JavaScript is disabled in your browser. Please enable JavaScript to view this website.
AB224482

Anti-EAG2 antibody

Be the first to review this product! Submit a review

|

(1 Publication)

Rabbit Polyclonal EAG2 antibody. Suitable for IHC-P and reacts with Human samples. Cited in 1 publication. Immunogen corresponding to Recombinant Fragment Protein within Human KCNH5 aa 350-450.

View Alternative Names

EAG2, KCNH5, Voltage-gated delayed rectifier potassium channel KCNH5, Ether-a-go-go potassium channel 2, Potassium voltage-gated channel subfamily H member 5, Voltage-gated potassium channel subunit Kv10.2, hEAG2

1 Images
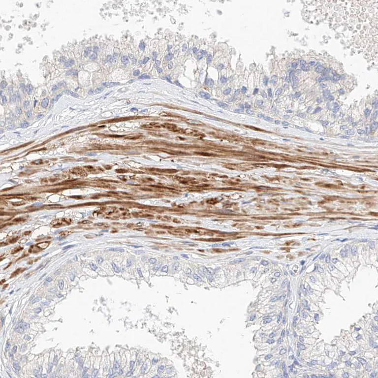
Immunohistochemistry (Formalin/PFA-fixed paraffin-embedded sections) - Anti-EAG2 antibody (AB224482)
  • IHC-P

Unknown

Immunohistochemistry (Formalin/PFA-fixed paraffin-embedded sections) - Anti-EAG2 antibody (AB224482)

Paraffin-embedded human prostate stained for EAG2 using ab224482 at 1/50 dilution in immunohistochemical analysis.

Key facts

Host species

Rabbit

Clonality

Polyclonal

Isotype

IgG

Carrier free

No

Reacts with

Human

Applications

IHC-P

applications

Immunogen

Recombinant Fragment Protein within Human KCNH5 aa 350-450. The exact immunogen used to generate this antibody is proprietary information.

Q8NCM2

Reactivity data

{ "title": "Reactivity Data", "filters": { "stats": ["", "Species", "Dilution Info", "Notes"], "tabs": { "all-applications": {"fullname" : "All Applications", "shortname": "All Applications"}, "IHCP" : {"fullname" : "Immunohistochemistry (Formalin/PFA-fixed paraffin-embedded sections)", "shortname":"IHC-P"} }, "product-promise": { "all": "all", "testedAndGuaranteed": "tested", "guaranteed": "expected", "predicted": "predicted", "notRecommended": "not-recommended" } }, "values": { "Human": { "IHCP-species-checked": "testedAndGuaranteed", "IHCP-species-dilution-info": "1/50 - 1/200", "IHCP-species-notes": "<p></p> Perform heat-mediated antigen retrieval with citrate buffer pH 6 before commencing with IHC staining protocol." }, "Mouse": { "IHCP-species-checked": "predicted", "IHCP-species-dilution-info": "", "IHCP-species-notes": "" }, "Rat": { "IHCP-species-checked": "predicted", "IHCP-species-dilution-info": "", "IHCP-species-notes": "" } } }

Properties and storage information

Form
Liquid
Purification technique
Affinity purification Immunogen
Storage buffer
pH: 7.2 Preservative: 0.02% Sodium azide Constituents: PBS, 40% Glycerol (glycerin, glycerine)
Shipped at conditions
Blue Ice
Appropriate short-term storage duration
1-2 weeks
Appropriate short-term storage conditions
+4°C
Appropriate long-term storage conditions
-20°C
Aliquoting information
Upon delivery aliquot
Storage information
Avoid freeze / thaw cycle

Supplementary information

This supplementary information is collated from multiple sources and compiled automatically.

EAG2 also known as Kv10.2 or KCNH5 is a voltage-gated potassium channel protein. It possesses a molecular mass of approximately 107 kDa. This protein plays a significant role in the regulation of membrane potential by allowing potassium ions to pass through cell membranes. EAG2 is expressed mainly in the central nervous system including the brain and spinal cord. It facilitates the modulation of electrical signals in neurons which is essential for various neural functions.
Biological function summary

EAG2 contributes to the maintenance of neuronal excitability and action potential timing. It functions as part of a larger ion channel complex that includes other potassium channels. These complexes help fine-tune the electrical activity of neurons important for proper signaling and communication within the brain. The proper functioning of EAG2 is necessary for maintaining normal neurophysiological processes.

Pathways

EAG2 integrates into cellular signaling pathways such as the MAPK and calcium signaling pathways which are important for neuronal growth and plasticity. It interacts with proteins like Ca2+ channels influencing calcium influx in neurons. In this context EAG2 indirectly affects dopamine signaling and synaptic transmission which are vital for cognitive and motor functions.

EAG2 has been associated with neurological and psychiatric disorders including schizophrenia and epilepsy. There is evidence suggesting that dysregulation of EAG2 can disturb normal neuronal signaling leading to these conditions. Additionally the protein may interact with SK channels in the context of these disorders further disrupting normal ion flow and electrical activity in affected neurons.

Product protocols

For this product, it's our understanding that no specific protocols are required. You can visit:

Target data

Pore-forming (alpha) subunit of a voltage-gated delayed rectifier potassium channel that mediates outward-rectifying potassium currents which, on depolarization, reaches a steady-state level and do not inactivate (PubMed : 11943152, PubMed : 12135768, PubMed : 24133262, PubMed : 36928654). The kinetic is characterized by a slow activation time course and a small voltage dependence of the activation time constants, therefore, starts to open at more negative voltages (PubMed : 11943152, PubMed : 12135768). The activation kinetics depend on the prepulse potential and external divalent cation concentration (PubMed : 11943152, PubMed : 24133262). The time course of activation is biphasic with a fast and a slowly activating current component (PubMed : 11943152, PubMed : 12135768, PubMed : 36928654). With negative prepulses, the current activation is delayed and slowed down several fold, whereas more positive prepulses speed up activation, therefore the activation rate depends on holding potential (PubMed : 11943152, PubMed : 12135768, PubMed : 36928654).
See full target information KCNH5

Publications (1)

Recent publications for all applications. Explore the full list and refine your search

Nature communications 11:5114 PubMed33037205

2020

Fgf and Wnt signaling interaction in the mesenchymal niche regulates the murine hair cycle clock.

Applications

Unspecified application

Species

Unspecified reactive species

Sarina Harshuk-Shabso,Hila Dressler,Christof Niehrs,Emil Aamar,David Enshell-Seijffers
View all publications

Product promise

We are committed to supporting your work with high-quality reagents, and we're here for you every step of the way. In the unlikely event that one of our products does not perform as expected, you're protected by our Product Promise.
For full details, please see our Terms & Conditions

Please note: All products are 'FOR RESEARCH USE ONLY. NOT FOR USE IN DIAGNOSTIC OR THERAPEUTIC PROCEDURES'.

For licensing inquiries, please contact partnerships@abcam.com