JavaScript is disabled in your browser. Please enable JavaScript to view this website.
AB225913

Anti-EARS2 antibody

Be the first to review this product! Submit a review

|

(1 Publication)

Rabbit Polyclonal EARS2 antibody. Suitable for IHC-P and reacts with Human samples. Cited in 1 publication. Immunogen corresponding to Recombinant Fragment Protein within Human EARS2 aa 1-200.

View Alternative Names

KIAA1970, EARS2, Glutamyl-tRNA synthetase, Mitochondrial glutamyl-tRNA synthetase, GluRS, mtGluRS

2 Images
Immunohistochemistry (Formalin/PFA-fixed paraffin-embedded sections) - Anti-EARS2 antibody (AB225913)
  • IHC-P

Supplier Data

Immunohistochemistry (Formalin/PFA-fixed paraffin-embedded sections) - Anti-EARS2 antibody (AB225913)

Paraffin-embedded human adrenal gland tissue stained for EARS2 using ab225913 at 1/100 dilution in immunohistochemical analysis.

Immunohistochemistry (Formalin/PFA-fixed paraffin-embedded sections) - Anti-EARS2 antibody (AB225913)
  • IHC-P

Supplier Data

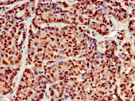
Immunohistochemistry (Formalin/PFA-fixed paraffin-embedded sections) - Anti-EARS2 antibody (AB225913)

Paraffin-embedded human ovarian carcinoma tissue stained for EARS2 using ab225913 at 1/100 dilution in immunohistochemical analysis.

Key facts

Host species

Rabbit

Clonality

Polyclonal

Isotype

IgG

Carrier free

No

Reacts with

Human

Applications

IHC-P

applications

Immunogen

Recombinant Fragment Protein within Human EARS2 aa 1-200. The exact immunogen used to generate this antibody is proprietary information.

Q5JPH6

Reactivity data

{ "title": "Reactivity Data", "filters": { "stats": ["", "Species", "Dilution Info", "Notes"], "tabs": { "all-applications": {"fullname" : "All Applications", "shortname": "All Applications"}, "IHCP" : {"fullname" : "Immunohistochemistry (Formalin/PFA-fixed paraffin-embedded sections)", "shortname":"IHC-P"} }, "product-promise": { "all": "all", "testedAndGuaranteed": "tested", "guaranteed": "expected", "predicted": "predicted", "notRecommended": "not-recommended" } }, "values": { "Human": { "IHCP-species-checked": "testedAndGuaranteed", "IHCP-species-dilution-info": "1/20 - 1/200", "IHCP-species-notes": "<p></p>" }, "Mouse": { "IHCP-species-checked": "predicted", "IHCP-species-dilution-info": "", "IHCP-species-notes": "" }, "Cynomolgus monkey": { "IHCP-species-checked": "predicted", "IHCP-species-dilution-info": "", "IHCP-species-notes": "" } } }

Properties and storage information

Form
Liquid
Purification technique
Affinity purification Protein G
Purification notes
Purity >95%.
Storage buffer
pH: 7.4 Preservative: 0.03% Proclin 300 Constituents: PBS, 50% Glycerol (glycerin, glycerine)
Shipped at conditions
Blue Ice
Appropriate short-term storage duration
1-2 weeks
Appropriate short-term storage conditions
+4°C
Appropriate long-term storage conditions
-20°C
Aliquoting information
Upon delivery aliquot
Storage information
Avoid freeze / thaw cycle

Supplementary information

This supplementary information is collated from multiple sources and compiled automatically.

EARS2 also known as mitochondrial glutamyl-tRNA synthetase 2 is an enzyme that plays vital role in protein synthesis by charging tRNA molecules with the amino acid glutamate during translation. The EARS2 protein has approximate mass of 53 kDa and has expression mainly within mitochondria of eukaryotic cells. This protein can be found prominently in tissues with high energy demands such as the brain and muscles where efficient translation within mitochondria is essential.
Biological function summary

The enzyme facilitates the proper function of the mitochondrial translation machinery. EARS2 is part of a larger mitochondrial multiprotein complex that includes several additional tRNA synthetases and translation factors. Through its activity EARS2 ensures that mitochondrial proteins are translated correctly a critical function for maintaining cellular respiration and energy production. The protein plays an essential role in maintaining mitochondrial integrity and supporting cellular metabolism.

Pathways

EARS2 is intimately involved in the translation pathway specific to mitochondrial protein synthesis which is distinct from cytosolic protein synthesis. EARS2-related processes contribute to the oxidative phosphorylation pathway a central metabolic pathway responsible for ATP production. In this pathway EARS2 associates functionally with other mitochondrial tRNA synthetases and translation factors to ensure efficient protein production important for electron transport chain complexes.

EARS2 mutations associate with leukoencephalopathy with thalamus and brainstem involvement and high lactate (LTBL). This rare mitochondrial disorder affects neurological function due to impaired protein synthesis within mitochondria. Another important connection is with neurodegenerative disorders where mitochondrial dysfunction plays a role in disease progression. Researchers examine links between EARS2 dysfunction and diseases such as Leigh syndrome which involves proteins in the mitochondrial translation and oxidative phosphorylation pathways to understand their impact on pathology and potential therapeutic targets.

Product protocols

For this product, it's our understanding that no specific protocols are required. You can visit:

Target data

Non-discriminating glutamyl-tRNA synthetase that catalyzes aminoacylation of both mitochondrial tRNA(Glu) and tRNA(Gln) and participates in RNA aminoacylation for mitochondrial protein translation (PubMed : 19805282). Attachs glutamate to tRNA(Glu) or tRNA(Gln) in a two-step reaction : glutamate is first activated by ATP to form Glu-AMP and then transferred to the acceptor end of tRNA(Glu) or tRNA(Gln) (PubMed : 19805282). In vitro, cytoplasmic tRNA(Gln) is slightly glutamylated, but with low activity (PubMed : 19805282).
See full target information EARS2

Publications (1)

Recent publications for all applications. Explore the full list and refine your search

Oncology reports 46: PubMed33982764

2021

Long non‑coding RNA NEAT1 regulates glioma cell proliferation and apoptosis by competitively binding to microRNA‑324‑5p and upregulating KCTD20 expression.

Applications

Unspecified application

Species

Unspecified reactive species

Jiale Zhang,Yangyang Li,Yuqi Liu,Guangzhi Xu,Yue Hei,Xiaoming Lu,Weiping Liu
View all publications

Product promise

We are committed to supporting your work with high-quality reagents, and we're here for you every step of the way. In the unlikely event that one of our products does not perform as expected, you're protected by our Product Promise.
For full details, please see our Terms & Conditions

Please note: All products are 'FOR RESEARCH USE ONLY. NOT FOR USE IN DIAGNOSTIC OR THERAPEUTIC PROCEDURES'.

For licensing inquiries, please contact partnerships@abcam.com