JavaScript is disabled in your browser. Please enable JavaScript to view this website.
AB230217

Anti-EAAT5 antibody

Be the first to review this product! Submit a review

|

(2 Publications)

Rabbit Polyclonal EAAT5 antibody. Suitable for WB, IHC-P, ICC/IF and reacts with Rat, Human samples. Cited in 2 publications. Immunogen corresponding to Recombinant Fragment Protein within Human SLC1A7 aa 100-250.

View Alternative Names

EAAT5, SLC1A7, Excitatory amino acid transporter 5, Retinal glutamate transporter, Solute carrier family 1 member 7

3 Images
Immunocytochemistry/ Immunofluorescence - Anti-EAAT5 antibody (AB230217)
  • ICC/IF

Supplier Data

Immunocytochemistry/ Immunofluorescence - Anti-EAAT5 antibody (AB230217)

HepG2 (human liver hepatocellular carcinoma cell line) cells stained for EAAT5 using ab230217 at 1/100 dilution in ICC/IF. Secondary used is an Alexa Fluor®488-conjugated Goat Anti-Rabbit IgG (H+L).

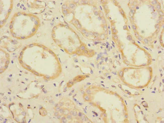
Immunohistochemistry (Formalin/PFA-fixed paraffin-embedded sections) - Anti-EAAT5 antibody (AB230217)
  • IHC-P

Supplier Data

Immunohistochemistry (Formalin/PFA-fixed paraffin-embedded sections) - Anti-EAAT5 antibody (AB230217)

Paraffin-embedded human kidney tissue stained for EAAT5 using ab230217 at 1/100 dilution in immunohistochemical analysis.

Western blot - Anti-EAAT5 antibody (AB230217)
  • WB

Supplier Data

Western blot - Anti-EAAT5 antibody (AB230217)

All lanes:

Western blot - Anti-EAAT5 antibody (ab230217) at 1/500 dilution

All lanes:

Rat heart tissue lysate

Secondary

All lanes:

Goat anti-rabbit IgG at 1/10000 dilution

Predicted band size: 154 kDa,50 kDa,60 kDa

Observed band size: 154 kDa,37 kDa,61 kDa

true

Key facts

Host species

Rabbit

Clonality

Polyclonal

Isotype

IgG

Carrier free

No

Reacts with

Rat, Human

Applications

WB, IHC-P, ICC/IF

applications

Immunogen

Recombinant Fragment Protein within Human SLC1A7 aa 100-250. The exact immunogen used to generate this antibody is proprietary information.

O00341

Reactivity data

{ "title": "Reactivity Data", "filters": { "stats": ["", "Species", "Dilution Info", "Notes"], "tabs": { "all-applications": {"fullname" : "All Applications", "shortname": "All Applications"}, "WB" : {"fullname" : "Western blot", "shortname":"WB"}, "IHCP" : {"fullname" : "Immunohistochemistry (Formalin/PFA-fixed paraffin-embedded sections)", "shortname":"IHC-P"}, "ICCIF" : {"fullname" : "Immunocytochemistry/ Immunofluorescence", "shortname":"ICC/IF"} }, "product-promise": { "all": "all", "testedAndGuaranteed": "tested", "guaranteed": "expected", "predicted": "predicted", "notRecommended": "not-recommended" } }, "values": { "Human": { "WB-species-checked": "guaranteed", "WB-species-dilution-info": "", "WB-species-notes": "", "IHCP-species-checked": "testedAndGuaranteed", "IHCP-species-dilution-info": "1/20 - 1/200", "IHCP-species-notes": "<p></p>", "ICCIF-species-checked": "testedAndGuaranteed", "ICCIF-species-dilution-info": "1/50 - 1/200", "ICCIF-species-notes": "<p></p>" }, "Rat": { "WB-species-checked": "testedAndGuaranteed", "WB-species-dilution-info": "1/1000 - 1/5000", "WB-species-notes": "<p></p>", "IHCP-species-checked": "guaranteed", "IHCP-species-dilution-info": "", "IHCP-species-notes": "", "ICCIF-species-checked": "guaranteed", "ICCIF-species-dilution-info": "", "ICCIF-species-notes": "" } } }

Properties and storage information

Form
Liquid
Purification technique
Affinity purification Immunogen
Storage buffer
pH: 7.3 Preservative: 0.02% Sodium azide Constituents: PBS, 50% Glycerol (glycerin, glycerine)
Shipped at conditions
Blue Ice
Appropriate short-term storage duration
1-2 weeks
Appropriate short-term storage conditions
+4°C
Appropriate long-term storage conditions
-20°C
Aliquoting information
Upon delivery aliquot
Storage information
Avoid freeze / thaw cycle

Supplementary information

This supplementary information is collated from multiple sources and compiled automatically.

EAAT5 also known as Excitatory Amino Acid Transporter 5 or SLC1A7 is a protein involved in transporting the neurotransmitter glutamate across cell membranes. It functions as a glutamate transporter and chloride channel helping regulate glutamate concentrations in the synaptic cleft and maintaining electrical balance in retinal cells. EAAT5 shows expression mainly in the retina and also present in other parts of the central nervous system. The mass of EAAT5 is approximately 60 kDa. This protein belongs to the family of excitatory amino acid transporters which play an important role in synaptic signaling.
Biological function summary

EAAT5 mediates glutamatergic neurotransmission by removing excess glutamate from the synaptic cleft reducing excitotoxicity and maintaining synaptic plasticity. The function of EAAT5 is critical in visual processing as it plays a role in signal transmission in the retina. It operates as part of a complex that involves various neurotransmitter transporters and channels ensuring precise communication between photoreceptor cells and downstream neurons. The transport activity of EAAT5 impacts neurotransmitter gradients influencing visual perception and adaptation to light changes.

Pathways

EAAT5 participates in the glutamatergic signaling pathway where it helps modulate synaptic transmission by controlling extracellular glutamate levels. It is functionally related to other members of the excitatory amino acid transporter family such as EAAT1 and EAAT2 which also manage glutamate reuptake in the central nervous system. The protein's interplay in the regulation of glutamate impacts neural activities and is associated with the Catabolism of Glutamate pathway. These transporters work together to ensure glutamate does not accumulate to toxic levels safeguarding neurons from damage.

Disturbances in EAAT5 function have been linked to retinal disorders particularly those involving night vision impairment. Abnormal expression or malfunction of EAAT5 can contribute to excitotoxicity leading to photoreceptor cell death. Additionally EAAT5 is connected to neurodegenerative diseases such as glaucoma where its dysfunction may affect visual processing and lead to progressive vision loss. In these contexts changes in the expression or activity of EAAT5 and its interaction with other transporters like EAAT1 can exacerbate disease progression by disrupting normal glutamatergic signaling.

Product protocols

For this product, it's our understanding that no specific protocols are required. You can visit:

Target data

Sodium-dependent, high-affinity amino acid transporter that mediates the uptake of L-glutamate and also L-aspartate and D-aspartate. Functions as a symporter that transports one amino acid molecule together with two or three Na(+) ions and one proton, in parallel with the counter-transport of one K(+) ion (PubMed : 9108121). Acts primarily as an inhibitory glutamate-gated chloride channel being a major inhibitory presynaptic receptor at mammalian rod bipolar cell axon terminals. Glutamate binding gates a large Cl(-) conductance that mediates inhibition, affecting visual processing in the retina (By similarity).
See full target information SLC1A7

Publications (2)

Recent publications for all applications. Explore the full list and refine your search

iScience 27:110954 PubMed39381753

2024

The prion protein is required for normal responses to light stimuli by photoreceptors and bipolar cells.

Applications

Unspecified application

Species

Unspecified reactive species

James F Striebel,James A Carroll,Brent Race,Jacqueline M Leung,Cindi Schwartz,Emily D Reese,Catherine Bowes Rickman,Bruce Chesebro,Mikael Klingeborn

Journal of Cancer 12:3011-3023 PubMed33854601

2021

Cancer-associated fibroblasts in gastric cancer affect malignant progression via the CXCL12-CXCR4 axis.

Applications

Unspecified application

Species

Unspecified reactive species

Yan Qin,Fang Wang,Hengli Ni,Yao Liu,Yuan Yin,Xinyi Zhou,Guihua Gao,Qing Li,Xiaowei Qi,Jianming Li
View all publications

Product promise

We are committed to supporting your work with high-quality reagents, and we're here for you every step of the way. In the unlikely event that one of our products does not perform as expected, you're protected by our Product Promise.
For full details, please see our Terms & Conditions

Please note: All products are 'FOR RESEARCH USE ONLY. NOT FOR USE IN DIAGNOSTIC OR THERAPEUTIC PROCEDURES'.

For licensing inquiries, please contact partnerships@abcam.com