800 (BOND™, Polymer Refine Detection) was used. Apical staining on proximal convoluted tubules in rat kidney (PMID : 9435692).The section was incubated with ab288441 for 30 mins at room temperature. The immunostaining was performed on a Leica Biosystems BOND® RX instrument Counterstained with Hematoxylin.

Secondary antibody only control : Secondary antibody is a ready to use Leica DS9800 (BOND™, Polymer Refine Detection) was used.

Heat mediated antigen retrieval with Tris-EDTA buffer (pH 9.0, epitope retrieval solution 2) for 20 mins

Immunohistochemistry (Frozen sections) - Anti-EAAT3 antibody [EPR25149-62] (AB288441)
  • IHC-Fr

Supplier Data

Immunohistochemistry (Frozen sections) - Anti-EAAT3 antibody [EPR25149-62] (AB288441)

Immunohistochemical analysis of 4% PFA-fixed, 0.2% Triton X-100 permeabilized frozen Mouse liver (fresh) (-) tissue labeling EAAT3 with ab288441 at 1/50 (9.82 ug/ml) dilution followed by ab150081 Goat Anti-Rabbit IgG H&L (Alexa Fluor® 488) preadsorbed at 1/1000 (2 ug/mL) dilution (Green). No staining on mouse liver (Negative control : PMID 11242046) is observed. The nuclear counterstain was DAPI (Blue).

Secondary antibody control : Secondary antibody is ab150081 Goat Anti-Rabbit IgG H&L (Alexa Fluor® 488) preadsorbed at 1/1000 (2 ug/mL) dilution.

Immunohistochemistry (Formalin/PFA-fixed paraffin-embedded sections) - Anti-EAAT3 antibody [EPR25149-62] (AB288441)
  • IHC-P

Supplier Data

Immunohistochemistry (Formalin/PFA-fixed paraffin-embedded sections) - Anti-EAAT3 antibody [EPR25149-62] (AB288441)

Immunohistochemical analysis of paraffin-embedded Mouse hippocampus tissue labelling EAAT3 with ab288441 at 1/1000 (0.491 ug/ml) followed by a ready to use Leica DS9800 (BOND™, Polymer Refine Detection) was used. Cytoplasmic staining on mouse hippocampus (PMID : 11242046).The section was incubated with ab288441 for 30 mins at room temperature. The immunostaining was performed on a Leica Biosystems BOND® RX instrument Counterstained with Hematoxylin.

Secondary antibody only control : Secondary antibody is a ready to use Leica DS9800 (BOND™, Polymer Refine Detection) was used.

Heat mediated antigen retrieval with Tris-EDTA buffer (pH 9.0, epitope retrieval solution 2) for 20 mins

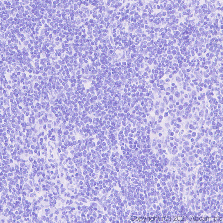
Immunohistochemistry (Formalin/PFA-fixed paraffin-embedded sections) - Anti-EAAT3 antibody [EPR25149-62] (AB288441)
  • IHC-P

Supplier Data

Immunohistochemistry (Formalin/PFA-fixed paraffin-embedded sections) - Anti-EAAT3 antibody [EPR25149-62] (AB288441)

Immunohistochemical analysis of paraffin-embedded Mouse spleen tissue labelling EAAT3 with ab288441 at 1/1000 (0.491 ug/ml) followed by a ready to use Leica DS9800 (BOND™, Polymer Refine Detection) was used. Negative control : no staining on mouse spleen.The section was incubated with ab288441 for 30 mins at room temperature.The immunostaining was performed on a Leica Biosystems BOND® RX instrument Counterstained with Hematoxylin.

Secondary antibody only control : Secondary antibody is a ready to use Leica DS9800 (BOND™, Polymer Refine Detection) was used.

Heat mediated antigen retrieval with Tris-EDTA buffer (pH 9.0, epitope retrieval solution 2) for 20 mins

Immunohistochemistry (Frozen sections) - Anti-EAAT3 antibody [EPR25149-62] (AB288441)
  • IHC-Fr

Supplier Data

Immunohistochemistry (Frozen sections) - Anti-EAAT3 antibody [EPR25149-62] (AB288441)

Immunohistochemical analysis of 4% PFA-fixed, 0.2% Triton X-100 permeabilized frozen Mouse cerebellum (fresh) tissue labeling EAAT3 with ab288441 at 1/50 (9.82 ug/ml) dilution followed by ab150081 Goat Anti-Rabbit IgG H&L (Alexa Fluor® 488) preadsorbed at 1/1000 (2 ug/mL) dilution (Green). Positive staining on mouse cerebellum is observed. The nuclear counterstain was DAPI (Blue).

Secondary antibody control : Secondary antibody is ab150081 Goat Anti-Rabbit IgG H&L (Alexa Fluor® 488) preadsorbed at 1/1000 (2 ug/mL) dilution.

Immunoprecipitation - Anti-EAAT3 antibody [EPR25149-62] (AB288441)
  • IP

Supplier Data

Immunoprecipitation - Anti-EAAT3 antibody [EPR25149-62] (AB288441)

EAAT3 was immunoprecipitated from 0.35 mg Rat hippocampus tissue lysate 10 ug with ab288441 at 1/30 dilution (2ug in 0.35mg lysates). Western blot was performed on the immunoprecipitate using ab288441 at 1/1000 dilution. VeriBlot for IP secondary antibody(HRP) (ab131366) was used at 1/5000 dilution.

Lane 1 : Rat hippocampus tissue lysate 10 ug

Lane 2 : ab288441 IP in Rat hippocampus tissue lysate

Lane 3 : Rabbit monoclonal IgG (ab172730) instead of ab288441 in rat hippocampus tissue lysate

Blocking and dilution buffer and concentration : 5% NFDM/TBST.

Exposure time : 8 seconds

All lanes:

Immunoprecipitation - Anti-EAAT3 antibody [EPR25149-62] (ab288441)

Predicted band size: 57 kDa

false

Immunoprecipitation - Anti-EAAT3 antibody [EPR25149-62] (AB288441)
  • IP

Supplier Data

Immunoprecipitation - Anti-EAAT3 antibody [EPR25149-62] (AB288441)

EAAT3 was immunoprecipitated from 0.35 mg Mouse hippocampus tissue lysate 10 ug with ab288441 at 1/30 dilution (2ug in 0.35mg lysates). Western blot was performed on the immunoprecipitate using ab288441 at 1/1000 dilution. VeriBlot for IP secondary antibody (HRP) (ab131366) was used at 1/5000 dilution.

Lane 1 : Mouse hippocampus tissue lysate 10 ug

Lane 2 : ab288441 IP in Mouse hippocampus tissue lysate

Lane 3 : Rabbit monoclonal IgG (ab172730) instead of ab288441 in mouse hippocampus tissue lysate

Blocking and dilution buffer and concentration : 5% NFDM/TBST.

Exposure time : 8 seconds

All lanes:

Immunoprecipitation - Anti-EAAT3 antibody [EPR25149-62] (ab288441)

Predicted band size: 57 kDa

false

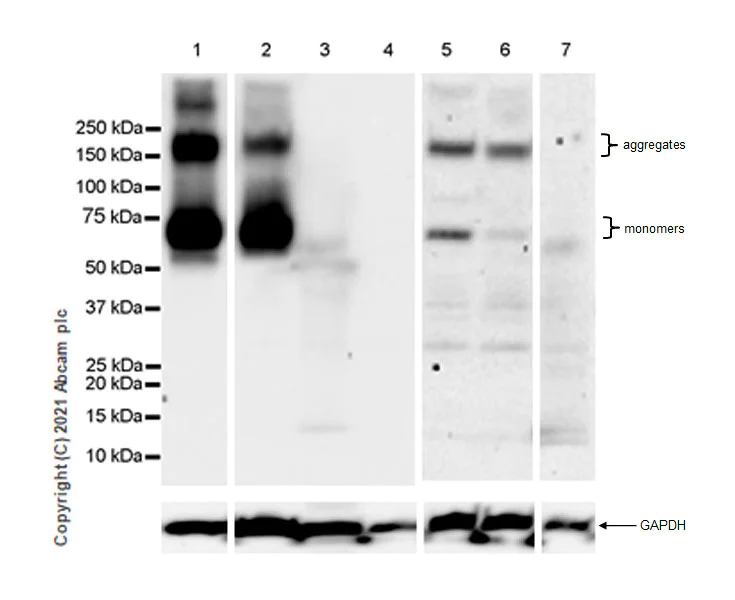
Western blot - Anti-EAAT3 antibody [EPR25149-62] (AB288441)
  • WB

Lab

Western blot - Anti-EAAT3 antibody [EPR25149-62] (AB288441)

Blocking and diluting buffer and concentration : 5% NFDM/TBST

Exposure time : Lanes 1-4 : 26 seconds; Lanes 5-7 : 3 minutes

Monomers : 50-75 kda; Aggregates : 150-250 kda
The MW and expression pattern is consistent to the literature (PMID : 30840898)

All lanes:

Western blot - Anti-EAAT3 antibody [EPR25149-62] (ab288441) at 1/1000 dilution

Lane 1:

Mouse kidney tissue lysate at 20 µg

Lane 2:

Mouse brain tissue lysate at 20 µg

Lane 3:

Mouse spleen tissue lysate at 20 µg

Lane 4:

Mouse testis tissue lysate at 20 µg

Lane 5:

Rat hippocampus tissue lysate at 20 µg

Lane 6:

Rat brain tissue lysate at 20 µg

Lane 7:

Rat testis tissue lysate at 20 µg

Secondary

All lanes:

Western blot - Goat Anti-Rabbit IgG H&L (HRP) (<a href='/en-us/products/secondary-antibodies/goat-rabbit-igg-h-l-hrp-ab97051'>ab97051</a>) at 1/20000 dilution

Predicted band size: 57 kDa

Observed band size: 150-250 kDa,50-75 kDa

false

  • Carrier free

    Anti-EAAT3 antibody [EPR25149-62] - BSA and Azide free

Key facts

Host species

Rabbit

Clonality

Monoclonal

Clone number

EPR25149-62

Isotype

IgG

Carrier free

No

Reacts with

Mouse, Rat

Applications

WB, ICC/IF, IP, IHC-P, IHC-Fr

applications

Immunogen

The exact immunogen used to generate this antibody is proprietary information.

Specificity

ICC application does not react with Rat species

Reactivity data

{ "title": "Reactivity Data", "filters": { "stats": ["", "Species", "Dilution Info", "Notes"], "tabs": { "all-applications": {"fullname" : "All Applications", "shortname": "All Applications"}, "IP" : {"fullname" : "Immunoprecipitation", "shortname":"IP"}, "WB" : {"fullname" : "Western blot", "shortname":"WB"}, "IHCP" : {"fullname" : "Immunohistochemistry (Formalin/PFA-fixed paraffin-embedded sections)", "shortname":"IHC-P"}, "ICCIF" : {"fullname" : "Immunocytochemistry/ Immunofluorescence", "shortname":"ICC/IF"}, "IHCFr" : {"fullname" : "Immunohistochemistry (Frozen sections)", "shortname":"IHC-Fr"}, "FlowCytIntra" : {"fullname" : "Flow Cytometry (Intracellular)", "shortname":"Flow Cyt (Intra)"} }, "product-promise": { "all": "all", "testedAndGuaranteed": "tested", "guaranteed": "expected", "predicted": "predicted", "notRecommended": "not-recommended" } }, "values": { "Human": { "IP-species-checked": "notRecommended", "IP-species-dilution-info": "", "IP-species-notes": "", "WB-species-checked": "notRecommended", "WB-species-dilution-info": "1/1000", "WB-species-notes": "<p></p>", "IHCP-species-checked": "notRecommended", "IHCP-species-dilution-info": "1/1000", "IHCP-species-notes": "<p></p>", "ICCIF-species-checked": "notRecommended", "ICCIF-species-dilution-info": "", "ICCIF-species-notes": "", "IHCFr-species-checked": "notRecommended", "IHCFr-species-dilution-info": "", "IHCFr-species-notes": "", "FlowCytIntra-species-checked": "notRecommended", "FlowCytIntra-species-dilution-info": "", "FlowCytIntra-species-notes": "" }, "Mouse": { "IP-species-checked": "testedAndGuaranteed", "IP-species-dilution-info": "1/30", "IP-species-notes": "<p></p>", "WB-species-checked": "testedAndGuaranteed", "WB-species-dilution-info": "1/1000", "WB-species-notes": "<p></p>", "IHCP-species-checked": "testedAndGuaranteed", "IHCP-species-dilution-info": "1/1000", "IHCP-species-notes": "<p></p>", "ICCIF-species-checked": "testedAndGuaranteed", "ICCIF-species-dilution-info": "1/100", "ICCIF-species-notes": "<p></p>", "IHCFr-species-checked": "testedAndGuaranteed", "IHCFr-species-dilution-info": "1/50", "IHCFr-species-notes": "<p></p>", "FlowCytIntra-species-checked": "notRecommended", "FlowCytIntra-species-dilution-info": "", "FlowCytIntra-species-notes": "<p></p>" }, "Rat": { "IP-species-checked": "testedAndGuaranteed", "IP-species-dilution-info": "1/30", "IP-species-notes": "<p></p>", "WB-species-checked": "testedAndGuaranteed", "WB-species-dilution-info": "1/1000", "WB-species-notes": "<p></p>", "IHCP-species-checked": "testedAndGuaranteed", "IHCP-species-dilution-info": "1/1000", "IHCP-species-notes": "<p></p>", "ICCIF-species-checked": "notRecommended", "ICCIF-species-dilution-info": "1/100", "ICCIF-species-notes": "<p></p>", "IHCFr-species-checked": "testedAndGuaranteed", "IHCFr-species-dilution-info": "1/50", "IHCFr-species-notes": "<p></p>", "FlowCytIntra-species-checked": "notRecommended", "FlowCytIntra-species-dilution-info": "", "FlowCytIntra-species-notes": "<p></p>" } } }

Product details

Patented technology
Our RabMAb® technology is a patented hybridoma-based technology for making rabbit monoclonal antibodies. For details on our patents, please refer to RabMAb® patents.

What are the advantages of a recombinant monoclonal antibody?
This product is a recombinant monoclonal antibody, which offers several advantages including:

  • - High batch-to-batch consistency and reproducibility
  • - Improved sensitivity and specificity
  • - Long-term security of supply
  • - Animal-free batch production

For more information, read more on recombinant antibodies.

Properties and storage information

Form
Liquid
Purification technique
Affinity purification Protein A
Storage buffer
pH: 7.2 - 7.4 Preservative: 0.01% Sodium azide Constituents: PBS, 40% Glycerol (glycerin, glycerine), 0.05% BSA
Shipped at conditions
Blue Ice
Appropriate short-term storage duration
1-2 weeks
Appropriate short-term storage conditions
+4°C
Appropriate long-term storage conditions
-20°C
Aliquoting information
Upon delivery aliquot
Storage information
Avoid freeze / thaw cycle

Supplementary information

This supplementary information is collated from multiple sources and compiled automatically.

EAAT3 also known as Excitatory Amino Acid Transporter 3 or SLC1A1 is a protein that transports amino acids particularly glutamate across cellular membranes. EAAT3 has a mass of approximately 57 kDa. It is expressed in various tissues including the brain and kidneys. In neurons it accumulates glutamate into the cells which is important for maintaining synaptic transmission balance and preventing excitotoxic damage.
Biological function summary

EAAT3 functions to regulate extracellular levels of glutamate an essential neurotransmitter. The transporter prevents excessive accumulation of glutamate in the synaptic cleft promoting synaptic efficiency and neuron communication. EAAT3 operates as part of a larger family of transporters including EAAT1 EAAT2 and others that collectively maintain glutamate homeostasis in the central nervous system.

Pathways

EAAT3 engages in neurotransmitter metabolism and the glutamatergic synapse. It collaborates with EAAT2 in similar pathways. Together they ensure that excess glutamate is absorbed and reused or degraded safeguarding against excitotoxicity. These pathways are critical for maintaining neuronal health and function.

EAAT3 has links to obsessive-compulsive disorder (OCD) and epilepsy. EAAT3 dysfunction or altered expression can lead to imbalance in neurotransmitter levels contributing to these conditions. Changes in EAAT2 a related transporter also have implications in these disorders. Understanding these interactions helps in exploring EAAT3 as a possible therapeutic target.

Product protocols

For this product, it's our understanding that no specific protocols are required. You can visit:

Target data

Sodium-dependent, high-affinity amino acid transporter that mediates the uptake of L-glutamate and also L-aspartate and D-aspartate (PubMed : 12119102, PubMed : 18684713). Can also transport L-cysteine (PubMed : 30840898). Functions as a symporter that transports one amino acid molecule together with two or three Na(+) ions and one proton, in parallel with the counter-transport of one K(+) ion. Mediates Cl(-) flux that is not coupled to amino acid transport; this avoids the accumulation of negative charges due to aspartate and Na(+) symport (By similarity). Plays an important role in L-glutamate and L-aspartate reabsorption in renal tubuli (PubMed : 9233792). Plays a redundant role in the rapid removal of released glutamate from the synaptic cleft, which is essential for terminating the postsynaptic action of glutamate (PubMed : 9233792). Contributes to glutathione biosynthesis and protection against oxidative stress via its role in L-glutamate and L-cysteine transport (PubMed : 30840898). Negatively regulated by ARL6IP5 (PubMed : 12119102).
See full target information Slc1a1

Publications (2)

Recent publications for all applications. Explore the full list and refine your search

Microbiome 13:128 PubMed40390033

2025

Microbiota alterations leading to amino acid deficiency contribute to depression in children and adolescents.

Applications

Unspecified application

Species

Unspecified reactive species

Teng Teng,Fang Huang,Ming Xu,Xuemei Li,Lige Zhang,Bangmin Yin,Yuping Cai,Fei Chen,Luman Zhang,Jushuang Zhang,Aoyi Geng,Chengzhi Chen,Xiaofei Yu,Jing Sui,Zheng-Jiang Zhu,Kai Guo,Chenhong Zhang,Xinyu Zhou

CNS neuroscience & therapeutics 30:e14487 PubMed37803915

2023

EAAT3 impedes oligodendrocyte remyelination in chronic cerebral hypoperfusion-induced white matter injury.

Applications

Unspecified application

Species

Unspecified reactive species

Yingmei Zhang,Dongshan Ya,Jiaxin Yang,Yanlin Jiang,Xiaoxia Li,Jiawen Wang,Ning Tian,Jungang Deng,Bin Yang,Qinghua Li,Rujia Liao
View all publications

Product promise

We are committed to supporting your work with high-quality reagents, and we're here for you every step of the way. In the unlikely event that one of our products does not perform as expected, you're protected by our Product Promise.
For full details, please see our Terms & Conditions

Please note: All products are 'FOR RESEARCH USE ONLY. NOT FOR USE IN DIAGNOSTIC OR THERAPEUTIC PROCEDURES'.

For licensing inquiries, please contact partnerships@abcam.com